AIF Recombinant Rabbit Monoclonal Antibody [SZ05-01]
cat.: HA750066
Product Type: Recombinant Rabbit monoclonal IgG, primary antibodies
Species reactivity: Human, Mouse, Rat
Applications: WB, IF-Cell, IHC-P, IP, FC
Clonality: Monoclonal
Clone number: SZ05-01
Form: Liquid
Storage condition: Store at +4℃ after thawing. Aliquot store at -20℃ or -80℃. Avoid repeated freeze / thaw cycles.
Storage buffer: 1*PBS (pH7.4).
Concentration: 1ug/ul
Purification: Protein A affinity purified.
Molecular weight: Predicted band size: 67 kDa
Isotype: IgG
Immunogen: Synthetic peptide within Human AIF aa 502-551 / 613.
Positive control: SKOV-3 cell lysate, Daudi cell lysate, MCF-7 cell lysate, Hela cell lysate, C2C12 cell lysate, NIH/3T3 cell lysate, C6 cell lysate, Mouse liver tissue lysate, Rat liver tissue lysate, Mouse kidney tissue lysate, Rat kidney tissue lysate, MCF-7, SKOV-3, C2C12, human liver tissue, human kidney tissue, mouse liver tissue, mouse heart tissue, rat liver tissue, rat kidney tissue, HeLa.
Subcellular location: Mitochondrion intermembrane space, Mitochondrion inner membrane, Cytoplasm, Nucleus, Membrane.
Recommended Dilutions:
  WB
  IF-Cell
  IHC-P
  FC
  IP

1:1,000-1:5,000
1:50-1:200
1:1,000
1:1,000
Use at an assay dependent concentration.
Uniprot #: SwissProt: O95831 Human | Q9Z0X1 Mouse | Q9JM53 Rat
Alternative names: AIFM1 AIFM1_HUMAN Apoptosis inducing factor 1, mitochondrial Apoptosis inducing factor Apoptosis inducing factor, mitochondrion associated, 1 Apoptosis-inducing factor 1 CMTX4 COWCK COXPD6 Harlequin Hq mAIF MGC111425 MGC5706 mitochondrial Neuropathy, axonal motor-sensory, with deafness and mental retardation neuropathy, axonal, motor-sensory with deafness and mental retardation (Cowchock syndrome) PDCD 8 PDCD8 Programmed cell death 8 (apoptosis inducing factor) Programmed cell death 8 Programmed cell death 8 isoform 1 Programmed cell death 8 isoform 2 Programmed cell death 8 isoform 3 Programmed cell death protein 8 Programmed cell death protein 8 mitochondrial Programmed cell death protein 8 mitochondrial precursor Programmed cell death protein 8 mitochondrial precursor Striatal apoptosis inducing factor
Images
HA750066_1.jpg Fig1: Western blot analysis of AIF on different lysates with Rabbit anti-AIF antibody (HA750066) at 1/1,000 dilution.

Lane 1: C2C12 cell lysate (20 µg/Lane)
Lane 2: NIH/3T3 cell lysate (20 µg/Lane)
Lane 3: C6 cell lysate (20 µg/Lane)
Lane 4: Mouse liver tissue lysate (40 µg/Lane)
Lane 5: Rat liver tissue lysate (40 µg/Lane)
Lane 6: Mouse kidney tissue lysate (40 µg/Lane)
Lane 7: Rat kidney tissue lysate (40 µg/Lane)

Predicted band size: 67 kDa
Observed band size: 67/50 kDa

Exposure time: 6 seconds; ECL: K1801;
4-20% SDS-PAGE gel.

Proteins were transferred to a PVDF membrane and blocked with 5% NFDM/TBST for 1 hour at room temperature. The primary antibody (HA750066) at 1/500 dilution was used in 5% NFDM/TBST at 4℃ overnight. Goat Anti-Rabbit IgG - HRP Secondary Antibody (HA1001) at 1/50,000 dilution was used for 1 hour at room temperature.
HA750066_2.jpg Fig2: All lanes: Western blot analysis of AIF with anti-AIF antibody (HA750066) at 1/500 dilution.

Lane 1: Wild-type Hela whole cell lysate.
Lane 2: AIF knockout Hela whole cell lysate.

