beta Tubulin Recombinant Rabbit Monoclonal Antibody [SR25-04]
cat.: HA750049
Product Type: Recombinant Rabbit monoclonal IgG, primary antibodies
Species reactivity: Human, Mouse, Rat
Applications: WB, IF-Cell, IHC-P, FC
Clonality: Monoclonal
Clone number: SR25-04
Form: Liquid
Storage condition: Store at +4℃ after thawing. Aliquot store at -20℃ or -80℃. Avoid repeated freeze / thaw cycles.
Storage buffer: 1*PBS (pH7.4).
Concentration: 1ug/ul
Purification: Protein A affinity purified.
Molecular weight: Predicted band size: 50 kDa
Isotype: IgG
Immunogen: Synthetic peptide within Human beta Tubulin aa 308-357 / 444.
Positive control: HeLa cell lysate, 293T cell lysate, MCF7 cell lysate, SH-SY5Y cell lysate, U-2 OS cell lysate, Jurkat cell lysate, Neuro-2a cell lysate, NIH/3T3 cell lysate, PC-12 cell lysate, mouse brain tissue lysate, rat brain tissue lysate, A549, HeLa, NIH/3T3, PC-12, human fallopian tube tissue, human colon carcinoma tissue, rat kidney tissue, mouse large intestine tissue.
Subcellular location: Cytoplasm
Recommended Dilutions:
  WB
  IF-Cell
  IHC-P
  FC

1:20,000-1:100,000
1:200-1:1,000
1:400-1:1,000
1:500-1:1,000
Uniprot #: SwissProt: P07437 Human | P99024 Mouse | P69897 Rat
Alternative names: Beta 4 tubulin Beta 5 tubulin BetaTubulin TBB5_HUMAN TUBB TUBB2 TUBB2A TUBB5 tubulin beta 2A Tubulin beta chain Tubulin beta-5 chain
Images
HA750049_1.jpg Fig1: Western blot analysis of beta Tubulin on different lysates with Rabbit anti-beta Tubulin antibody (HA750049) at 1/20,000 dilution.

Lane 1: HeLa cell lysate (15 µg/Lane)
Lane 2: 293T cell lysate (15 µg/Lane)
Lane 3: MCF7 cell lysate (15 µg/Lane)
Lane 4: SH-SY5Y cell lysate (15 µg/Lane)
Lane 5: U-2 OS cell lysate (15 µg/Lane)
Lane 6: Jurkat cell lysate (15 µg/Lane)
Lane 7: Neuro-2a cell lysate (15 µg/Lane)
Lane 8: NIH/3T3 cell lysate (15 µg/Lane)
Lane 9: PC-12 cell lysate (15 µg/Lane)
Lane 10: Mouse brain tissue lysate (20 µg/Lane)
Lane 11: Rat brain tissue lysate (20 µg/Lane)

Predicted band size: 50 kDa
Observed band size: 50 kDa

Exposure time: 1 minute 20 seconds; ECL: K1801;
4-20% SDS-PAGE gel.

Proteins were transferred to a PVDF membrane and blocked with 5% NFDM/TBST for 1 hour at room temperature. The primary antibody (HA750049) at 1/20,000 dilution was used in 5% NFDM/TBST at room temperature for 2 hours. Goat Anti-Rabbit IgG - HRP Secondary Antibody (HA1001) at 1:100,000 dilution was used for 1 hour at room temperature.
HA750049_2.jpg Fig2: Immunocytochemistry analysis of A549 cells labeling beta Tubulin with Rabbit anti-beta Tubulin antibody (HA750049) at 1/100 dilution.

Cells were fixed in 4% paraformaldehyde for 15 minutes at room temperature, permeabilized with 0.1% Triton X-100 in PBS for 15 minutes at room temperature, then blocked with 1% BSA in 10% negative goat serum for 1 hour at room temperature. Cells were then incubated with Rabbit anti-beta Tubulin antibody (HA750049) at 1/100 dilution in 1% BSA in PBST overnight at 4 ℃. Goat Anti-Rabbit IgG H&L (iFluor™ 488, HA1121) was used as the secondary antibody at 1/1,000 dilution. PBS instead of the primary antibody was used as the secondary antibody only control. Nuclear DNA was labelled in blue with DAPI.

Beta tubulin (HA601187, red) was stained at 1/100 dilution overnight at +4℃. Goat Anti-Mouse IgG H&L (iFluor™ 594, HA1126) was used as the secondary antibody at 1/1,000 dilution.
HA750049_3.jpg Fig3: Immunocytochemistry analysis of HeLa cells labeling beta Tubulin with Rabbit anti-beta Tubulin antibody (HA750049) at 1/500 dilution.

