Phospho-Erk1 (T202)+Erk2 (T185) Recombinant Rabbit Monoclonal Antibody [SZ2-4]
cat.: HA750061
Product Type: Recombinant Rabbit monoclonal IgG, primary antibodies
Species reactivity: Human, Mouse, Rat
Applications: WB, IF-Cell, IHC-P, FC, IF-Tissue
Clonality: Monoclonal
Clone number: SZ2-4
Form: Liquid
Storage condition: Store at +4℃ after thawing. Aliquot store at -20℃ or -80℃. Avoid repeated freeze / thaw cycles.
Storage buffer: 1*PBS (pH7.4).
Concentration: 1ug/ul
Purification: Protein A affinity purified.
Molecular weight: Predicted band size: 43/41 kDa
Isotype: IgG
Immunogen: Synthetic phospho-peptide corresponding to residues surrounding Thr185 of Human Erk2.
Positive control: Jurkat treated with 200ng/mL PMA for 35 minutes cell lysate, NIH/3T3 cell lysate, NIH/3T3 treated with 200nM PMA for 30 minutes cell lysate, C6 cell lysate, C6 treated with 200nM PMA for 30 minutes cell lysate, A549, NIH/3T3, MCF-7, human lung carcinoma tissue, human kidney tissue, human gallbladder tissue.
Subcellular location: Cytoplasm, Nucleus, Membrane, Cell junction.
Recommended Dilutions:
  WB
  IF-Cell
  IHC-P
  FC
  IF-Tissue

1:1,000
1:100-1:500
1:200-1:1,000
1:50-1:100
1:50-1:200
Uniprot #: SwissProt: P27361 Human | P28482 Human | P63085 Mouse | Q63844 Mouse
Alternative names: ERK 1 ERK 2 ERK-1 ERK-2 ERK1 erk1/2 ERK2 ERT1 ERT2 Extracellular signal regulated kinase 1 Extracellular signal-regulated kinase 1 Extracellular signal-regulated kinase 2 HS44KDAP HUMKER1A Insulin-stimulated MAP2 kinase MAP kinase 1 MAP kinase 2 MAP kinase 3 MAP kinase isoform p42 MAP kinase isoform p44 MAPK 1 MAPK 2 MAPK 3 Mapk1 MAPK2 MAPK3 Microtubule-associated protein 2 kinase Mitogen-activated protein kinase 1 Mitogen-activated protein kinase 2 Mitogen-activated protein kinase 3 MK01_HUMAN p38 p40 p41 p41mapk p42-MAPK P42MAPK p44-ERK1 p44-MAPK p44ERK1 p44MAPK PRKM 2 PRKM1 PRKM2 PRKM3 protein tyrosine kinase ERK2
Images
HA750061_1.jpg Fig1: Western blot analysis of Phospho-Erk1 (T202)+Erk2 (T185) on different lysates with Rabbit anti-Phospho-Erk1 (T202)+Erk2 (T185) antibody (HA750061) at 1/1,000 dilution.

Lane 1: Jurkat cell lysate
Lane 2: Jurkat treated with 200ng/mL PMA for 35 minutes cell lysate
Lane 3: NIH/3T3 cell lysate
Lane 4: NIH/3T3 treated with 200nM PMA for 30 minutes cell lysate
Lane 5: C6 cell lysate
Lane 6: C6 treated with 200nM PMA for 30 minutes cell lysate

Lysates/proteins at 10 µg/Lane.

Predicted band size: 41/43 kDa
Observed band size: 41/43 kDa
Exposure time: 3 minutes; ECL: K1802;
4-20% SDS-PAGE gel.

Proteins were transferred to a PVDF membrane and blocked with 5% NFDM/TBST for 1 hour at room temperature. The primary antibody (HA750061) at 1/1,000 dilution was used in 5% NFDM/TBST at 4℃ overnight. Goat Anti-Rabbit IgG - HRP Secondary Antibody (HA1001) at 1/50,000 dilution was used for 1 hour at room temperature.
HA750061_2.jpg Fig2: Western blot analysis of Phospho-Erk1(T202)+Erk2(T185) on jurkat cell lysates.

Lane 1: jurkat cells, whole cell lysate, 10ug/lane
Lane 2/3: jurkat cells treated with 200 ng/ml PMA for 35 minutes, whole cell lysate, 10ug/lane
Lane 4: jurkat cells treated with 200 ng/ml PMA for 35 minutes, then treated with 2.8ug/ul lambda-PP for 30 minutes, whole cell lysates, 10ug/lane

All lanes :
Anti-Phospho-Erk1(T202)+Erk2(T185) antibody (HA750061) at 1/500 dilution. Anti-Erk1+Erk2antibody (ET1601-29) at 1/500 dilution. Anti-GAPDH antibody (ET1601-4) at 1/10,000 dilution. Goat Anti-Rabbit IgG H&L (HRP) (HA1001) at 1/200,000 dilution.

