Phospho-EIF2S1 (S51) Recombinant Rabbit Monoclonal Antibody [SZ01-06]
cat.: HA750059
Product Type: Recombinant Rabbit monoclonal IgG, primary antibodies
Species reactivity: Human, Mouse, Rat
Applications: WB, IF-Cell, IF-Tissue, IHC-P, IP, FC
Clonality: Monoclonal
Clone number: SZ01-06
Form: Liquid
Storage condition: Store at +4℃ after thawing. Aliquot store at -20℃ or -80℃. Avoid repeated freeze / thaw cycles.
Storage buffer: 1*PBS (pH7.4).
Concentration: 1ug/ul
Purification: Protein A affinity purified.
Molecular weight: Predicted band size: 36 kDa
Isotype: IgG
Immunogen: Synthetic phospho-peptide corresponding to residues surrounding Ser51 of Human eIF-2a.
Positive control: HeLa treated with 50nM Calyculin A for 3 hours whole cell lysate, NIH/3T3 treated with 100nM Calyculin A for 30 minutes whole cell lysate, C6 treated with 100nM Calyculin A for 30 minutes whole cell lysate, THP-1 cell lysate, C2C12 cell lysate, mouse spleen tissue, rat spleen tissue, human liver tissue, human pancreas tissue, mouse brain tissue, mouse placenta tissue, mouse pancreas tissue, human prostate carcinoma tissue, human breast carcinoma tissue, human colon carcinoma tissue, Hela.
Subcellular location: Stress granule, Cytoplasm.
Recommended Dilutions:
  WB
  IF-Cell
  IF-Tissue
  IHC-P
  FC
  IP

1:2,000
1:50-1:200
1:50-1:200
1:50-1:500
1:50-1:100
Use at an assay dependent concentration.
Uniprot #: SwissProt: P05198 Human | Q6ZWX6 Mouse | P68101 Rat
Alternative names: EIF 2 alpha EIF 2 EIF 2A EIF 2alpha eIF-2-alpha eIF-2A EIF-2alpha EIF2 alpha EIF2 EIF2A EIF2S1 Eukaryotic translation initiation factor 2 subunit 1 alpha 35kDa Eukaryotic translation initiation factor 2 subunit 1 alpha Eukaryotic translation initiation factor 2 subunit 1 Eukaryotic translation initiation factor 2 subunit alpha IF2A_HUMAN
Images
HA750059_1.jpg Fig1: Western blot analysis of Phospho-EIF2S1 (S51) on different lysates with Rabbit anti-Phospho-EIF2S1 (S51) antibody (HA750059) at 1/2,000 dilution.

Lane 1: HeLa whole cell lysate (15 µg/Lane)
Lane 2: HeLa treated with 50nM Calyculin A for 3 hours whole cell lysate (15 µg/Lane)
Lane 3: NIH/3T3 whole cell lysate (15 µg/Lane)
Lane 4: NIH/3T3 treated with 100nM Calyculin A for 30 minutes whole cell lysate (15 µg/Lane)
Lane 5: C6 whole cell lysate (20 µg/Lane)
Lane 6: C6 treated with 100nM Calyculin A for 30 minutes whole cell lysate (20 µg/Lane)

Predicted band size: 36 kDa
Observed band size: 36 kDa

Exposure time: Lane 1-4: 2 minutes; Lane 5-6: 23 seconds;

4-20% SDS-PAGE gel.

Proteins were transferred to a PVDF membrane and blocked with 5% NFDM/TBST for 1 hour at room temperature. The primary antibody (HA750059) at 1/2,000 dilution was used in 5% NFDM/TBST at 4℃ overnight. Goat Anti-Rabbit IgG - HRP Secondary Antibody (HA1001) at 1:50,000 dilution was used for 1 hour at room temperature.
HA750059_2.jpg Fig2: Western blot analysis of Phospho-EIF2S1 (S51) on THP-1 cell lysates.

Lane 1: THP-1 cells, whole cell lysate, 10ug/lane
Lane 2: THP-1 cells treated with 2.8ug/ul lambda-PP for 30 minutes, whole cell lysates, 10ug/lane

All lanes :
Anti-Phospho-EIF2S1 (S51) antibody (HA750059) at 1/500 dilution. Anti-GAPDH antibody (ET1601-4) at 1/10,000 dilution. Goat Anti-Rabbit IgG H&L (HRP) (HA1001) at 1/200,000 dilution.

