Cdk2 Recombinant Rabbit Monoclonal Antibody [SR01-01]
cat.: HA750054
Product Type: Recombinant Rabbit monoclonal IgG, primary antibodies
Species reactivity: Human, Mouse, Rat
Applications: WB, IF-Cell, IF-Tissue, IHC-P, IP, FC
Clonality: Monoclonal
Clone number: SR01-01
Form: Liquid
Storage condition: Store at +4℃ after thawing. Aliquot store at -20℃ or -80℃. Avoid repeated freeze / thaw cycles.
Storage buffer: 1*PBS (pH7.4).
Concentration: 1ug/ul
Purification: Protein A affinity purified.
Molecular weight: Predicted band size: 34 kDa
Isotype: IgG
Immunogen: Synthetic peptide within Human Cdk2 aa 249-298 / 298.
Positive control: A549 cell lysate, F9 cell lysate, Hela, CRC, SH-SY5Y, N2A, human tonsil tissue, human spleen tissue, mouse spleen tissue.
Subcellular location: Endosome, Cytoplasm, Nucleus, Cajal body, Centrosome.
Recommended Dilutions:
  WB
  IF-Cell
  IF-Tissue
  IHC-P
  IP
  FC

1:500-1:5,000
1:50-1:200
1:50-1:200
1:50-1:200
Use at an assay dependent concentration.
1:1,000
Uniprot #: SwissProt: P24941 Human | P97377 Mouse | Q63699 Rat
Alternative names: Cdc2 related protein kinase cdc2-related protein kinase CDC28 CDC2A Cdk 2 CDK1 CDK2 CDK2_HUMAN CDKN2 Cell devision kinase 2 Cell division protein kinase 2 Cyclin dependent kinase 2 cyclin dependent kinase 2-alpha Cyclin-dependent kinase 2 kinase Cdc2 MPF p33 protein kinase p33(CDK2)
Images
HA750054_1.jpg Fig1: Western blot analysis of Cdk2 on different lysates with Rabbit anti-Cdk2 antibody (HA750054) at 1/500 dilution.

Lane 1: A549 cell lysate
Lane 2: F9 cell lysate

Lysates/proteins at 10 µg/Lane.

Predicted band size: 34 kDa
Observed band size: 34 kDa

Exposure time: 2 minutes;

12% SDS-PAGE gel.

Proteins were transferred to a PVDF membrane and blocked with 5% NFDM/TBST for 1 hour at room temperature. The primary antibody (HA750054) at 1/500 dilution was used in 5% NFDM/TBST at room temperature for 2 hours. Goat Anti-Rabbit IgG - HRP Secondary Antibody (HA1001) at 1:300,000 dilution was used for 1 hour at room temperature.
HA750054_2.jpg Fig2: Western blot analysis of Cdk2 on different lysates with Rabbit anti-Cdk2 antibody (HA750054) at 1/1,000 dilution.

Lane 1: Hela-si NT cell lysate
Lane 2: Hela-si Cdk2 cell lysate

Lysates/proteins at 10 µg/Lane.

Predicted band size: 34 kDa
Observed band size: 34 kDa

Exposure time: 1 minute;
ECL: merk

4-20% SDS-PAGE gel.

