ARPC5 / p16 ARC Recombinant Rabbit Monoclonal Antibody [SR34-02]
cat.: HA750055
Product Type: Recombinant Rabbit monoclonal IgG, primary antibodies
Species reactivity: Human, Mouse, Rat
Applications: WB, IF-Cell, IF-Tissue, IHC-P, FC, IP
Clonality: Monoclonal
Clone number: SR34-02
Form: Liquid
Storage condition: Store at +4℃ after thawing. Aliquot store at -20℃ or -80℃. Avoid repeated freeze / thaw cycles.
Storage buffer: 1*PBS (pH7.4).
Concentration: 1ug/ul
Purification: Protein A affinity purified.
Molecular weight: Predicted band size: 16 kDa
Isotype: IgG
Immunogen: Synthetic peptide within Human p16 ARC aa 1-50 / 151.
Positive control: HeLa cell lysate, MCF7 cell lysate, HepG2 cell lysate, human brain tissue lysate, mouse brain tissue lysate, rat brain tissue lysate, N2A, human spleen tissue, mouse lung tissue, mouse spleen tissue, human placenta tissue, SH-SY5Y.
Subcellular location: Cytoplasm, Cytoskeleton, Nucleus, Cell projection.
Recommended Dilutions:
  WB
  IF-Cell
  IF-Tissue
  IHC-P
  FC
  IP

1:5,000
1:50
1:50
1:50-1:200
1:50-1:100
Use at an assay dependent concentration.
Uniprot #: SwissProt: O15511 Human | Q9CPW4 Mouse | Q4KLF8 Rat
Alternative names: Actin related protein 2/3 complex subunit 5 (16 kD) Actin related protein 2/3 complex subunit 5 Actin related protein 2/3 complex, subunit 5 16kDa Actin-related protein 2/3 complex subunit 5 ARC16 Arp2/3 complex 16 kDa subunit Arp2/3 protein complex subunit p16 ARPC 5 Arpc5 ARPC5_HUMAN dJ127C7.3 MGC88523 p16 Arc p16-ARC RP1 127C7.3
Images
HA750055_1.jpg Fig1: Western blot analysis of ARPC5 / p16 ARC on different lysates with Rabbit anti-ARPC5 / p16 ARC antibody (HA750055) at 1/5,000 dilution.

Lane 1: HeLa cell lysate (15 µg/Lane)
Lane 2: MCF7 cell lysate (15 µg/Lane)
Lane 3: HepG2 cell lysate (15 µg/Lane)
Lane 4: Human brain tissue lysate (20 µg/Lane)
Lane 5: Mouse brain tissue lysate (20 µg/Lane)
Lane 6: Rat brain tissue lysate (20 µg/Lane)

Predicted band size: 16 kDa
Observed band size: 16 kDa

Exposure time: 3 minutes;

4-20% SDS-PAGE gel.

Proteins were transferred to a PVDF membrane and blocked with 5% NFDM/TBST for 1 hour at room temperature. The primary antibody (HA750055) at 1/5,000 dilution was used in 5% NFDM/TBST at 4℃ overnight. Goat Anti-Rabbit IgG - HRP Secondary Antibody (HA1001) at 1/50,000 dilution was used for 1 hour at room temperature.
HA750055_2.jpg Fig2: Western blot analysis of ARPC5 / p16 ARC on different lysates with Rabbit anti-ARPC5 / p16 ARC antibody (HA750055) at 1/1,000 dilution.

Lane 1: A549-WT cell lysate
Lane 2: A549-KD ARPC5 / p16 ARC cell lysate

Lysates/proteins at 10 µg/Lane.

Predicted band size: 16 kDa
Observed band size: 16 kDa

Exposure time: 3 minutes; ECL: K1801;

4-20% SDS-PAGE gel.

