BAX Recombinant Rabbit Monoclonal Antibody [SZ3-07]
cat.: HA750065
Product Type: Recombinant Rabbit monoclonal IgG, primary antibodies
Species reactivity: Human, Mouse, Rat, Goat
Applications: WB, IF-Cell, FC
Clonality: Monoclonal
Clone number: SZ3-07
Form: Liquid
Storage condition: Store at +4℃ after thawing. Aliquot store at -20℃ or -80℃. Avoid repeated freeze / thaw cycles.
Storage buffer: 1*PBS (pH7.4).
Concentration: 1ug/ul
Purification: Protein A affinity purified.
Molecular weight: Predicted band size: 21 kDa
Isotype: IgG
Immunogen: Synthetic peptide within Human Bax aa 1-50 / 192.
Positive control: HeLa cell lysate, MCF7 cell lysate, HEK-293 cell lysate, bEnd.3 cell lysate, C2C12 cell lysate, PC-12 cell lysate, C6 cell lysate, C2C12, HeLa.
Subcellular location: Mitochondrion membrane, Cytoplasm.
Recommended Dilutions:
  WB
  IF-Cell
  FC

1:20,000-1:50,000
1:100
1:1,000
Uniprot #: SwissProt: Q07812 Human | Q07813 Mouse | Q63690 Rat
Alternative names: Apoptosis regulator BAX BAX Bax-protein BAX_HUMAN BAXA Baxdelta2G9 Baxdelta2G9omega Baxdelta2omega Bcl-2-like protein 4 BCL2 associated X protein BCL2 associated X protein omega BCL2 associated X protein transcript variant delta2 Bcl2-L-4 BCL2L4 membrane isoform alpha
Images
HA750065_1.jpg Fig1: Western blot analysis of BAX on different lysates with Rabbit anti-BAX antibody (HA750065) at 1/20,000 dilution and competitor's antibody at 1/1,000 dilution.

Lane 1: HeLa cell lysate
Lane 2: MCF7 cell lysate
Lane 3: HEK-293 cell lysate
Lane 4: bEnd.3 cell lysate
Lane 5: C2C12 cell lysate
Lane 6: PC-12 cell lysate
Lane 7: C6 cell lysate

Lysates/proteins at 15 µg/Lane.

Predicted band size: 21 kDa
Observed band size: 21 kDa

Exposure time: 30 seconds; ECL: K1801;

4-20% SDS-PAGE gel.

Proteins were transferred to a PVDF membrane and blocked with 5% NFDM/TBST for 1 hour at room temperature. The primary antibody (HA750065) at 1/20,000 dilution and competitor's antibody at 1/1,000 dilution were used in 5% NFDM/TBST at 4℃ overnight. Goat Anti-Rabbit IgG - HRP Secondary Antibody (HA1001) at 1/50,000 dilution was used for 1 hour at room temperature.
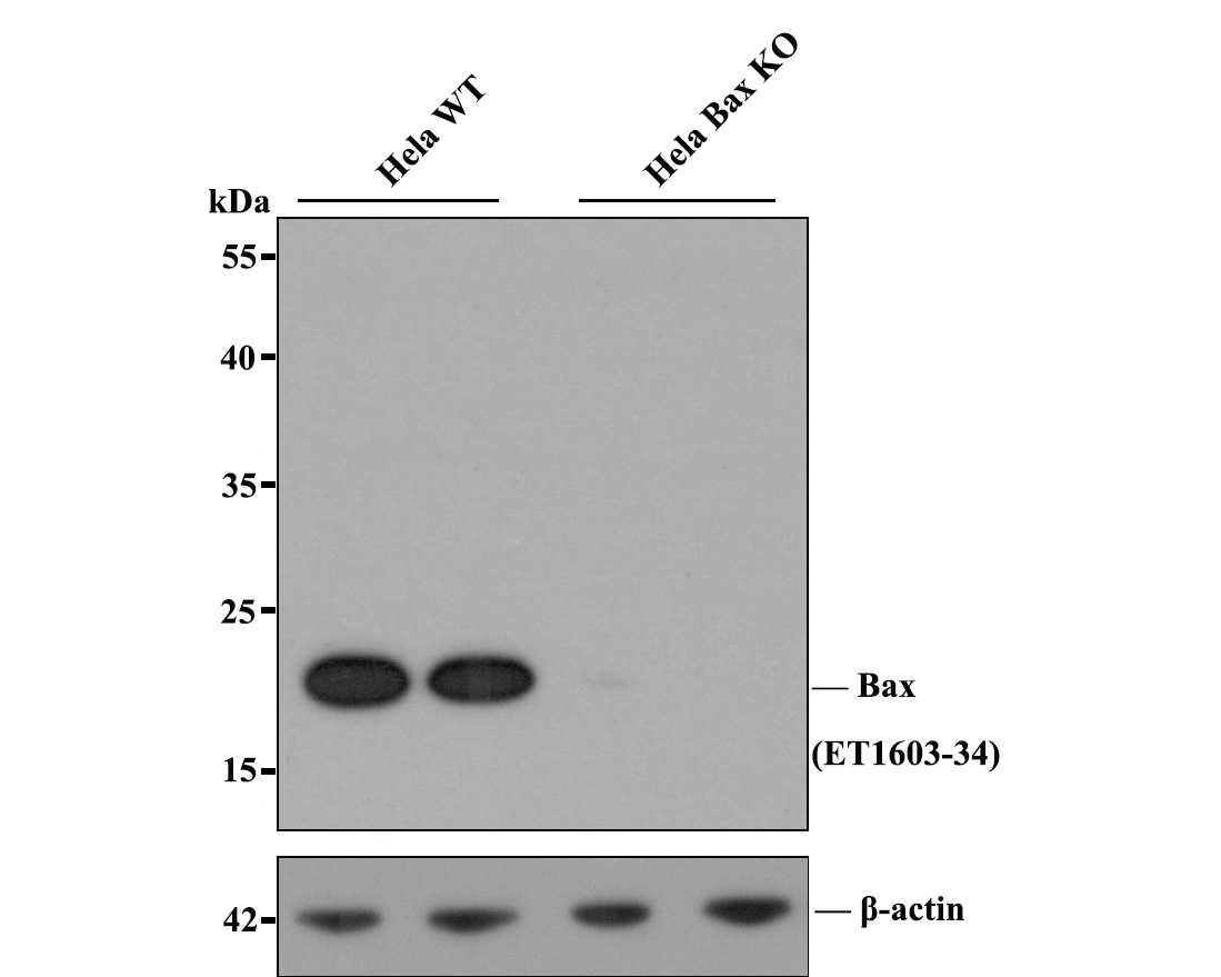
HA750065_2.jpg Fig2: All lanes: Western blot analysis of Bax with anti-Bax antibody [SZ3-07] (HA750065) at 1/1,000 dilution.
Lane 1/2: Wild-type Hela whole cell lysate (20 µg).
Lane 3/4: Bax knockout Hela whole cell lysate (20 µg).

