MEK1/2 Recombinant Rabbit Monoclonal Antibody [SR13-07]
cat.: HA750042
Product Type: Recombinant Rabbit monoclonal IgG, primary antibodies
Species reactivity: Human, Mouse, Rat, Zebrafish
Applications: WB, IF-Cell, IF-Tissue, IHC-P, IP, FC
Clonality: Monoclonal
Clone number: SR13-07
Form: Liquid
Storage condition: Store at +4℃ after thawing. Aliquot store at -20℃ or -80℃. Avoid repeated freeze / thaw cycles.
Storage buffer: 1*PBS (pH7.4).
Concentration: 1ug/ul
Purification: Protein A affinity purified.
Molecular weight: Predicted band size: 44 kDa
Isotype: IgG
Immunogen: Recombinant protein within Human MEK1 aa 1-393 / 393.
Positive control: HeLa cell lysate, HepG2 cell lysate, A431 cell lysate, NIH/3T3 cell lysate, mouse brain tissue lysate, PC-12 cell lysate, A549, NIH/3T3, human kidney tissue, mouse lung tissue, mouse kidney tissue, mouse hippocampus tissue, mouse brain tissue.
Subcellular location: Cytoplasm, Nucleus, Membrane, Mitochondrion
Recommended Dilutions:
  WB
  IF-Cell
  IF-Tissue
  IHC-P
  IP
  FC

1:5,000
1:50
1:50
1:200
1-2μg/sample
1:1,000
Uniprot #: SwissProt: P36507 Human | Q02750 Human | P31938 Mouse | Q63932 Mouse | P36506 Rat | Q01986 Rat
Alternative names: AA589381 CFC3 Dual specificity mitogen-activated protein kinase kinase 1 Dual specificity mitogen-activated protein kinase kinase 2 EC 2.7.12.2 ERK activator kinase 1 ERK activator kinase 2 FLJ26075 MAP kinase kinase 1 MAP kinase kinase 2 MAP2K1 MAP2K2 MAPK/ERK kinase 1 MAPK/ERK kinase 2 MAPKK 1 MAPKK1 MAPKK2 MEK 1 MEK1 MEKK1 Mitogen activated protein kinase kinase 1 Mitogen activated protein kinase kinase 2 Mitogen-activated protein kinase kinase 2, p45 MK2 MKK 1 MKK 2 MKK1 MKK2 MP2K1_HUMAN PRKMK 1 PRKMK 2 Prkmk1 Prkmk2 protein kinase, mitogen-activated, kinase 1 (MAP kinase kinase 1) Protein kinase, mitogen-activated, kinase 1 Protein kinase, mitogen-activated, kinase 2
Images
HA750042_1.jpg Fig1: Western blot analysis of MEK1/2 on different lysates with Rabbit anti-MEK1/2 antibody (HA750042) at 1/5,000 dilution.

Lane 1: HeLa cell lysate (15 µg/Lane)
Lane 2: HepG2 cell lysate (15 µg/Lane)
Lane 3: A431 cell lysate (15 µg/Lane)
Lane 4: NIH/3T3 cell lysate (15 µg/Lane)
Lane 5: Mouse brain tissue lysate (20 µg/Lane)
Lane 6: PC-12 cell lysate (15 µg/Lane)

Predicted band size: 44 kDa
Observed band size: 44 kDa

Exposure time: 1 minute 21 seconds;

4-20% SDS-PAGE gel.

