Cytokeratin 20 Recombinant Rabbit Monoclonal Antibody [SA35-03]
cat.: HA750026
Product Type: Recombinant Rabbit monoclonal IgG, primary antibodies
Species reactivity: Human, Rat
Applications: WB, IF-Cell, IF-Tissue, IHC-P, FC, IP
Clonality: Monoclonal
Clone number: SA35-03
Form: Liquid
Storage condition: Store at +4℃ after thawing. Aliquot store at -20℃. Avoid repeated freeze / thaw cycles.
Storage buffer: 1*PBS (pH7.4).
Concentration: 1ug/ul
Purification: Protein A affinity purified.
Molecular weight: Predicted band size: 48 kDa
Isotype: IgG
Immunogen: Synthetic peptide within Human Cytokeratin 20 aa 375-424 / 424.
Positive control: HT-29 cell lysate, LoVo cell lysate, CRC cell lysate, CRC, human colon carcinoma tissue, human small intestine tissue, rat small intestine tissue.
Subcellular location: Cytoplasm
Recommended Dilutions:
  WB
  IF-Cell
  IF-Tissue
  IHC-P
  FC
  IP

1:2,000-1:5,000
1:50
1:200
1:50-1:500
1:50
1-2μg/sample
Uniprot #: SwissProt: P35900 Human | P25030 Rat
Alternative names: CK 20 CK-20 CK20 Cytokeratin-20 Cytokeratin20 K1C20_HUMAN K20 KA20 Keratin 20 keratin 20, type I keratin 21, rat, homolog of Keratin Keratin type I cytoskeletal 20 Keratin-20 Keratin20 KRT 20 KRT 21 KRT20 KRT21 MGC35423 OTTHUMP00000164518 Protein IT type I cytoskeletal 20
Images
HA750026_1.jpg Fig1: Western blot analysis of Cytokeratin 20 on different lysates with Rabbit anti-Cytokeratin 20 antibody (HA750026) at 1/5,000 dilution.

Lane 1: HT-29 cell lysate
Lane 2: LoVo cell lysate
Lane 2: CRC cell lysate

Lysates/proteins at 15 µg/Lane.

Predicted band size: 48 kDa
Observed band size: 48/50 kDa

Exposure time: 1 minute;

4-20% SDS-PAGE gel.

Proteins were transferred to a PVDF membrane and blocked with 5% NFDM/TBST for 1 hour at room temperature. The primary antibody (HA750026) at 1/5,000 dilution was used in 5% NFDM/TBST at 4℃ overnight. Goat Anti-Rabbit IgG - HRP Secondary Antibody (HA1001) at 1:50,000 dilution was used for 1 hour at room temperature.
HA750026_2.jpg Fig2: ICC staining of Cytokeratin 20 in CRC cells (green). Formalin fixed cells were permeabilized with 0.1% Triton X-100 in TBS for 10 minutes at room temperature and blocked with 1% Blocker BSA for 15 minutes at room temperature. Cells were probed with the primary antibody (HA750026, 1/50) for 1 hour at room temperature, washed with PBS. Alexa Fluor®488 Goat anti-Rabbit IgG was used as the secondary antibody at 1/1,000 dilution. The nuclear counter stain is DAPI (blue).
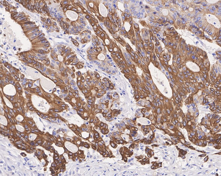
HA750026_3.jpg Fig3: Immunohistochemical analysis of paraffin-embedded human colon carcinoma tissue with Rabbit anti-Cytokeratin 20 antibody (HA750026) at 1/500 dilution.

The section was pre-treated using heat mediated antigen retrieval with Tris-EDTA buffer (pH 9.0) for 20 minutes. The tissues were blocked in 1% BSA for 20 minutes at room temperature, washed with ddH2O and PBS, and then probed with the primary antibody (HA750026) at 1/500 dilution for 1 hour at room temperature. The detection was performed using an HRP conjugated compact polymer system. DAB was used as the chromogen. Tissues were counterstained with hematoxylin and mounted with DPX.
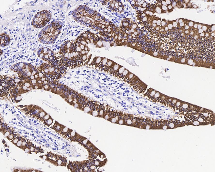
HA750026_4.jpg Fig4: Immunohistochemical analysis of paraffin-embedded human small intestine tissue with Rabbit anti-Cytokeratin 20 antibody (HA750026) at 1/200 dilution.

