NF-kB p105 / p50 Recombinant Rabbit Monoclonal Antibody [SZ20-01]
cat.: HA750060
Product Type: Recombinant Rabbit monoclonal IgG, primary antibodies
Species reactivity: Human, Mouse, Rat
Applications: WB, IHC-P, IF-Tissue, IF-Cell, FC
Clonality: Monoclonal
Clone number: SZ20-01
Form: Liquid
Storage condition: Store at +4℃ after thawing. Aliquot store at -20℃ or -80℃. Avoid repeated freeze / thaw cycles.
Storage buffer: 1*PBS (pH7.4).
Concentration: 1ug/ul
Purification: Protein A affinity purified.
Molecular weight: Predicted band size: 105/50 kDa
Isotype: IgG
Immunogen: Synthetic peptide within human NFKB1 aa 330-370.
Positive control: THP-1 cell lysate, Raji cell lysate, Daudi cell lysate, MCF7 cell lysate, NIH/3T3 cell lysate, Hela cell lysate, PC-12 cell lysate, human tonsil tissue, human spleen tissue, mouse bladder tissue, mouse prostate tissue.
Subcellular location: Cytoplasm, Nucleus.
Recommended Dilutions:
  WB
  IHC-P
  IF-Tissue
  IF-Cell
  FC

1:5,000
1:200-1:1,000
1:200
1:100
1:1,000
Uniprot #: SwissProt: P19838 Human | P25799 Mouse | Q63369 Rat
Alternative names: DKFZp686C01211 DNA binding factor KBF1 DNA binding factor KBF1 EBP1 DNA-binding factor KBF1 EBP 1 EBP-1 EBP1 KBF1 MGC54151 NF kappa B NF kappaB NF kappabeta NF kB1 NFkappaB NFKB 1 NFKB p105 NFKB p50 Nfkb1 NFKB1_HUMAN Nuclear factor kappa B DNA binding subunit Nuclear factor kappa-B, subunit 1 Nuclear factor NF kappa B p105 subunit Nuclear factor NF kappa B p50 subunit Nuclear factor NF-kappa-B p50 subunit Nuclear factor of kappa light chain gene enhancer in B cells 1 Nuclear factor of kappa light polypeptide gene enhancer in B cells 1 Nuclear factor of kappa light polypeptide gene enhancer in B-cells 1 p105 p50 p84/NF-kappa-B1 p98 Transcription factor NFKB1
Images
HA750060_1.jpg Fig1: Western blot analysis of NF-kB p105 / p50 on different lysates with Rabbit anti-NF-kB p105 / p50 antibody (HA750060) at 1/5,000 dilution.

Lane 1: HCT 116-si NT cell lysate
Lane 2: HCT 116-si NFKB1 cell lysate

Lysates/proteins at 15 µg/Lane.

Predicted band size: 105/50 kDa
Observed band size: 105/50 kDa

Exposure time: 30 seconds; ECL: K1801;

4-20% SDS-PAGE gel.

Proteins were transferred to a PVDF membrane and blocked with 5% NFDM/TBST for 1 hour at room temperature. The primary antibody (HA750060) at 1/5,000 dilution was used in 5% NFDM/TBST at 4℃ overnight. Goat Anti-Rabbit IgG - HRP Secondary Antibody (HA1001) at 1/50,000 dilution was used for 1 hour at room temperature.
HA750060_2.jpg Fig2: Western blot analysis of NF-kB p105 / p50 on different lysates with Rabbit anti-NF-kB p105 / p50 antibody (HA750060) at 1/5,000 dilution.

Lane 1: THP-1 cell lysate
Lane 2: Raji cell lysate
Lane 3: Daudi cell lysate
Lane 4: MCF7 cell lysate
Lane 5: NIH/3T3 cell lysate

Lysates/proteins at 15 µg/Lane.

Predicted band size: 105/50 kDa
Observed band size: 105/50 kDa

Exposure time: 3 minutes;

4-20% SDS-PAGE gel.

Proteins were transferred to a PVDF membrane and blocked with 5% NFDM/TBST for 1 hour at room temperature. The primary antibody (HA750060) at 1/5,000 dilution was used in 5% NFDM/TBST at 4℃ overnight. Goat Anti-Rabbit IgG - HRP Secondary Antibody (HA1001) at 1/50,000 dilution was used for 1 hour at room temperature.
HA750060_3.jpg Fig3: Western blot analysis of NF-kB p105 / p50 on different lysates with Rabbit anti-NF-kB p105 / p50 antibody (HA750060) at 1/500 dilution.

Lane 1: Hela cell lysate
Lane 2: PC-12 cell lysate

Lysates/proteins at 10 µg/Lane.

Predicted band size: 50/105 kDa
Observed band size: 50/105 kDa

Exposure time: 2 minutes;

8% SDS-PAGE gel.

