Histone H3 (mono+di+tri methyl K79) Recombinant Rabbit Monoclonal Antibody [SR42-06]
cat.: HA750051
Product Type: Recombinant Rabbit monoclonal IgG, primary antibodies
Species reactivity: Human, Mouse, Rat
Applications: WB, IHC-P, ChIP
Clonality: Monoclonal
Clone number: SR42-06
Form: Liquid
Storage condition: Store at +4℃ after thawing. Aliquot store at -20℃ or -80℃. Avoid repeated freeze / thaw cycles.
Storage buffer: 1*PBS (pH7.4).
Concentration: 1ug/ul
Purification: Protein A affinity purified.
Molecular weight: Predicted band size: 15 kDa
Isotype: IgG
Immunogen: Synthetic peptide within Human Histone H3 aa 56-105 / 136(tri methyl K79) conjugated to Keyhole Limpet Haemocyanin (KLH).
Positive control: Mouse testis tissue lysate, CRC cell lysate, rat muscle tissue, rat skin tissue, human colon carcinoma tissue, human skin tissue, mouse colon tissue, rat colon tissue.
Subcellular location: Nucleus, Chromosome.
Recommended Dilutions:
  WB
  IHC-P
  ChIP

1:1,000-1:2,000
1:1,000-1:5,000
Use 0.5~2 μg for 25 μg of chromatin.
Uniprot #: SwissProt: P68431 Human | P84243 Human | Q16695 Human | Q6NXT2 Human | Q71DI3 Human | P68433 Mouse | Q6LED0 Rat
Alternative names: H3 histone family, member J FLJ92264 H3 histone family, member A H3 histone family, member B H3 histone family, member C H3 histone family, member D H3 histone family, member F H3 histone family, member H H3 histone family, member I H3 histone family, member K H3 histone family, member L H3 histone, family 3A H3.3A H3/a H3/b H3/c H3/d h3/f H3/h H3/i H3/j H3/k H3/l H31_HUMAN H3F1K H3F3 H3FA H3FB H3FC H3FD H3FF H3FH H3FI H3FJ H3FK H3FL HIST1H3A HIST1H3B HIST1H3C HIST1H3D HIST1H3E HIST1H3F HIST1H3G HIST1H3H HIST1H3I HIST1H3J HIST3H3 Histone 1, H3a Histone 1, H3b Histone 1, H3c Histone 1, H3d Histone 1, H3e Histone 1, H3f Histone 1, H3g Histone 1, H3h Histone 1, H3i Histone 1, H3j Histone cluster 1, H3a Histone cluster 1, H3b Histone cluster 1, H3c Histone cluster 1, H3d Histone cluster 1, H3e Histone cluster 1, H3f Histone cluster 1, H3g Histone cluster 1, H3i ......
Images
HA750051_1.jpg Fig1: Western blot analysis of Histone H3 (mono+di+tri methyl K79) on different lysates. Proteins were transferred to a PVDF membrane and blocked with 5% BSA in PBS for 1 hour at room temperature. The primary antibody (HA750051, 1/500) was used in 5% BSA at room temperature for 2 hours. Goat Anti-Rabbit IgG - HRP Secondary Antibody (HA1001) at 1:5,000 dilution was used for 1 hour at room temperature.
Positive control:
Lane 1: mouse testis tissue lysate
Lane 2: CRC cell lysate
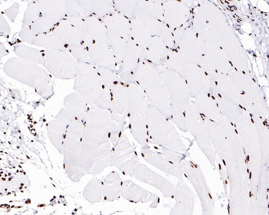
HA750051_2.jpg Fig2: Immunohistochemical analysis of paraffin-embedded rat muscle tissue with Rabbit anti-Histone H3 (mono+di+tri methyl K79) antibody (HA750051) at 1/1,000 dilution.