Predicted band size: 41/43 kDa
Observed band size: 41/43 kDa

Blocking and diluting buffer: 5% BSA.
Exposure time: Lan1/2 4 minutes; Lan3/4 3 minutes
HA750061_3.jpg Fig3: ICC staining of Phospho-Erk1 (T202)+Erk2 (T185) in A549 cells (green). Formalin fixed cells were permeabilized with 0.1% Triton X-100 in TBS for 10 minutes at room temperature and blocked with 1% Blocker BSA for 15 minutes at room temperature. Cells were probed with the primary antibody (HA750061, 1/50) for 1 hour at room temperature, washed with PBS. Alexa Fluor®488 Goat anti-Rabbit IgG was used as the secondary antibody at 1/1,000 dilution. The nuclear counter stain is DAPI (blue).
HA750061_4.jpg Fig4: ICC staining of Phospho-Erk1 (T202)+Erk2 (T185) in NIH/3T3 cells (green). Formalin fixed cells were permeabilized with 0.1% Triton X-100 in TBS for 10 minutes at room temperature and blocked with 1% Blocker BSA for 15 minutes at room temperature. Cells were probed with the primary antibody (HA750061, 1/50) for 1 hour at room temperature, washed with PBS. Alexa Fluor®488 Goat anti-Rabbit IgG was used as the secondary antibody at 1/1,000 dilution. The nuclear counter stain is DAPI (blue).
HA750061_5.jpg Fig5: ICC staining of Phospho-Erk1 (T202)+Erk2 (T185) in MCF-7 cells (green). Formalin fixed cells were permeabilized with 0.1% Triton X-100 in TBS for 10 minutes at room temperature and blocked with 1% Blocker BSA for 15 minutes at room temperature. Cells were probed with the primary antibody (HA750061, 1/50) for 1 hour at room temperature, washed with PBS. Alexa Fluor®488 Goat anti-Rabbit IgG was used as the secondary antibody at 1/1,000 dilution. The nuclear counter stain is DAPI (blue).
HA750061_6.jpg Fig6: Flow cytometric analysis of Phospho-Erk1 (T202)+Erk2 (T185) was done on MCF-7 cells. The cells were fixed, permeabilized and stained with the primary antibody (HA750061, 1/50) (red). After incubation of the primary antibody at room temperature for an hour, the cells were stained with a Alexa Fluor 488-conjugated Goat anti-Rabbit IgG Secondary antibody at 1/1000 dilution for 30 minutes.Unlabelled sample was used as a control (cells without incubation with primary antibody; black).
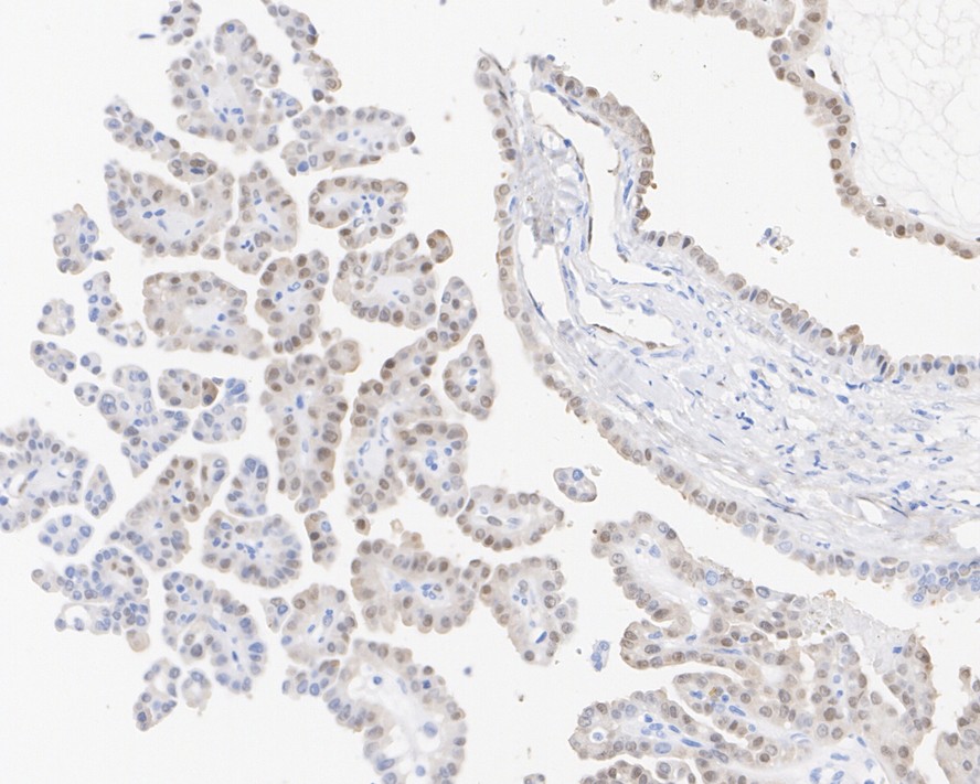
HA750061_7.jpg Fig7: Immunohistochemical analysis of paraffin-embedded human gallbladder tissue with Rabbit anti-Phospho-Erk1 (T202)+Erk2 (T185) antibody (HA750061) at 1/100 dilution.