Proteins were transferred to a PVDF membrane and blocked with 5% NFDM/TBST for 1 hour at room temperature. The primary antibody (HA750060) at 1/500 dilution was used in 5% NFDM/TBST at room temperature for 2 hours. Goat Anti-Rabbit IgG - HRP Secondary Antibody (HA1001) at 1:300,000 dilution was used for 1 hour at room temperature.
HA750060_4.jpg Fig4: Immunohistochemical analysis of paraffin-embedded human tonsil tissue using anti-NF-kB p105 / p50 antibody. The section was pre-treated using heat mediated antigen retrieval with Tris-EDTA buffer (pH 8.0-8.4) for 20 minutes.The tissues were blocked in 5% BSA for 30 minutes at room temperature, washed with ddH2O and PBS, and then probed with the primary antibody (HA750060, 1/200) for 30 minutes at room temperature. The detection was performed using an HRP conjugated compact polymer system. DAB was used as the chromogen. Tissues were counterstained with hematoxylin and mounted with DPX.
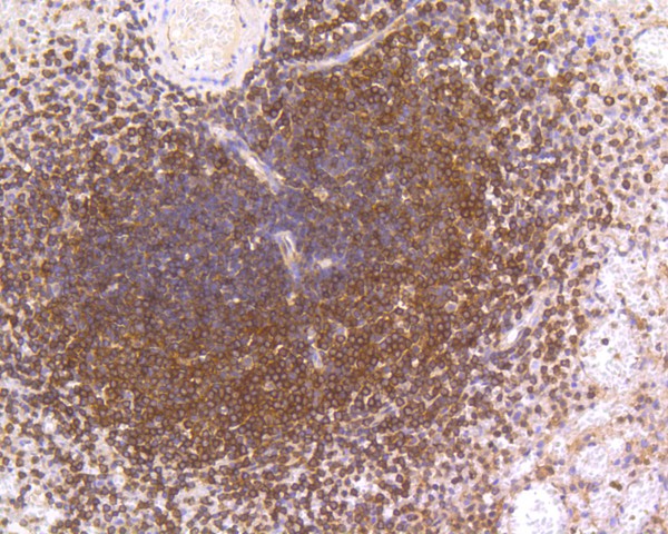
HA750060_5.jpg Fig5: Immunohistochemical analysis of paraffin-embedded human spleen tissue using anti-NF-kB p105 / p50 antibody. The section was pre-treated using heat mediated antigen retrieval with Tris-EDTA buffer (pH 8.0-8.4) for 20 minutes.The tissues were blocked in 5% BSA for 30 minutes at room temperature, washed with ddH2O and PBS, and then probed with the primary antibody (HA750060, 1/200) for 30 minutes at room temperature. The detection was performed using an HRP conjugated compact polymer system. DAB was used as the chromogen. Tissues were counterstained with hematoxylin and mounted with DPX.
HA750060_6.jpg Fig6: Immunohistochemical analysis of paraffin-embedded human breast carcinoma tissue with Rabbit anti-NF-kB p105 / p50 antibody (HA750060) at 1/1,000 dilution.

The section was pre-treated using heat mediated antigen retrieval with Tris-EDTA buffer (pH 9.0) for 20 minutes. The tissues were blocked in 1% BSA for 20 minutes at room temperature, washed with ddH2O and PBS, and then probed with the primary antibody (HA750060) at 1/1,000 dilution for 1 hour at room temperature. The detection was performed using an HRP conjugated compact polymer system. DAB was used as the chromogen. Tissues were counterstained with hematoxylin and mounted with DPX.
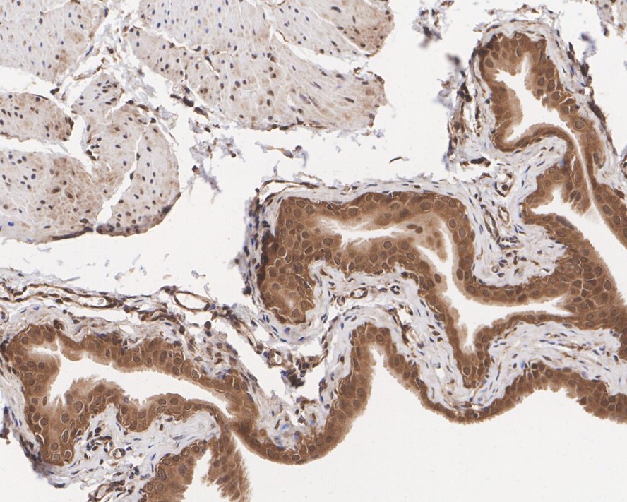
HA750060_7.jpg Fig7: Immunohistochemical analysis of paraffin-embedded rat bladder tissue with Rabbit anti-NF-kB p105 / p50 antibody (HA750060) at 1/1,000 dilution.