The section was pre-treated using heat mediated antigen retrieval with Tris-EDTA buffer (pH 9.0) for 20 minutes. The tissues were blocked in 1% BSA for 20 minutes at room temperature, washed with ddH2O and PBS, and then probed with the primary antibody (HA750026) at 1/200 dilution for 1 hour at room temperature. The detection was performed using an HRP conjugated compact polymer system. DAB was used as the chromogen. Tissues were counterstained with hematoxylin and mounted with DPX.
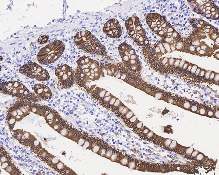
HA750026_5.jpg Fig5: Immunohistochemical analysis of paraffin-embedded human small intestine tissue with Rabbit anti-Cytokeratin 20 antibody (HA750026) at 1/200 dilution.

The section was not undergone antigen retrieval. The tissues were blocked in 1% BSA for 20 minutes at room temperature, washed with ddH2O and PBS, and then probed with the primary antibody (HA750026) at 1/200 dilution for 1 hour at room temperature. The detection was performed using an HRP conjugated compact polymer system. DAB was used as the chromogen. Tissues were counterstained with hematoxylin and mounted with DPX.
HA750026_6.jpg Fig6: Immunohistochemical analysis of paraffin-embedded rat small intestine tissue using anti-Cytokeratin 20 antibody. The section was pre-treated using heat mediated antigen retrieval with Tris-EDTA buffer (pH 8.0-8.4) for 20 minutes.The tissues were blocked in 5% BSA for 30 minutes at room temperature, washed with ddH2O and PBS, and then probed with the primary antibody (HA750026, 1/50) for 30 minutes at room temperature. The detection was performed using an HRP conjugated compact polymer system. DAB was used as the chromogen. Tissues were counterstained with hematoxylin and mounted with DPX.
HA750026_7.jpg Fig7: Flow cytometric analysis of Cytokeratin 20 was done on CRC cells. The cells were fixed, permeabilized and stained with the primary antibody (HA750026, 1/50) (blue). After incubation of the primary antibody at room temperature for an hour, the cells were stained with a Alexa Fluor 488-conjugated Goat anti-Rabbit IgG Secondary antibody at 1/1,000 dilution for 30 minutes.Unlabelled sample was used as a control (cells without incubation with primary antibody; red).
HA750026_8.jpg Fig8: Cytokeratin 20 was immunoprecipitated from 0.2 mg HT-29 cell lysate with HA750026 at 2 µg/10 µl beads. Western blot was performed from the immunoprecipitate using HA750026 at 1/1,000 dilution. HRP Conjugated Anti-Rabbit IgG for IP Nano-secondary antibody at 1/5,000 dilution was used for 1 hour at room temperature.

Lane 1: HT-29 cell lysate (input)
Lane 2: HA750026 IP in HT-29 cell lysate
Lane 3: Rabbit IgG instead of HA750026 in HT-29 cell lysate

Blocking/Dilution buffer: 5% NFDM/TBST
Exposure time: 3 seconds; ECL: K1801
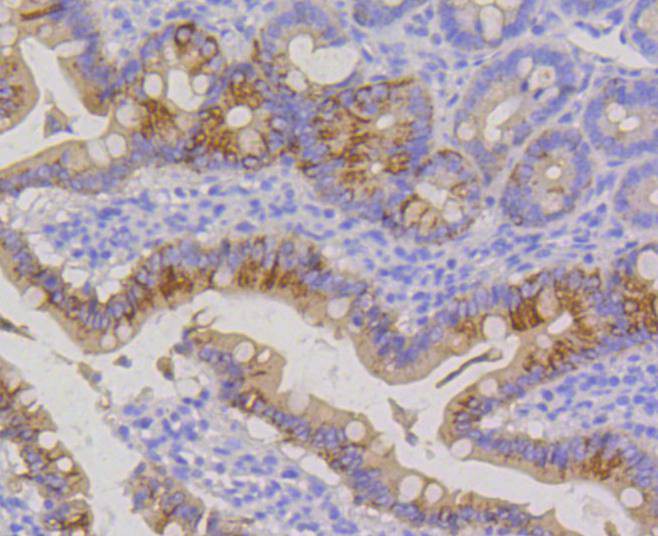
HA750026_9.jpg Fig9: Application: IF-Tissue

Species: Human

Site: small intestine

Sample: Paraffin-embedded section

Antibody concentration: 1/200
Note: All products are “FOR RESEARCH USE ONLY AND ARE NOT INTENDED FOR DIAGNOSTIC OR THERAPEUTIC USE”.