MMP-12 Recombinant Rabbit Monoclonal Antibody [SR03-23]
cat.: HA750052
Product Type: Recombinant Rabbit monoclonal IgG, primary antibodies
Species reactivity: Human, Mouse, Rat
Applications: WB, IF-Cell, IF-Tissue, IHC-P, IP, FC
Clonality: Monoclonal
Clone number: SR03-23
Form: Liquid
Storage condition: Store at +4℃ after thawing. Aliquot store at -20℃ or -80℃. Avoid repeated freeze / thaw cycles.
Storage buffer: 1*PBS (pH7.4).
Concentration: 1ug/ul
Purification: Protein A affinity purified.
Molecular weight: Predicted band size: 54 kDa
Isotype: IgG
Immunogen: Synthetic peptide within Human MMP12 aa 421-470 / 470.
Positive control: A549 cell lysate, Hela cell lysate, MCF-7 cell lysate, THP-1 cell lysate, human breast carcinoma tissue lysate, mouse lung tissue lysate, rat lung tissue lysate.
Subcellular location: Secreted, extracellular space, extracellular matrix.
Recommended Dilutions:
  WB
  IF-Cell
  IF-Tissue
  IHC-P
  FC
  IP

1:500-1:2,000
1:20-1:50
1:20-1:50
1:50-1:200
1:50-1:100
Use at an assay dependent concentration.
Uniprot #: SwissProt: P39900 Human | P34960 Mouse | Q63341 Rat
Alternative names: EC 3.4.24.65 HME Macrophage elastase Macrophage metalloelastase Macrophage metaloelastase Matrix metallopeptidase 12 (macrophage elastase) Matrix metalloprotease 12 Matrix metalloproteinase-12 ME MGC138506 MME MMP 12 MMP-12 Mmp12 MMP12_HUMAN
Images
HA750052_1.jpg Fig1: Western blot analysis of MMP-12 on different lysates with Rabbit anti-MMP-12 antibody (HA750052) at 1/500 dilution.

Lane 1: Mouse lung tissue lysate
Lane 2: Rat lung tissue lysate

Lysates/proteins at 20 µg/Lane.

Predicted band size: 54 kDa
Observed band size: 40 kDa

Exposure time: 1 minute;

8% SDS-PAGE gel.

Proteins were transferred to a PVDF membrane and blocked with 5% NFDM/TBST for 1 hour at room temperature. The primary antibody (HA750052) at 1/500 dilution was used in 5% NFDM/TBST at room temperature for 2 hours. Goat Anti-Rabbit IgG - HRP Secondary Antibody (HA1001) at 1:200,000 dilution was used for 1 hour at room temperature.
HA750052_2.jpg Fig2: Western blot analysis of MMP12 on different lysates with Rabbit anti-MMP12 antibody (HA750052) at 1/1,000 dilution.

Lane 1: Hela-si NT cell lysate
Lane 2: Hela-si MMP12 cell lysate

Lysates/proteins at 20 µg/Lane.

Predicted band size: 54 kDa
Observed band size: 40 kDa

Exposure time: 6 minutes;

4-20% SDS-PAGE gel.

ET1602-42 was shown to specifically react with MMP12 in Hela-si NT cells. Weakened band was observed when Hela-si MMP12 sample was tested. Hela-si NT and Hela-si MMP12 samples were subjected to SDS-PAGE. Proteins were transferred to a PVDF membrane and blocked with 5% NFDM in TBST for 1 hour at room temperature. The primary antibody (ET1602-42, 1/1,000) and Loading control antibody (Rabbit anti-HSP90, ET1605-56, 1/10,000) were used in 5% BSA at room temperature for 2 hours. Goat Anti-rabbit IgG-HRP Secondary Antibody (HA1001) at 1:100,000 dilution was used for 1 hour at room temperature.
HA750052_3.jpg Fig3: Western blot analysis of MMP-12 on different lysates. Proteins were transferred to a PVDF membrane and blocked with 5% BSA in PBS for 1 hour at room temperature. The primary antibody (HA750052, 1/500) was used in 5% BSA at room temperature for 2 hours. Goat Anti-Rabbit IgG - HRP Secondary Antibody (HA1001) at 1:5,000 dilution was used for 1 hour at room temperature.
Positive control:
Lane 1: A549 cell lysate
Lane 2: Hela cell lysate
Lane 3: MCF-7 cell lysate
Lane 4: THP-1 cell lysate
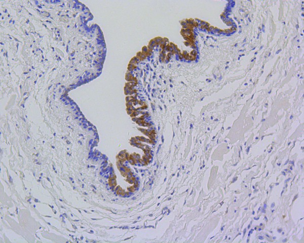
HA750052_4.jpg Fig4: Immunohistochemical analysis of paraffin-embedded human breast carcinoma tissue using anti-MMP-12 antibody. The section was pre-treated using heat mediated antigen retrieval with Tris-EDTA buffer (pH 8.0-8.4) for 20 minutes.The tissues were blocked in 5% BSA for 30 minutes at room temperature, washed with ddH2O and PBS, and then probed with the primary antibody (HA750052, 1/50) for 30 minutes at room temperature. The detection was performed using an HRP conjugated compact polymer system. DAB was used as the chromogen. Tissues were counterstained with hematoxylin and mounted with DPX.
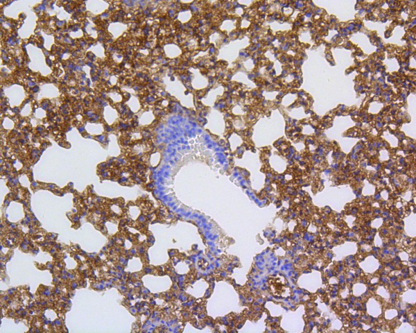
HA750052_5.jpg Fig5: Immunohistochemical analysis of paraffin-embedded mouse lung tissue using anti-MMP-12 antibody. The section was pre-treated using heat mediated antigen retrieval with Tris-EDTA buffer (pH 8.0-8.4) for 20 minutes.The tissues were blocked in 5% BSA for 30 minutes at room temperature, washed with ddH2O and PBS, and then probed with the primary antibody (HA750052, 1/50) for 30 minutes at room temperature. The detection was performed using an HRP conjugated compact polymer system. DAB was used as the chromogen. Tissues were counterstained with hematoxylin and mounted with DPX.
HA750052_6.jpg Fig6: Flow cytometric analysis of MMP-12 was done on A549 cells. The cells were fixed, permeabilized and stained with the primary antibody (HA750052, 1/50) (blue). After incubation of the primary antibody at room temperature for an hour, the cells were stained with a Alexa Fluor 488-conjugated Goat anti-Rabbit IgG Secondary antibody at 1/1000 dilution for 30 minutes.Unlabelled sample was used as a control (cells without incubation with primary antibody; red).
Note: All products are “FOR RESEARCH USE ONLY AND ARE NOT INTENDED FOR DIAGNOSTIC OR THERAPEUTIC USE”.