Prohibitin Recombinant Rabbit Monoclonal Antibody [SR46-02]
cat.: HA750043
Product Type: Recombinant Rabbit monoclonal IgG, primary antibodies
Species reactivity: Human, Mouse, Rat, Zebrafish
Applications: WB, IF-Cell, IHC-P, IP, FC
Clonality: Monoclonal
Clone number: SR46-02
Form: Liquid
Storage condition: Store at +4℃ after thawing. Aliquot store at -20℃ or -80℃. Avoid repeated freeze / thaw cycles.
Storage buffer: 1*PBS (pH7.4).
Concentration: 1ug/ul
Purification: Protein A affinity purified.
Molecular weight: Predicted band size: 30 kDa
Isotype: IgG
Immunogen: Synthetic peptide within Human Prohibitin aa 147-196 / 272.
Positive control: HEK-293 cell lysate, NIH/3T3 cell lysate, PC-12 cell lysate, Mouse kidney tissue lysate, Rat brain tissue lysate, Rat kidney tissue lysate, hybrid fish (crucian-carp) liver tissue lysates, HepG2, PC-12, NIH/3T3, human liver carcinoma tissue, human kidney tissue, mouse liver tissue, mouse kidney tissue, mouse stomach tissue, mouse heart tissue, human liver tissue.
Subcellular location: Cell membrane, Cytoplasm, Membrane, Mitochondrion, Mitochondrion inner membrane, Nucleus.
Recommended Dilutions:
  WB
  IF-Cell
  IHC-P
  FC
  IP

1:1,000
1:100-1:1,000
1:200-1:1,000
1:1,000
1-2μg/sample
Uniprot #: SwissProt: P35232 Human | P67778 Mouse | P67779 Rat | Q7T1D8 Zebrafish
Alternative names: Epididymis luminal protein 215 Epididymis secretory sperm binding protein Li 54e HEL 215 HEL S 54e PHB PHB_HUMAN PHB1 Prohibitin
Images
HA750043_1.jpg Fig1: Western blot analysis of Prohibitin on different lysates with Rabbit anti-Prohibitin antibody (HA750043) at 1/1,000 dilution.

Lane 1: HEK-293 cell lysate (20 µg/Lane)
Lane 2: NIH/3T3 cell lysate (20 µg/Lane)
Lane 3: PC-12 cell lysate (20 µg/Lane)
Lane 4: Mouse kidney tissue lysate (40 µg/Lane)
Lane 5: Rat brain tissue lysate (40 µg/Lane)
Lane 6: Rat kidney tissue lysate (40 µg/Lane)

Predicted band size: 30 kDa
Observed band size: 30 kDa

Exposure time: 10 seconds; ECL: K1801;

4-20% SDS-PAGE gel.

Proteins were transferred to a PVDF membrane and blocked with 5% NFDM/TBST for 1 hour at room temperature. The primary antibody (HA750043) at 1/1,000 dilution was used in 5% NFDM/TBST at 4℃ overnight. Goat Anti-Rabbit IgG - HRP Secondary Antibody (HA1001) at 1/50,000 dilution was used for 1 hour at room temperature.
HA750043_2.jpg Fig2: Immunocytochemistry analysis of HepG2 cells labeling Prohibitin with Rabbit anti-Prohibitin antibody (HA750043) at 1/100 dilution.

Cells were fixed in 100% precooled methanol for 5 minutes at room temperature, then blocked with 1% BSA in 10% negative goat serum for 1 hour at room temperature. Cells were then incubated with Rabbit anti-Prohibitin antibody (HA750043) at 1/100 dilution in 1% BSA in PBST overnight at 4 ℃. Goat Anti-Rabbit IgG H&L (iFluor™ 488, HA1121) was used as the secondary antibody at 1/1,000 dilution. PBS instead of the primary antibody was used as the secondary antibody only control. Nuclear DNA was labelled in blue with DAPI.