ET1603-4 was shown to specifically react with AIF in Wild-type Hela cells. No band was observed when AIF knockout sample was tested. Wild-type and AIF knockout samples were subjected to SDS-PAGE. Proteins were transferred to a PVDF membrane and blocked with 5% NFDM in TBST for 1 hour at room temperature. The primary Anti-AIF antibody (ET1603-4, 1/500) and Anti-HSP90 antibody (ET1605-56, 1/10,000) were used in 5% BSA at room temperature for 2 hours. Goat Anti-Rabbit IgG H&L (HRP) Secondary Antibody (HA1001) at 1:300,000 dilution was used for 1 hour at room temperature.
HA750066_3.jpg Fig3: Immunocytochemistry analysis of SKOV-3 cells labeling AIF with Rabbit anti-AIF antibody (HA750066) at 1/50 dilution.

Cells were fixed in 4% paraformaldehyde for 10 minutes at 37 ℃, permeabilized with 0.05% Triton X-100 in PBS for 20 minutes, and then blocked with 2% negative goat serum for 30 minutes at room temperature. Cells were then incubated with Rabbit anti-AIF antibody (HA750066) at 1/50 dilution in 2% negative goat serum overnight at 4 ℃. Goat Anti-Rabbit IgG H&L (iFluor™ 488, HA1121) was used as the secondary antibody at 1/1,000 dilution. PBS instead of the primary antibody was used as the secondary antibody only control. Nuclear DNA was labelled in blue with DAPI.
HA750066_4.jpg Fig4: Immunocytochemistry analysis of C2C12 cells labeling AIF with Rabbit anti-AIF antibody (HA750066) at 1/100 dilution.

Cells were fixed in 4% paraformaldehyde for 15 minutes at room temperature, permeabilized with 0.1% Triton X-100 in PBS for 15 minutes at room temperature, then blocked with 1% BSA in 10% negative goat serum for 1 hour at room temperature. Cells were then incubated with Rabbit anti-AIF antibody (HA750066) at 1/100 dilution in 1% BSA in PBST overnight at 4 ℃. Goat Anti-Rabbit IgG H&L (iFluor™ 488, HA1121) was used as the secondary antibody at 1/1,000 dilution. PBS instead of the primary antibody was used as the secondary antibody only control. Nuclear DNA was labelled in blue with DAPI.

Beta tubulin (HA601187, red) was stained at 1/100 dilution overnight at +4℃. Goat Anti-Mouse IgG H&L (iFluor™ 594, HA1126) was used as the secondary antibody at 1/1,000 dilution.
HA750066_5.jpg Fig5: Immunohistochemical analysis of paraffin-embedded human liver tissue with Rabbit anti-AIF antibody (HA750066) at 1/1,000 dilution.

The section was pre-treated using heat mediated antigen retrieval with Tris-EDTA buffer (pH 9.0) for 20 minutes. The tissues were blocked in 1% BSA for 20 minutes at room temperature, washed with ddH2O and PBS, and then probed with the primary antibody (HA750066) at 1/1,000 dilution for 1 hour at room temperature. The detection was performed using an HRP conjugated compact polymer system. DAB was used as the chromogen. Tissues were counterstained with hematoxylin and mounted with DPX.
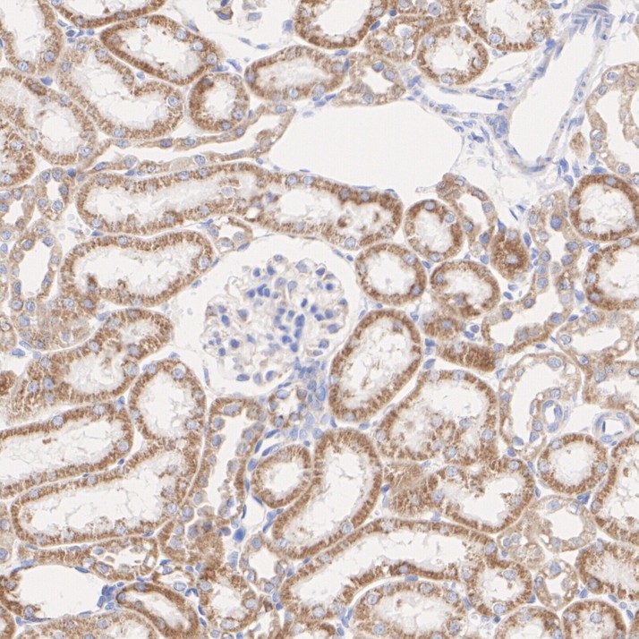
HA750066_6.jpg Fig6: Immunohistochemical analysis of paraffin-embedded human kidney tissue with Rabbit anti-AIF antibody (HA750066) at 1/1,000 dilution.