The section was pre-treated using heat mediated antigen retrieval with sodium citrate buffer (pH 6.0) (high pressure) for 2 minutes. The tissues were blocked in 1% BSA for 20 minutes at room temperature, washed with ddH2O and PBS, and then probed with the primary antibody (HA750061) at 1/100 dilution for 1 hour at room temperature. The detection was performed using an HRP conjugated compact polymer system. DAB was used as the chromogen. Tissues were counterstained with hematoxylin and mounted with DPX.
HA750061_8.jpg Fig8: Immunohistochemical analysis of paraffin-embedded human kidney tissue with Rabbit anti-Phospho-Erk1 (T202)+Erk2 (T185) antibody (HA750061) at 1/200 dilution.

The section was pre-treated using heat mediated antigen retrieval with sodium citrate buffer (pH 6.0) (high pressure) for 2 minutes. The tissues were blocked in 1% BSA for 20 minutes at room temperature, washed with ddH2O and PBS, and then probed with the primary antibody (HA750061) at 1/200 dilution for 1 hour at room temperature. The detection was performed using an HRP conjugated compact polymer system. DAB was used as the chromogen. Tissues were counterstained with hematoxylin and mounted with DPX."
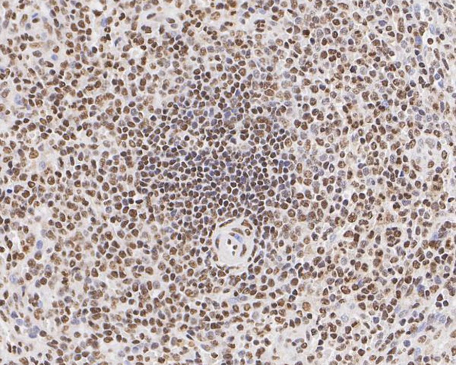
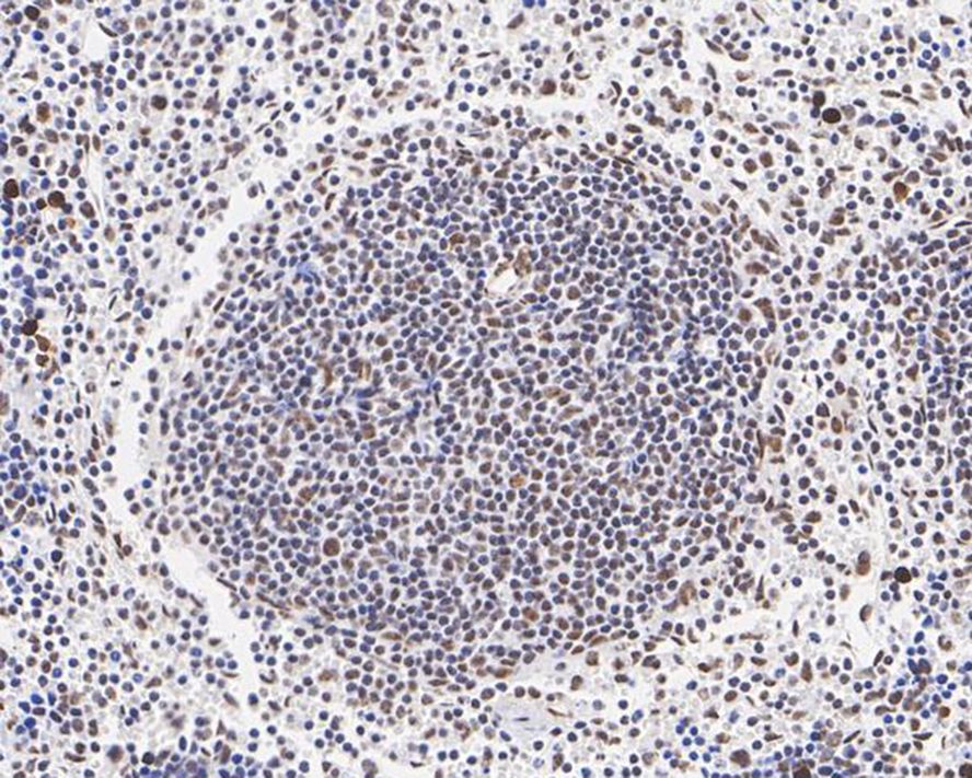
HA750061_9.jpg Fig9: Immunohistochemical analysis of paraffin-embedded human spleen tissue with Rabbit anti-Phospho-Erk1 (T202)+Erk2 (T185) antibody (HA750061) at 1/200 dilution.