Proteins were transferred to a PVDF membrane and blocked with 5% NFDM/TBST for 1 hour at room temperature. The primary antibody (HA750042) at 1/5,000 dilution was used in 5% NFDM/TBST at 4℃ overnight. Goat Anti-Rabbit IgG - HRP Secondary Antibody (HA1001) at 1/50,000 dilution was used for 1 hour at room temperature.
HA750042_2.jpg Fig2: ICC staining of MEK1/2 in A549 cells (green). Formalin fixed cells were permeabilized with 0.1% Triton X-100 in TBS for 10 minutes at room temperature and blocked with 1% Blocker BSA for 15 minutes at room temperature. Cells were probed with the primary antibody (HA750042, 1/50) for 1 hour at room temperature, washed with PBS. Alexa Fluor®488 Goat anti-Rabbit IgG was used as the secondary antibody at 1/1,000 dilution. The nuclear counter stain is DAPI (blue).
HA750042_3.jpg Fig3: ICC staining of MEK1/2 in NIH/3T3 cells (green). Formalin fixed cells were permeabilized with 0.1% Triton X-100 in TBS for 10 minutes at room temperature and blocked with 1% Blocker BSA for 15 minutes at room temperature. Cells were probed with the primary antibody (HA750042, 1/50) for 1 hour at room temperature, washed with PBS. Alexa Fluor®488 Goat anti-Rabbit IgG was used as the secondary antibody at 1/1,000 dilution. The nuclear counter stain is DAPI (blue).
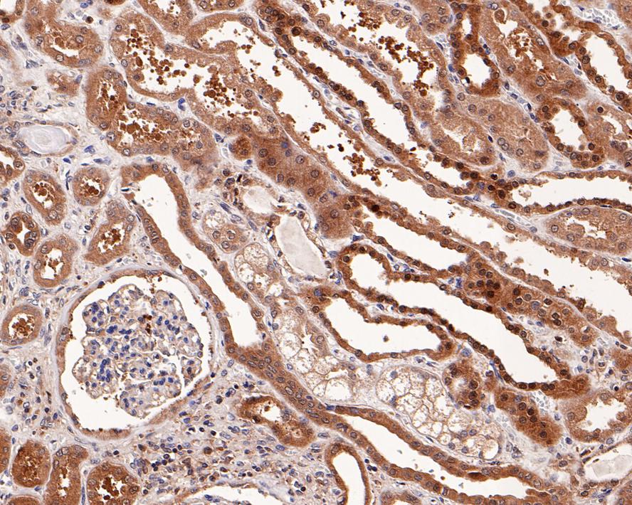
HA750042_4.jpg Fig4: Immunohistochemical analysis of paraffin-embedded human kidney tissue with Rabbit anti-MEK1/2 antibody (HA750042) at 1/200 dilution.

