Phospho-Rb (S807) Recombinant Rabbit Monoclonal Antibody [SR3-82]
cat.: HA750045
Product Type: Recombinant Rabbit monoclonal IgG, primary antibodies
Species reactivity: Human, Mouse, Rat
Applications: WB, IF-Cell, IF-Tissue, IHC-P
Clonality: Monoclonal
Clone number: SR3-82
Form: Liquid
Storage condition: Store at +4℃ after thawing. Aliquot store at -20℃ or -80℃. Avoid repeated freeze / thaw cycles.
Storage buffer: 1*PBS (pH7.4).
Concentration: 1ug/ul
Purification: Protein A affinity purified.
Molecular weight: Predicted band size: 106 kDa
Isotype: IgG
Immunogen: Synthetic phospho-peptide corresponding to residues surrounding Ser807 of Human Rb.
Positive control: K-562 cell lysate, K-562, L929, C6, human tonsil tissue, human lung squamous cell carcinoma tissue, human spleen tissue, mouse spleen tissue, rat spleen tissue.
Subcellular location: Nucleus.
Recommended Dilutions:
  WB
  IF-Cell
  IF-Tissue
  IHC-P

1:2,000
1:50-1:100
1:50-1:200
1:200-1:1,000
Uniprot #: SwissProt: P06400 Human | P13405 Mouse | P33568 Rat
Alternative names: OSRC Osteosarcoma p105-Rb P105RB PP105 pp110 PPP1R130 pRb Prepro retinoblastoma associated protein Protein phosphatase 1 regulatory subunit 130 Rb RB_HUMAN RB1 RB1 gene Retinoblastoma 1 Retinoblastoma suspectibility protein Retinoblastoma-associated protein
Images
HA750045_1.jpg Fig1: Western blot analysis of Phospho-Rb (S807) on different lysates with Rabbit anti-Phospho-Rb (S807) antibody (HA750045) at 1/2,000 dilution.

Lane 1: K-562 cell lysate (no heat)
Lane 2: K-562 cell lysate
Lane 3: K-562 cell lysate (no heat), treated with λpp for 1 hour
Lane 4: K-562 cell lysate, treated with λpp for 1 hour

Notice: no heat means the lysate is not boiled.

Lysates/proteins at 15 µg/Lane.

Predicted band size: 106 kDa
Observed band size: 106 kDa

Exposure time: 2 minutes;

4-20% SDS-PAGE gel.

Proteins were transferred to a PVDF membrane and blocked with 5% NFDM/TBST for 1 hour at room temperature. The primary antibody (HA750045) at 1/2,000 dilution was used in 5% NFDM/TBST at room temperature for 2 hours. Goat Anti-Rabbit IgG - HRP Secondary Antibody (HA1001) at 1:100,000 dilution was used for 1 hour at room temperature.
HA750045_2.jpg Fig2: Immunocytochemistry analysis of K-562 cells treated with or without λpp labeling Phospho-Rb (S807) with Rabbit anti-Phospho-Rb (S807) antibody (HA750045) at 1/100 dilution.

Cells were fixed in 4% paraformaldehyde for 15 minutes at room temperature, permeabilized with 0.1% Triton X-100 in PBS for 15 minutes at room temperature, then blocked with 1% BSA in 10% negative goat serum for 1 hour at room temperature. Cells were then incubated with Rabbit anti-Phospho-Rb (S807) antibody (HA750045) at 1/100 dilution in 1% BSA in PBST overnight at 4 ℃. Goat Anti-Rabbit IgG H&L (iFluor™ 488, HA1121) was used as the secondary antibody at 1/1,000 dilution. PBS instead of the primary antibody was used as the secondary antibody only control. Nuclear DNA was labelled in blue with DAPI.

Beta tubulin (HA601187, red) was stained at 1/100 dilution overnight at +4℃. Goat Anti-Mouse IgG H&L (iFluor™ 594, HA1126) was used as the secondary antibody at 1/1,000 dilution.
HA750045_3.jpg Fig3: Immunocytochemistry analysis of L929 cells labeling Phospho-Rb (S807) with Rabbit anti-Phospho-Rb (S807) antibody (HA750045) at 1/100 dilution.

