Bcl-XL Recombinant Rabbit Monoclonal Antibody [SZ3-03]
cat.: HA750063
Product Type: Recombinant Rabbit monoclonal IgG, primary antibodies
Species reactivity: Human, Mouse, Rat
Applications: WB, IF-Cell, IF-Tissue, IHC-P, FC, IP
Clonality: Monoclonal
Clone number: SZ3-03
Form: Liquid
Storage condition: Store at +4℃ after thawing. Aliquot store at -20℃ or -80℃. Avoid repeated freeze / thaw cycles.
Storage buffer: 1*PBS (pH7.4).
Concentration: 1ug/ul
Purification: Protein A affinity purified.
Molecular weight: Predicted band size: 26 kDa
Isotype: IgG
Immunogen: Synthetic peptide within Human Bcl-XL aa 37-86 / 233.
Positive control: K-562 cell lysate, Jurkat cell lysate, B16-F1 cell lysate, RAW264.7 cell lysate, C6 cell lysate, Rat brain tissue lysate, K-562, human kidney tissue, mouse kidney tissue, rat kidney tissue, human colon carcinoma tissue, human breast carcinoma tissue.
Subcellular location: Mitochondrion inner membrane, Mitochondrion outer membrane, Mitochondrion matrix, Cytoplasmic vesicle, Cytoplasm, Nucleus membrane.
Recommended Dilutions:
  WB
  IF-Cell
  IF-Tissue
  IHC-P
  FC
  IP

1:1,000-1:5,000
1:50-1:200
1:50-1:200
1:200-1:1,000
1:1,000
Use at an assay dependent concentration.
Uniprot #: SwissProt: Q07817 Human | Q64373 Mouse | P53563 Rat
Alternative names: Apoptosis regulator Bcl X Apoptosis regulator Bcl-X Apoptosis regulator BclX B cell lymphoma 2 like B2CL1_HUMAN Bcl 2 like 1 protein Bcl X Bcl xL BCL XL/S Bcl xS Bcl-2-like protein 1 Bcl2 Like 1 Bcl2 related gene Bcl2-L-1 BCL2L Bcl2l1 BCLX BclXL BclXs DKFZp781P2092 PPP1R52 Protein phosphatase 1 regulatory subunit 52
Images
HA750063_1.jpg Fig1: Western blot analysis of Bcl-XL on different lysates with Rabbit anti-Bcl-XL antibody (HA750063) at 1/1,000 dilution.

Lane 1: K-562 cell lysate (10 µg/Lane)
Lane 2: Jurkat cell lysate (10 µg/Lane)
Lane 3: B16-F1 cell lysate (10 µg/Lane)
Lane 4: RAW264.7 cell lysate (10 µg/Lane)
Lane 5: C6 cell lysate (10 µg/Lane)
Lane 6: Rat brain tissue lysate (20 µg/Lane)

Predicted band size: 26 kDa
Observed band size: 30 kDa

Exposure time: 20 seconds; ECL: K1801;

4-20% SDS-PAGE gel.

Proteins were transferred to a PVDF membrane and blocked with 5% NFDM/TBST for 1 hour at room temperature. The primary antibody (HA750063) at 1/1,000 dilution was used in 5% NFDM/TBST at 4℃ overnight. Goat Anti-Rabbit IgG - HRP Secondary Antibody (HA1001) at 1/50,000 dilution was used for 1 hour at room temperature.
HA750063_2.jpg Fig2: Immunocytochemistry analysis of K-562 cells labeling Bcl-XL with Rabbit anti-Bcl-XL antibody (HA750063) at 1/100 dilution.

Cells were fixed in 4% paraformaldehyde for 15 minutes at room temperature, permeabilized with 0.1% Triton X-100 in PBS for 15 minutes at room temperature, then blocked with 1% BSA in 10% negative goat serum for 1 hour at room temperature. Cells were then incubated with Rabbit anti-Bcl-XL antibody (HA750063) at 1/100 dilution in 1% BSA in PBST overnight at 4 ℃. Goat Anti-Rabbit IgG H&L (iFluor™ 488, HA1121) was used as the secondary antibody at 1/1,000 dilution. PBS instead of the primary antibody was used as the secondary antibody only control. Nuclear DNA was labelled in blue with DAPI.

Beta tubulin (HA601187, red) was stained at 1/100 dilution overnight at +4℃. Goat Anti-Mouse IgG H&L (iFluor™ 594, HA1126) was used as the secondary antibody at 1/1,000 dilution.
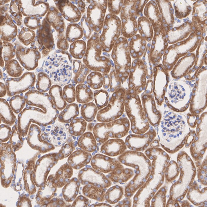
HA750063_3.jpg Fig3: Immunohistochemical analysis of paraffin-embedded human kidney tissue with Rabbit anti-Bcl-XL antibody (HA750063) at 1/1,000 dilution.