Cells were fixed in 4% paraformaldehyde for 15 minutes at room temperature, permeabilized with 0.1% Triton X-100 in PBS for 15 minutes at room temperature, then blocked with 1% BSA in 10% negative goat serum for 1 hour at room temperature. Cells were then incubated with Rabbit anti-beta Tubulin antibody (HA750049) at 1/500 dilution in 1% BSA in PBST overnight at 4 ℃. Goat Anti-Rabbit IgG H&L (iFluor™ 488, HA1121) was used as the secondary antibody at 1/1,000 dilution. PBS instead of the primary antibody was used as the secondary antibody only control. Nuclear DNA was labelled in blue with DAPI.

Beta tubulin (HA601187, red) was stained at 1/100 dilution overnight at +4℃. Goat Anti-Mouse IgG H&L (iFluor™ 594, HA1126) was used as the secondary antibody at 1/1,000 dilution.
HA750049_4.jpg Fig4: Immunocytochemistry analysis of NIH/3T3 cells labeling beta Tubulin with Rabbit anti-beta Tubulin antibody (HA750049) at 1/500 dilution.

Cells were fixed in 4% paraformaldehyde for 15 minutes at room temperature, permeabilized with 0.1% Triton X-100 in PBS for 15 minutes at room temperature, then blocked with 1% BSA in 10% negative goat serum for 1 hour at room temperature. Cells were then incubated with Rabbit anti-beta Tubulin antibody (HA750049) at 1/500 dilution in 1% BSA in PBST overnight at 4 ℃. Goat Anti-Rabbit IgG H&L (iFluor™ 488, HA1121) was used as the secondary antibody at 1/1,000 dilution. PBS instead of the primary antibody was used as the secondary antibody only control. Nuclear DNA was labelled in blue with DAPI.

Beta tubulin (HA601187, red) was stained at 1/100 dilution overnight at +4℃. Goat Anti-Mouse IgG H&L (iFluor™ 594, HA1126) was used as the secondary antibody at 1/1,000 dilution.
HA750049_5.jpg Fig5: Immunocytochemistry analysis of PC-12 cells labeling beta Tubulin with Rabbit anti-beta Tubulin antibody (HA750049) at 1/1,000 dilution.

Cells were fixed in 4% paraformaldehyde for 20 minutes at room temperature, permeabilized with 0.1% Triton X-100 in PBS for 5 minutes at room temperature, then blocked with 1% BSA in 10% negative goat serum for 1 hour at room temperature. Cells were then incubated with Rabbit anti-beta Tubulin antibody (HA750049) at 1/1,000 dilution in 1% BSA in PBST overnight at 4 ℃. Goat Anti-Rabbit IgG H&L (iFluor™ 594, HA1122) was used as the secondary antibody at 1/1,000 dilution. PBS instead of the primary antibody was used as the secondary antibody only control. Nuclear DNA was labelled in blue with DAPI.
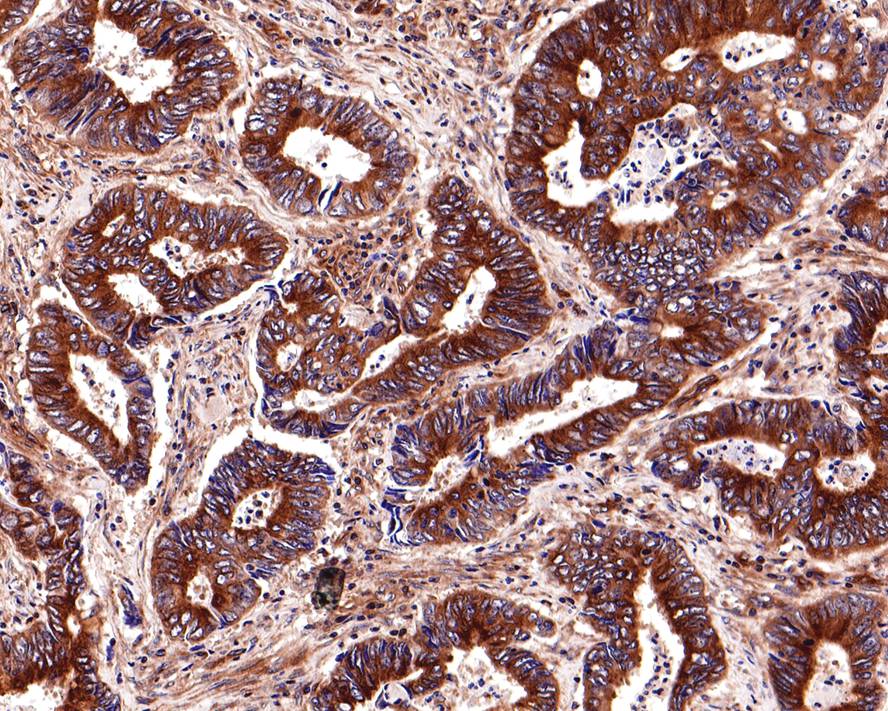
HA750049_6.jpg Fig6: Immunohistochemical analysis of paraffin-embedded human colon carcinoma tissue with Rabbit anti-beta Tubulin antibody (HA750049) at 1/400 dilution.

