Phospho-STAT3 (Y705) Recombinant Rabbit Monoclonal Antibody [SZ43-01]
cat.: HA750067
Product Type: Recombinant Rabbit monoclonal IgG, primary antibodies
Species reactivity: Human, Mouse, Rat
Applications: WB, IHC-P, IP
Clonality: Monoclonal
Clone number: SZ43-01
Form: Liquid
Storage condition: Store at +4℃ after thawing. Aliquot store at -20℃ or -80℃. Avoid repeated freeze / thaw cycles.
Storage buffer: 1*PBS (pH7.4).
Concentration: 1ug/ul
Purification: Protein A affinity purified.
Molecular weight: Predicted band size: 88 kDa
Isotype: IgG
Immunogen: Synthetic phospho-peptide corresponding to residues surrounding Tyr705 of human STAT3.
Positive control: HeLa treated with 50ng/mL IFN alpha 1 for 30 minutes cell lysate, Jurkat treated with 50ng/mL IFN alpha 1 for 30 minutes cell lysate, A431 treated with 100ng/mL EGF for 30 minutes cell lysate, human lung tissue, M‑NFS‑60 cell lysate, RAW264.7 cell lysate, C2C12 cell lysate, L6 cell lysate, Mouse heart tissue lysate, SK-Br-3 cell lysates, human kidney tissue.
Subcellular location: Cytoplasm, Nucleus.
Recommended Dilutions:
  WB
  IHC-P
  IP

1:1,000-1:5,000
1:500
1-2μg/sample
Uniprot #: SwissProt: P40763 Human | P42227 Mouse | P52631 Rat
Alternative names: 1110034C02Rik Acute Phase Response Factor Acute-phase response factor ADMIO APRF AW109958 DNA binding protein APRF FLJ20882 HIES MGC16063 Signal transducer and activator of transcription 3 (acute phase response factor) Signal transducer and activator of transcription 3 STAT 3 Stat3 STAT3_HUMAN
Images
HA750067_1.jpg Fig1: Western blot analysis of Phospho-STAT3 (Y705) on different lysates with Rabbit anti-Phospho-STAT3 (Y705) antibody (HA750067) at 1/5,000 dilution and competitor's antibody at 1/1,000 dilution.

Lane 1: HeLa cell lysate
Lane 2: HeLa treated with 50ng/mL IFN alpha 1 for 30 minutes cell lysate
Lane 3: Jurkat cell lysate
Lane 4: Jurkat treated with 50ng/mL IFN alpha 1 for 30 minutes cell lysate
Lane 5: A431 cell lysate
Lane 6: A431 treated with 100ng/mL EGF for 30 minutes cell lysate

Lysates/proteins at 20 µg/Lane.

Predicted band size: 88 kDa
Observed band size: 88 kDa

Exposure time: 35 seconds; ECL: K1801;

4-20% SDS-PAGE gel.

Proteins were transferred to a PVDF membrane and blocked with 5% NFDM/TBST for 1 hour at room temperature. The primary antibody (HA750067) at 1/5,000 dilution and competitor's antibody at 1/1,000 dilution were used in 5% NFDM/TBST at 4℃ overnight. Goat Anti-Rabbit IgG - HRP Secondary Antibody (HA1001) at 1:50,000 dilution was used for 1 hour at room temperature.
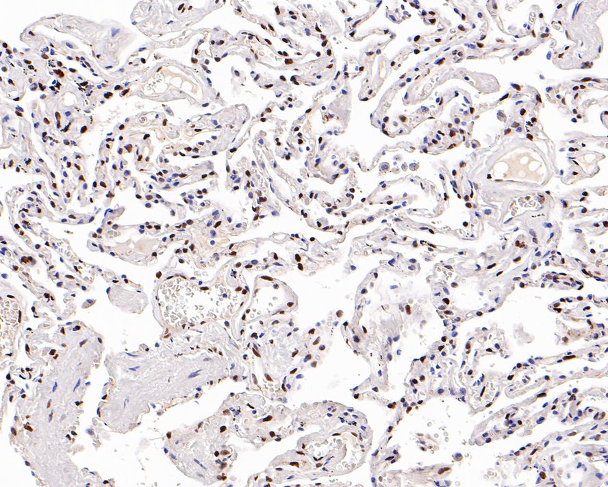
HA750067_2.jpg Fig2: Immunohistochemical analysis of paraffin-embedded human lung tissue with Rabbit anti-Phospho-STAT3 (Y705) antibody (HA750067) at 1/500 dilution.

