Bad Recombinant Rabbit Monoclonal Antibody [SA32-01]
cat.: HA750025
Product Type: Recombinant Rabbit monoclonal IgG, primary antibodies
Species reactivity: Human, Mouse, Rat
Applications: WB, IF-Cell, IF-Tissue, IHC-P, FC, IP
Clonality: Monoclonal
Clone number: SA32-01
Form: Liquid
Storage condition: Store at +4℃ after thawing. Aliquot store at -20℃ or -80℃. Avoid repeated freeze / thaw cycles.
Storage buffer: 1*PBS (pH7.4).
Concentration: 1ug/ul
Purification: Protein A affinity purified.
Molecular weight: Predicted band size: 18 kDa
Isotype: IgG
Immunogen: Synthetic peptide within Human Bad aa 1-50 / 168.
Positive control: MCF-7 cell lysates, Hela, MCF-7, human skin tissue, human breast carcinoma tissue, human kidney tissue, human placenta tissue.
Subcellular location: Cytoplasm, Mitochondrion outer membrane
Recommended Dilutions:
  WB
  IF-Cell
  IF-Tissue
  IHC-P
  FC
  IP

1:500
1:50
1:50
1:50-1:200
1:50
Use at an assay dependent concentration.
Uniprot #: SwissProt: Q92934 Human | Q61337 Mouse | O35147 Rat
Alternative names: AI325008 BAD BAD_HUMAN BBC 2 BBC2 BBC6 Bcl 2 Antagonist of Cell Death Bcl 2 Binding Component 6 BCL X / BCL 2 Binding Protein BCL X Binding Protein Bcl XL/Bcl 2 Associated Death Promoter Bcl-2-binding component 6 Bcl-2-like protein 8 Bcl-XL/Bcl-2-associated death promoter Bcl2 antagonist of cell death BCL2 antagonist of cell death protein BCL2 associated agonist of cell death Bcl2 Associated Death Promoter BCL2 binding component 6 BCL2 binding protein Bcl2 Like 8 Protein Bcl2-L-8 BCL2L8 Proapoptotic BH3 Only Protein
Images
HA750025_1.jpg Fig1: Western blot analysis of Bad on MCF-7 cell lysates. Proteins were transferred to a PVDF membrane and blocked with 5% BSA in PBS for 1 hour at room temperature. The primary antibody (HA750025, 1/500) was used in 5% BSA at room temperature for 2 hours. Goat Anti-Rabbit IgG - HRP Secondary Antibody (HA1001) at 1:5,000 dilution was used for 1 hour at room temperature.
HA750025_2.jpg Fig2: ICC staining of Bad in Hela cells (green). Formalin fixed cells were permeabilized with 0.1% Triton X-100 in TBS for 10 minutes at room temperature and blocked with 1% Blocker BSA for 15 minutes at room temperature. Cells were probed with the primary antibody (HA750025, 1/50) for 1 hour at room temperature, washed with PBS. Alexa Fluor®488 Goat anti-Rabbit IgG was used as the secondary antibody at 1/1,000 dilution. The nuclear counter stain is DAPI (blue).
HA750025_3.jpg Fig3: ICC staining of Bad in MCF-7 cells (green). Formalin fixed cells were permeabilized with 0.1% Triton X-100 in TBS for 10 minutes at room temperature and blocked with 1% Blocker BSA for 15 minutes at room temperature. Cells were probed with the primary antibody (HA750025, 1/50) for 1 hour at room temperature, washed with PBS. Alexa Fluor®488 Goat anti-Rabbit IgG was used as the secondary antibody at 1/1,000 dilution. The nuclear counter stain is DAPI (blue).
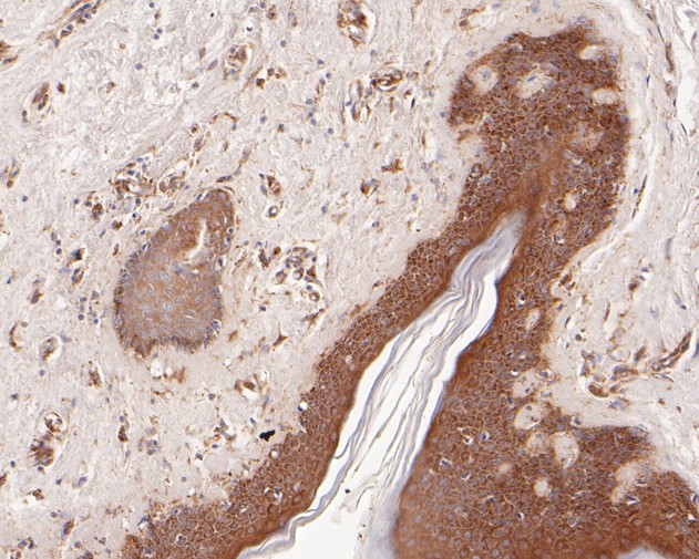
HA750025_4.jpg Fig4: Immunohistochemical analysis of paraffin-embedded human skin tissue using anti-Bad antibody. The section was pre-treated using heat mediated antigen retrieval with Tris-EDTA buffer (pH 8.0-8.4) for 20 minutes.The tissues were blocked in 5% BSA for 30 minutes at room temperature, washed with ddH2O and PBS, and then probed with the primary antibody (HA750025, 1/50) for 30 minutes at room temperature. The detection was performed using an HRP conjugated compact polymer system. DAB was used as the chromogen. Tissues were counterstained with hematoxylin and mounted with DPX.
