Bcl-2 Recombinant Rabbit Monoclonal Antibody [SZ10-03]
cat.: HA750057
Product Type: Recombinant Rabbit monoclonal IgG, primary antibodies
Species reactivity: Human
Applications: WB, IF-Cell, IF-Tissue, IHC-P, IP, FC
Clonality: Monoclonal
Clone number: SZ10-03
Form: Liquid
Storage condition: Store at +4℃ after thawing. Aliquot store at -20℃ or -80℃. Avoid repeated freeze / thaw cycles.
Storage buffer: 1*PBS (pH7.4).
Concentration: 1ug/ul
Purification: Protein A affinity purified.
Molecular weight: Predicted band size: 26 kDa
Isotype: IgG
Immunogen: Synthetic peptide within human Bcl-2 aa 40-90.
Positive control: HeLa cell lysate, Jurkat cell lysate, MCF7 cell lysate, HL-60 cell lysate, THP-1 cell lysate, A549, MCF-7, SH-SY5Y, human lymph nodes tissue, human kidney tissue, Jurkat.
Subcellular location: Mitochondrion outer membrane, Nucleus membrane, Endoplasmic reticulum membrane, Cytoplasm.
Recommended Dilutions:
  WB
  IF-Cell
  IF-Tissue
  IHC-P
  FC
  IP

1:5,000
1:50-1:200
1:50-1:800
1:50-1:4,000
1:50-1:100
Use at an assay dependent concentration.
Uniprot #: SwissProt: P10415 Human
Alternative names: Apoptosis regulator Bcl 2 Apoptosis regulator Bcl-2 Apoptosis regulator Bcl2 AW986256 B cell CLL/lymphoma 2 B cell leukemia/lymphoma 2 Bcl-2 Bcl2 BCL2_HUMAN C430015F12Rik D630044D05Rik D830018M01Rik Leukemia/lymphoma, B-cell, 2 Oncogene B-cell leukemia 2 PPP1R50 Protein phosphatase 1, regulatory subunit 50 Bcl 2
Images
HA750057_1.jpg Fig1: Western blot analysis of Bcl-2 on different lysates with Rabbit anti-Bcl-2 antibody (HA750057) at 1/5,000 dilution.

Lane 1: HeLa cell lysate (20 µg/Lane)
Lane 2: Jurkat cell lysate (20 µg/Lane)
Lane 3: MCF7 cell lysate (20 µg/Lane)
Lane 4: HL-60 cell lysate (20 µg/Lane)
Lane 5: THP-1 cell lysate (20 µg/Lane)

Predicted band size: 26 kDa
Observed band size: 26 kDa

Exposure time: 24 seconds;

4-20% SDS-PAGE gel.

Proteins were transferred to a PVDF membrane and blocked with 5% NFDM/TBST for 1 hour at room temperature. The primary antibody (HA750057) at 1/5,000 dilution was used in 5% NFDM/TBST at 4℃ overnight. Goat Anti-Rabbit IgG - HRP Secondary Antibody (HA1001) at 1:50,000 dilution was used for 1 hour at room temperature.
HA750057_2.jpg Fig2: Western blot analysis of Bcl-2 on different lysates with Rabbit anti-Bcl-2 antibody (HA750057) at 1/1,000 dilution.

Lane 1: Hela-si NT cell lysate
Lane 2: Hela-si Bcl-2 cell lysate

Lysates/proteins at 10 µg/Lane.

Predicted band size: 26 kDa
Observed band size: 26 kDa

Exposure time: 31 seconds; ECL: merk

4-20% SDS-PAGE gel.

ET1603-11 was shown to specifically react with Bcl-2 in Hela-si NT cells. Weakened band was observed when Hela-si Bcl-2 sample was tested. Hela-si NT and Hela-si Bcl-2 samples were subjected to SDS-PAGE. Proteins were transferred to a PVDF membrane and blocked with 5% NFDM in TBST for 1 hour at room temperature. The primary antibody (ET1603-11, 1/1,000) and Loading control antibody (Rabbit anti-GAPDH, ET1601-4, 1/10,000) were used in 5% BSA at room temperature for 2 hours. Goat Anti-rabbit IgG-HRP Secondary Antibody (HA1001) at 1:100,000 dilution was used for 1 hour at room temperature.
HA750057_3.jpg Fig3: ICC staining of Bcl-2 in A549 cells (green). Formalin fixed cells were permeabilized with 0.1% Triton X-100 in TBS for 10 minutes at room temperature and blocked with 1% Blocker BSA for 15 minutes at room temperature. Cells were probed with the primary antibody (HA750057, 1/50) for 1 hour at room temperature, washed with PBS. Alexa Fluor®488 Goat anti-Rabbit IgG was used as the secondary antibody at 1/1,000 dilution. The nuclear counter stain is DAPI (blue).
HA750057_4.jpg Fig4: ICC staining of Bcl-2 in MCF-7 cells (green). Formalin fixed cells were permeabilized with 0.1% Triton X-100 in TBS for 10 minutes at room temperature and blocked with 1% Blocker BSA for 15 minutes at room temperature. Cells were probed with the primary antibody (HA750057, 1/50) for 1 hour at room temperature, washed with PBS. Alexa Fluor®488 Goat anti-Rabbit IgG was used as the secondary antibody at 1/1,000 dilution. The nuclear counter stain is DAPI (blue).
HA750057_5.jpg Fig5: ICC staining of Bcl-2 in SH-SY5Y cells (green). Formalin fixed cells were permeabilized with 0.1% Triton X-100 in TBS for 10 minutes at room temperature and blocked with 1% Blocker BSA for 15 minutes at room temperature. Cells were probed with the primary antibody (HA750057, 1/50) for 1 hour at room temperature, washed with PBS. Alexa Fluor®488 Goat anti-Rabbit IgG was used as the secondary antibody at 1/1,000 dilution. The nuclear counter stain is DAPI (blue).
HA750057_6.jpg Fig6: Flow cytometric analysis of Bcl-2 was done on Jurkat cells. The cells were fixed, permeabilized and stained with the primary antibody (HA750057, 1/50) (red). After incubation of the primary antibody at room temperature for an hour, the cells were stained with a Alexa Fluor 488-conjugated Goat anti-Rabbit IgG Secondary antibody at 1/1000 dilution for 30 minutes.Unlabelled sample was used as a control (cells without incubation with primary antibody; black).
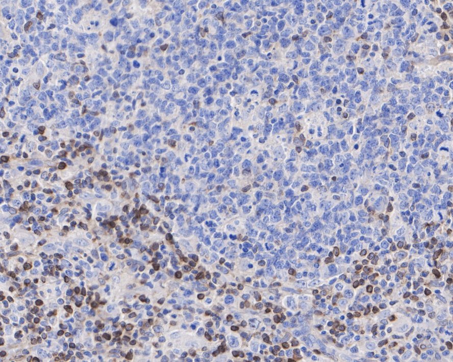
HA750057_7.jpg Fig7: Immunohistochemical analysis of paraffin-embedded human B-cell lymphoma tissue with Rabbit anti-Bcl-2 antibody (HA750057) at 1/1,000 dilution.