The section was pre-treated using heat mediated antigen retrieval with Tris-EDTA buffer (pH 9.0) for 20 minutes. The tissues were blocked in 1% BSA for 20 minutes at room temperature, washed with ddH2O and PBS, and then probed with the primary antibody (HA750067) at 1/500 dilution for 1 hour at room temperature. The detection was performed using an HRP conjugated compact polymer system. DAB was used as the chromogen. Tissues were counterstained with hematoxylin and mounted with DPX.
HA750067_3.jpg Fig3: Western blot analysis of Phospho-STAT3 (Y705) on different lysates with Rabbit anti-Phospho-STAT3 (Y705) antibody (HA750067) at 1/1,000 dilution.

Lane 1: M‑NFS‑60 cell lysate (20 µg/Lane)
Lane 2: RAW264.7 cell lysate (20 µg/Lane)
Lane 3: C2C12 cell lysate (20 µg/Lane)
Lane 4: L6 cell lysate (20 µg/Lane)
Lane 5: Mouse heart tissue lysate (40 µg/Lane)

Predicted band size: 88 kDa
Observed band size: 88 kDa

Exposure time: 25 seconds; ECL: K1801;

4-20% SDS-PAGE gel.

Proteins were transferred to a PVDF membrane and blocked with 5% NFDM/TBST for 1 hour at room temperature. The primary antibody (HA750067) at 1/1,000 dilution was used in 5% NFDM/TBST at 4℃ overnight. Goat Anti-Rabbit IgG - HRP Secondary Antibody (HA1001) at 1/50,000 dilution was used for 1 hour at room temperature.
HA750067_4.jpg Fig4: Western blot analysis of Phospho-STAT3 (Y705) on SK-Br-3 cell lysates with Rabbit anti-Phospho-STAT3 (Y705) antibody (HA750067) at 1/500 dilution.

Lysates/proteins at 10 µg/Lane.

Predicted band size: 88 kDa
Observed band size: 88 kDa

Exposure time: 2 minutes;

8% SDS-PAGE gel.

Proteins were transferred to a PVDF membrane and blocked with 5% NFDM/TBST for 1 hour at room temperature. The primary antibody (HA750067) at 1/500 dilution was used in 5% NFDM/TBST at room temperature for 2 hours. Goat Anti-Rabbit IgG - HRP Secondary Antibody (HA1001) at 1:300,000 dilution was used for 1 hour at room temperature.
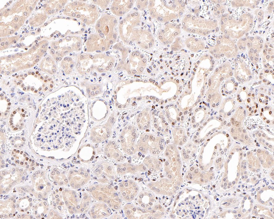
HA750067_5.jpg Fig5: Immunohistochemical analysis of paraffin-embedded human kidney tissue with Rabbit anti-Phospho-STAT3 (Y705) antibody (HA750067) at 1/500 dilution.

The section was pre-treated using heat mediated antigen retrieval with Tris-EDTA buffer (pH 9.0) for 20 minutes. The tissues were blocked in 1% BSA for 20 minutes at room temperature, washed with ddH2O and PBS, and then probed with the primary antibody (HA750067) at 1/500 dilution for 1 hour at room temperature. The detection was performed using an HRP conjugated compact polymer system. DAB was used as the chromogen. Tissues were counterstained with hematoxylin and mounted with DPX.
HA750067_6.jpg Fig6: Phospho-STAT3 (Y705) was immunoprecipitated from 0.2 mg HeLa treated with 50ng/mL IFN alpha 1 for 30 minutes cell lysate with HA750067 at 2 µg/10 µl beads. Western blot was performed from the immunoprecipitate using HA750067 at 1/5,000 dilution. Anti-Rabbit IgG for IP Nano-secondary antibody (NBI01H) at 1/5,000 dilution was used for 1 hour at room temperature.

Lane 1: HeLa treated with 50ng/mL IFN alpha 1 for 30 minutes cell lysate (input)
Lane 2: Rabbit IgG instead of HA750067 in HeLa treated with 50ng/mL IFN alpha 1 for 30 minutes cell lysate
Lane 3: HA750067 IP in HeLa treated with 50ng/mL IFN alpha 1 for 30 minutes cell lysate

Blocking/Dilution buffer: 5% NFDM/TBST
Exposure time: 24 seconds; ECL: K1802
Note: All products are “FOR RESEARCH USE ONLY AND ARE NOT INTENDED FOR DIAGNOSTIC OR THERAPEUTIC USE”.