The section was pre-treated using heat mediated antigen retrieval with Tris-EDTA buffer (pH 9.0) for 20 minutes. The tissues were blocked in 1% BSA for 20 minutes at room temperature, washed with ddH2O and PBS, and then probed with the primary antibody (HA750060) at 1/1,000 dilution for 1 hour at room temperature. The detection was performed using an HRP conjugated compact polymer system. DAB was used as the chromogen. Tissues were counterstained with hematoxylin and mounted with DPX.
HA750060_8.jpg Fig8: Immunohistochemical analysis of paraffin-embedded rat spleen tissue with Rabbit anti-NF-kB p105 / p50 antibody (HA750060) at 1/200 dilution.

The section was pre-treated using heat mediated antigen retrieval with Tris-EDTA buffer (pH 9.0) for 20 minutes. The tissues were blocked in 1% BSA for 20 minutes at room temperature, washed with ddH2O and PBS, and then probed with the primary antibody (HA750060) at 1/200 dilution for 1 hour at room temperature. The detection was performed using an HRP conjugated compact polymer system. DAB was used as the chromogen. Tissues were counterstained with hematoxylin and mounted with DPX."
HA750060_9.jpg Fig9: Immunocytochemistry analysis of HeLa cells labeling NF-kB p105 / p50 with Rabbit anti-NF-kB p105 / p50 antibody (HA750060) at 1/100 dilution.

Cells were fixed in 4% paraformaldehyde for 20 minutes at room temperature, permeabilized with 0.1% Triton X-100 in PBS for 5 minutes at room temperature, then blocked with 1% BSA in 10% negative goat serum for 1 hour at room temperature. Cells were then incubated with Rabbit anti-NF-kB p105 / p50 antibody (HA750060) at 1/100 dilution in 1% BSA in PBST overnight at 4 ℃. Goat Anti-Rabbit IgG H&L (iFluor™ 488, HA1121) was used as the secondary antibody at 1/1,000 dilution. PBS instead of the primary antibody was used as the secondary antibody only control. Nuclear DNA was labelled in blue with DAPI.

Beta tubulin (M1305-2, red) was stained at 1/100 dilution overnight at +4℃. Goat Anti-Mouse IgG H&L (iFluor™ 594, HA1126) was used as the secondary antibody at 1/1,000 dilution.
HA750060_10.jpg Fig10: Immunocytochemistry analysis of NIH/3T3 cells labeling NF-kB p105 / p50 with Rabbit anti-NF-kB p105 / p50 antibody (HA750060) at 1/100 dilution.

Cells were fixed in 4% paraformaldehyde for 20 minutes at room temperature, permeabilized with 0.1% Triton X-100 in PBS for 5 minutes at room temperature, then blocked with 1% BSA in 10% negative goat serum for 1 hour at room temperature. Cells were then incubated with Rabbit anti-NF-kB p105 / p50 antibody (HA750060) at 1/100 dilution in 1% BSA in PBST overnight at 4 ℃. Goat Anti-Rabbit IgG H&L (iFluor™ 488, HA1121) was used as the secondary antibody at 1/1,000 dilution. PBS instead of the primary antibody was used as the secondary antibody only control. Nuclear DNA was labelled in blue with DAPI.

Beta tubulin (M1305-2, red) was stained at 1/100 dilution overnight at +4℃. Goat Anti-Mouse IgG H&L (iFluor™ 594, HA1126) was used as the secondary antibody at 1/1,000 dilution.
HA750060_11.jpg Fig11: Flow cytometric analysis of HeLa cells labeling NF-kB p105 / p50.

Cells were fixed and permeabilized. Then stained with the primary antibody (HA750060, 1μg/mL) (red) compared with Rabbit IgG Isotype Control (green). After incubation of the primary antibody at +4℃ for an hour, the cells were stained with a iFluor™ 488 conjugate-Goat anti-Rabbit IgG Secondary antibody (HA1121) at 1/1,000 dilution for 30 minutes at +4℃. Unlabelled sample was used as a control (cells without incubation with primary antibody; black).
HA750060_12.jpg Fig12: Flow cytometric analysis of NIH/3T3 cells labeling NF-kB p105 / p50.

Cells were fixed and permeabilized. Then stained with the primary antibody (HA750060, 1μg/mL) (red) compared with Rabbit IgG Isotype Control (green). After incubation of the primary antibody at +4℃ for an hour, the cells were stained with a iFluor™ 488 conjugate-Goat anti-Rabbit IgG Secondary antibody (HA1121) at 1/1,000 dilution for 30 minutes at +4℃. Unlabelled sample was used as a control (cells without incubation with primary antibody; black)."
Note: All products are “FOR RESEARCH USE ONLY AND ARE NOT INTENDED FOR DIAGNOSTIC OR THERAPEUTIC USE”.