Caspase-9 Recombinant Rabbit Monoclonal Antibody [SZ29-01]
cat.: HA750062
Product Type: Recombinant Rabbit monoclonal IgG, primary antibodies
Species reactivity: Human, Mouse
Applications: WB, IF-Cell, IF-Tissue, IHC-P, IP, FC
Clonality: Monoclonal
Clone number: SZ29-01
Form: Liquid
Storage condition: Store at +4℃ after thawing. Aliquot store at -20℃ or -80℃. Avoid repeated freeze / thaw cycles.
Storage buffer: 1*PBS (pH7.4).
Concentration: 1ug/ul
Purification: Protein A affinity purified.
Molecular weight: Predicted band size: 46 kDa
Isotype: IgG
Immunogen: Synthetic peptide within Human Caspase-9 aa 289-338 / 416.
Positive control: C2C12 cell lysate, Hela cell lysate, NIH/3T3, HepG2 cell, A549 cell, human tonsil tissue, human cervix carcinoma tissue, human colon tissue, human colon carcinoma tissue, mouse spleen tissue.
Subcellular location: Mitochondrion, cytoplasm, cytosol, nucleus.
Recommended Dilutions:
  WB
  IF-Cell
  IF-Tissue
  IHC-P
  IP
  FC

1:500-1:5,000
1:100-1:500
1:100-1:500
1:400-1:5,000
Use at an assay dependent concentration.
1:1,000
Uniprot #: SwissProt: P55211 Human | Q8C3Q9 Mouse
Alternative names: Caspase9 APAF-3 APAF3 Apoptosis related cysteine peptidase Apoptotic protease Mch-6 Apoptotic protease-activating factor 3 CASP-9 CASP9 CASP9_HUMAN Caspase 9 apoptosis related cysteine peptidase Caspase 9 Dominant Negative Caspase 9c Caspase-9 Caspase-9 subunit p10 ICE LAP6 ICE like apoptotic protease 6 ICE-LAP6 ICE-like apoptotic protease 6 MCH6 PPP1R56 protein phosphatase 1, regulatory subunit 56 RNCASP9
Images
HA750062_1.jpg Fig1: Western blot analysis of Caspase-9 on different lysates. Proteins were transferred to a PVDF membrane and blocked with 5% BSA in PBS for 1 hour at room temperature. The primary antibody (HA750062, 1/500) was used in 5% BSA at room temperature for 2 hours. Goat Anti-Rabbit IgG - HRP Secondary Antibody (HA1001) at 1:5,000 dilution was used for 1 hour at room temperature.
Positive control:
Lane 1: C2C12 cell lysate
Lane 2: Hela cell lysate
HA750062_2.jpg Fig2: Immunocytochemistry analysis of NIH/3T3 cells labeling Caspase-9 with Rabbit anti-Caspase-9 antibody (HA750062) at 1/100 dilution.

Cells were fixed in 4% paraformaldehyde for 20 minutes at room temperature, permeabilized with 0.1% Triton X-100 in PBS for 5 minutes at room temperature, then blocked with 1% BSA in 10% negative goat serum for 1 hour at room temperature. Cells were then incubated with Rabbit anti-Caspase-9 antibody (HA750062) at 1/100 dilution in 1% BSA in PBST overnight at 4 ℃. Goat Anti-Rabbit IgG H&L (iFluor™ 488, HA1121) was used as the secondary antibody at 1/1,000 dilution. PBS instead of the primary antibody was used as the secondary antibody only control. Nuclear DNA was labelled in blue with DAPI.

Beta tubulin (M1305-2, red) was stained at 1/100 dilution overnight at +4℃. Goat Anti-Mouse IgG H&L (iFluor™ 594, HA1126) was used as the secondary antibody at 1/1,000 dilution.
HA750062_3.jpg Fig3: ICC staining of Caspase-9 in HepG2 cells (green). Formalin fixed cells were permeabilized with 0.1% Triton X-100 in TBS for 10 minutes at room temperature and blocked with 1% Blocker BSA for 15 minutes at room temperature. Cells were probed with the primary antibody (HA750062, 1/100) for 1 hour at room temperature, washed with PBS. Alexa Fluor®488 Goat anti-Rabbit IgG was used as the secondary antibody at 1/1,000 dilution. The nuclear counter stain is DAPI (blue).
HA750062_4.jpg Fig4: Immunohistochemical analysis of paraffin-embedded human tonsil tissue using anti-Caspase-9 antibody. The section was pre-treated using heat mediated antigen retrieval with Tris-EDTA buffer (pH 8.0-8.4) for 20 minutes.The tissues were blocked in 5% BSA for 30 minutes at room temperature, washed with ddH2O and PBS, and then probed with the primary antibody (HA750062, 1/50) for 30 minutes at room temperature. The detection was performed using an HRP conjugated compact polymer system. DAB was used as the chromogen. Tissues were counterstained with hematoxylin and mounted with DPX.
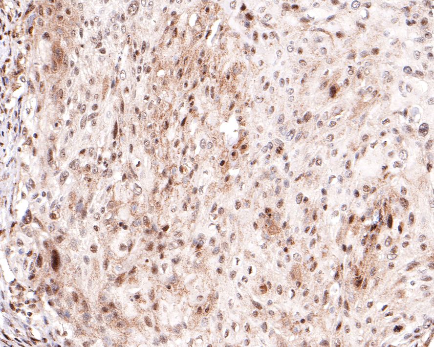
HA750062_5.jpg Fig5: Immunohistochemical analysis of paraffin-embedded human cervix carcinoma tissue with Rabbit anti-Caspase-9 antibody (HA750062) at 1/400 dilution.

