FOXP2 Recombinant Rabbit Monoclonal Antibody [PSH19-40]
cat.: HA724072
Product Type: Recombinant Rabbit monoclonal IgG, primary antibodies
Species reactivity: Human, Mouse, Rat
Applications: IHC-Fr, IHC-P, WB
Clonality: Monoclonal
Clone number: PSH19-40
Form: Liquid
Storage condition: Shipped at 4℃. Store at +4℃ short term (1-2 weeks). It is recommended to aliquot into single-use upon delivery. Store at -20℃ long term.
Storage buffer: PBS (pH7.4), 0.1% BSA, 40% Glycerol. Preservative: 0.05% Sodium Azide.
Concentration: 1ug/ul
Purification: Protein A affinity purified.
Molecular weight: Predicted band size: 80 kDa
Isotype: IgG
Immunogen: Synthetic peptide within mouse FOXP2 aa 451-500.
Positive control: Mouse E14.5 embryo tissue, rat E14.5 embryo tissue, mouse brain tissue, rat brain tissue, HeLa cell lysate, Mouse brain tissue lysate, Mouse embryo brain (E14.5) tissue lysate, Mouse embryo tissue lysate, Rat brain tissue lysate.
Subcellular location: Nucleus.
Recommended Dilutions:
  IHC-Fr
  IHC-P
  WB

1:500
1:200-1:1,000
1:5,000
Uniprot #: SwissProt: O15409 Human | P58463 Mouse | P0CF24 Rat
Alternative names: CAG repeat protein 44 CAGH44 DKFZp686H1726 Forkhead box P2 Forkhead box protein P2 forkhead/winged-helix transcription factor FOX P2 FOXP2 FOXP2_HUMAN HGNC11222 HGNC11956 SPCH 1 SPCH1 TNRC 10 TNRC10 trinucleotide repeat containing 10 Trinucleotide repeat containing gene 10 protein Trinucleotide repeat-containing gene 10 protein
Images
HA724072_1.jpg Fig1: Application: IHC-Fr

Species: Mouse

Site: E14.5 embryo

Sample: Frozen section

Antibody concentration: 1/500

Antigen retrieval: Not required
HA724072_2.jpg Fig2: Immunohistochemical analysis of paraffin-embedded mouse E14.5 embryo tissue with Rabbit anti-FOXP2 antibody (HA724072) at 1/1,000 dilution.

The section was pre-treated using heat mediated antigen retrieval with Tris-EDTA buffer (pH 9.0) for 20 minutes. The tissues were blocked in 1% BSA for 20 minutes at room temperature, washed with ddH2O and PBS, and then probed with the primary antibody (HA724072) at 1/1,000 dilution for 1 hour at room temperature. The detection was performed using an HRP conjugated compact polymer system. DAB was used as the chromogen. Tissues were counterstained with hematoxylin and mounted with DPX.
HA724072_3.jpg Fig3: Immunohistochemical analysis of paraffin-embedded rat E14.5 embryo tissue with Rabbit anti-FOXP2 antibody (HA724072) at 1/200 dilution.

The section was pre-treated using heat mediated antigen retrieval with Tris-EDTA buffer (pH 9.0) for 20 minutes. The tissues were blocked in 1% BSA for 20 minutes at room temperature, washed with ddH2O and PBS, and then probed with the primary antibody (HA724072) at 1/200 dilution for 1 hour at room temperature. The detection was performed using an HRP conjugated compact polymer system. DAB was used as the chromogen. Tissues were counterstained with hematoxylin and mounted with DPX.
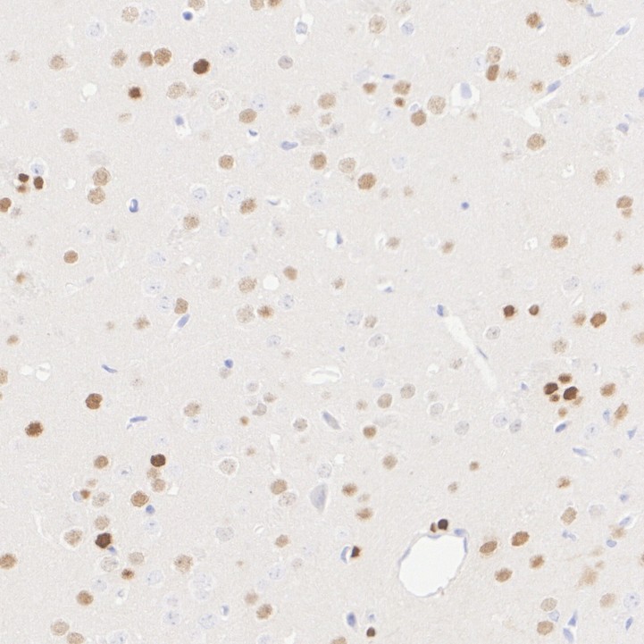
HA724072_4.jpg Fig4: Immunohistochemical analysis of paraffin-embedded mouse brain tissue with Rabbit anti-FOXP2 antibody (HA724072) at 1/1,000 dilution.

The section was pre-treated using heat mediated antigen retrieval with Tris-EDTA buffer (pH 9.0) for 20 minutes. The tissues were blocked in 1% BSA for 20 minutes at room temperature, washed with ddH2O and PBS, and then probed with the primary antibody (HA724072) at 1/1,000 dilution for 1 hour at room temperature. The detection was performed using an HRP conjugated compact polymer system. DAB was used as the chromogen. Tissues were counterstained with hematoxylin and mounted with DPX.
HA724072_5.jpg Fig5: Immunohistochemical analysis of paraffin-embedded rat brain tissue with Rabbit anti-FOXP2 antibody (HA724072) at 1/1,000 dilution.

The section was pre-treated using heat mediated antigen retrieval with Tris-EDTA buffer (pH 9.0) for 20 minutes. The tissues were blocked in 1% BSA for 20 minutes at room temperature, washed with ddH2O and PBS, and then probed with the primary antibody (HA724072) at 1/1,000 dilution for 1 hour at room temperature. The detection was performed using an HRP conjugated compact polymer system. DAB was used as the chromogen. Tissues were counterstained with hematoxylin and mounted with DPX.
HA724072_6.jpg Fig6: Western blot analysis of FOXP2 on different lysates with Rabbit anti-FOXP2 antibody (HA724072) at 1/5,000 dilution.

Lane 1: HeLa cell lysate (20 µg/Lane)
Lane 2: Mouse brain tissue lysate (40 µg/Lane)
Lane 3: Mouse embryo brain (E14.5) tissue lysate (40 µg/Lane)
Lane 4: Mouse embryo tissue lysate (40 µg/Lane)
Lane 5: Rat brain tissue lysate (40 µg/Lane)

Predicted band size: 80 kDa
Observed band size: 80 kDa

Exposure time: 3 minutes; ECL: K1801;

4-20% SDS-PAGE gel.

Proteins were transferred to a PVDF membrane and blocked with 5% NFDM/TBST for 1 hour at room temperature. The primary antibody (HA724072) at 1/5,000 dilution was used in primary antibody dilution (K1803) at 4℃ overnight. Goat Anti-Rabbit IgG - HRP Secondary Antibody (HA1001) at 1/50,000 dilution was used for 1 hour at room temperature.
Note: All products are “FOR RESEARCH USE ONLY AND ARE NOT INTENDED FOR DIAGNOSTIC OR THERAPEUTIC USE”.