Beta tubulin (M1305-2, red) was stained at 1/100 dilution overnight at +4℃. Goat Anti-Mouse IgG H&L (iFluor™ 594, HA1126) was used as the secondary antibody at 1/1,000 dilution.
HA750043_3.jpg Fig3: Immunocytochemistry analysis of PC-12 cells labeling Prohibitin with Rabbit anti-Prohibitin antibody (HA750043) at 1/1,000 dilution.

Cells were fixed in 4% paraformaldehyde for 15 minutes at room temperature, permeabilized with 0.1% Triton X-100 in PBS for 15 minutes at room temperature, then blocked with 1% BSA in 10% negative goat serum for 1 hour at room temperature. Cells were then incubated with Rabbit anti-Prohibitin antibody (HA750043) at 1/1,000 dilution in 1% BSA in PBST overnight at 4 ℃. Goat Anti-Rabbit IgG H&L (iFluor™ 488, HA1121) was used as the secondary antibody at 1/1,000 dilution. PBS instead of the primary antibody was used as the secondary antibody only control. Nuclear DNA was labelled in blue with DAPI.

Beta tubulin (HA601187, red) was stained at 1/100 dilution overnight at +4℃. Goat Anti-Mouse IgG H&L (iFluor™ 594, HA1126) was used as the secondary antibody at 1/1,000 dilution.
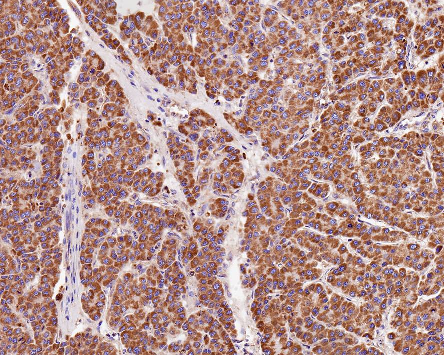
HA750043_4.jpg Fig4: Immunohistochemical analysis of paraffin-embedded human liver carcinoma tissue with Rabbit anti-Prohibitin antibody (HA750043) at 1/200 dilution.

The section was pre-treated using heat mediated antigen retrieval with Tris-EDTA buffer (pH 9.0) for 20 minutes. The tissues were blocked in 1% BSA for 20 minutes at room temperature, washed with ddH2O and PBS, and then probed with the primary antibody (HA750043) at 1/200 dilution for 1 hour at room temperature. The detection was performed using an HRP conjugated compact polymer system. DAB was used as the chromogen. Tissues were counterstained with hematoxylin and mounted with DPX.
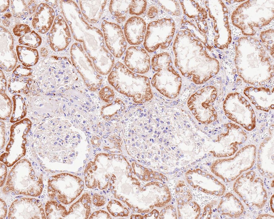
HA750043_5.jpg Fig5: Immunohistochemical analysis of paraffin-embedded human kidney tissue with Rabbit anti-Prohibitin antibody (HA750043) at 1/1,000 dilution.

