Cytokeratin 18 Recombinant Rabbit Monoclonal Antibody [SZ80-07]
cat.: HA750069
Product Type: Recombinant Rabbit monoclonal IgG, primary antibodies
Species reactivity: Human, Mouse, Rat
Applications: WB, IF-Cell, IF-Tissue, IHC-P, FC
Clonality: Monoclonal
Clone number: SZ80-07
Form: Liquid
Storage condition: Store at +4℃ after thawing. Aliquot store at -20℃ or -80℃. Avoid repeated freeze / thaw cycles.
Storage buffer: 1*PBS (pH7.4).
Concentration: 1ug/ul
Purification: Protein A affinity purified.
Molecular weight: Predicted band size: 48 kDa
Isotype: IgG
Immunogen: Recombinant protein within mouse Cytokeratin 18 aa 200-423.
Positive control: A431 cell lysate, HeLa cell lysate, HT-29 cell lysate, mouse kidney, rat skin tissue, Hela, A431, HepG2, human colon carcinoma tissue, human breast carcinoma tissue, human colon tissue,human liver tissue, human stomach tissue, human stomach carcinoma tissue, MCF-7.
Subcellular location: Cytoplasm, Nucleus.
Recommended Dilutions:
  WB
  IF-Cell
  IF-Tissue
  IHC-P
  FC

1:5,000-1:20,000
1:100-1:500
1:100-1:500
1:50-1:200
1:50-1:100
Uniprot #: SwissProt: P05783 Human | P05784 Mouse | Q5BJY9 Rat
Alternative names: Cell proliferation inducing gene 46 protein Cell proliferation inducing protein 46 Cell proliferation-inducing gene 46 protein CK 18 CK-18 CK18 CYK 18 CYK18 Cytokeratin 18 Cytokeratin endo B Cytokeratin-18 K 18 K18 K1C18_HUMAN KA18 Keratin 18 Keratin 18, type I Keratin D keratin, type I cytoskeletal 18 Keratin-18 Krt18
Images
HA750069_1.jpg Fig1: Western blot analysis of Cytokeratin 18 on different lysates with Rabbit anti-Cytokeratin 18 antibody (HA750069) at 1/5,000 dilution.

Lane 1: A431 cell lysate
Lane 2: HeLa cell lysate
Lane 3: HT-29 cell lysate

Lysates/proteins at 20 µg/Lane.

Predicted band size: 48 kDa
Observed band size: 48 kDa

Exposure time: 24 seconds;

4-20% SDS-PAGE gel.

Proteins were transferred to a PVDF membrane and blocked with 5% NFDM/TBST for 1 hour at room temperature. The primary antibody (HA750069) at 1/5,000 dilution was used in 5% NFDM/TBST at 4℃ overnight. Goat Anti-Rabbit IgG - HRP Secondary Antibody (HA1001) at 1/50,000 dilution was used for 1 hour at room temperature.
HA750069_2.jpg Fig2: Western blot analysis of Cytokeratin 18 on different lysates with Rabbit anti-Cytokeratin 18 antibody (HA750069) at 1/20,000 dilution.

Lane 1: HeLa-si NT cell lysate
Lane 2: HeLa-si Cytokeratin 18 cell lysate

Lysates/proteins at 10 µg/Lane.

Predicted band size: 48 kDa
Observed band size: 48 kDa

Exposure time: 5 seconds;

4-20% SDS-PAGE gel.

Proteins were transferred to a PVDF membrane and blocked with 5% NFDM/TBST for 1 hour at room temperature. The primary antibody (HA750069) at 1/20,000 dilution was used in 5% NFDM/TBST at 4℃ overnight. Goat Anti-Rabbit IgG - HRP Secondary Antibody (HA1001) at 1/50,000 dilution was used for 1 hour at room temperature.
HA750069_3.jpg Fig3: Immunofluorescence analysis of paraffin-embedded rat skin tissue labeling Cytokeratin 18 with Rabbit anti-Cytokeratin 18 antibody (HA750069) at 1/200 dilution.

The section was pre-treated using heat mediated antigen retrieval with Tris-EDTA buffer (pH 9.0) for 20 minutes. The tissues were blocked in 10% negative goat serum for 1 hour at room temperature, washed with PBS, and then probed with the primary antibody (HA750069, red) at 1/200 dilution overnight at 4 ℃, washed with PBS. Goat Anti-Rabbit IgG H&L (iFluor™ 594, HA1122) was used as the secondary antibody at 1/1,000 dilution. Nuclei were counterstained with DAPI (blue).
HA750069_4.jpg Fig4: Immunocytochemistry analysis of A431 cells labeling Cytokeratin 18 with Rabbit anti-Cytokeratin 18 antibody (HA750069) at 1/100 dilution.

