Hsc70 Recombinant Rabbit Monoclonal Antibody [SR39-04]
cat.: HA750044
Product Type: Recombinant Rabbit monoclonal IgG, primary antibodies
Species reactivity: Human, Mouse, Rat
Applications: WB, IF-Cell, IF-Tissue, IHC-P
Clonality: Monoclonal
Clone number: SR39-04
Form: Liquid
Storage condition: Store at +4℃ after thawing. Aliquot store at -20℃ or -80℃. Avoid repeated freeze / thaw cycles.
Storage buffer: 1*PBS (pH7.4).
Concentration: 1ug/ul
Purification: Protein A affinity purified.
Molecular weight: Predicted band size: 71 kDa
Isotype: IgG
Immunogen: Synthetic peptide within Human Hsc70 aa 597-646 / 646.
Positive control: HeLa cell lysate, A431 cell lysate, MCF7 cell lysate, NIH/3T3 cell lysate, PC-12 cell lysate, mouse brain tissue lysate, rat brain tissue lysate, MCF-7, NIH/3T3, human tonsil tissue, human breast carcinoma tissue.
Subcellular location: Cell membrane, Cytoplasm, Membrane, Nucleus, Spliceosome.
Recommended Dilutions:
  WB
  IF-Cell
  IF-Tissue
  IHC-P

1:1,000
1:50
1:50
1:50
Uniprot #: SwissProt: P11142 Human | P63017 Mouse | P63018 Rat
Alternative names: 2410008N15Rik Constitutive heat shock protein 70 Epididymis luminal protein 33 Epididymis secretory sperm binding protein Li 72p Heat shock 70 kDa protein 8 Heat shock 70kD protein 10 Heat shock 70kD protein 8 Heat shock 70kDa protein 8 Heat shock cognate 71 kDa protein Heat shock cognate protein 54 Heat shock cognate protein 71 kDa Heat shock protein 8 Heat shock protein A8 Heat-shock70-KD protein 10, formerly HEL 33 HEL S 72p HSC54 HSC71 Hsc73 HSP71 HSP73 HSP7C_HUMAN HSPA10 HSPA8 LAP1 Lipopolysaccharide associated protein 1 LPS associated protein 1 LPS associated protein MGC102007 MGC106514 MGC114311 MGC118485 MGC131511 MGC29929 N-myristoyltransferase inhibitor protein 71 NIP71
Images
HA750044_1.jpg Fig1: Western blot analysis of Hsc70 on different lysates with Rabbit anti-Hsc70 antibody (HA750044) at 1/1,000 dilution.

Lane 1: HeLa cell lysate (20 µg/Lane)
Lane 2: A431 cell lysate (20 µg/Lane)
Lane 3: MCF7 cell lysate (20 µg/Lane)
Lane 4: NIH/3T3 cell lysate (20 µg/Lane)
Lane 5: PC-12 cell lysate (20 µg/Lane)
Lane 6: Mouse brain tissue lysate (40 µg/Lane)
Lane 7: Rat brain tissue lysate (40 µg/Lane)

Predicted band size: 71 kDa
Observed band size: 71 kDa

Exposure time: 2 minutes; ECL: K1801;

4-20% SDS-PAGE gel.

Proteins were transferred to a PVDF membrane and blocked with 5% NFDM/TBST for 1 hour at room temperature. The primary antibody (HA750044) at 1/1,000 dilution was used in 5% NFDM/TBST at 4℃ overnight. Goat Anti-Rabbit IgG - HRP Secondary Antibody (HA1001) at 1/50,000 dilution was used for 1 hour at room temperature.
HA750044_2.jpg Fig2: ICC staining of Hsc70 in MCF-7 cells (green). Formalin fixed cells were permeabilized with 0.1% Triton X-100 in TBS for 10 minutes at room temperature and blocked with 1% Blocker BSA for 15 minutes at room temperature. Cells were probed with the primary antibody (HA750044, 1/50) for 1 hour at room temperature, washed with PBS. Alexa Fluor®488 Goat anti-Rabbit IgG was used as the secondary antibody at 1/1,000 dilution. The nuclear counter stain is DAPI (blue).
HA750044_3.jpg Fig3: ICC staining of Hsc70 in NIH/3T3 cells (green). Formalin fixed cells were permeabilized with 0.1% Triton X-100 in TBS for 10 minutes at room temperature and blocked with 1% Blocker BSA for 15 minutes at room temperature. Cells were probed with the primary antibody (HA750044, 1/50) for 1 hour at room temperature, washed with PBS. Alexa Fluor®488 Goat anti-Rabbit IgG was used as the secondary antibody at 1/1,000 dilution. The nuclear counter stain is DAPI (blue).
HA750044_4.jpg Fig4: Immunohistochemical analysis of paraffin-embedded human tonsil tissue using anti-Hsc70 antibody. The section was pre-treated using heat mediated antigen retrieval with Tris-EDTA buffer (pH 8.0-8.4) for 20 minutes.The tissues were blocked in 5% BSA for 30 minutes at room temperature, washed with ddH2O and PBS, and then probed with the primary antibody (HA750044, 1/50) for 30 minutes at room temperature. The detection was performed using an HRP conjugated compact polymer system. DAB was used as the chromogen. Tissues were counterstained with hematoxylin and mounted with DPX.
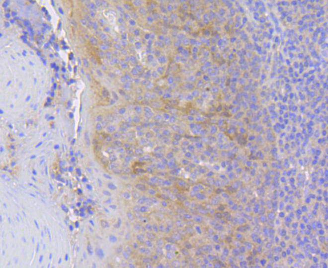
HA750044_5.jpg Fig5: Immunohistochemical analysis of paraffin-embedded human breast carcinoma tissue using anti-Hsc70 antibody. The section was pre-treated using heat mediated antigen retrieval with Tris-EDTA buffer (pH 8.0-8.4) for 20 minutes.The tissues were blocked in 5% BSA for 30 minutes at room temperature, washed with ddH2O and PBS, and then probed with the primary antibody (HA750044, 1/50) for 30 minutes at room temperature. The detection was performed using an HRP conjugated compact polymer system. DAB was used as the chromogen. Tissues were counterstained with hematoxylin and mounted with DPX.
Note: All products are “FOR RESEARCH USE ONLY AND ARE NOT INTENDED FOR DIAGNOSTIC OR THERAPEUTIC USE”.