Predicted band size: 36 kDa
Observed band size: 36 kDa

Blocking and diluting buffer: 5% BSA.

Exposure time: 3 minutes 43 seconds
HA750059_3.jpg Fig3: Western blot analysis of Phospho-EIF2S1 (S51) on C2C12 cell lysates.

Lane 1: C2C12 cells, whole cell lysate, 10ug/lane
Lane 2: C2C12 cells treated with 300nM thapsigargin for 30 minutes, whole cell lysates, 10ug/lane

All lanes :
Anti-Phospho-EIF2S1 (S51) antibody (HA750059
) at 1:500 dilution. Anti-GAPDH antibody (ET1601-4) at 1:10,000 dilution. Goat Anti-Rabbit IgG H&L (HRP) (HA1001) at 1/200,000 dilution.

Predicted band size: 36 kDa
Observed band size: 36 kDa

Blocking and diluting buffer: 5% BSA.

Exposure time: 3 minutes 43 seconds
HA750059_4.jpg Fig4: Western blot analysis of Phospho-EIF2S1 (S51) on mouse spleen tissue lysates.

Lane 1: mouse spleen tissue, whole tissue lysate, 20ug/lane
Lane 2: mouse spleen tissue treated with 2.8ug/ul lambda-PP for 30 minutes, whole tissue lysates, 20ug/lane

All lanes :
Anti-Phospho-EIF2S1 (S51) antibody (HA750059) at 1/500 dilution. Anti-GAPDH antibody (ET1601-4) at 1/10,000 dilution. Goat Anti-Rabbit IgG H&L (HRP) (HA1001) at 1/200,000 dilution.

Predicted band size: 36 kDa
Observed band size: 36 kDa

Blocking and diluting buffer: 5% BSA.

Exposure time: 3 minutes 43 seconds
HA750059_5.jpg Fig5: Western blot analysis of Phospho-EIF2S1 (S51) on rat spleen tissue lysates.

Lane 1: rat spleen tissue, whole tissue lysate, 20ug/lane
Lane 2: rat spleen tissue treated with 2.8ug/ul lambda-PP for 30 minutes, whole tissue lysates, 20ug/lane

All lanes :
Anti-Phospho-EIF2S1 (S51) antibody (HA750059) at 1/500 dilution. Anti-GAPDH antibody (ET1601-4) at 1/10,000 dilution. Goat Anti-Rabbit IgG H&L (HRP) (HA1001) at 1/200,000 dilution.

Predicted band size: 36 kDa
Observed band size: 36 kDa

Blocking and diluting buffer: 5% BSA.