Cells were fixed in 4% paraformaldehyde for 15 minutes at room temperature, permeabilized with 0.1% Triton X-100 in PBS for 15 minutes at room temperature, then blocked with 1% BSA in 10% negative goat serum for 1 hour at room temperature. Cells were then incubated with Rabbit anti-Phospho-Rb (S807) antibody (HA750045) at 1/100 dilution in 1% BSA in PBST overnight at 4 ℃. Goat Anti-Rabbit IgG H&L (iFluor™ 488, HA1121) was used as the secondary antibody at 1/1,000 dilution. PBS instead of the primary antibody was used as the secondary antibody only control. Nuclear DNA was labelled in blue with DAPI.

Beta tubulin (HA601187, red) was stained at 1/100 dilution overnight at +4℃. Goat Anti-Mouse IgG H&L (iFluor™ 594, HA1126) was used as the secondary antibody at 1/1,000 dilution.
HA750045_4.jpg Fig4: Immunocytochemistry analysis of C6 cells labeling Phospho-Rb (S807) with Rabbit anti-Phospho-Rb (S807) antibody (HA750045) at 1/50 dilution.

Cells were fixed in 4% paraformaldehyde for 15 minutes at room temperature, permeabilized with 0.1% Triton X-100 in PBS for 15 minutes at room temperature, then blocked with 1% BSA in 10% negative goat serum for 1 hour at room temperature. Cells were then incubated with Rabbit anti-Phospho-Rb (S807) antibody (HA750045) at 1/50 dilution in 1% BSA in PBST overnight at 4 ℃. Goat Anti-Rabbit IgG H&L (iFluor™ 488, HA1121) was used as the secondary antibody at 1/1,000 dilution. PBS instead of the primary antibody was used as the secondary antibody only control. Nuclear DNA was labelled in blue with DAPI.

Beta tubulin (HA601187, red) was stained at 1/100 dilution overnight at +4℃. Goat Anti-Mouse IgG H&L (iFluor™ 594, HA1126) was used as the secondary antibody at 1/1,000 dilution.
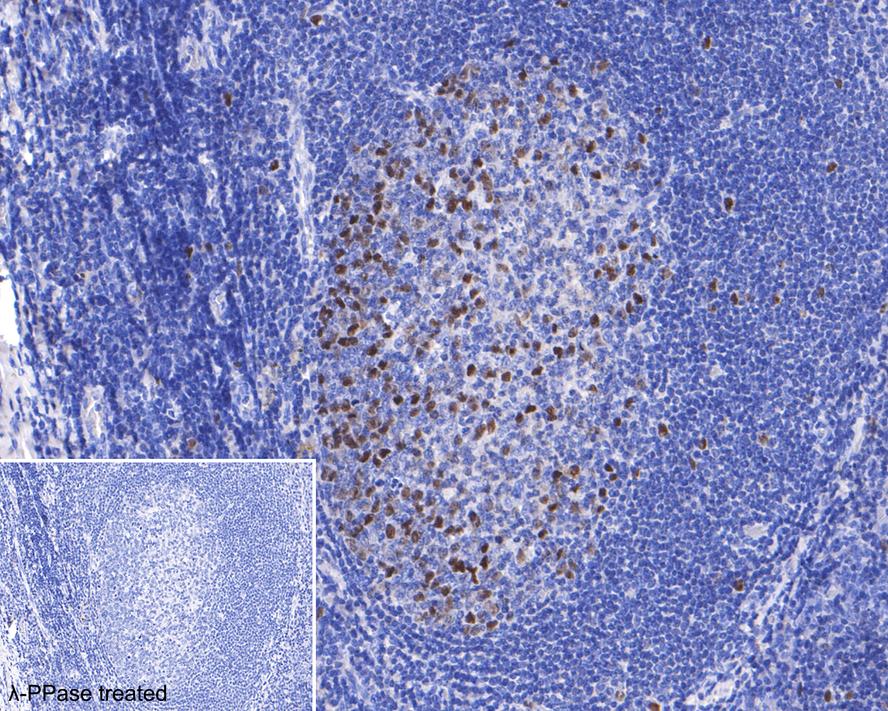
HA750045_5.jpg Fig5: Immunohistochemical analysis of paraffin-embedded human tonsil tissue untreated / treated with λpp with Rabbit anti-Phospho-Rb (S807) antibody (HA750045) at 1/200 dilution.

