NCR1 Recombinant Rabbit Monoclonal Antibody [PSH19-42]
cat.: HA724074
Product Type: Recombinant Rabbit monoclonal IgG, primary antibodies
Species reactivity: Mouse, Rat
Applications: IHC-Fr, IHC-P, FC, WB
Clonality: Monoclonal
Clone number: PSH19-42
Form: Liquid
Storage condition: Shipped at 4℃. Store at +4℃ short term (1-2 weeks). It is recommended to aliquot into single-use upon delivery. Store at -20℃ long term.
Storage buffer: PBS (pH7.4), 0.1% BSA, 40% Glycerol. Preservative: 0.05% Sodium Azide.
Concentration: 1ug/ul
Purification: Protein A affinity purified.
Molecular weight: Predicted band size: 37 kDa
Isotype: IgG
Immunogen: Recombinant protein within mouse NCR1 aa 86-255.
Positive control: Mouse spleen tissue, rat spleen tissue, C57BL.6 mouse spleen cells.
Subcellular location: Cell membrane.
Recommended Dilutions:
  IHC-Fr
  IHC-P
  FC
  WB

1:500
1:1,000
1:1,000
1:5,000
Uniprot #: SwissProt: Q8C567 Mouse | Q9Z0H5 Rat
Alternative names: Activating NK receptor NK p46 CD335 FLJ99094 hNKp46 Ly94 Lymphocyte antigen 94 Lymphocyte antigen 94 homolog (activating NK receptor; NK p46) Lymphocyte antigen 94 homolog Natural cytotoxicity triggering receptor 1 Natural killer cell p46-related protein NCR1 NCT1 NCTR1_HUMAN NK cell activating receptor NK cell-activating receptor NK-p46 NKp46
Images
HA724074_1.jpg Fig1: Application: IHC-Fr

Species: Mouse

Site: spleen

Sample: Frozen section

Antibody concentration: 1/500

Antigen retrieval: Not required
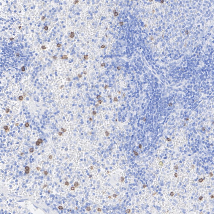
HA724074_2.jpg Fig2: Immunohistochemical analysis of paraffin-embedded mouse spleen tissue with Rabbit anti-NCR1 antibody (HA724074) at 1/1,000 dilution.

The section was pre-treated using heat mediated antigen retrieval with Tris-EDTA buffer (pH 9.0) for 20 minutes. The tissues were blocked in 1% BSA for 20 minutes at room temperature, washed with ddH2O and PBS, and then probed with the primary antibody (HA724074) at 1/1,000 dilution for 1 hour at room temperature. The detection was performed using an HRP conjugated compact polymer system. DAB was used as the chromogen. Tissues were counterstained with hematoxylin and mounted with DPX.
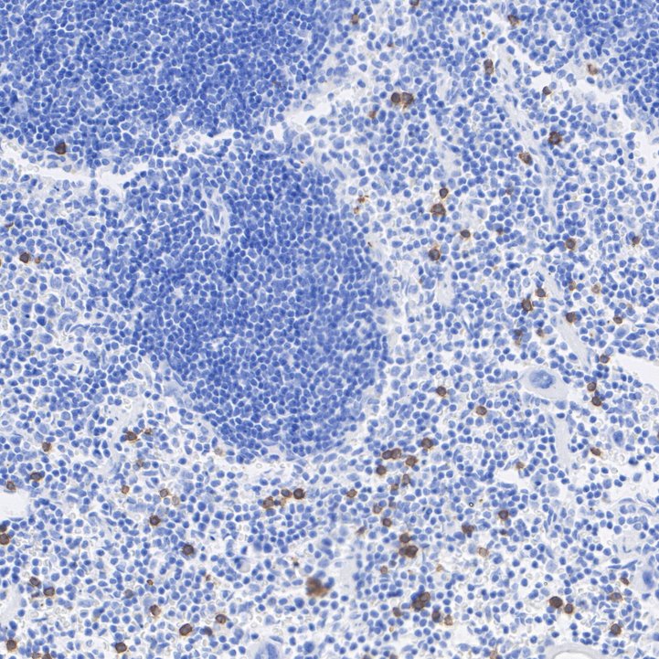
HA724074_3.jpg Fig3: Immunohistochemical analysis of paraffin-embedded rat spleen tissue with Rabbit anti-NCR1 antibody (HA724074) at 1/1,000 dilution.

The section was pre-treated using heat mediated antigen retrieval with Tris-EDTA buffer (pH 9.0) for 20 minutes. The tissues were blocked in 1% BSA for 20 minutes at room temperature, washed with ddH2O and PBS, and then probed with the primary antibody (HA724074) at 1/1,000 dilution for 1 hour at room temperature. The detection was performed using an HRP conjugated compact polymer system. DAB was used as the chromogen. Tissues were counterstained with hematoxylin and mounted with DPX.
HA724074_4.jpg Fig4: Flow cytometric analysis of C57BL.6 mouse spleen cells labeling NCR1 (HA724074) and NK1.1-FITC.

Cells were washed twice with cold PBS and resuspend. Then stained with the primary antibody (HA724074, 1/1,000). After incubation of the primary antibody at +4℃ for an hour, the cells were stained with a iFluor™ 647 conjugate-Goat anti-Rabbit IgG Secondary antibody (HA1123) at 1/1,000 dilution for 30 minutes at +4℃.
HA724074_5.jpg Fig5: Western blot analysis of NCR1 on NCR1 recombinant protein with Rabbit anti-NCR1 antibody (HA724074) at 1/5,000 dilution.

Lysates/proteins at 50 ng/Lane.

Exposure time: 10 seconds; ECL: K1801;

4-20% SDS-PAGE gel.

Proteins were transferred to a PVDF membrane and blocked with 5% NFDM/TBST for 1 hour at room temperature. The primary antibody (HA724074) at 1/5,000 dilution was used in 5% NFDM/TBST at room temperature for 2 hours. Goat Anti-Rabbit IgG - HRP Secondary Antibody (HA1001) at 1/50,000 dilution was used for 1 hour at room temperature.
Note: All products are “FOR RESEARCH USE ONLY AND ARE NOT INTENDED FOR DIAGNOSTIC OR THERAPEUTIC USE”.