IRF1 Recombinant Rabbit Monoclonal Antibody [SR44-08]
cat.: HA750041
Product Type: Recombinant Rabbit monoclonal IgG, primary antibodies
Species reactivity: Human, Mouse, Rat
Applications: WB, IF-Cell, IF-Tissue, IHC-P, IP, FC
Clonality: Monoclonal
Clone number: SR44-08
Form: Liquid
Storage condition: Store at +4℃ after thawing. Aliquot store at -20℃ or -80℃. Avoid repeated freeze / thaw cycles.
Storage buffer: 1*PBS (pH7.4).
Concentration: 1ug/ul
Purification: Protein A affinity purified.
Molecular weight: Predicted band size: 37 kDa
Isotype: IgG
Immunogen: Recombinant protein within Human IRF1 aa 86-325 / 325.
Positive control: HeLa starved overnight then treated with 100ng/mL IFN gamma for 4 hours cell lysate, NIH/3T3 cell lysate, PC-12 cell lysate, HeLa cells starved overnight then treated with 100ng/mL IFN gamma for 4 hours, human colon carcinoma tissue, human breast carcinoma tissue, mouse brain tissue, Jurkat.
Subcellular location: Cytoplasm, Nucleus.
Recommended Dilutions:
  WB
  IF-Cell
  IF-Tissue
  IHC-P
  FC
  IP

1:1,000
1:50
1:50
1:50-1:200
1:1,000
1-2μg/sample
Uniprot #: SwissProt: P10914 Human | P15314 Mouse | P23570 Rat
Alternative names: Interferon regulatory factor 1 Interferon regulatory factor 1 isoform +I9 Interferon regulatory factor 1 isoform d78 Interferon regulatory factor 1 isoform delta4 Interferon regulatory factor 1 isoform delta7 IRF 1 IRF-1 IRF1 IRF1_HUMAN MAR MAR1
Images
HA750041_1.jpg Fig1: Western blot analysis of IRF1 on different lysates with Rabbit anti-IRF1 antibody (HA750041) at 1/1,000 dilution.

Lane 1: HeLa cell lysate
Lane 2: HeLa starved overnight then treated with 100ng/mL IFN gamma for 4 hours cell lysate

Lysates/proteins at 20 µg/Lane.

Predicted band size: 37 kDa
Observed band size: 50 kDa

Exposure time: 1 minute 50 seconds; ECL: K1801;

4-20% SDS-PAGE gel.

Proteins were transferred to a PVDF membrane and blocked with 5% NFDM/TBST for 1 hour at room temperature. The primary antibody (HA750041) at 1/1,000 dilution was used in 5% NFDM/TBST at 4℃ overnight. Goat Anti-Rabbit IgG - HRP Secondary Antibody (HA1001) at 1/50,000 dilution was used for 1 hour at room temperature.
HA750041_2.jpg Fig2: Western blot analysis of IRF1 on different lysates with Rabbit anti-IRF1 antibody (HA750041) at 1/1,000 dilution.

Lane 1: NIH/3T3 cell lysate (20 µg/Lane)
Lane 2: PC-12 cell lysate (20 µg/Lane)

Predicted band size: 50 kDa
Observed band size: 50 kDa

Exposure time: 59 seconds; ECL: K1801;
4-20% SDS-PAGE gel.

Proteins were transferred to a PVDF membrane and blocked with 5% NFDM/TBST for 1 hour at room temperature. The primary antibody (HA750041) at 1/1,000 dilution was used in 5% NFDM/TBST at 4℃ overnight. Goat Anti-Rabbit IgG - HRP Secondary Antibody (HA1001) at 1/50,000 dilution was used for 1 hour at room temperature.
HA750041_3.jpg Fig3: Immunocytochemistry analysis of HeLa cells untreated / starved overnight then treated with 100ng/mL IFN gamma for 4 hours labeling IRF1 with Rabbit anti-IRF1 antibody (HA750041) at 1/50 dilution.

Cells were fixed in 4% paraformaldehyde for 20 minutes at room temperature, permeabilized with 0.1% Triton X-100 in PBS for 5 minutes at room temperature, then blocked with 1% BSA in 10% negative goat serum for 1 hour at room temperature. Cells were then incubated with Rabbit anti-IRF1 antibody (HA750041) at 1/50 dilution in 1% BSA in PBST overnight at 4 ℃. Goat Anti-Rabbit IgG H&L (iFluor™ 488, HA1121) was used as the secondary antibody at 1/1,000 dilution. PBS instead of the primary antibody was used as the secondary antibody only control. Nuclear DNA was labelled in blue with DAPI.