The section was pre-treated using heat mediated antigen retrieval with sodium citrate buffer (pH 6.0) (high pressure) for 2 minutes. The tissues were blocked in 1% BSA for 20 minutes at room temperature, washed with ddH2O and PBS, and then probed with the primary antibody (HA750051) at 1/1,000 dilution for 1 hour at room temperature. The detection was performed using an HRP conjugated compact polymer system. DAB was used as the chromogen. Tissues were counterstained with hematoxylin and mounted with DPX.
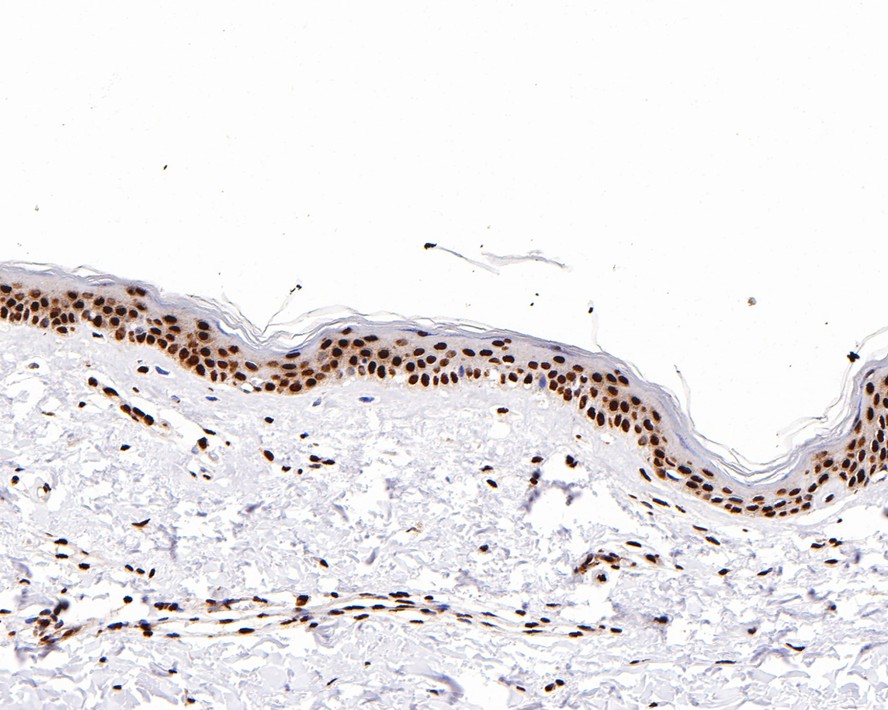
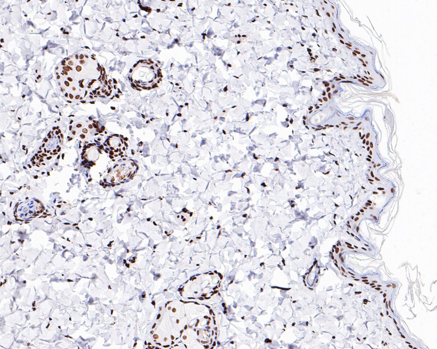
HA750051_3.jpg Fig3: Immunohistochemical analysis of paraffin-embedded rat skin tissue with Rabbit anti-Histone H3 (mono+di+tri methyl K79) antibody (HA750051) at 1/1,000 dilution.

The section was pre-treated using heat mediated antigen retrieval with sodium citrate buffer (pH 6.0) (high pressure) for 2 minutes. The tissues were blocked in 1% BSA for 20 minutes at room temperature, washed with ddH2O and PBS, and then probed with the primary antibody (HA750051) at 1/1,000 dilution for 1 hour at room temperature. The detection was performed using an HRP conjugated compact polymer system. DAB was used as the chromogen. Tissues were counterstained with hematoxylin and mounted with DPX.
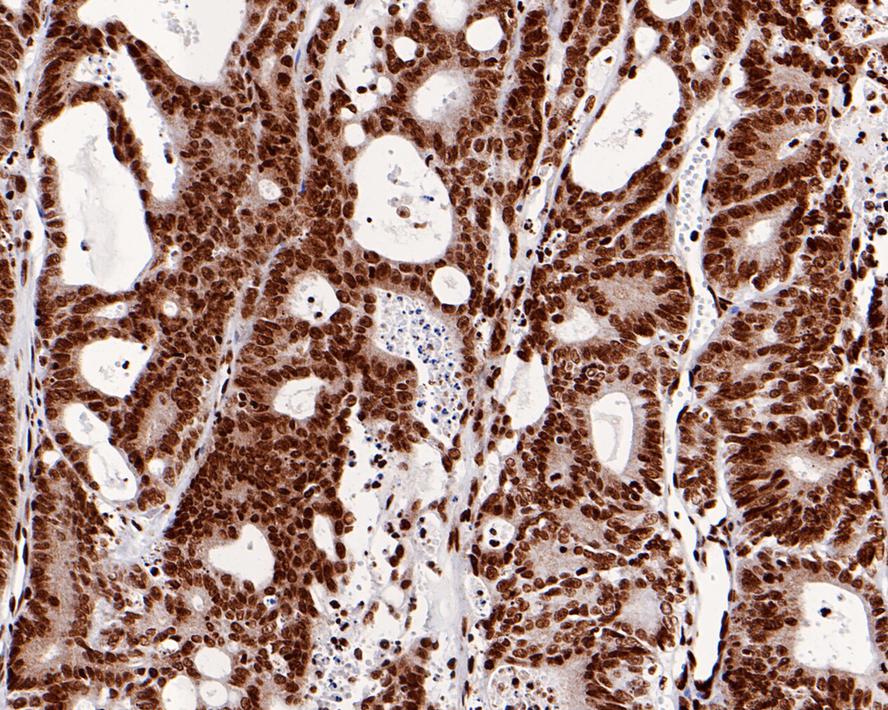
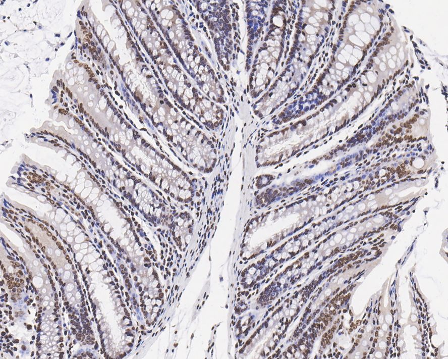
HA750051_4.jpg Fig4: Immunohistochemical analysis of paraffin-embedded human colon carcinoma tissue with Rabbit anti-Histone H3 (mono+di+tri methyl K79) antibody (HA750051) at 1/1,000 dilution.