Exposure time: 1 minute 15 seconds
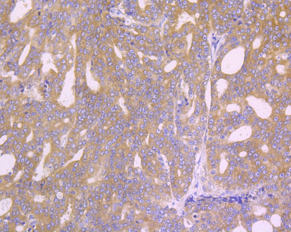
HA750059_6.jpg Fig6: Immunohistochemical analysis of paraffin-embedded human liver tissue using anti-Phospho-EIF2S1 (S51) antibody. The section was pre-treated using heat mediated antigen retrieval with Tris-EDTA buffer (pH 8.0-8.4) for 20 minutes.The tissues were blocked in 5% BSA for 30 minutes at room temperature, washed with ddH2O and PBS, and then probed with the primary antibody (HA750059, 1/50) for 30 minutes at room temperature. The detection was performed using an HRP conjugated compact polymer system. DAB was used as the chromogen. Tissues were counterstained with hematoxylin and mounted with DPX.
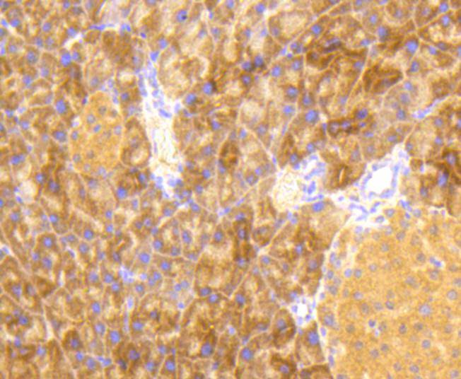
HA750059_7.jpg Fig7: Immunohistochemical analysis of paraffin-embedded human pancreas tissue using anti-Phospho-EIF2S1 (S51) antibody. The section was pre-treated using heat mediated antigen retrieval with Tris-EDTA buffer (pH 8.0-8.4) for 20 minutes.The tissues were blocked in 5% BSA for 30 minutes at room temperature, washed with ddH2O and PBS, and then probed with the primary antibody (HA750059, 1/50) for 30 minutes at room temperature. The detection was performed using an HRP conjugated compact polymer system. DAB was used as the chromogen. Tissues were counterstained with hematoxylin and mounted with DPX.
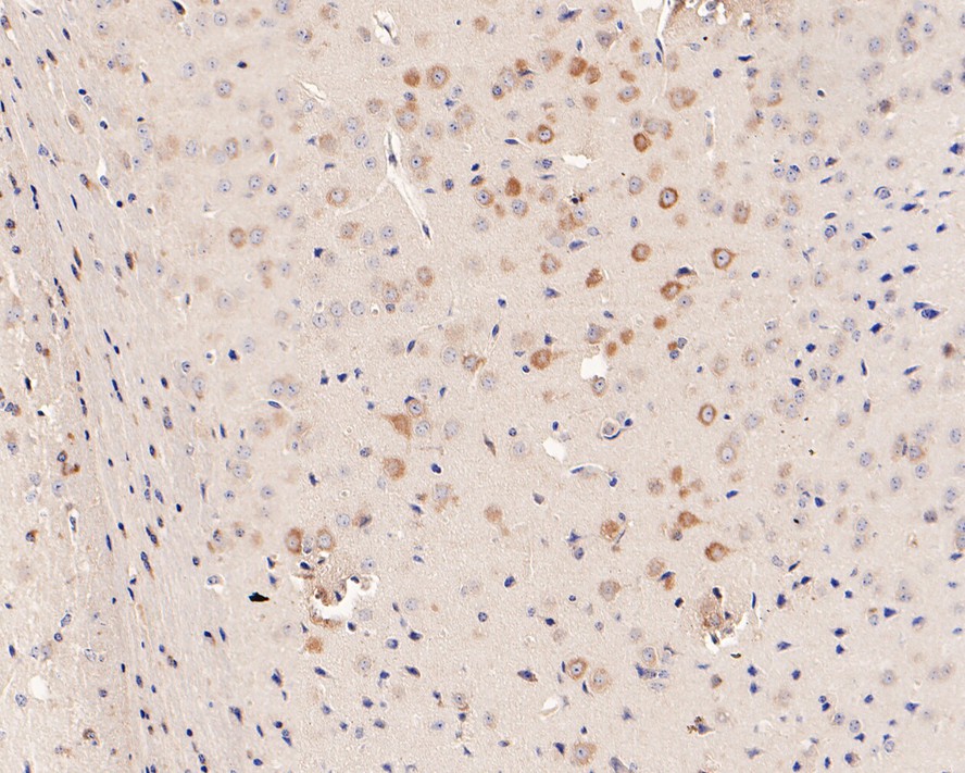
HA750059_8.jpg Fig8: Immunohistochemical analysis of paraffin-embedded mouse brain tissue with Rabbit anti-Phospho-EIF2S1 (S51) antibody (HA750059) at 1/200 dilution.