ET1602-6 was shown to specifically react with Cdk2 in Hela-si NT cells. Weakened band was observed when Hela-si Cdk2 sample was tested. Hela-si NT and Hela-si Cdk2 samples were subjected to SDS-PAGE. Proteins were transferred to a PVDF membrane and blocked with 5% NFDM in TBST for 1 hour at room temperature. The primary antibody (ET1602-6, 1/1,000) and Loading control antibody (Rabbit anti-GAPDH, ET1601-4, 1/10,000) were used in 5% BSA at room temperature for 2 hours. Goat Anti-rabbit IgG-HRP Secondary Antibody (HA1001) at 1:100,000 dilution was used for 1 hour at room temperature.
HA750054_3.jpg Fig3: ICC staining of Cdk2 in Hela cells (green). Formalin fixed cells were permeabilized with 0.1% Triton X-100 in TBS for 10 minutes at room temperature and blocked with 1% Blocker BSA for 15 minutes at room temperature. Cells were probed with the primary antibody (HA750054, 1/50) for 1 hour at room temperature, washed with PBS. Alexa Fluor®488 Goat anti-Rabbit IgG was used as the secondary antibody at 1/1,000 dilution. The nuclear counter stain is DAPI (blue).
HA750054_4.jpg Fig4: ICC staining of Cdk2 in CRC cells (green). Formalin fixed cells were permeabilized with 0.1% Triton X-100 in TBS for 10 minutes at room temperature and blocked with 1% Blocker BSA for 15 minutes at room temperature. Cells were probed with the primary antibody (HA750054, 1/50) for 1 hour at room temperature, washed with PBS. Alexa Fluor®488 Goat anti-Rabbit IgG was used as the secondary antibody at 1/1,000 dilution. The nuclear counter stain is DAPI (blue).
HA750054_5.jpg Fig5: ICC staining of Cdk2 in SH-SY5Y cells (green). Formalin fixed cells were permeabilized with 0.1% Triton X-100 in TBS for 10 minutes at room temperature and blocked with 1% Blocker BSA for 15 minutes at room temperature. Cells were probed with the primary antibody (HA750054, 1/50) for 1 hour at room temperature, washed with PBS. Alexa Fluor®488 Goat anti-Rabbit IgG was used as the secondary antibody at 1/1,000 dilution. The nuclear counter stain is DAPI (blue).
HA750054_6.jpg Fig6: ICC staining of Cdk2 in N2A cells (green). Formalin fixed cells were permeabilized with 0.1% Triton X-100 in TBS for 10 minutes at room temperature and blocked with 1% Blocker BSA for 15 minutes at room temperature. Cells were probed with the primary antibody (HA750054, 1/50) for 1 hour at room temperature, washed with PBS. Alexa Fluor®488 Goat anti-Rabbit IgG was used as the secondary antibody at 1/1,000 dilution. The nuclear counter stain is DAPI (blue).
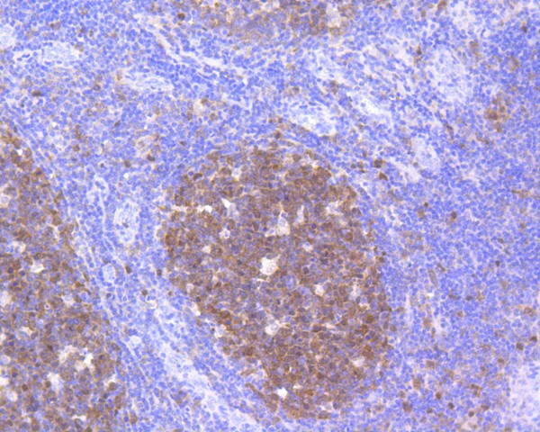
HA750054_7.jpg Fig7: Immunohistochemical analysis of paraffin-embedded human tonsil tissue using anti-Cdk2 antibody. The section was pre-treated using heat mediated antigen retrieval with Tris-EDTA buffer (pH 8.0-8.4) for 20 minutes.The tissues were blocked in 5% BSA for 30 minutes at room temperature, washed with ddH2O and PBS, and then probed with the primary antibody (HA750054, 1/200) for 30 minutes at room temperature. The detection was performed using an HRP conjugated compact polymer system. DAB was used as the chromogen. Tissues were counterstained with hematoxylin and mounted with DPX.
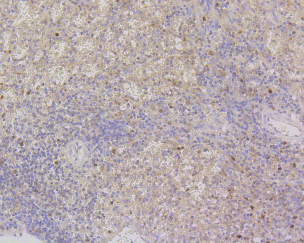
HA750054_8.jpg Fig8: Immunohistochemical analysis of paraffin-embedded human spleen tissue using anti-Cdk2 antibody. The section was pre-treated using heat mediated antigen retrieval with Tris-EDTA buffer (pH 8.0-8.4) for 20 minutes.The tissues were blocked in 5% BSA for 30 minutes at room temperature, washed with ddH2O and PBS, and then probed with the primary antibody (HA750054, 1/50) for 30 minutes at room temperature. The detection was performed using an HRP conjugated compact polymer system. DAB was used as the chromogen. Tissues were counterstained with hematoxylin and mounted with DPX.
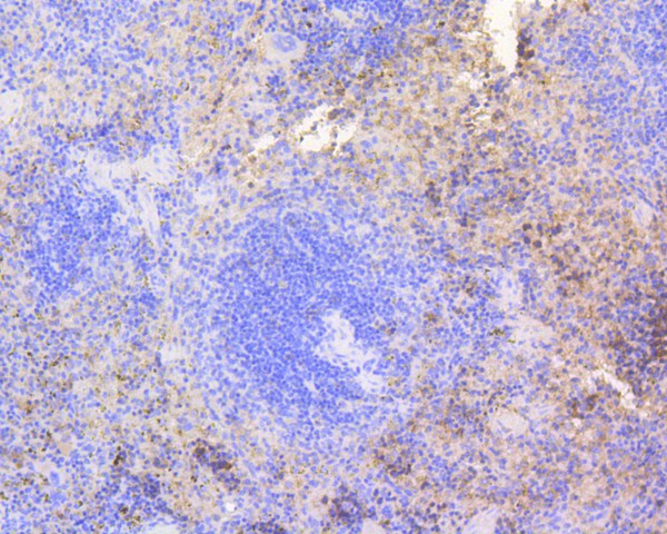
HA750054_9.jpg Fig9: Immunohistochemical analysis of paraffin-embedded mouse spleen tissue using anti-Cdk2 antibody. The section was pre-treated using heat mediated antigen retrieval with Tris-EDTA buffer (pH 8.0-8.4) for 20 minutes.The tissues were blocked in 5% BSA for 30 minutes at room temperature, washed with ddH2O and PBS, and then probed with the primary antibody (HA750054, 1/50) for 30 minutes at room temperature. The detection was performed using an HRP conjugated compact polymer system. DAB was used as the chromogen. Tissues were counterstained with hematoxylin and mounted with DPX.
HA750054_10.jpg Fig10: Immunocytochemistry analysis of HeLa cells labeling Cdk2 with Rabbit anti-Cdk2 antibody (HA750054) at 1/100 dilution.