Proteins were transferred to a PVDF membrane and blocked with 5% NFDM/TBST for 1 hour at room temperature. The primary antibody (HA750055) at 1/1,000 dilution was used in 5% NFDM/TBST at 4℃ overnight. Goat Anti-Rabbit IgG - HRP Secondary Antibody (HA1001) at 1/50,000 dilution was used for 1 hour at room temperature.
HA750055_3.jpg Fig3: ICC staining of ARPC5 / p16 ARC in N2A cells (green). Formalin fixed cells were permeabilized with 0.1% Triton X-100 in TBS for 10 minutes at room temperature and blocked with 10% negative goat serum for 15 minutes at room temperature. Cells were probed with the primary antibody (HA750055, 1/50) for 1 hour at room temperature, washed with PBS. Alexa Fluor®488 conjugate-Goat anti-Rabbit IgG was used as the secondary antibody at 1/1,000 dilution. The nuclear counter stain is DAPI (blue).
HA750055_4.jpg Fig4: Immunohistochemical analysis of paraffin-embedded human spleen tissue using anti-ARPC5 / p16 ARC antibody. The section was pre-treated using heat mediated antigen retrieval with Tris-EDTA buffer (pH 9.0) for 20 minutes.The tissues were blocked in 1% BSA for 30 minutes at room temperature, washed with ddH2O and PBS, and then probed with the primary antibody (HA750055, 1/50) for 30 minutes at room temperature. The detection was performed using an HRP conjugated compact polymer system. DAB was used as the chromogen. Tissues were counterstained with hematoxylin and mounted with DPX.
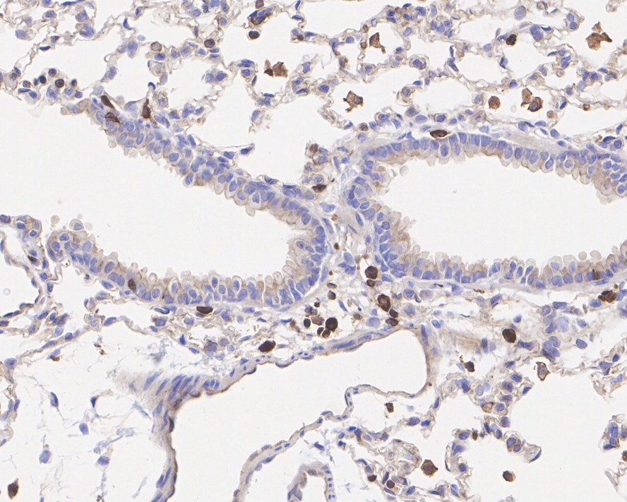
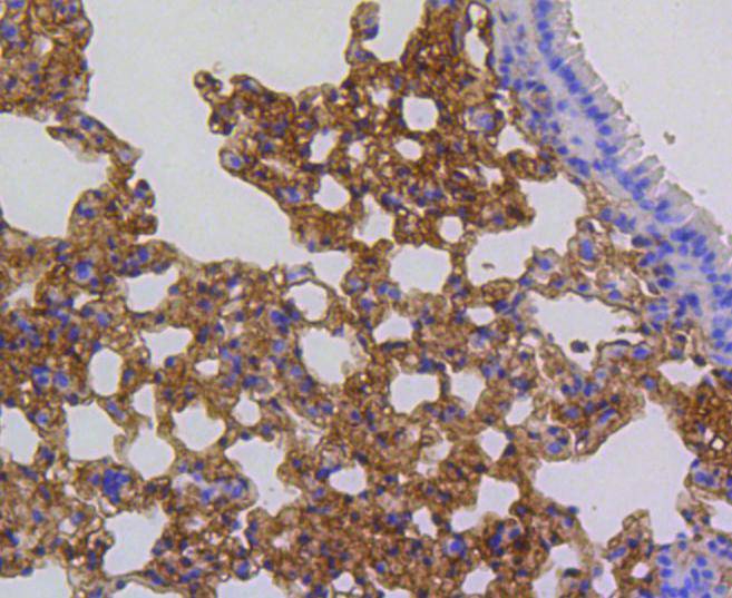
HA750055_5.jpg Fig5: Immunohistochemical analysis of paraffin-embedded mouse lung tissue using anti-ARPC5 / p16 ARC antibody. The section was pre-treated using heat mediated antigen retrieval with Tris-EDTA buffer (pH 9.0) for 20 minutes.The tissues were blocked in 1% BSA for 30 minutes at room temperature, washed with ddH2O and PBS, and then probed with the primary antibody (HA750055, 1/50) for 30 minutes at room temperature. The detection was performed using an HRP conjugated compact polymer system. DAB was used as the chromogen. Tissues were counterstained with hematoxylin and mounted with DPX.
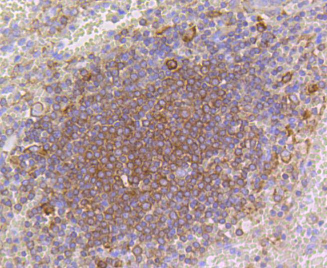
HA750055_6.jpg Fig6: Immunohistochemical analysis of paraffin-embedded mouse spleen tissue using anti-ARPC5 / p16 ARC antibody. The section was pre-treated using heat mediated antigen retrieval with Tris-EDTA buffer (pH 9.0) for 20 minutes.The tissues were blocked in 1% BSA for 30 minutes at room temperature, washed with ddH2O and PBS, and then probed with the primary antibody (HA750055, 1/50) for 30 minutes at room temperature. The detection was performed using an HRP conjugated compact polymer system. DAB was used as the chromogen. Tissues were counterstained with hematoxylin and mounted with DPX.
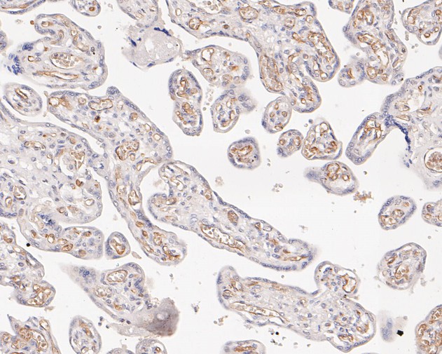
HA750055_7.jpg Fig7: Immunohistochemical analysis of paraffin-embedded human placenta tissue using anti-ARPC5 / p16 ARC antibody. The section was pre-treated using heat mediated antigen retrieval with Tris-EDTA buffer (pH 9.0) for 20 minutes.The tissues were blocked in 1% BSA for 30 minutes at room temperature, washed with ddH2O and PBS, and then probed with the primary antibody (HA750055, 1/50) for 30 minutes at room temperature. The detection was performed using an HRP conjugated compact polymer system. DAB was used as the chromogen. Tissues were counterstained with hematoxylin and mounted with DPX.
HA750055_8.jpg Fig8: Flow cytometric analysis of ARPC5 / p16 ARC was done on SH-SY5Y cells. The cells were fixed, permeabilized and stained with the primary antibody (HA750055, 1/50) (blue). After incubation of the primary antibody at room temperature for an hour, the cells were stained with a Alexa Fluor®488 conjugate-Goat anti-Rabbit IgG Secondary antibody at 1/1000 dilution for 30 minutes.Unlabelled sample was used as a control (cells without incubation with primary antibody; red).
HA750055_9.jpg Fig9: Immunohistochemical analysis of paraffin-embedded rat lung tissue with Rabbit anti-ARPC5 / p16 ARC antibody (HA750055) at 1/1,000 dilution.