Formalin fixed cells were permeabilized with 0.1% Triton X-100 in TBS for 10 minutes at room temperature and blocked with 1% Blocker BSA for 15 minutes at room temperature. Cells were probed with the primary antibody (HA750069, 1/100) for 1 hour at room temperature, washed with PBS. Alexa Fluor®488 Goat anti-Rabbit IgG was used as the secondary antibody at 1/1,000 dilution. The nuclear counter stain is DAPI (blue).
HA750069_5.jpg Fig5: Immunocytochemistry analysis of HepG2 cells labeling Cytokeratin 18 with Rabbit anti-Cytokeratin 18 antibody (HA750069) at 1/100 dilution.

Formalin fixed cells were permeabilized with 0.1% Triton X-100 in TBS for 10 minutes at room temperature and blocked with 1% Blocker BSA for 15 minutes at room temperature. Cells were probed with the primary antibody (HA750069, 1/100) for 1 hour at room temperature, washed with PBS. Alexa Fluor®488 Goat anti-Rabbit IgG was used as the secondary antibody at 1/1,000 dilution. The nuclear counter stain is DAPI (blue).
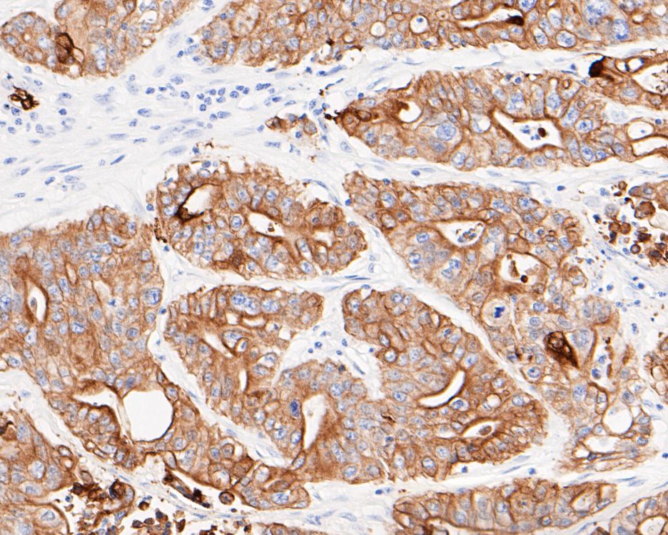
HA750069_6.jpg Fig6: Immunohistochemical analysis of paraffin-embedded human colon carcinoma tissue with Rabbit anti-Cytokeratin 18 antibody (HA750069) at 1/50 dilution.

The section was pre-treated using heat mediated antigen retrieval with Tris-EDTA buffer (pH 8.0-8.4) for 20 minutes.The tissues were blocked in 5% BSA for 30 minutes at room temperature, washed with ddH2O and PBS, and then probed with the primary antibody (HA750069, 1/50) for 30 minutes at room temperature. The detection was performed using an HRP conjugated compact polymer system. DAB was used as the chromogen. Tissues were counterstained with hematoxylin and mounted with DPX.
HA750069_7.jpg Fig7: Immunohistochemical analysis of paraffin-embedded human breast carcinoma tissue with Rabbit anti-Cytokeratin 18 antibody (HA750069) at 1/200 dilution.