The section was pre-treated using heat mediated antigen retrieval with sodium citrate buffer (pH 6.0) (high pressure) for 2 minutes. The tissues were blocked in 1% BSA for 20 minutes at room temperature, washed with ddH2O and PBS, and then probed with the primary antibody (HA750061) at 1/200 dilution for 1 hour at room temperature. The detection was performed using an HRP conjugated compact polymer system. DAB was used as the chromogen. Tissues were counterstained with hematoxylin and mounted with DPX."
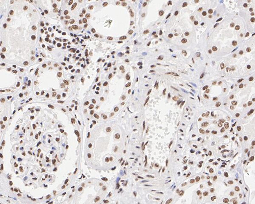
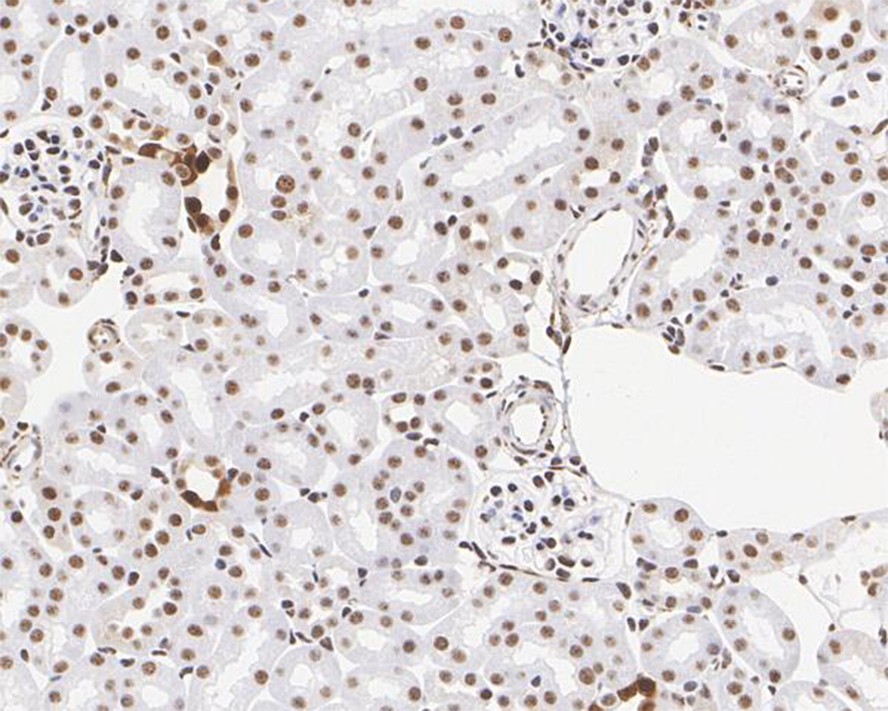
HA750061_10.jpg Fig10: Immunohistochemical analysis of paraffin-embedded mouse kidney tissue with Rabbit anti-Phospho-Erk1 (T202)+Erk2 (T185) antibody (HA750061) at 1/1,000 dilution.