The section was pre-treated using heat mediated antigen retrieval with Tris-EDTA buffer (pH 9.0) for 20 minutes. The tissues were blocked in 1% BSA for 20 minutes at room temperature, washed with ddH2O and PBS, and then probed with the primary antibody (HA750045) at 1/200 dilution for 1 hour at room temperature. The detection was performed using an HRP conjugated compact polymer system. DAB was used as the chromogen. Tissues were counterstained with hematoxylin and mounted with DPX.
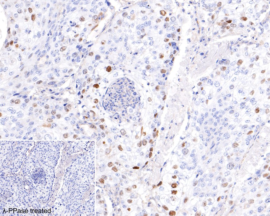
HA750045_6.jpg Fig6: Immunohistochemical analysis of paraffin-embedded human lung squamous cell carcinoma tissue untreated / treated with λpp with Rabbit anti-Phospho-Rb (S807) antibody (HA750045) at 1/200 dilution.

The section was pre-treated using heat mediated antigen retrieval with Tris-EDTA buffer (pH 9.0) for 20 minutes. The tissues were blocked in 1% BSA for 20 minutes at room temperature, washed with ddH2O and PBS, and then probed with the primary antibody (HA750045) at 1/200 dilution for 1 hour at room temperature. The detection was performed using an HRP conjugated compact polymer system. DAB was used as the chromogen. Tissues were counterstained with hematoxylin and mounted with DPX.
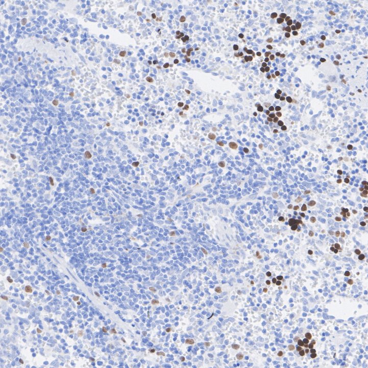
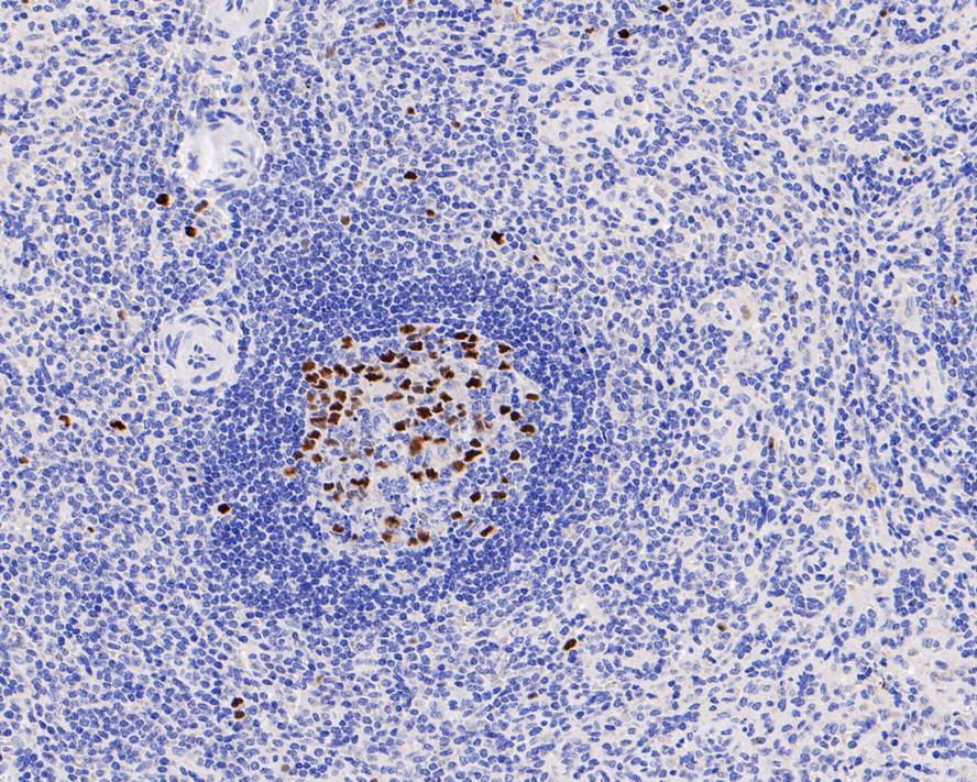
HA750045_7.jpg Fig7: Immunohistochemical analysis of paraffin-embedded human spleen tissue with Rabbit anti-Phospho-Rb (S807) antibody (HA750045) at 1/1,000 dilution.