The section was pre-treated using heat mediated antigen retrieval with Tris-EDTA buffer (pH 9.0) for 20 minutes. The tissues were blocked in 1% BSA for 20 minutes at room temperature, washed with ddH2O and PBS, and then probed with the primary antibody (HA750059) at 1/200 dilution for 1 hour at room temperature. The detection was performed using an HRP conjugated compact polymer system. DAB was used as the chromogen. Tissues were counterstained with hematoxylin and mounted with DPX.
HA750059_9.jpg Fig9: Immunohistochemical analysis of paraffin-embedded mouse placenta tissue using anti-Phospho-EIF2S1 (S51) antibody. The section was pre-treated using heat mediated antigen retrieval with Tris-EDTA buffer (pH 8.0-8.4) for 20 minutes.The tissues were blocked in 5% BSA for 30 minutes at room temperature, washed with ddH2O and PBS, and then probed with the primary antibody (HA750059, 1/50) for 30 minutes at room temperature. The detection was performed using an HRP conjugated compact polymer system. DAB was used as the chromogen. Tissues were counterstained with hematoxylin and mounted with DPX.
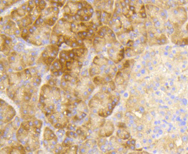
HA750059_10.jpg Fig10: Immunohistochemical analysis of paraffin-embedded mouse pancreas tissue using anti-Phospho-EIF2S1 (S51) antibody. The section was pre-treated using heat mediated antigen retrieval with Tris-EDTA buffer (pH 8.0-8.4) for 20 minutes.The tissues were blocked in 5% BSA for 30 minutes at room temperature, washed with ddH2O and PBS, and then probed with the primary antibody (HA750059, 1/50) for 30 minutes at room temperature. The detection was performed using an HRP conjugated compact polymer system. DAB was used as the chromogen. Tissues were counterstained with hematoxylin and mounted with DPX.
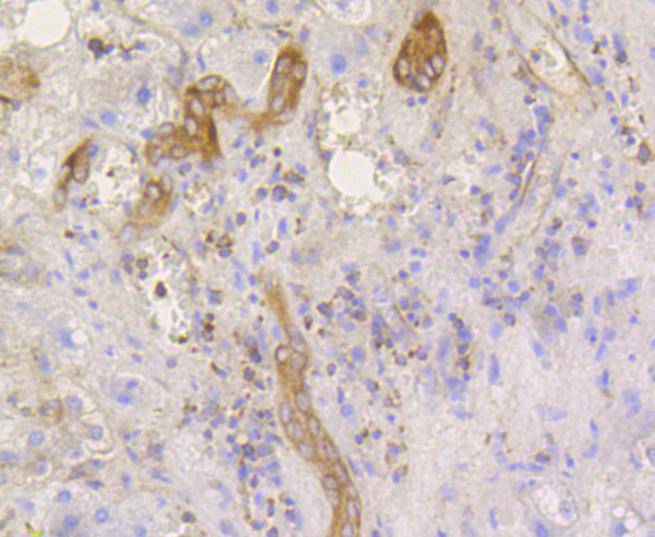
HA750059_11.jpg Fig11: Immunohistochemical analysis of paraffin-embedded human prostate carcinoma tissue using anti-Phospho-EIF2S1 (S51) antibody. The section was pre-treated using heat mediated antigen retrieval with Tris-EDTA buffer (pH 8.0-8.4) for 20 minutes.The tissues were blocked in 5% BSA for 30 minutes at room temperature, washed with ddH2O and PBS, and then probed with the primary antibody (HA750059, 1/50) for 30 minutes at room temperature. The detection was performed using an HRP conjugated compact polymer system. DAB was used as the chromogen. Tissues were counterstained with hematoxylin and mounted with DPX.
HA750059_12.jpg Fig12: Immunohistochemical analysis of paraffin-embedded human breast carcinoma tissue with Rabbit anti-Phospho-EIF2S1 (S51) antibody (HA750059) at 1/200 dilution.

A: Untreated human breast carcinoma tissue
B: λ-PPase treated human breast carcinoma tissue
C: Negative control