The section was pre-treated using heat mediated antigen retrieval with Tris-EDTA buffer (pH 9.0) for 20 minutes. The tissues were blocked in 1% BSA for 20 minutes at room temperature, washed with ddH2O and PBS, and then probed with the primary antibody (HA750042) at 1/200 dilution for 1 hour at room temperature. The detection was performed using an HRP conjugated compact polymer system. DAB was used as the chromogen. Tissues were counterstained with hematoxylin and mounted with DPX.
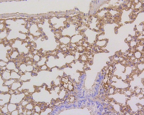
HA750042_5.jpg Fig5: Immunohistochemical analysis of paraffin-embedded mouse lung tissue using anti-MEK1/2 antibody. The section was pre-treated using heat mediated antigen retrieval with Tris-EDTA buffer (pH 8.0-8.4) for 20 minutes.The tissues were blocked in 5% BSA for 30 minutes at room temperature, washed with ddH2O and PBS, and then probed with the primary antibody (HA750042, 1/200) for 30 minutes at room temperature. The detection was performed using an HRP conjugated compact polymer system. DAB was used as the chromogen. Tissues were counterstained with hematoxylin and mounted with DPX.
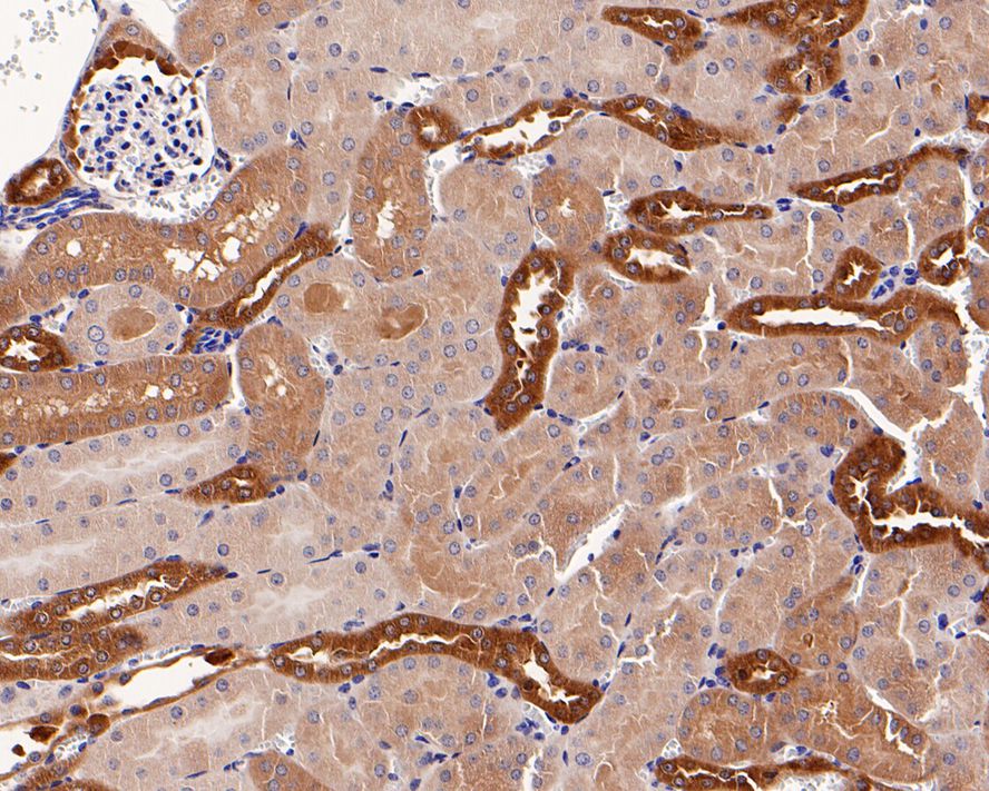
HA750042_6.jpg Fig6: Immunohistochemical analysis of paraffin-embedded mouse kidney tissue with Rabbit anti-MEK1/2 antibody (HA750042) at 1/200 dilution.

The section was pre-treated using heat mediated antigen retrieval with Tris-EDTA buffer (pH 9.0) for 20 minutes. The tissues were blocked in 1% BSA for 20 minutes at room temperature, washed with ddH2O and PBS, and then probed with the primary antibody (HA750042) at 1/200 dilution for 1 hour at room temperature. The detection was performed using an HRP conjugated compact polymer system. DAB was used as the chromogen. Tissues were counterstained with hematoxylin and mounted with DPX.
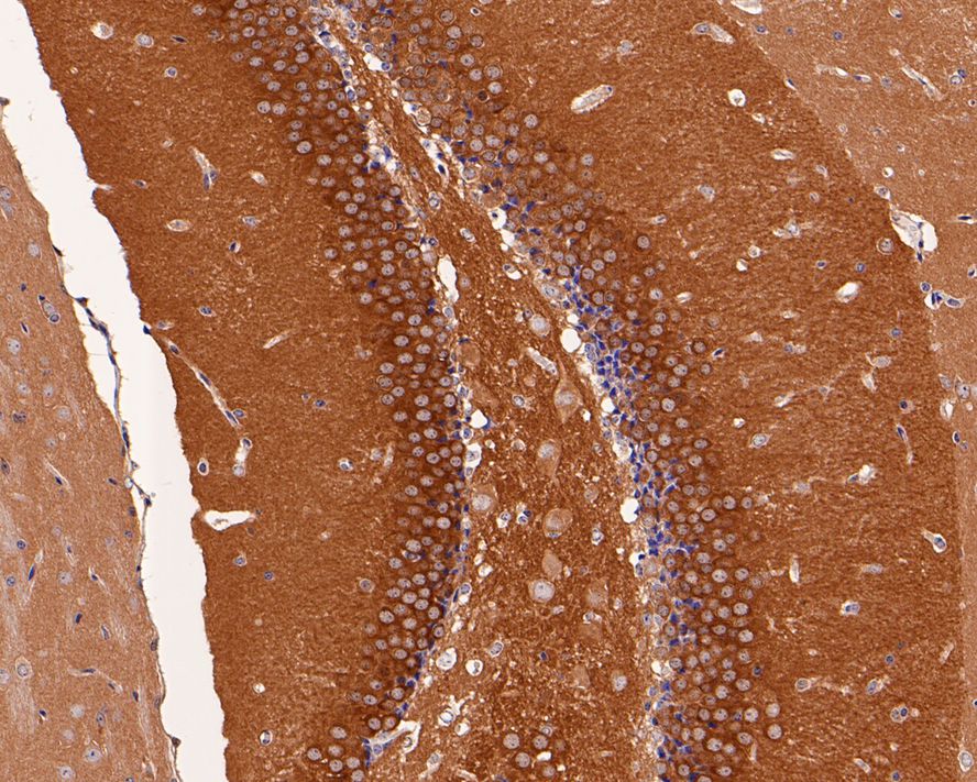
HA750042_7.jpg Fig7: Immunohistochemical analysis of paraffin-embedded mouse hippocampus tissue with Rabbit anti-MEK1/2 antibody (HA750042) at 1/1,000 dilution.

