Pro Caspase-3 Recombinant Rabbit Monoclonal Antibody [SR03-01]
cat.: HA750048
Product Type: Recombinant Rabbit monoclonal IgG, primary antibodies
Species reactivity: Human, Monkey
Applications: WB, IF-Cell, IF-Tissue, IHC-P, IP, FC
Clonality: Monoclonal
Clone number: SR03-01
Form: Liquid
Storage condition: Store at +4℃ after thawing. Aliquot store at -20℃ or -80℃. Avoid repeated freeze / thaw cycles.
Storage buffer: 1*PBS (pH7.4).
Concentration: 1ug/ul
Purification: Protein A affinity purified.
Molecular weight: Predicted band size: 32 kDa
Isotype: IgG
Immunogen: Synthetic peptide within human Caspase-3 aa 60-100.
Positive control: HeLa cell lysate, Jurkat cell lysate, Jurkat treated with 25μM Etoposide for 5 hours cell lysate, COS-1 cell lysate, HEK-293 cell lysate, Hela, human tonsil tissue, human spleen tissue.
Subcellular location: Cytoplasm
Recommended Dilutions:
  WB
  IF-Cell
  IF-Tissue
  IHC-P
  FC
  IP

1:2,000-1:5,000
1:50
1:50
1:50
1:20-1:50
Use at an assay dependent concentration.
Uniprot #: SwissProt: P42574 Human
Alternative names: Caspase3 A830040C14Rik Apopain CASP-3 CASP3 CASP3_HUMAN Casp3a Caspase 3 Caspase 3, apoptosis-related cysteine peptidase Caspase 3, apoptosis-related cysteine protease Caspase 3, apoptosis-related cysteine protease a Caspase-3 subunit p12 CC3 CPP-32 CPP32 CPP32B Cysteine protease CPP32 EC 3.4.22.56 LICE mldy OTTHUMP00000165052 OTTHUMP00000165053 OTTHUMP00000165054 PARP cleavage protease Procaspase3 Protein Yama SCA 1 SCA-1 SREBP cleavage activity 1 Yama
Images
HA750048_1.jpg Fig1: Western blot analysis of Pro Caspase-3 on different lysates with Rabbit anti-Pro Caspase-3 antibody (HA750048) at 1/2,000 dilution and competitor's antibody at 1/1,000 dilution.

Lane 1: HeLa cell lysate
Lane 2: HeLa treated with 1μM staurosporine for 3 hours cell lysate
Lane 3: Jurkat cell lysate
Lane 4: Jurkat treated with 25μM Etoposide for 5 hours cell lysate
Lane 5: MCF7 cell lysate (negative)
Lane 6: HEK-293 cell lysate

Lysates/proteins at 20 µg/Lane.

Predicted band size: 32 kDa
Observed band size: 32 kDa

Exposure time: 3 minutes 20 seconds; ECL: K1801;

4-20% SDS-PAGE gel.

Proteins were transferred to a PVDF membrane and blocked with 5% NFDM/TBST for 1 hour at room temperature. The primary antibody (HA750048) at 1/2,000 dilution and competitor's antibody at 1/1,000 dilution were used in 5% NFDM/TBST at 4℃ overnight. Goat Anti-Rabbit IgG - HRP Secondary Antibody (HA1001) at 1/50,000 dilution was used for 1 hour at room temperature.
HA750048_2.jpg Fig2: Western blot analysis of Pro Caspase-3 on COS-1 cell lysates with Rabbit anti-Pro Caspase-3 antibody (HA750048) at 1/5,000 dilution.

Lysates/proteins at 20 µg/Lane.

Predicted band size: 32 kDa
Observed band size: 32 kDa

Exposure time: 59 seconds; ECL: K1801;
4-20% SDS-PAGE gel.

Proteins were transferred to a PVDF membrane and blocked with 5% NFDM/TBST for 1 hour at room temperature. The primary antibody (HA750048) at 1/5,000 dilution was used in primary antibody dilution (K1803) at 4℃ overnight. Goat Anti-Rabbit IgG - HRP Secondary Antibody (HA1001) at 1/50,000 dilution was used for 1 hour at room temperature.
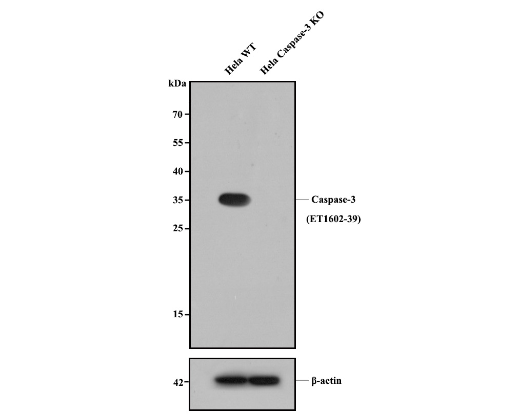
HA750048_3.jpg Fig3: All lanes: Western blot analysis of Caspase-3 with anti-Caspase-3 antibody [SR03-01] (HA750048) at 1:500 dilution.
Lane 1: Wild-type Hela whole cell lysate (20 µg).
Lane 2: Caspase-3 knockout Hela whole cell lysate (20 µg).