The section was pre-treated using heat mediated antigen retrieval with Tris-EDTA buffer (pH 9.0) for 20 minutes. The tissues were blocked in 1% BSA for 20 minutes at room temperature, washed with ddH2O and PBS, and then probed with the primary antibody (HA750057) at 1/1,000 dilution for 1 hour at room temperature. The detection was performed using an HRP conjugated compact polymer system. DAB was used as the chromogen. Tissues were counterstained with hematoxylin and mounted with DPX.
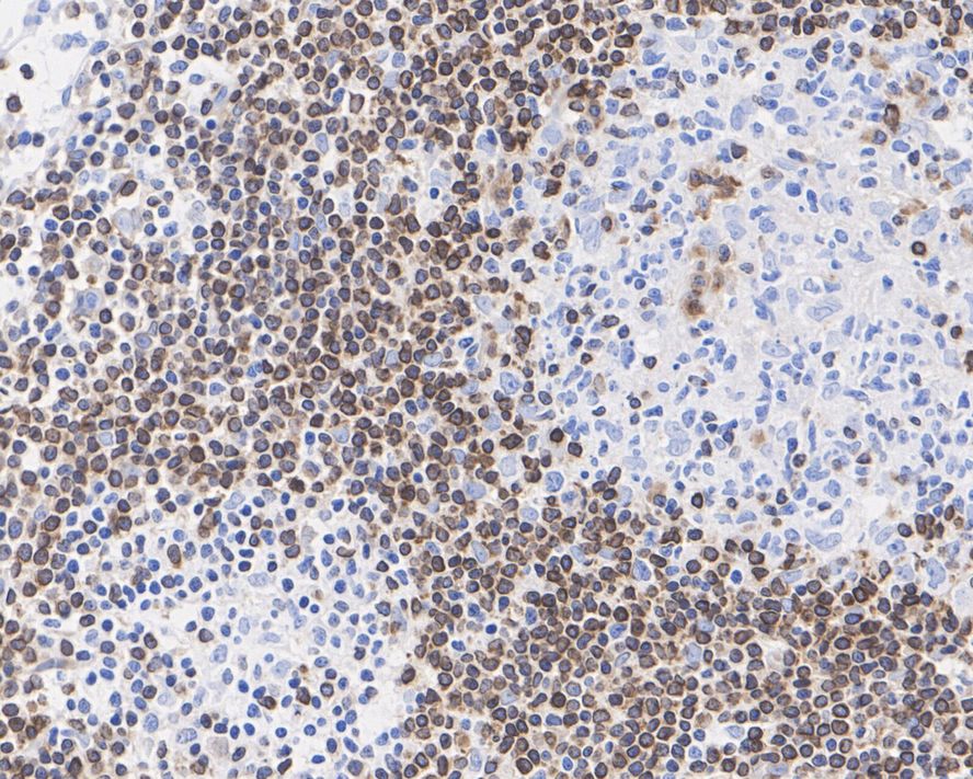
HA750057_8.jpg Fig8: Immunohistochemical analysis of paraffin-embedded human lymph node tissue with Rabbit anti-Bcl-2 antibody (HA750057) at 1/1,000 dilution.

The section was pre-treated using heat mediated antigen retrieval with Tris-EDTA buffer (pH 9.0) for 20 minutes. The tissues were blocked in 1% BSA for 20 minutes at room temperature, washed with ddH2O and PBS, and then probed with the primary antibody (HA750057) at 1/1,000 dilution for 1 hour at room temperature. The detection was performed using an HRP conjugated compact polymer system. DAB was used as the chromogen. Tissues were counterstained with hematoxylin and mounted with DPX.
Note: All products are “FOR RESEARCH USE ONLY AND ARE NOT INTENDED FOR DIAGNOSTIC OR THERAPEUTIC USE”.