The section was pre-treated using heat mediated antigen retrieval with Tris-EDTA buffer (pH 9.0) for 20 minutes. The tissues were blocked in 1% BSA for 20 minutes at room temperature, washed with ddH2O and PBS, and then probed with the primary antibody (HA750066) at 1/1,000 dilution for 1 hour at room temperature. The detection was performed using an HRP conjugated compact polymer system. DAB was used as the chromogen. Tissues were counterstained with hematoxylin and mounted with DPX.
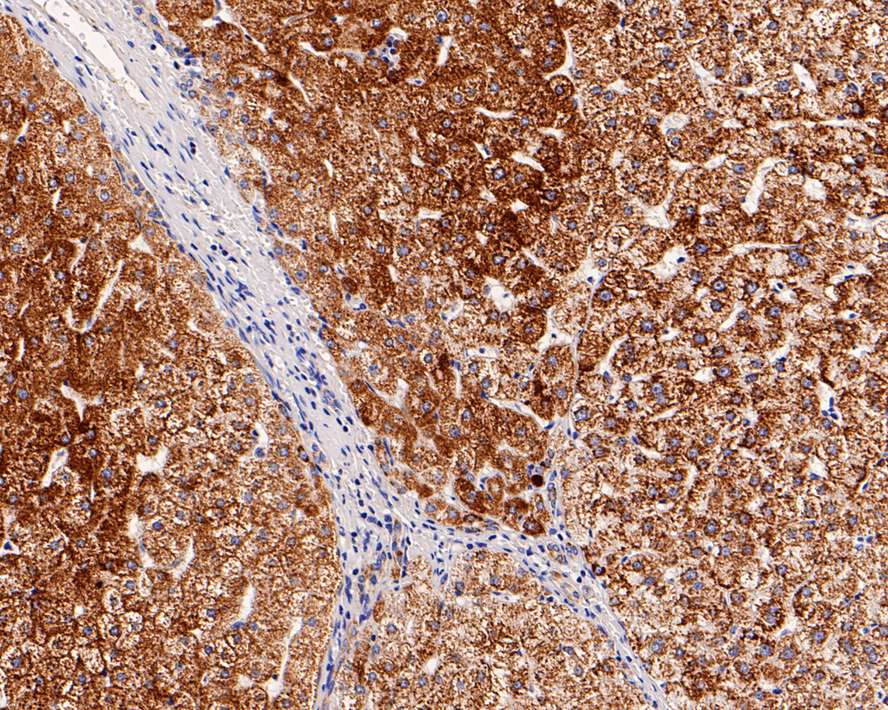
HA750066_7.jpg Fig7: Immunohistochemical analysis of paraffin-embedded rat liver tissue with Rabbit anti-AIF antibody (HA750066) at 1/1,000 dilution.

The section was pre-treated using heat mediated antigen retrieval with Tris-EDTA buffer (pH 9.0) for 20 minutes. The tissues were blocked in 1% BSA for 20 minutes at room temperature, washed with ddH2O and PBS, and then probed with the primary antibody (HA750066) at 1/1,000 dilution for 1 hour at room temperature. The detection was performed using an HRP conjugated compact polymer system. DAB was used as the chromogen. Tissues were counterstained with hematoxylin and mounted with DPX.
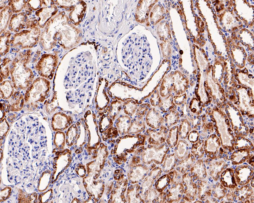
HA750066_8.jpg Fig8: Immunohistochemical analysis of paraffin-embedded rat kidney tissue with Rabbit anti-AIF antibody (HA750066) at 1/1,000 dilution.

The section was pre-treated using heat mediated antigen retrieval with Tris-EDTA buffer (pH 9.0) for 20 minutes. The tissues were blocked in 1% BSA for 20 minutes at room temperature, washed with ddH2O and PBS, and then probed with the primary antibody (HA750066) at 1/1,000 dilution for 1 hour at room temperature. The detection was performed using an HRP conjugated compact polymer system. DAB was used as the chromogen. Tissues were counterstained with hematoxylin and mounted with DPX.
HA750066_9.jpg Fig9: Flow cytometric analysis of HeLa cells labeling AIF.

Cells were fixed and permeabilized. Then stained with the primary antibody (HA750066, 1/1,000) (red) compared with Rabbit IgG Isotype Control (green). After incubation of the primary antibody at +4℃ for an hour, the cells were stained with a iFluor™ 488 conjugate-Goat anti-Rabbit IgG Secondary antibody (HA1121) at 1/1,000 dilution for 30 minutes at +4℃. Unlabelled sample was used as a control (cells without incubation with primary antibody; black).
Note: All products are “FOR RESEARCH USE ONLY AND ARE NOT INTENDED FOR DIAGNOSTIC OR THERAPEUTIC USE”.