Beta tubulin (M1305-2, red) was stained at 1/100 dilution overnight at +4℃. Goat Anti-Mouse IgG H&L (iFluor™ 594, HA1126) was used as the secondary antibody at 1/1,000 dilution.
HA750041_4.jpg Fig4: Immunohistochemical analysis of paraffin-embedded human colon carcinoma tissue using anti-IRF1 antibody. The section was pre-treated using heat mediated antigen retrieval with sodium citrate buffer (pH 6.0) (high pressure) for 2 minutes. The tissues were blocked in 5% BSA for 30 minutes at room temperature, washed with ddH2O and PBS, and then probed with the primary antibody (HA750041, 1/50) for 30 minutes at room temperature. The detection was performed using an HRP conjugated compact polymer system. DAB was used as the chromogen. Tissues were counterstained with hematoxylin and mounted with DPX.
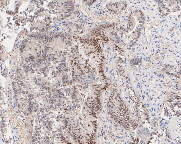
HA750041_5.jpg Fig5: Immunohistochemical analysis of paraffin-embedded human breast carcinoma tissue using anti-IRF1 antibody. The section was pre-treated using heat mediated antigen retrieval with sodium citrate buffer (pH 6.0) (high pressure) for 2 minutes. The tissues were blocked in 5% BSA for 30 minutes at room temperature, washed with ddH2O and PBS, and then probed with the primary antibody (HA750041, 1/50) for 30 minutes at room temperature. The detection was performed using an HRP conjugated compact polymer system. DAB was used as the chromogen. Tissues were counterstained with hematoxylin and mounted with DPX.
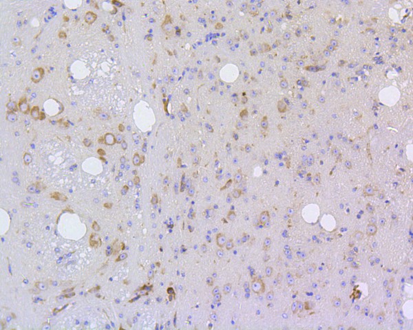
HA750041_6.jpg Fig6: Immunohistochemical analysis of paraffin-embedded mouse brain tissue using anti-IRF1 antibody. The section was pre-treated using heat mediated antigen retrieval with Tris-EDTA buffer (pH 8.0-8.4) for 20 minutes.The tissues were blocked in 5% BSA for 30 minutes at room temperature, washed with ddH2O and PBS, and then probed with the primary antibody (HA750041, 1/50) for 30 minutes at room temperature. The detection was performed using an HRP conjugated compact polymer system. DAB was used as the chromogen. Tissues were counterstained with hematoxylin and mounted with DPX.
HA750041_7.jpg Fig7: Flow cytometric analysis of Jurkat cells labeling IRF1.

Cells were fixed and permeabilized. Then stained with the primary antibody (HA750041, 1μg/mL) (red) compared with Rabbit IgG Isotype Control (green). After incubation of the primary antibody at +4℃ for an hour, the cells were stained with a iFluor™ 488 conjugate-Goat anti-Rabbit IgG Secondary antibody (HA1121) at 1/1,000 dilution for 30 minutes at +4℃. Unlabelled sample was used as a control (cells without incubation with primary antibody; black).
HA750041_8.jpg Fig8: IRF1 was immunoprecipitated from 0.2 mg HeLa treated with 50ng/mL IFN gamma for 16 hours cell lysate with HA750041 at 2 µg/10 µl beads. Western blot was performed from the immunoprecipitate using HA750041 at 1/2,000 dilution. HRP Conjugated Anti-Rabbit IgG for IP Nano-secondary antibody at 1/5,000 dilution was used for 1 hour at room temperature.

Lane 1: treated with 50ng/mL IFN gamma for 16 hours cell lysate (input)
Lane 2: HA750041 IP in treated with 50ng/mL IFN gamma for 16 hours cell lysate
Lane 3: Rabbit IgG instead of HA750041 in treated with 50ng/mL IFN gamma for 16 hours cell lysate

Blocking/Dilution buffer: primary antibody dilution (K1803)
Exposure time: 3 minutes; ECL: K1801
Note: All products are “FOR RESEARCH USE ONLY AND ARE NOT INTENDED FOR DIAGNOSTIC OR THERAPEUTIC USE”.