ET1602-39 was shown to specifically react with Caspase-3 in wild-type Hela cells. No band was observed when Caspase-3 knockout sample was tested. Wild-type and Caspase-3 knockout samples were subjected to SDS-PAGE. Proteins were transferred to a PVDF membrane and blocked with 5% NFDM in TBST for 1 hour at room temperature. The primary antibody (ET1602-39, 1/500) and Loading control antibody (Rabbit anti-β-actin, R1207-1, 1/1,000) was used in 5% BSA at room temperature for 2 hours. Goat Anti-Rabbit IgG-HRP Secondary Antibody (HA1001) at 1:200,000 dilution was used for 1 hour at room temperature.
HA750048_4.jpg Fig4: ICC staining of Pro Caspase-3 in Hela cells (green). Formalin fixed cells were permeabilized with 0.1% Triton X-100 in TBS for 10 minutes at room temperature and blocked with 1% Blocker BSA for 15 minutes at room temperature. Cells were probed with the primary antibody (HA750048, 1/50) for 1 hour at room temperature, washed with PBS. Alexa Fluor®488 Goat anti-Rabbit IgG was used as the secondary antibody at 1/1,000 dilution. The nuclear counter stain is DAPI (blue).
HA750048_5.jpg Fig5: Immunohistochemical analysis of paraffin-embedded human tonsil tissue using anti-Pro Caspase-3 antibody. The section was pre-treated using heat mediated antigen retrieval with Tris-EDTA buffer (pH 8.0-8.4) for 20 minutes.The tissues were blocked in 5% BSA for 30 minutes at room temperature, washed with ddH2O and PBS, and then probed with the primary antibody (HA750048, 1/50) for 30 minutes at room temperature. The detection was performed using an HRP conjugated compact polymer system. DAB was used as the chromogen. Tissues were counterstained with hematoxylin and mounted with DPX.
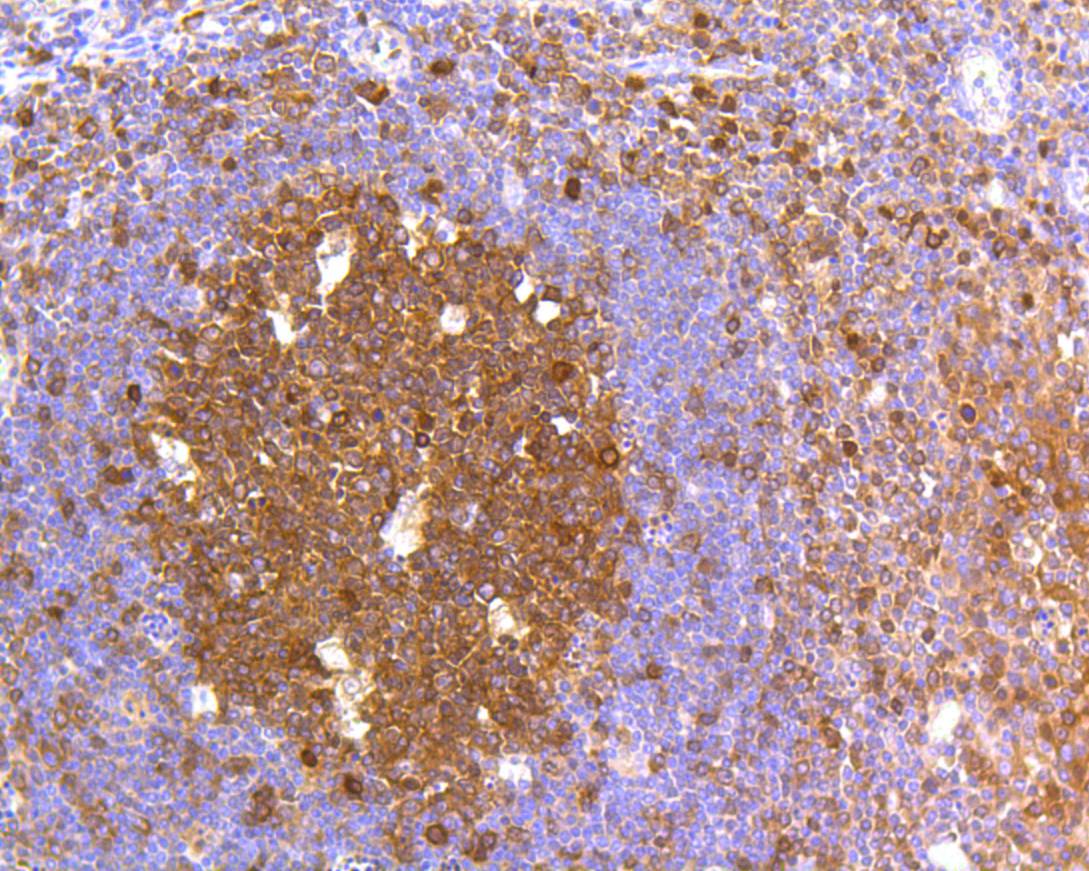
HA750048_6.jpg Fig6: Immunohistochemical analysis of paraffin-embedded human spleen tissue using anti-Pro Caspase-3 antibody. The section was pre-treated using heat mediated antigen retrieval with Tris-EDTA buffer (pH 8.0-8.4) for 20 minutes.The tissues were blocked in 5% BSA for 30 minutes at room temperature, washed with ddH2O and PBS, and then probed with the primary antibody (HA750048, 1/50) for 30 minutes at room temperature. The detection was performed using an HRP conjugated compact polymer system. DAB was used as the chromogen. Tissues were counterstained with hematoxylin and mounted with DPX.
Note: All products are “FOR RESEARCH USE ONLY AND ARE NOT INTENDED FOR DIAGNOSTIC OR THERAPEUTIC USE”.