The section was pre-treated using heat mediated antigen retrieval with Tris-EDTA buffer (pH 9.0) for 20 minutes. The tissues were blocked in 1% BSA for 20 minutes at room temperature, washed with ddH2O and PBS, and then probed with the primary antibody (HA750042) at 1/1,000 dilution for 1 hour at room temperature. The detection was performed using an HRP conjugated compact polymer system. DAB was used as the chromogen. Tissues were counterstained with hematoxylin and mounted with DPX.
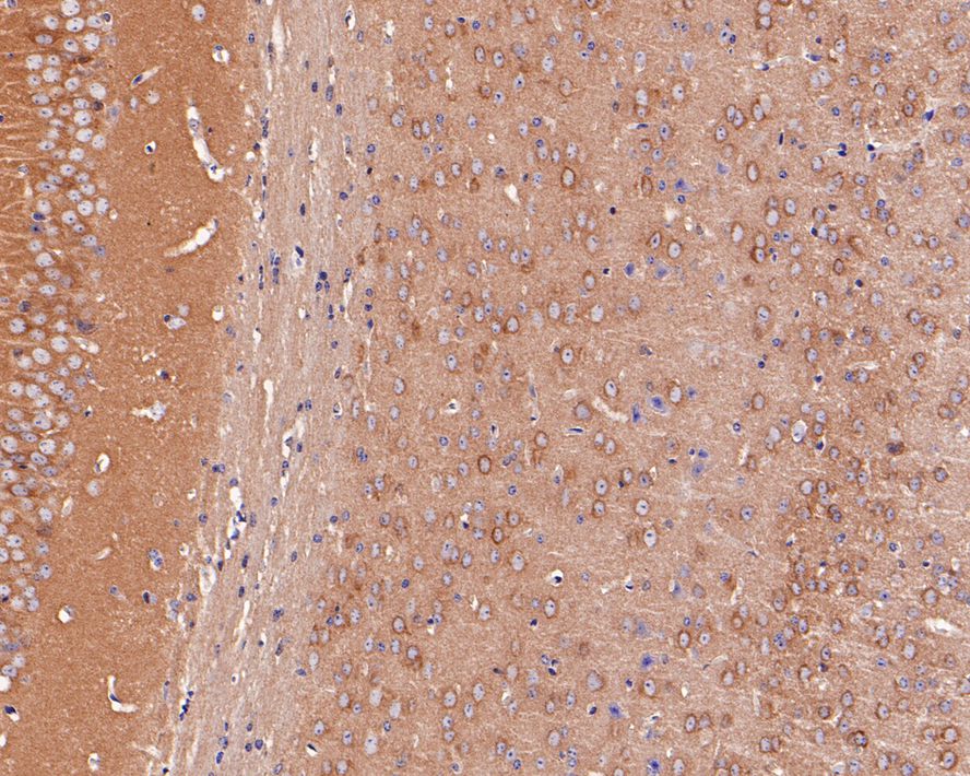
HA750042_8.jpg Fig8: Immunohistochemical analysis of paraffin-embedded mouse brain tissue with Rabbit anti-MEK1/2 antibody (HA750042) at 1/1,000 dilution.