The section was pre-treated using heat mediated antigen retrieval with Tris-EDTA buffer (pH 9.0) for 20 minutes. The tissues were blocked in 1% BSA for 20 minutes at room temperature, washed with ddH2O and PBS, and then probed with the primary antibody (HA750059) at 1/200 dilution for 1 hour at room temperature. The detection was performed using an HRP conjugated compact polymer system. DAB was used as the chromogen. Tissues were counterstained with hematoxylin and mounted with DPX.
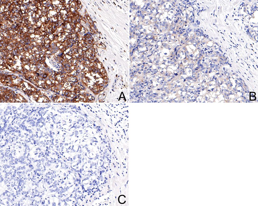
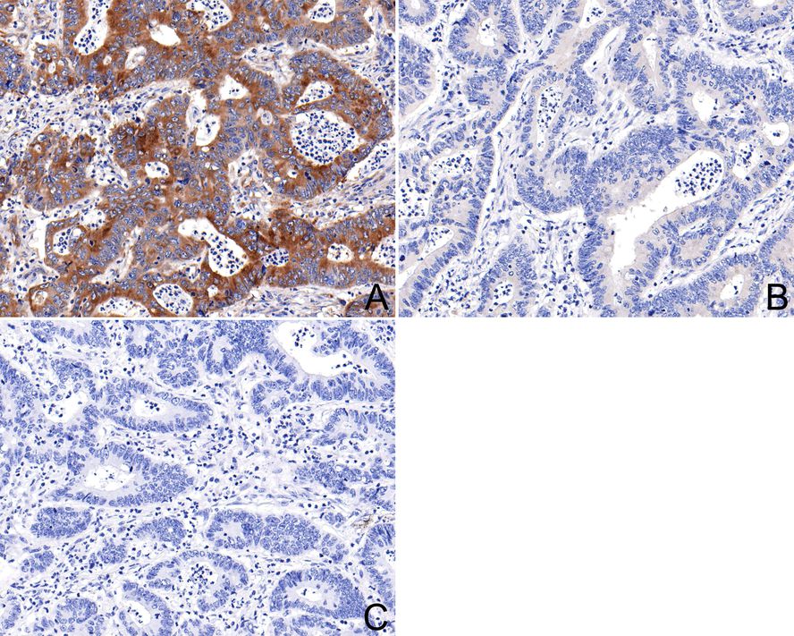
HA750059_13.jpg Fig13: Immunohistochemical analysis of paraffin-embedded human colon carcinoma tissue with Rabbit anti-Phospho-EIF2S1 (S51) antibody (HA750059) at 1/200 dilution.

A: Untreated human colon carcinoma tissue
B: λ-PPase treated human colon carcinoma tissue
C: Negative control

The section was pre-treated using heat mediated antigen retrieval with Tris-EDTA buffer (pH 9.0) for 20 minutes. The tissues were blocked in 1% BSA for 20 minutes at room temperature, washed with ddH2O and PBS, and then probed with the primary antibody (HA750059) at 1/200 dilution for 1 hour at room temperature. The detection was performed using an HRP conjugated compact polymer system. DAB was used as the chromogen. Tissues were counterstained with hematoxylin and mounted with DPX.
HA750059_14.jpg Fig14: Flow cytometric analysis of Phospho-EIF2S1 (S51) was done on Hela cells. The cells were fixed, permeabilized and stained with the primary antibody (HA750059, 1/50) (blue). After incubation of the primary antibody at room temperature for an hour, the cells were stained with a Alexa Fluor 488-conjugated Goat anti-Rabbit IgG Secondary antibody at 1/1000 dilution for 30 minutes.Unlabelled sample was used as a control (cells without incubation with primary antibody; red).
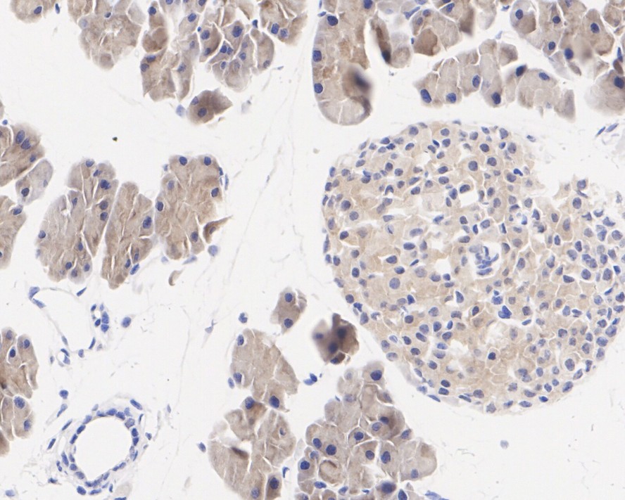
HA750059_15.jpg Fig15: Immunohistochemical analysis of paraffin-embedded mouse pancreas tissue with Rabbit anti-Phospho-EIF2S1 (S51) antibody (HA750059) at 1/1,000 dilution.

The section was pre-treated using heat mediated antigen retrieval with Tris-EDTA buffer (pH 9.0) for 20 minutes. The tissues were blocked in 1% BSA for 20 minutes at room temperature, washed with ddH2O and PBS, and then probed with the primary antibody (HA750059) at 1/1,000 dilution for 1 hour at room temperature. The detection was performed using an HRP conjugated compact polymer system. DAB was used as the chromogen. Tissues were counterstained with hematoxylin and mounted with DPX.
Note: All products are “FOR RESEARCH USE ONLY AND ARE NOT INTENDED FOR DIAGNOSTIC OR THERAPEUTIC USE”.