SIRT1 Recombinant Rabbit Monoclonal Antibody [SZ04-01]
cat.: HA750064
Product Type: Recombinant Rabbit monoclonal IgG, primary antibodies
Species reactivity: Human, Mouse, Rat
Applications: WB, IF-Cell, IF-Tissue, IHC-P, ChIP
Clonality: Monoclonal
Clone number: SZ04-01
Form: Liquid
Storage condition: Store at +4℃ after thawing. Aliquot store at -20℃ or -80℃. Avoid repeated freeze / thaw cycles.
Storage buffer: 1*PBS (pH7.4).
Concentration: 1ug/ul
Purification: Protein A affinity purified.
Molecular weight: Predicted band size: 82 kDa
Isotype: IgG
Immunogen: Synthetic peptide within Human SIRT1 aa 698-747 / 747.
Positive control: HeLa cell lysate, HEK-293 cell lysate, A549 cell lysate, F9 cell lysate, Mouse testis tissue lysate, Rat testis tissue lysate, HEK-293, human testis tissue, mouse testis tissue, rat testis tissue.
Subcellular location: Nucleus, Cytoplasm, Mitochondrion.
Recommended Dilutions:
  WB
  IF-Cell
  IF-Tissue
  IHC-P
  ChIP

1:2,000
1:50-1:200
1:50-1:200
1:50-1:1,000
Use 0.5~2 μg for 25 μg of chromatin.
Uniprot #: SwissProt: Q96EB6 Human | Q923E4 Mouse
Entrez Gene: 309757 Rat
Alternative names: 75SirT1 hSIR2 hSIRT1 HST2, S. cerevisiae, homolog of NAD dependent deacetylase sirtuin 1 NAD dependent protein deacetylase sirtuin 1 OTTHUMP00000198111 OTTHUMP00000198112 Regulatory protein SIR2 homolog 1 SIR1_HUMAN SIR2 SIR2 like 1 SIR2 like protein 1 SIR2, S.cerevisiae, homolog-like 1 SIR2-like protein 1 SIR2ALPHA SIR2L1 Sirt1 SirtT1 75 kDa fragment Sirtuin (silent mating type information regulation 2 homolog) 1 (S. cerevisiae) Sirtuin 1 Sirtuin type 1
Images
HA750064_1.jpg Fig1: Western blot analysis of SIRT1 on different lysates with Rabbit anti-SIRT1 antibody (HA750064) at 1/2,000 dilution.

Lane 1: HeLa cell lysate (15 µg/Lane)
Lane 2: HEK-293 cell lysate (15 µg/Lane)
Lane 3: A549 cell lysate (15 µg/Lane)
Lane 4: F9 cell lysate (15 µg/Lane)
Lane 5: Mouse testis tissue lysate (20 µg/Lane)
Lane 6: Rat testis tissue lysate (20 µg/Lane)

Predicted band size: 82 kDa
Observed band size: 110 kDa

Exposure time: 2 minutes 37 seconds;

4-20% SDS-PAGE gel.

Proteins were transferred to a PVDF membrane and blocked with 5% NFDM/TBST for 1 hour at room temperature. The primary antibody (HA750064) at 1/2,000 dilution was used in 5% NFDM/TBST at 4℃ overnight. Goat Anti-Rabbit IgG - HRP Secondary Antibody (HA1001) at 1/50,000 dilution was used for 1 hour at room temperature.
HA750064_2.jpg Fig2: Western blot analysis of SIRT1 on different lysates with Rabbit anti-SIRT1 antibody (HA750064) at 1/20,000 dilution.

Lane 1: HEK-293-si NT cell lysate
Lane 2: HEK-293-si SIRT1 cell lysate

Lysates/proteins at 10 µg/Lane.

Predicted band size: 82 kDa
Observed band size: 110 kDa

Exposure time: 50 seconds;

4-20% SDS-PAGE gel.

Proteins were transferred to a PVDF membrane and blocked with 5% NFDM/TBST for 1 hour at room temperature. The primary antibody (HA750064) at 1/20,000 dilution was used in 5% NFDM/TBST at 4℃ overnight. Goat Anti-Rabbit IgG - HRP Secondary Antibody (HA1001) at 1/100,000 dilution was used for 1 hour at room temperature.
HA750064_3.jpg Fig3: Immunocytochemistry analysis of HEK-293 cells labeling SIRT1 with Rabbit anti-SIRT1 antibody (HA750064) at 1/100 dilution.

Cells were fixed in 4% paraformaldehyde for 15 minutes at room temperature, permeabilized with 0.1% Triton X-100 in PBS for 15 minutes at room temperature, then blocked with 1% BSA in 10% negative goat serum for 1 hour at room temperature. Cells were then incubated with Rabbit anti-SIRT1 antibody (HA750064) at 1/100 dilution in 1% BSA in PBST overnight at 4 ℃. Goat Anti-Rabbit IgG H&L (iFluor™ 488, HA1121) was used as the secondary antibody at 1/1,000 dilution. PBS instead of the primary antibody was used as the secondary antibody only control. Nuclear DNA was labelled in blue with DAPI.

Beta tubulin (HA601187, red) was stained at 1/100 dilution overnight at +4℃. Goat Anti-Mouse IgG H&L (iFluor™ 594, HA1126) was used as the secondary antibody at 1/1,000 dilution.
HA750064_4.jpg Fig4: Immunohistochemical analysis of paraffin-embedded human testis tissue with Rabbit anti-SIRT1 antibody (HA750064) at 1/1,000 dilution.