The section was pre-treated using heat mediated antigen retrieval with Tris-EDTA buffer (pH 9.0) for 20 minutes. The tissues were blocked in 1% BSA for 20 minutes at room temperature, washed with ddH2O and PBS, and then probed with the primary antibody (HA750043) at 1/1,000 dilution for 1 hour at room temperature. The detection was performed using an HRP conjugated compact polymer system. DAB was used as the chromogen. Tissues were counterstained with hematoxylin and mounted with DPX.
HA750043_6.jpg Fig6: Immunohistochemical analysis of paraffin-embedded mouse liver tissue using anti-Prohibitin antibody. The section was pre-treated using heat mediated antigen retrieval with Tris-EDTA buffer (pH 8.0-8.4) for 20 minutes.The tissues were blocked in 5% BSA for 30 minutes at room temperature, washed with ddH2O and PBS, and then probed with the primary antibody (HA750043, 1/400) for 30 minutes at room temperature. The detection was performed using an HRP conjugated compact polymer system. DAB was used as the chromogen. Tissues were counterstained with hematoxylin and mounted with DPX.
HA750043_7.jpg Fig7: Immunohistochemical analysis of paraffin-embedded mouse kidney tissue using anti-Prohibitin antibody. The section was pre-treated using heat mediated antigen retrieval with Tris-EDTA buffer (pH 8.0-8.4) for 20 minutes.The tissues were blocked in 5% BSA for 30 minutes at room temperature, washed with ddH2O and PBS, and then probed with the primary antibody (HA750043, 1/200) for 30 minutes at room temperature. The detection was performed using an HRP conjugated compact polymer system. DAB was used as the chromogen. Tissues were counterstained with hematoxylin and mounted with DPX.
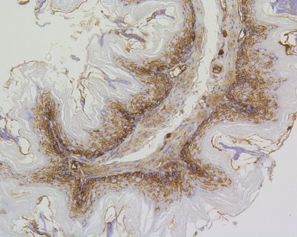
HA750043_8.jpg Fig8: Immunohistochemical analysis of paraffin-embedded mouse stomach tissue using anti-Prohibitin antibody. The section was pre-treated using heat mediated antigen retrieval with Tris-EDTA buffer (pH 8.0-8.4) for 20 minutes.The tissues were blocked in 5% BSA for 30 minutes at room temperature, washed with ddH2O and PBS, and then probed with the primary antibody (HA750043, 1/200) for 30 minutes at room temperature. The detection was performed using an HRP conjugated compact polymer system. DAB was used as the chromogen. Tissues were counterstained with hematoxylin and mounted with DPX.
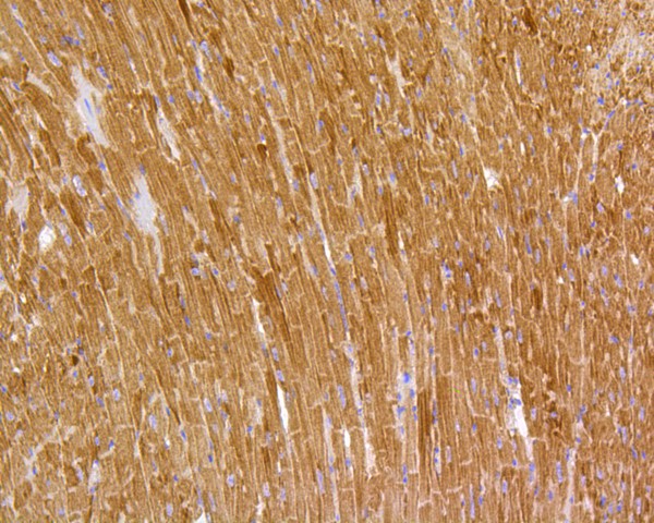
HA750043_9.jpg Fig9: Immunohistochemical analysis of paraffin-embedded mouse heart tissue using anti-Prohibitin antibody. The section was pre-treated using heat mediated antigen retrieval with Tris-EDTA buffer (pH 8.0-8.4) for 20 minutes.The tissues were blocked in 5% BSA for 30 minutes at room temperature, washed with ddH2O and PBS, and then probed with the primary antibody (HA750043, 1/200) for 30 minutes at room temperature. The detection was performed using an HRP conjugated compact polymer system. DAB was used as the chromogen. Tissues were counterstained with hematoxylin and mounted with DPX.
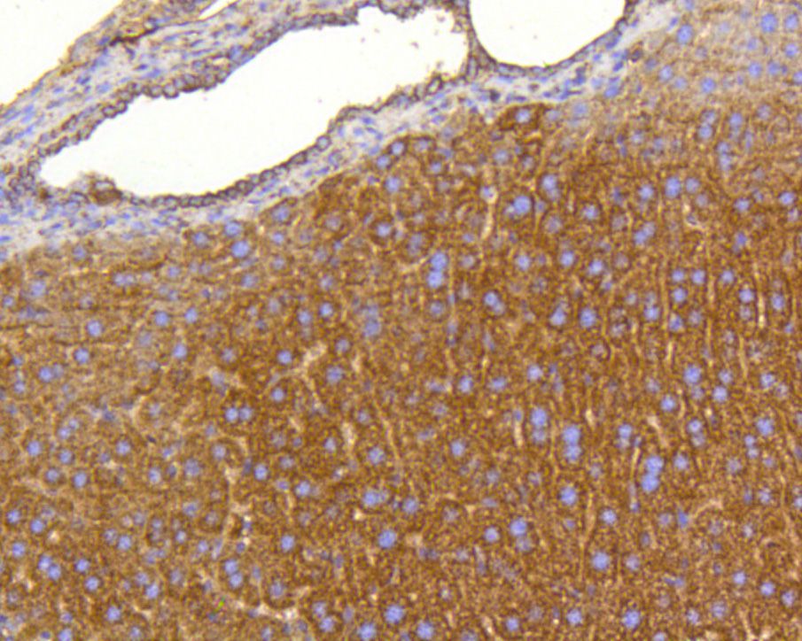
HA750043_10.jpg Fig10: Immunohistochemical analysis of paraffin-embedded human liver tissue with Rabbit anti-Prohibitin antibody (HA750043) at 1/200 dilution.

