IFNAR1 Recombinant Rabbit Monoclonal Antibody [SR45-08]
cat.: HA750046
Product Type: Recombinant Rabbit monoclonal IgG, primary antibodies
Species reactivity: Human, Mouse, Rat
Applications: WB, IHC-P, IF-Cell, FC
Clonality: Monoclonal
Clone number: SR45-08
Form: Liquid
Storage condition: Store at +4℃ after thawing. Aliquot store at -20℃ or -80℃. Avoid repeated freeze / thaw cycles.
Storage buffer: 1*PBS (pH7.4).
Concentration: 1ug/ul
Purification: Protein A affinity purified.
Molecular weight: Predicted band size: 64 kDa
Isotype: IgG
Immunogen: Synthetic peptide within Human IFNAR1 aa 508-557 / 557.
Positive control: 293T cell lysate, HeLa cell lysate, Jurkat cell lysate, K-562 cell lysate, human tonsil tissue, rat brain tissue, mouse brain tissue, Jurkat.
Subcellular location: Cell membrane, Late endosome, Lysosome.
Recommended Dilutions:
  WB
  IHC-P
  IF-Cell
  FC

1:1,000-1:2,000
1:50-1:200
1:100
1:50
Uniprot #: SwissProt: P17181 Human | P33896 Mouse | D3ZDS9 Rat
Alternative names: Alpha type antiviral protein AVP Beta type antiviral protein CRF2-1 Cytokine receptor class-II member 1 Cytokine receptor family 2 member 1 IFN alpha REC IFN alpha receptor IFN alpha/beta Receptor alpha IFN beta receptor IFN-alpha/beta receptor 1 IFN-R-1 IFNAR Ifnar1 IFNBR IFRC INAR1_HUMAN Interferon (alpha beta and omega) receptor 1 Interferon alpha/beta receptor 1 Interferon alpha/beta receptor alpha chain Interferon beta receptor 1 Type I interferon receptor 1
Images
HA750046_1.jpg Fig1: Western blot analysis of IFNAR1 on different lysates with Rabbit anti-IFNAR1 antibody (HA750046) at 1/1,000 dilution.

Lane 1: 293T cell lysate
Lane 2: HeLa cell lysate
Lane 3: Jurkat cell lysate
Lane 4: K-562 cell lysate

Lysates/proteins at 40 µg/Lane.

Predicted band size: 64 kDa
Observed band size: 130 kDa

Exposure time: 1 minute 40 seconds; ECL: K1802;

4-20% SDS-PAGE gel.

Proteins were transferred to a PVDF membrane and blocked with 5% NFDM/TBST for 1 hour at room temperature. The primary antibody (HA750046) at 1/1,000 dilution was used in 5% NFDM/TBST at 4° overnight. Goat Anti-Rabbit IgG - HRP Secondary Antibody (HA1001) at 1/50,000 dilution was used for 1 hour at room temperature.
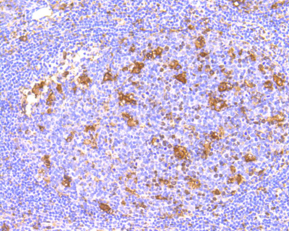
HA750046_2.jpg Fig2: Immunohistochemical analysis of paraffin-embedded human tonsil tissue using anti-IFNAR1 antibody. The section was pre-treated using heat mediated antigen retrieval with Tris-EDTA buffer (pH 9.0) for 20 minutes.The tissues were blocked in 5% BSA for 30 minutes at room temperature, washed with ddH2O and PBS, and then probed with the primary antibody (HA750046, 1/50) for 30 minutes at room temperature. The detection was performed using an HRP conjugated compact polymer system. DAB was used as the chromogen. Tissues were counterstained with hematoxylin and mounted with DPX.
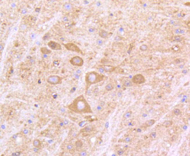
HA750046_3.jpg Fig3: Immunohistochemical analysis of paraffin-embedded rat brain tissue using anti-IFNAR1 antibody. The section was pre-treated using heat mediated antigen retrieval with Tris-EDTA buffer (pH 9.0) for 20 minutes.The tissues were blocked in 5% BSA for 30 minutes at room temperature, washed with ddH2O and PBS, and then probed with the primary antibody (HA750046, 1/200) for 30 minutes at room temperature. The detection was performed using an HRP conjugated compact polymer system. DAB was used as the chromogen. Tissues were counterstained with hematoxylin and mounted with DPX.
HA750046_4.jpg Fig4: Immunohistochemical analysis of paraffin-embedded mouse brain tissue using anti-IFNAR1 antibody. The section was pre-treated using heat mediated antigen retrieval with Tris-EDTA buffer (pH 9.0) for 20 minutes.The tissues were blocked in 5% BSA for 30 minutes at room temperature, washed with ddH2O and PBS, and then probed with the primary antibody (HA750046, 1/50) for 30 minutes at room temperature. The detection was performed using an HRP conjugated compact polymer system. DAB was used as the chromogen. Tissues were counterstained with hematoxylin and mounted with DPX.
HA750046_5.jpg Fig5: Immunocytochemistry analysis of Jurkat cells labeling IFNAR1 with Rabbit anti-IFNAR1 antibody (HA750046) at 1/100 dilution.

Cells were fixed in 4% paraformaldehyde for 20 minutes at room temperature, permeabilized with 0.1% Triton X-100 in PBS for 5 minutes at room temperature, then blocked with 1% BSA in 10% negative goat serum for 1 hour at room temperature. Cells were then incubated with Rabbit anti-IFNAR1 antibody (HA750046) at 1/100 dilution in 1% BSA in PBST overnight at 4 ℃. Goat Anti-Rabbit IgG H&L (iFluor™ 488, HA1121) was used as the secondary antibody at 1/1,000 dilution. PBS instead of the primary antibody was used as the secondary antibody only control. Nuclear DNA was labelled in blue with DAPI.

Beta tubulin (M1305-2, red) was stained at 1/100 dilution overnight at +4℃. Goat Anti-Mouse IgG H&L (iFluor™ 594, HA1126) was used as the secondary antibody at 1/1,000 dilution.
HA750046_6.jpg Fig6: Flow cytometric analysis of IFNAR1 was done on Jurkat cells. The cells were fixed, permeabilized and stained with the primary antibody (HA750046, 1/50) (blue). After incubation of the primary antibody at room temperature for an hour, the cells were stained with a Alexa Fluor®488 conjugate-Goat anti-Rabbit IgG Secondary antibody at 1/1,000 dilution for 30 minutes.Unlabelled sample was used as a control (cells without incubation with primary antibody; red).
Note: All products are “FOR RESEARCH USE ONLY AND ARE NOT INTENDED FOR DIAGNOSTIC OR THERAPEUTIC USE”.