The section was pre-treated using heat mediated antigen retrieval with Tris-EDTA buffer (pH 9.0) for 20 minutes. The tissues were blocked in 1% BSA for 20 minutes at room temperature, washed with ddH2O and PBS, and then probed with the primary antibody (HA750049) at 1/400 dilution for 1 hour at room temperature. The detection was performed using an HRP conjugated compact polymer system. DAB was used as the chromogen. Tissues were counterstained with hematoxylin and mounted with DPX.
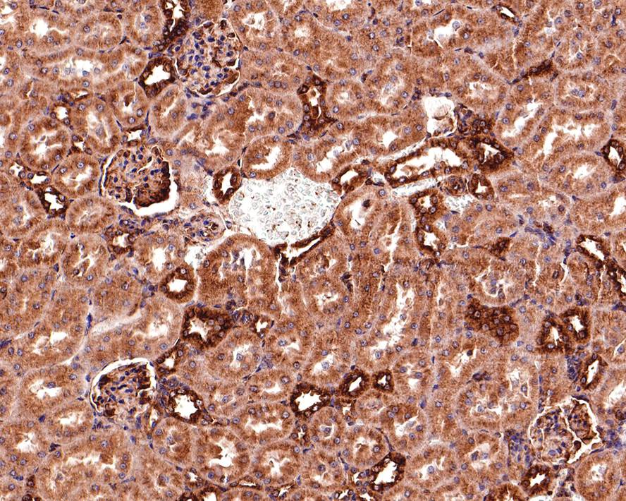
HA750049_7.jpg Fig7: Immunohistochemical analysis of paraffin-embedded rat kidney tissue with Rabbit anti-beta Tubulin antibody (HA750049) at 1/400 dilution.

The section was pre-treated using heat mediated antigen retrieval with Tris-EDTA buffer (pH 9.0) for 20 minutes. The tissues were blocked in 1% BSA for 20 minutes at room temperature, washed with ddH2O and PBS, and then probed with the primary antibody (HA750049) at 1/400 dilution for 1 hour at room temperature. The detection was performed using an HRP conjugated compact polymer system. DAB was used as the chromogen. Tissues were counterstained with hematoxylin and mounted with DPX.
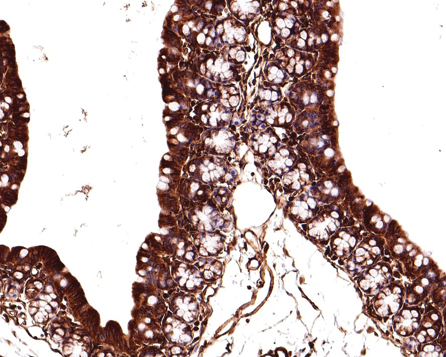
HA750049_8.jpg Fig8: Immunohistochemical analysis of paraffin-embedded mouse large intestine tissue with Rabbit anti-beta Tubulin antibody (HA750049) at 1/400 dilution.

The section was pre-treated using heat mediated antigen retrieval with Tris-EDTA buffer (pH 9.0) for 20 minutes. The tissues were blocked in 1% BSA for 20 minutes at room temperature, washed with ddH2O and PBS, and then probed with the primary antibody (HA750049) at 1/400 dilution for 1 hour at room temperature. The detection was performed using an HRP conjugated compact polymer system. DAB was used as the chromogen. Tissues were counterstained with hematoxylin and mounted with DPX.
HA750049_9.jpg Fig9: Flow cytometric analysis of NIH/3T3 cells labeling beta Tubulin.

Cells were fixed and permeabilized. Then stained with the primary antibody (HA750049, 1ug/ml) (red) compared with Rabbit IgG Isotype Control (green). After incubation of the primary antibody at +4℃ for an hour, the cells were stained with a iFluor™ 488 conjugate-Goat anti-Rabbit IgG Secondary antibody (HA1121) at 1/1,000 dilution for 30 minutes at +4℃. Unlabelled sample was used as a control (cells without incubation with primary antibody; black).
Note: All products are “FOR RESEARCH USE ONLY AND ARE NOT INTENDED FOR DIAGNOSTIC OR THERAPEUTIC USE”.