The section was pre-treated using heat mediated antigen retrieval with sodium citrate buffer (pH 6.0) (high pressure) for 2 minutes. The tissues were blocked in 1% BSA for 20 minutes at room temperature, washed with ddH2O and PBS, and then probed with the primary antibody (HA750061) at 1/1,000 dilution for 1 hour at room temperature. The detection was performed using an HRP conjugated compact polymer system. DAB was used as the chromogen. Tissues were counterstained with hematoxylin and mounted with DPX."
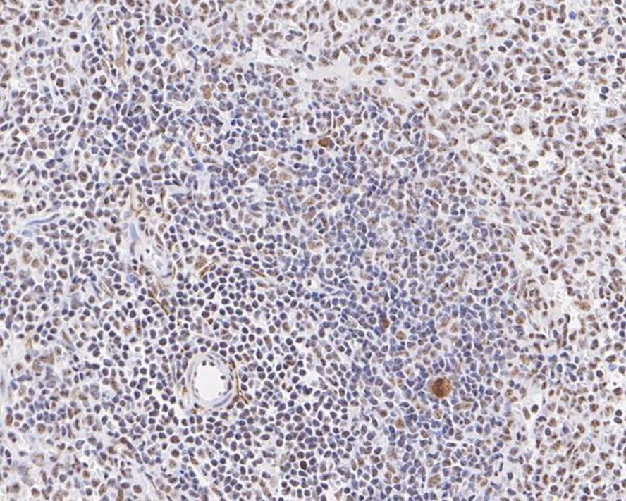
HA750061_11.jpg Fig11: Immunohistochemical analysis of paraffin-embedded mouse spleen tissue with Rabbit anti-Phospho-Erk1 (T202)+Erk2 (T185) antibody (HA750061) at 1/1,000 dilution.

The section was pre-treated using heat mediated antigen retrieval with sodium citrate buffer (pH 6.0) (high pressure) for 2 minutes. The tissues were blocked in 1% BSA for 20 minutes at room temperature, washed with ddH2O and PBS, and then probed with the primary antibody (HA750061) at 1/1,000 dilution for 1 hour at room temperature. The detection was performed using an HRP conjugated compact polymer system. DAB was used as the chromogen. Tissues were counterstained with hematoxylin and mounted with DPX."
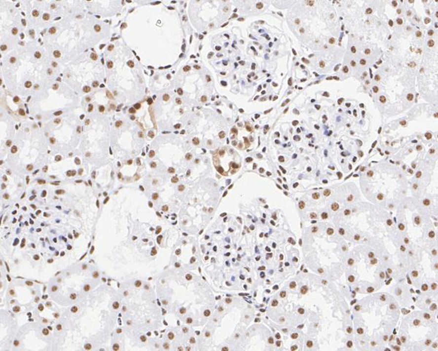
HA750061_12.jpg Fig12: Immunohistochemical analysis of paraffin-embedded rat kidney tissue with Rabbit anti-Phospho-Erk1 (T202)+Erk2 (T185) antibody (HA750061) at 1/1,000 dilution.

The section was pre-treated using heat mediated antigen retrieval with sodium citrate buffer (pH 6.0) (high pressure) for 2 minutes. The tissues were blocked in 1% BSA for 20 minutes at room temperature, washed with ddH2O and PBS, and then probed with the primary antibody (HA750061) at 1/1,000 dilution for 1 hour at room temperature. The detection was performed using an HRP conjugated compact polymer system. DAB was used as the chromogen. Tissues were counterstained with hematoxylin and mounted with DPX."
HA750061_13.jpg Fig13: Immunohistochemical analysis of paraffin-embedded rat spleen tissue with Rabbit anti-Phospho-Erk1 (T202)+Erk2 (T185) antibody (HA750061) at 1/1,000 dilution.

The section was pre-treated using heat mediated antigen retrieval with sodium citrate buffer (pH 6.0) (high pressure) for 2 minutes. The tissues were blocked in 1% BSA for 20 minutes at room temperature, washed with ddH2O and PBS, and then probed with the primary antibody (HA750061) at 1/1,000 dilution for 1 hour at room temperature. The detection was performed using an HRP conjugated compact polymer system. DAB was used as the chromogen. Tissues were counterstained with hematoxylin and mounted with DPX."
HA750061_14.jpg Fig14: Immunohistochemical analysis of paraffin-embedded human thyroid cancer tissue with Rabbit anti-Phospho-Erk1 (T202)+Erk2 (T185) antibody (HA750061) at 1/1,000 dilution.

The section was pre-treated using heat mediated antigen retrieval with sodium citrate buffer (pH 6.0) (high pressure) for 2 minutes. The tissues were blocked in 1% BSA for 20 minutes at room temperature, washed with ddH2O and PBS, and then probed with the primary antibody (HA750061) at 1/1,000 dilution for 1 hour at room temperature. The detection was performed using an HRP conjugated compact polymer system. DAB was used as the chromogen. Tissues were counterstained with hematoxylin and mounted with DPX."
Note: All products are “FOR RESEARCH USE ONLY AND ARE NOT INTENDED FOR DIAGNOSTIC OR THERAPEUTIC USE”.