The section was pre-treated using heat mediated antigen retrieval with sodium citrate buffer (pH 6.0) (high pressure) for 2 minutes. The tissues were blocked in 1% BSA for 20 minutes at room temperature, washed with ddH2O and PBS, and then probed with the primary antibody (HA750051) at 1/1,000 dilution for 1 hour at room temperature. The detection was performed using an HRP conjugated compact polymer system. DAB was used as the chromogen. Tissues were counterstained with hematoxylin and mounted with DPX.
HA750051_5.jpg Fig5: Immunohistochemical analysis of paraffin-embedded human skin tissue with Rabbit anti-Histone H3 (mono+di+tri methyl K79) antibody (HA750051) at 1/1,000 dilution.

The section was pre-treated using heat mediated antigen retrieval with sodium citrate buffer (pH 6.0) (high pressure) for 2 minutes. The tissues were blocked in 1% BSA for 20 minutes at room temperature, washed with ddH2O and PBS, and then probed with the primary antibody (HA750051) at 1/1,000 dilution for 1 hour at room temperature. The detection was performed using an HRP conjugated compact polymer system. DAB was used as the chromogen. Tissues were counterstained with hematoxylin and mounted with DPX.
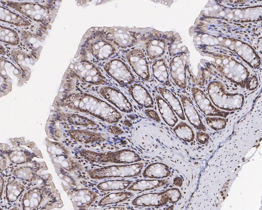
HA750051_6.jpg Fig6: Immunohistochemical analysis of paraffin-embedded mouse colon tissue with Rabbit anti-Histone H3 (mono+di+tri methyl K79) antibody (HA750051) at 1/5,000 dilution.

The section was pre-treated using heat mediated antigen retrieval with sodium citrate buffer (pH 6.0) (high pressure) for 2 minutes. The tissues were blocked in 1% BSA for 20 minutes at room temperature, washed with ddH2O and PBS, and then probed with the primary antibody (HA750051) at 1/5,000 dilution for 1 hour at room temperature. The detection was performed using an HRP conjugated compact polymer system. DAB was used as the chromogen. Tissues were counterstained with hematoxylin and mounted with DPX.
HA750051_7.jpg Fig7: Immunohistochemical analysis of paraffin-embedded rat colon tissue with Rabbit anti-Histone H3 (mono+di+tri methyl K79) antibody (HA750051) at 1/5,000 dilution.

The section was pre-treated using heat mediated antigen retrieval with sodium citrate buffer (pH 6.0) (high pressure) for 2 minutes. The tissues were blocked in 1% BSA for 20 minutes at room temperature, washed with ddH2O and PBS, and then probed with the primary antibody (HA750051) at 1/5,000 dilution for 1 hour at room temperature. The detection was performed using an HRP conjugated compact polymer system. DAB was used as the chromogen. Tissues were counterstained with hematoxylin and mounted with DPX.
HA750051_8.jpg Fig8: Chromatin immunoprecipitations were performed with cross-linked chromatin from HeLa cells with Histone H3 (mono+di+tri methyl K79) (HA750051) or Normal Rabbit IgG according to the ChIP protocol. The enriched DNA was quantified by real-time PCR using indicated primers. The amount of immunoprecipitated DNA in each sample is represented as signal relative to the total amount of input chromatin, which is equivalent to one.
Note: All products are “FOR RESEARCH USE ONLY AND ARE NOT INTENDED FOR DIAGNOSTIC OR THERAPEUTIC USE”.