The section was pre-treated using heat mediated antigen retrieval with Tris-EDTA buffer (pH 9.0) for 20 minutes. The tissues were blocked in 1% BSA for 20 minutes at room temperature, washed with ddH2O and PBS, and then probed with the primary antibody (HA750055) at 1/1,000 dilution for 1 hour at room temperature. The detection was performed using an HRP conjugated compact polymer system. DAB was used as the chromogen. Tissues were counterstained with hematoxylin and mounted with DPX.
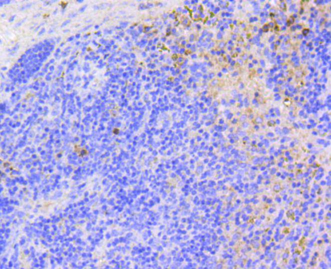
HA750055_10.jpg Fig10: Immunohistochemical analysis of paraffin-embedded rat spleen tissue with Rabbit anti-ARPC5 / p16 ARC antibody (HA750055) at 1/1,000 dilution.

The section was pre-treated using heat mediated antigen retrieval with Tris-EDTA buffer (pH 9.0) for 20 minutes. The tissues were blocked in 1% BSA for 20 minutes at room temperature, washed with ddH2O and PBS, and then probed with the primary antibody (HA750055) at 1/1,000 dilution for 1 hour at room temperature. The detection was performed using an HRP conjugated compact polymer system. DAB was used as the chromogen. Tissues were counterstained with hematoxylin and mounted with DPX.
Note: All products are “FOR RESEARCH USE ONLY AND ARE NOT INTENDED FOR DIAGNOSTIC OR THERAPEUTIC USE”.