The section was pre-treated using heat mediated antigen retrieval with sodium citrate buffer (pH 6.0) (high pressure) for 2 minutes. The tissues were blocked in 1% BSA for 20 minutes at room temperature, washed with ddH2O and PBS, and then probed with the primary antibody (HA750045) at 1/1,000 dilution for 1 hour at room temperature. The detection was performed using an HRP conjugated compact polymer system. DAB was used as the chromogen. Tissues were counterstained with hematoxylin and mounted with DPX.
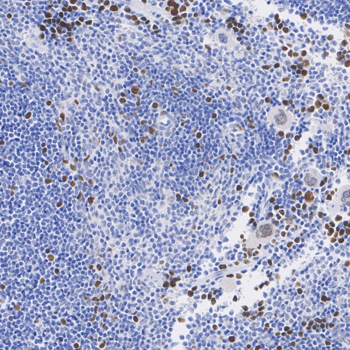
HA750045_8.jpg Fig8: Immunohistochemical analysis of paraffin-embedded mouse spleen tissue with Rabbit anti-Phospho-Rb (S807) antibody (HA750045) at 1/1,000 dilution.

The section was pre-treated using heat mediated antigen retrieval with Tris-EDTA buffer (pH 9.0) for 20 minutes. The tissues were blocked in 1% BSA for 20 minutes at room temperature, washed with ddH2O and PBS, and then probed with the primary antibody (HA750045) at 1/1,000 dilution for 1 hour at room temperature. The detection was performed using an HRP conjugated compact polymer system. DAB was used as the chromogen. Tissues were counterstained with hematoxylin and mounted with DPX.
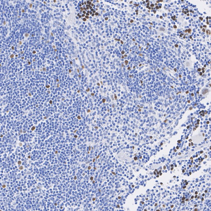
HA750045_9.jpg Fig9: Immunohistochemical analysis of paraffin-embedded mouse spleen tissue with Rabbit anti-Phospho-Rb (S807) antibody (HA750045) at 1/1,000 dilution.

The section was pre-treated using heat mediated antigen retrieval with sodium citrate buffer (pH 6.0) (high pressure) for 2 minutes. The tissues were blocked in 1% BSA for 20 minutes at room temperature, washed with ddH2O and PBS, and then probed with the primary antibody (HA750045) at 1/1,000 dilution for 1 hour at room temperature. The detection was performed using an HRP conjugated compact polymer system. DAB was used as the chromogen. Tissues were counterstained with hematoxylin and mounted with DPX.
HA750045_10.jpg Fig10: Immunohistochemical analysis of paraffin-embedded rat spleen tissue with Rabbit anti-Phospho-Rb (S807) antibody (HA750045) at 1/1,000 dilution.

The section was pre-treated using heat mediated antigen retrieval with sodium citrate buffer (pH 6.0) (high pressure) for 2 minutes. The tissues were blocked in 1% BSA for 20 minutes at room temperature, washed with ddH2O and PBS, and then probed with the primary antibody (HA750045) at 1/1,000 dilution for 1 hour at room temperature. The detection was performed using an HRP conjugated compact polymer system. DAB was used as the chromogen. Tissues were counterstained with hematoxylin and mounted with DPX.
Note: All products are “FOR RESEARCH USE ONLY AND ARE NOT INTENDED FOR DIAGNOSTIC OR THERAPEUTIC USE”.