The section was pre-treated using heat mediated antigen retrieval with Tris-EDTA buffer (pH 9.0) for 20 minutes. The tissues were blocked in 1% BSA for 20 minutes at room temperature, washed with ddH2O and PBS, and then probed with the primary antibody (HA750042) at 1/1,000 dilution for 1 hour at room temperature. The detection was performed using an HRP conjugated compact polymer system. DAB was used as the chromogen. Tissues were counterstained with hematoxylin and mounted with DPX.
HA750042_9.jpg Fig9: Immunocytochemistry analysis of PC-12 cells labeling MEK1/2 with Rabbit anti-MEK1/2 antibody (HA750042) at 1/100 dilution.

Cells were fixed in 4% paraformaldehyde for 20 minutes at room temperature, permeabilized with 0.1% Triton X-100 in PBS for 5 minutes at room temperature, then blocked with 1% BSA in 10% negative goat serum for 1 hour at room temperature. Cells were then incubated with Rabbit anti-MEK1/2 antibody (HA750042) at 1/100 dilution in 1% BSA in PBST overnight at 4 ℃. Goat Anti-Rabbit IgG H&L (iFluor™ 488, HA1121) was used as the secondary antibody at 1/1,000 dilution. PBS instead of the primary antibody was used as the secondary antibody only control. Nuclear DNA was labelled in blue with DAPI.

Beta tubulin (M1305-2, red) was stained at 1/100 dilution overnight at +4℃. Goat Anti-Mouse IgG H&L (iFluor™ 594, HA1126) was used as the secondary antibody at 1/1,000 dilution.
HA750042_10.jpg Fig10: Immunohistochemical analysis of paraffin-embedded rat brain tissue with Rabbit anti-MEK1/2 antibody (HA750042) at 1/10,000 dilution.

The section was pre-treated using heat mediated antigen retrieval with Tris-EDTA buffer (pH 9.0) for 20 minutes. The tissues were blocked in 1% BSA for 20 minutes at room temperature, washed with ddH2O and PBS, and then probed with the primary antibody (HA750042) at 1/10,000 dilution for 1 hour at room temperature. The detection was performed using an HRP conjugated compact polymer system. DAB was used as the chromogen. Tissues were counterstained with hematoxylin and mounted with DPX.
HA750042_11.jpg Fig11: Flow cytometric analysis of A549 cells labeling MEK1/2.

Cells were fixed and permeabilized. Then stained with the primary antibody (HA750042, 1μg/mL) (red) compared with Rabbit IgG Isotype Control (green). After incubation of the primary antibody at +4℃ for an hour, the cells were stained with a iFluor™ 488 conjugate-Goat anti-Rabbit IgG Secondary antibody (HA1121) at 1/1,000 dilution for 30 minutes at +4℃. Unlabelled sample was used as a control (cells without incubation with primary antibody; black).
HA750042_12.jpg Fig12: MEK1/2 was immunoprecipitated from 0.2 mg HeLa cell lysate with HA750042 at 2 µg/10 µl beads. Western blot was performed from the immunoprecipitate using HA750042 at 1/2,000 dilution. HRP Conjugated Anti-Rabbit IgG for IP Nano-secondary antibody at 1/5,000 dilution was used for 1 hour at room temperature.

Lane 1: HeLa cell lysate (input)
Lane 2: HA750042 IP in HeLa cell lysate
Lane 3: Rabbit IgG instead of HA750042 in HeLa cell lysate

Blocking/Dilution buffer: primary antibody dilution (K1803)
Exposure time: 3 seconds; ECL: K1801
Note: All products are “FOR RESEARCH USE ONLY AND ARE NOT INTENDED FOR DIAGNOSTIC OR THERAPEUTIC USE”.