The section was pre-treated using heat mediated antigen retrieval with Tris-EDTA buffer (pH 9.0) for 20 minutes. The tissues were blocked in 1% BSA for 20 minutes at room temperature, washed with ddH2O and PBS, and then probed with the primary antibody (HA750043) at 1/200 dilution for 1 hour at room temperature. The detection was performed using an HRP conjugated compact polymer system. DAB was used as the chromogen. Tissues were counterstained with hematoxylin and mounted with DPX.
HA750043_11.jpg Fig11: Flow cytometric analysis of HepG2 cells labeling Prohibitin.

Cells were fixed and permeabilized. Then stained with the primary antibody (HA750043, 1μg/mL) (red) compared with Rabbit IgG Isotype Control (green). After incubation of the primary antibody at +4℃ for an hour, the cells were stained with a iFluor™ 488 conjugate-Goat anti-Rabbit IgG Secondary antibody (HA1121) at 1/1,000 dilution for 30 minutes at +4℃. Unlabelled sample was used as a control (cells without incubation with primary antibody; black).
HA750043_12.jpg Fig12: Western blot analysis of Prohibitin on hybrid fish (crucian-carp) liver tissue lysates. Proteins were transferred to a PVDF membrane and blocked with 5% BSA in PBS for 1 hour at room temperature. The primary antibody (HA750043, 1/500) was used in 5% BSA at room temperature for 2 hours. Goat Anti-Rabbit IgG - HRP Secondary Antibody (HA1001) at 1:5,000 dilution was used for 1 hour at room temperature.
HA750043_13.jpg Fig13: Prohibitin was immunoprecipitated from 0.2 mg HEK-293 cell lysate with HA750043 at 2 µg/10 µl beads. Western blot was performed from the immunoprecipitate using HA750043 at 1/2,000 dilution. HRP Conjugated Anti-Rabbit IgG for IP Nano-secondary antibody at 1/5,000 dilution was used for 1 hour at room temperature.

Lane 1: HEK-293 cell lysate (input)
Lane 2: HA750043 IP in HEK-293 cell lysate
Lane 3: Rabbit IgG instead of HA750043 in HEK-293 cell lysate

Blocking/Dilution buffer: primary antibody dilution (K1803)
Exposure time: 3 seconds; ECL: K1801
Note: All products are “FOR RESEARCH USE ONLY AND ARE NOT INTENDED FOR DIAGNOSTIC OR THERAPEUTIC USE”.