The section was pre-treated using heat mediated antigen retrieval with Tris-EDTA buffer (pH 9.0) for 20 minutes. The tissues were blocked in 1% BSA for 20 minutes at room temperature, washed with ddH2O and PBS, and then probed with the primary antibody (HA750063) at 1/1,000 dilution for 1 hour at room temperature. The detection was performed using an HRP conjugated compact polymer system. DAB was used as the chromogen. Tissues were counterstained with hematoxylin and mounted with DPX.
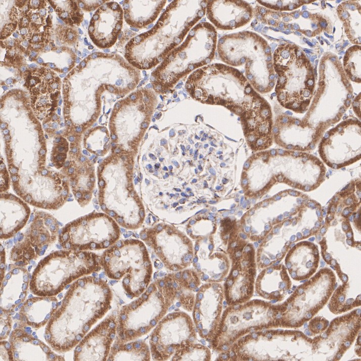
HA750063_4.jpg Fig4: Immunohistochemical analysis of paraffin-embedded mouse kidney tissue with Rabbit anti-Bcl-XL antibody (HA750063) at 1/1,000 dilution.

The section was pre-treated using heat mediated antigen retrieval with Tris-EDTA buffer (pH 9.0) for 20 minutes. The tissues were blocked in 1% BSA for 20 minutes at room temperature, washed with ddH2O and PBS, and then probed with the primary antibody (HA750063) at 1/1,000 dilution for 1 hour at room temperature. The detection was performed using an HRP conjugated compact polymer system. DAB was used as the chromogen. Tissues were counterstained with hematoxylin and mounted with DPX.
HA750063_5.jpg Fig5: Immunohistochemical analysis of paraffin-embedded rat kidney tissue with Rabbit anti-Bcl-XL antibody (HA750063) at 1/1,000 dilution.

The section was pre-treated using heat mediated antigen retrieval with Tris-EDTA buffer (pH 9.0) for 20 minutes. The tissues were blocked in 1% BSA for 20 minutes at room temperature, washed with ddH2O and PBS, and then probed with the primary antibody (HA750063) at 1/1,000 dilution for 1 hour at room temperature. The detection was performed using an HRP conjugated compact polymer system. DAB was used as the chromogen. Tissues were counterstained with hematoxylin and mounted with DPX.
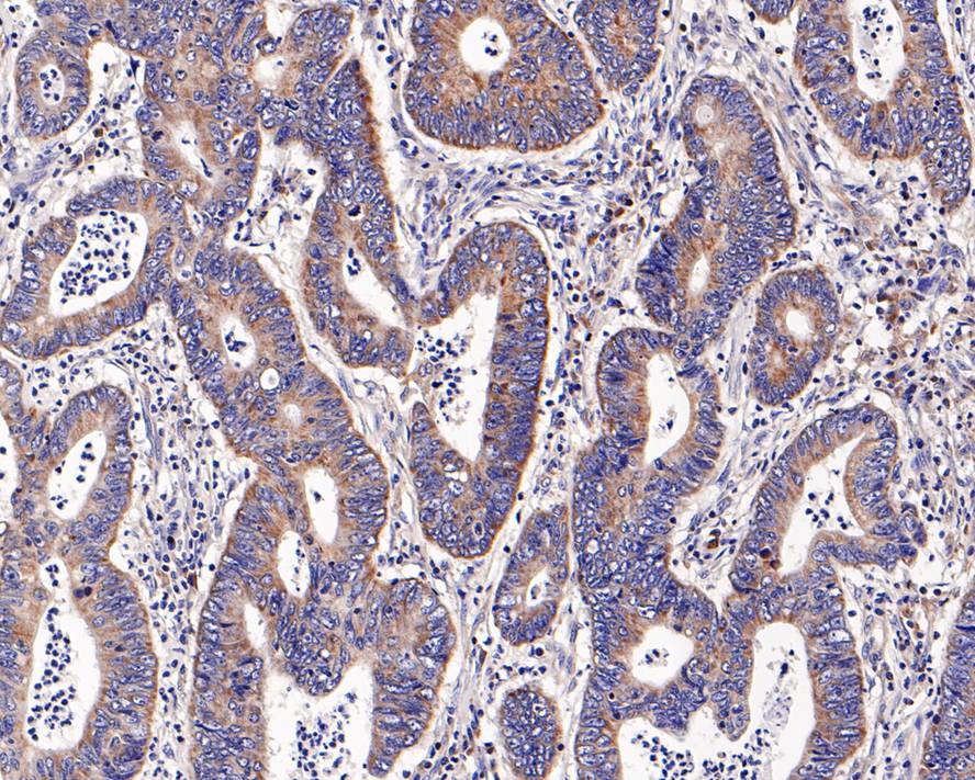
HA750063_6.jpg Fig6: Immunohistochemical analysis of paraffin-embedded human colon carcinoma tissue with Rabbit anti-Bcl-XL antibody (HA750063) at 1/1,000 dilution.