The section was pre-treated using heat mediated antigen retrieval with sodium citrate buffer (pH 6.0) (high pressure) for 2 minutes. The tissues were blocked in 1% BSA for 20 minutes at room temperature, washed with ddH2O and PBS, and then probed with the primary antibody (HA750064) at 1/1,000 dilution for 1 hour at room temperature. The detection was performed using an HRP conjugated compact polymer system. DAB was used as the chromogen. Tissues were counterstained with hematoxylin and mounted with DPX.
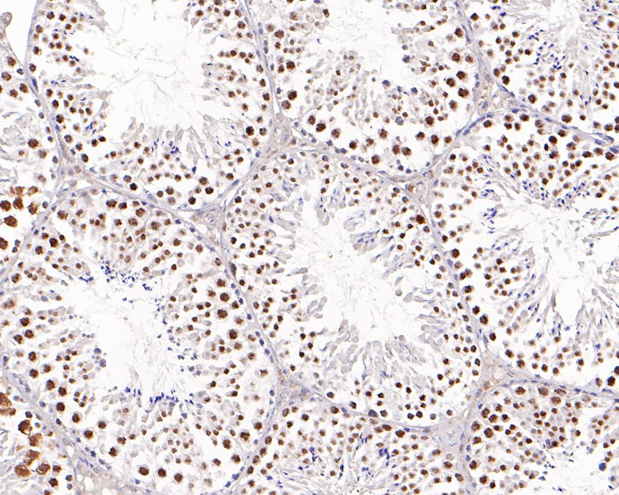
HA750064_5.jpg Fig5: Immunohistochemical analysis of paraffin-embedded mouse testis tissue with Rabbit anti-SIRT1 antibody (HA750064) at 1/1,000 dilution.

The section was pre-treated using heat mediated antigen retrieval with sodium citrate buffer (pH 6.0) (high pressure) for 2 minutes. The tissues were blocked in 1% BSA for 20 minutes at room temperature, washed with ddH2O and PBS, and then probed with the primary antibody (HA750064) at 1/1,000 dilution for 1 hour at room temperature. The detection was performed using an HRP conjugated compact polymer system. DAB was used as the chromogen. Tissues were counterstained with hematoxylin and mounted with DPX.
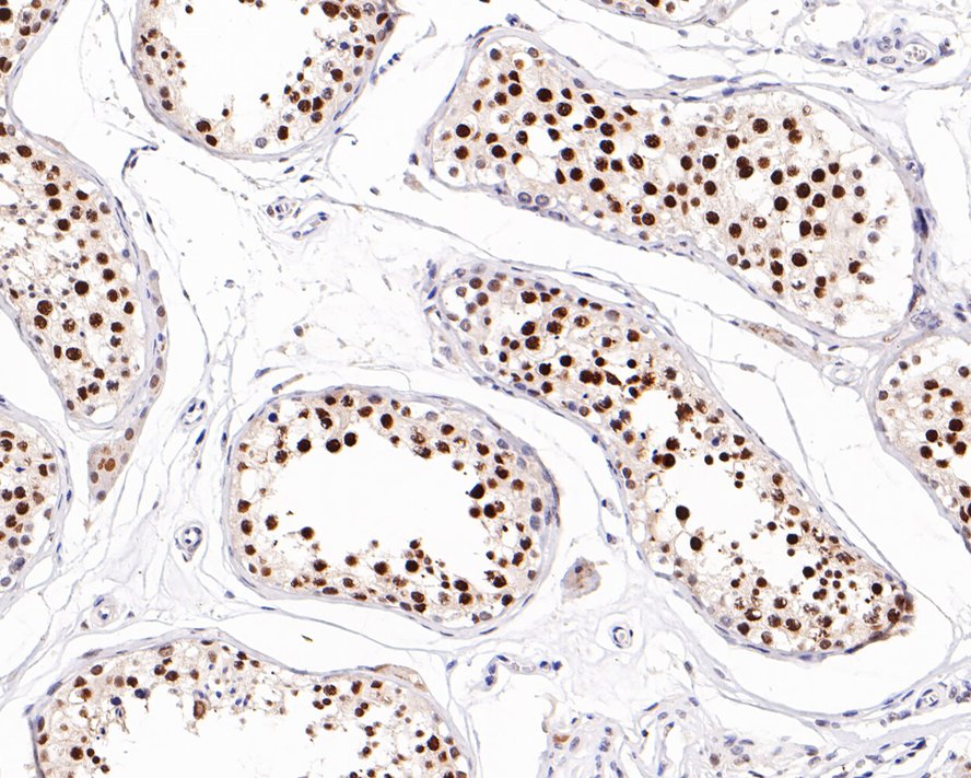
HA750064_6.jpg Fig6: Immunohistochemical analysis of paraffin-embedded rat testis tissue with Rabbit anti-SIRT1 antibody (HA750064) at 1/1,000 dilution.

The section was pre-treated using heat mediated antigen retrieval with sodium citrate buffer (pH 6.0) (high pressure) for 2 minutes. The tissues were blocked in 1% BSA for 20 minutes at room temperature, washed with ddH2O and PBS, and then probed with the primary antibody (HA750064) at 1/1,000 dilution for 1 hour at room temperature. The detection was performed using an HRP conjugated compact polymer system. DAB was used as the chromogen. Tissues were counterstained with hematoxylin and mounted with DPX.
HA750064_7.jpg Fig7: Chromatin immunoprecipitations were performed with cross-linked chromatin from HeLa cells with SIRT1 (HA750064) or Normal Rabbit IgG according to the ChIP protocol. The enriched DNA was quantified by real-time PCR using indicated primers. The amount of immunoprecipitated DNA in each sample is represented as signal relative to the total amount of input chromatin, which is equivalent to one.
Note: All products are “FOR RESEARCH USE ONLY AND ARE NOT INTENDED FOR DIAGNOSTIC OR THERAPEUTIC USE”.