Cleaved Caspase-3 Recombinant Rabbit Monoclonal Antibody [SR01-02]
cat.: HA750053
Product Type: Recombinant Rabbit monoclonal IgG, primary antibodies
Species reactivity: Human, Pig
Applications: WB, IF-Cell, IHC-P
Clonality: Monoclonal
Clone number: SR01-02
Form: Liquid
Storage condition: Store at +4℃ after thawing. Aliquot store at -20℃ or -80℃. Avoid repeated freeze / thaw cycles.
Storage buffer: 1*PBS (pH7.4).
Concentration: 1ug/ul
Purification: Protein A affinity purified.
Molecular weight: Predicted band size: 17 kDa
Isotype: IgG
Immunogen: Synthetic peptide within Human Caspase-3 aa 28-67 / 277.
Positive control: Camptothecin (2 μM) treated Jurkat cell lysate, Hela, PC-3M, human colon carcinoma tissue, human placenta tissue.
Subcellular location: Cytoplasm
Recommended Dilutions:
  WB
  IF-Cell
  IHC-P

1:1,000-1:2,000
1:50-1:200
1:50-1:200
Uniprot #: SwissProt: P42574 Human
Alternative names: Caspase3 A830040C14Rik Apopain CASP 3 CASP-3 CASP3 CASP3_HUMAN Casp3a Caspase 3 Caspase 3, apoptosis-related cysteine peptidase Caspase 3, apoptosis-related cysteine protease Caspase 3, apoptosis-related cysteine protease a Caspase-3 subunit p12 Caspase3 CC3 CPP 32 CPP-32 CPP32 CPP32B Cysteine protease CPP32 EC 3.4.22.56 ICE3 LICE mldy OTTHUMP00000165052 OTTHUMP00000165053 OTTHUMP00000165054 PARP cleavage protease Procaspase3 Protein Yama SCA 1 SCA-1 SCA1 SREBP cleavage activity 1 Yama Yama protein
Images
HA750053_1.jpg Fig1: Western blot analysis of Cleaved Caspase-3 on different lysates with Rabbit anti-Cleaved Caspase-3 antibody (HA750053) at 1/1,000 dilution.

Lane 1: Jurkat cell lysate (20 µg/Lane)
Lane 2: Jurkat treated with 25μM Etoposide for 5 hours cell lysate (20 µg/Lane)
Lane 3: Jurkat treated with 25μM Etoposide for 16 hours cell lysate (20 µg/Lane)

Predicted band size: 17 kDa
Observed band size: 17 kDa
Exposure time: 3 minutes; ECL: K1802;
4-20% SDS-PAGE gel.

Proteins were transferred to a PVDF membrane and blocked with 5% NFDM/TBST for 1 hour at room temperature. The primary antibody (HA750053) at 1/1,000 dilution was used in 5% NFDM/TBST at 4℃ overnight. Goat Anti-Rabbit IgG - HRP Secondary Antibody (HA1001) at 1/50,000 dilution was used for 1 hour at room temperature.
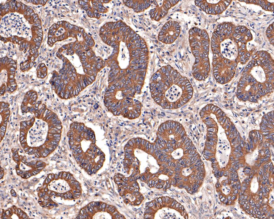
HA750053_2.jpg Fig2: Immunohistochemical analysis of paraffin-embedded human colon carcinoma tissue with Rabbit anti-Cleaved Caspase-3 antibody (HA750053) at 1/100 dilution.

The section was pre-treated using heat mediated antigen retrieval with Tris-EDTA buffer (pH 9.0) for 20 minutes. The tissues were blocked in 1% BSA for 20 minutes at room temperature, washed with ddH2O and PBS, and then probed with the primary antibody (HA750053) at 1/100 dilution for 1 hour at room temperature. The detection was performed using an HRP conjugated compact polymer system. DAB was used as the chromogen. Tissues were counterstained with hematoxylin and mounted with DPX.
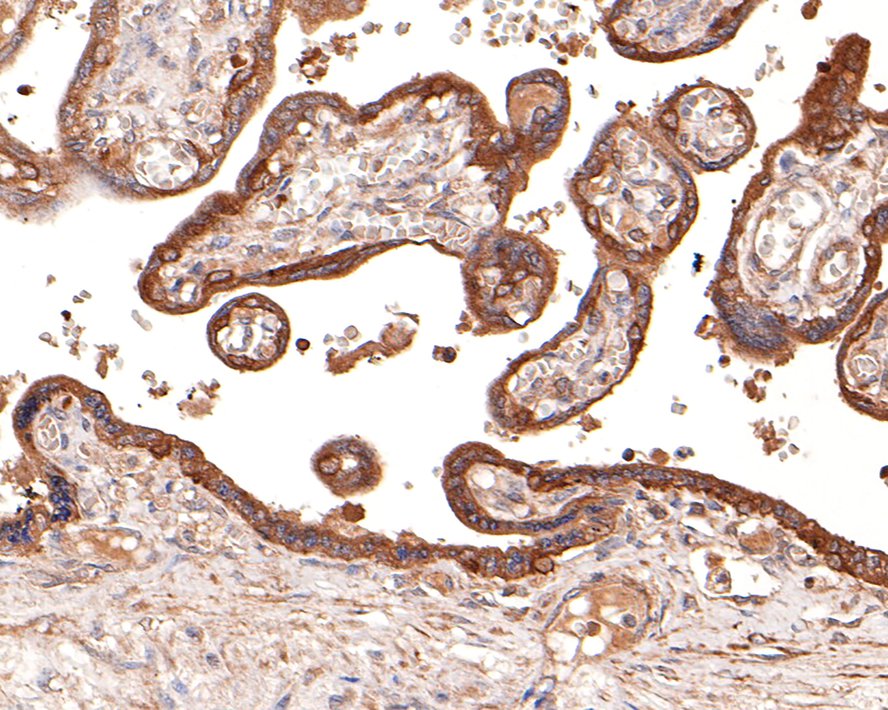
HA750053_3.jpg Fig3: Immunohistochemical analysis of paraffin-embedded human placenta tissue with Rabbit anti-Cleaved Caspase-3 antibody (HA750053) at 1/100 dilution.

The section was pre-treated using heat mediated antigen retrieval with Tris-EDTA buffer (pH 9.0) for 20 minutes. The tissues were blocked in 1% BSA for 20 minutes at room temperature, washed with ddH2O and PBS, and then probed with the primary antibody (HA750053) at 1/100 dilution for 1 hour at room temperature. The detection was performed using an HRP conjugated compact polymer system. DAB was used as the chromogen. Tissues were counterstained with hematoxylin and mounted with DPX.
Note: All products are “FOR RESEARCH USE ONLY AND ARE NOT INTENDED FOR DIAGNOSTIC OR THERAPEUTIC USE”.