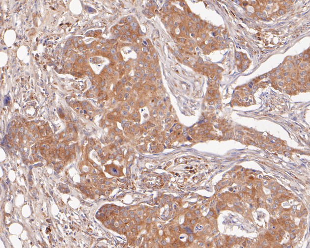
HA750025_5.jpg Fig5: Immunohistochemical analysis of paraffin-embedded human breast carcinoma tissue using anti-Bad antibody. The section was pre-treated using heat mediated antigen retrieval with Tris-EDTA buffer (pH 8.0-8.4) for 20 minutes.The tissues were blocked in 5% BSA for 30 minutes at room temperature, washed with ddH2O and PBS, and then probed with the primary antibody (HA750025, 1/200) for 30 minutes at room temperature. The detection was performed using an HRP conjugated compact polymer system. DAB was used as the chromogen. Tissues were counterstained with hematoxylin and mounted with DPX.
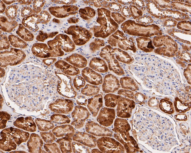
HA750025_6.jpg Fig6: Immunohistochemical analysis of paraffin-embedded human kidney tissue using anti-Bad antibody. The section was pre-treated using heat mediated antigen retrieval with Tris-EDTA buffer (pH 8.0-8.4) for 20 minutes.The tissues were blocked in 5% BSA for 30 minutes at room temperature, washed with ddH2O and PBS, and then probed with the primary antibody (HA750025, 1/200) for 30 minutes at room temperature. The detection was performed using an HRP conjugated compact polymer system. DAB was used as the chromogen. Tissues were counterstained with hematoxylin and mounted with DPX.
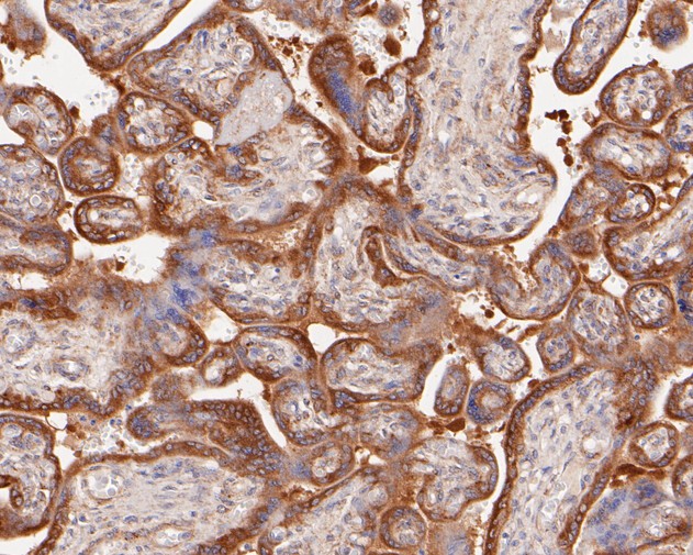
HA750025_7.jpg Fig7: Immunohistochemical analysis of paraffin-embedded human placenta tissue using anti-Bad antibody. The section was pre-treated using heat mediated antigen retrieval with Tris-EDTA buffer (pH 8.0-8.4) for 20 minutes.The tissues were blocked in 5% BSA for 30 minutes at room temperature, washed with ddH2O and PBS, and then probed with the primary antibody (HA750025, 1/50) for 30 minutes at room temperature. The detection was performed using an HRP conjugated compact polymer system. DAB was used as the chromogen. Tissues were counterstained with hematoxylin and mounted with DPX.
HA750025_8.jpg Fig8: Flow cytometric analysis of Bad was done on Hela cells. The cells were fixed, permeabilized and stained with the primary antibody (HA750025, 1/50) (blue). After incubation of the primary antibody at room temperature for an hour, the cells were stained with a Alexa Fluor 488-conjugated Goat anti-Rabbit IgG Secondary antibody at 1/1000 dilution for 30 minutes.Unlabelled sample was used as a control (cells without incubation with primary antibody; red).
Note: All products are “FOR RESEARCH USE ONLY AND ARE NOT INTENDED FOR DIAGNOSTIC OR THERAPEUTIC USE”.