ET1603-34 was shown to specifically react with Bax in wild-type Hela cells. No band was observed when Bax knockout samples were tested. Wild-type and Bax knockout samples were subjected to SDS-PAGE. Proteins were transferred to a PVDF membrane and blocked with 5% NFDM in TBST for 1 hour at room temperature. The primary antibody (ET1603-34, 1/1,000) and Loading control antibody (Rabbit anti-β-actin, R1207-1, 1/1,000)was used in 5% BSA at room temperature for 2 hours. Goat Anti-Rabbit IgG-HRP Secondary Antibody (HA1001) at 1:200,000 dilution was used for 1 hour at room temperature.
HA750065_3.jpg Fig3: Immunocytochemistry analysis of C2C12 cells labeling BAX with Rabbit anti-BAX antibody (HA750065) at 1/100 dilution.

Cells were fixed in 4% paraformaldehyde for 20 minutes at room temperature, permeabilized with 0.1% Triton X-100 in PBS for 5 minutes at room temperature, then blocked with 1% BSA in 10% negative goat serum for 1 hour at room temperature. Cells were then incubated with Rabbit anti-BAX antibody (HA750065) at 1/100 dilution in 1% BSA in PBST overnight at 4 ℃. Goat Anti-Rabbit IgG H&L (iFluor™ 488, HA1121) was used as the secondary antibody at 1/1,000 dilution. PBS instead of the primary antibody was used as the secondary antibody only control. Nuclear DNA was labelled in blue with DAPI.

Beta tubulin (M1305-2, red) was stained at 1/100 dilution overnight at +4℃. Goat Anti-Mouse IgG H&L (iFluor™ 594, HA1126) was used as the secondary antibody at 1/1,000 dilution.
HA750065_4.jpg Fig4: Flow cytometric analysis of HeLa cells labeling BAX.

Cells were fixed and permeabilized. Then stained with the primary antibody (HA750065, 1μg/mL) (red) compared with Rabbit IgG Isotype Control (green). After incubation of the primary antibody at +4℃ for an hour, the cells were stained with a iFluor™ 488 conjugate-Goat anti-Rabbit IgG Secondary antibody (HA1121) at 1/1,000 dilution for 30 minutes at +4℃. Unlabelled sample was used as a control (cells without incubation with primary antibody; black).
Note: All products are “FOR RESEARCH USE ONLY AND ARE NOT INTENDED FOR DIAGNOSTIC OR THERAPEUTIC USE”.