The section was pre-treated using heat mediated antigen retrieval with sodium citrate buffer (pH 6.0) (high pressure) for 2 minutes. The tissues were blocked in 1% BSA for 20 minutes at room temperature, washed with ddH2O and PBS, and then probed with the primary antibody (HA750062) at 1/400 dilution for 1 hour at room temperature. The detection was performed using an HRP conjugated compact polymer system. DAB was used as the chromogen. Tissues were counterstained with hematoxylin and mounted with DPX.
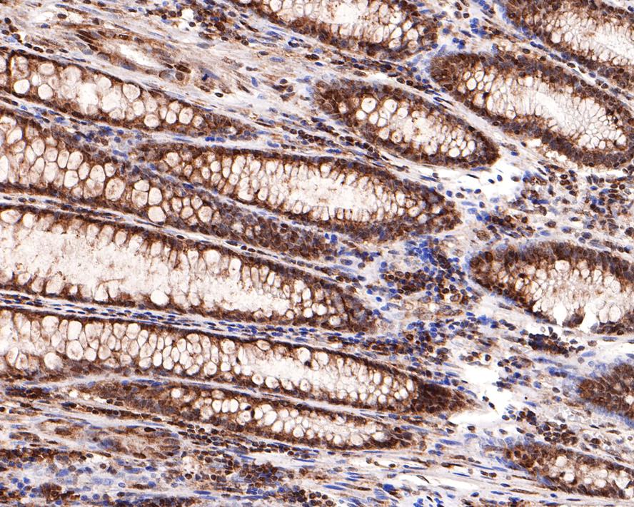
HA750062_6.jpg Fig6: Immunohistochemical analysis of paraffin-embedded human colon tissue with Rabbit anti-Caspase-9 antibody (HA750062) at 1/400 dilution.

The section was pre-treated using heat mediated antigen retrieval with sodium citrate buffer (pH 6.0) (high pressure) for 2 minutes. The tissues were blocked in 1% BSA for 20 minutes at room temperature, washed with ddH2O and PBS, and then probed with the primary antibody (HA750062) at 1/400 dilution for 1 hour at room temperature. The detection was performed using an HRP conjugated compact polymer system. DAB was used as the chromogen. Tissues were counterstained with hematoxylin and mounted with DPX.
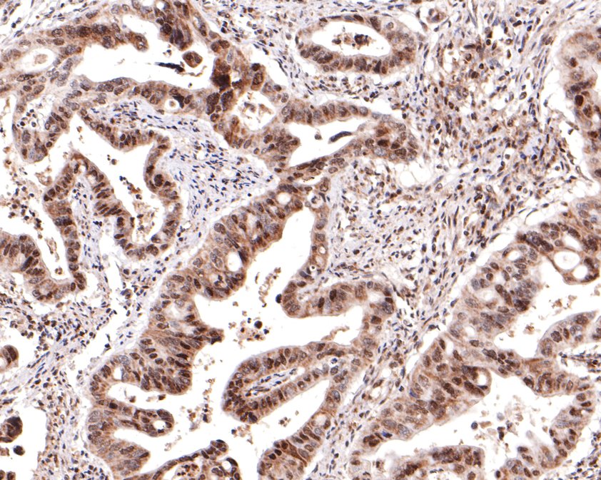
HA750062_7.jpg Fig7: Immunohistochemical analysis of paraffin-embedded human colon carcinoma tissue with Rabbit anti-Caspase-9 antibody (HA750062) at 1/400 dilution.

The section was pre-treated using heat mediated antigen retrieval with sodium citrate buffer (pH 6.0) (high pressure) for 2 minutes. The tissues were blocked in 1% BSA for 20 minutes at room temperature, washed with ddH2O and PBS, and then probed with the primary antibody (HA750062) at 1/400 dilution for 1 hour at room temperature. The detection was performed using an HRP conjugated compact polymer system. DAB was used as the chromogen. Tissues were counterstained with hematoxylin and mounted with DPX.
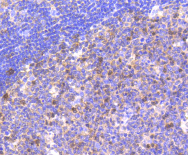
HA750062_8.jpg Fig8: Immunohistochemical analysis of paraffin-embedded mouse spleen tissue with Rabbit anti-Caspase-9 antibody (HA750062) at 1/400 dilution.

The section was pre-treated using heat mediated antigen retrieval with sodium citrate buffer (pH 6.0) (high pressure) for 2 minutes. The tissues were blocked in 1% BSA for 20 minutes at room temperature, washed with ddH2O and PBS, and then probed with the primary antibody (HA750062) at 1/400 dilution for 1 hour at room temperature. The detection was performed using an HRP conjugated compact polymer system. DAB was used as the chromogen. Tissues were counterstained with hematoxylin and mounted with DPX.
HA750062_9.jpg Fig9: Flow cytometric analysis of NIH/3T3 cells labeling Caspase-9.

Cells were fixed and permeabilized. Then stained with the primary antibody (HA750062, 1μg/mL) (red) compared with Rabbit IgG Isotype Control (green). After incubation of the primary antibody at +4℃ for an hour, the cells were stained with a iFluor™ 488 conjugate-Goat anti-Rabbit IgG Secondary antibody (HA1121) at 1/1,000 dilution for 30 minutes at +4℃. Unlabelled sample was used as a control (cells without incubation with primary antibody; black).
Note: All products are “FOR RESEARCH USE ONLY AND ARE NOT INTENDED FOR DIAGNOSTIC OR THERAPEUTIC USE”.