Cells were fixed in 4% paraformaldehyde for 20 minutes at room temperature, permeabilized with 0.1% Triton X-100 in PBS for 5 minutes at room temperature, then blocked with 1% BSA in 10% negative goat serum for 1 hour at room temperature. Cells were then incubated with Rabbit anti-Cdk2 antibody (HA750054) at 1/100 dilution in 1% BSA in PBST overnight at 4 ℃. Goat Anti-Rabbit IgG H&L (iFluor™ 488, HA1121) was used as the secondary antibody at 1/1,000 dilution. PBS instead of the primary antibody was used as the secondary antibody only control. Nuclear DNA was labelled in blue with DAPI.

Beta tubulin (M1305-2, red) was stained at 1/100 dilution overnight at +4℃. Goat Anti-Mouse IgG H&L (iFluor™ 594, HA1126) was used as the secondary antibody at 1/1,000 dilution.
HA750054_11.jpg Fig11: Flow cytometric analysis of HeLa cells labeling Cdk2.

Cells were fixed and permeabilized. Then stained with the primary antibody (HA750054, 1μg/mL) (red) compared with Rabbit IgG Isotype Control (green). After incubation of the primary antibody at +4℃ for an hour, the cells were stained with a iFluor™ 488 conjugate-Goat anti-Rabbit IgG Secondary antibody (HA1121) at 1/1,000 dilution for 30 minutes at +4℃. Unlabelled sample was used as a control (cells without incubation with primary antibody; black).
Note: All products are “FOR RESEARCH USE ONLY AND ARE NOT INTENDED FOR DIAGNOSTIC OR THERAPEUTIC USE”.