The section was pre-treated using heat mediated antigen retrieval with Tris-EDTA buffer (pH 9.0) for 20 minutes. The tissues were blocked in 1% BSA for 20 minutes at room temperature, washed with ddH2O and PBS, and then probed with the primary antibody (HA750063) at 1/1,000 dilution for 1 hour at room temperature. The detection was performed using an HRP conjugated compact polymer system. DAB was used as the chromogen. Tissues were counterstained with hematoxylin and mounted with DPX.
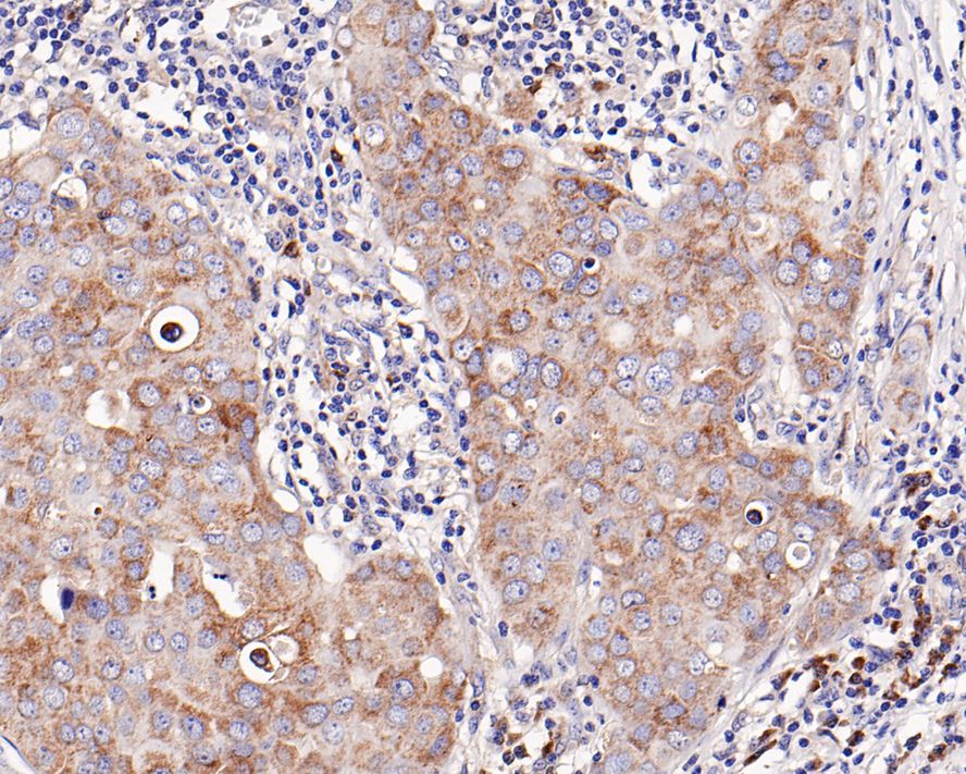
HA750063_7.jpg Fig7: Immunohistochemical analysis of paraffin-embedded human breast carcinoma tissue with Rabbit anti-Bcl-XL antibody (HA750063) at 1/200 dilution.

The section was pre-treated using heat mediated antigen retrieval with Tris-EDTA buffer (pH 9.0) for 20 minutes. The tissues were blocked in 1% BSA for 20 minutes at room temperature, washed with ddH2O and PBS, and then probed with the primary antibody (HA750063) at 1/200 dilution for 1 hour at room temperature. The detection was performed using an HRP conjugated compact polymer system. DAB was used as the chromogen. Tissues were counterstained with hematoxylin and mounted with DPX.
HA750063_8.jpg Fig8: Flow cytometric analysis of K-562 cells labeling Bcl-XL.

Cells were fixed and permeabilized. Then stained with the primary antibody (HA750063, 1/1,000) (red) compared with Rabbit IgG Isotype Control (green). After incubation of the primary antibody at +4℃ for an hour, the cells were stained with a iFluor™ 488 conjugate-Goat anti-Rabbit IgG Secondary antibody (HA1121) at 1/1,000 dilution for 30 minutes at +4℃. Unlabelled sample was used as a control (cells without incubation with primary antibody; black).
Note: All products are “FOR RESEARCH USE ONLY AND ARE NOT INTENDED FOR DIAGNOSTIC OR THERAPEUTIC USE”.