The section was pre-treated using heat mediated antigen retrieval with Tris-EDTA buffer (pH 8.0-8.4) for 20 minutes.The tissues were blocked in 5% BSA for 30 minutes at room temperature, washed with ddH2O and PBS, and then probed with the primary antibody (HA750069, 1/200) for 30 minutes at room temperature. The detection was performed using an HRP conjugated compact polymer system. DAB was used as the chromogen. Tissues were counterstained with hematoxylin and mounted with DPX.
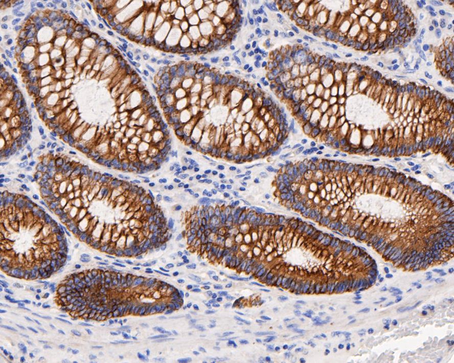
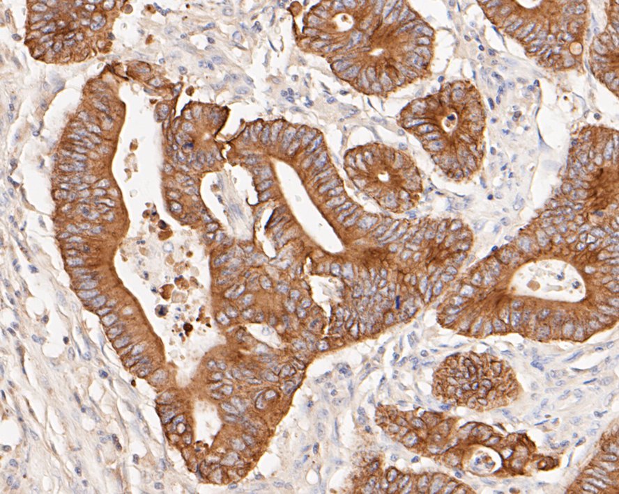
HA750069_8.jpg Fig8: Immunohistochemical analysis of paraffin-embedded human colon tissue with Rabbit anti-Cytokeratin 18 antibody (HA750069) at 1/200 dilution.

The section was pre-treated using heat mediated antigen retrieval with Tris-EDTA buffer (pH 9.0) for 20 minutes.The tissues were blocked in 5% BSA for 30 minutes at room temperature, washed with ddH2O and PBS, and then probed with the primary antibody (HA750069, 1/200) for 30 minutes at room temperature. The detection was performed using an HRP conjugated compact polymer system. DAB was used as the chromogen. Tissues were counterstained with hematoxylin and mounted with DPX.
HA750069_9.jpg Fig9: Immunohistochemical analysis of paraffin-embedded human stomach tissue with Rabbit anti-Cytokeratin 18 antibody (HA750069) at 1/200 dilution.

The section was pre-treated using heat mediated antigen retrieval with Tris-EDTA buffer (pH 8.0-8.4) for 20 minutes.The tissues were blocked in 5% BSA for 30 minutes at room temperature, washed with ddH2O and PBS, and then probed with the primary antibody (HA750069, 1/200) for 30 minutes at room temperature. The detection was performed using an HRP conjugated compact polymer system. DAB was used as the chromogen. Tissues were counterstained with hematoxylin and mounted with DPX.
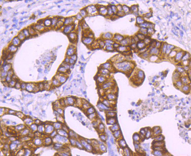
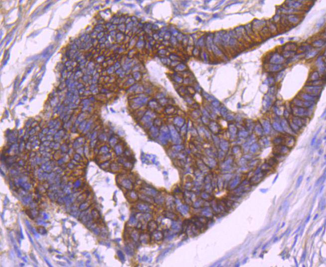
HA750069_10.jpg Fig10: Immunohistochemical analysis of paraffin-embedded human colon carcinoma with Rabbit anti-Cytokeratin 18 antibody (HA750069) at 1/200 dilution.

The section was pre-treated using heat mediated antigen retrieval with Tris-EDTA buffer (pH 9.0) for 20 minutes.The tissues were blocked in 5% BSA for 30 minutes at room temperature, washed with ddH2O and PBS, and then probed with the primary antibody (HA750069, 1/200) for 30 minutes at room temperature. The detection was performed using an HRP conjugated compact polymer system. DAB was used as the chromogen. Tissues were counterstained with hematoxylin and mounted with DPX.
HA750069_11.jpg Fig11: Immunohistochemical analysis of paraffin-embedded human stomach carcinoma tissue with Rabbit anti-Cytokeratin 18 antibody (HA750069) at 1/200 dilution.

The section was pre-treated using heat mediated antigen retrieval with Tris-EDTA buffer (pH 9.0) for 20 minutes.The tissues were blocked in 5% BSA for 30 minutes at room temperature, washed with ddH2O and PBS, and then probed with the primary antibody (HA750069, 1/200) for 30 minutes at room temperature. The detection was performed using an HRP conjugated compact polymer system. DAB was used as the chromogen. Tissues were counterstained with hematoxylin and mounted with DPX.
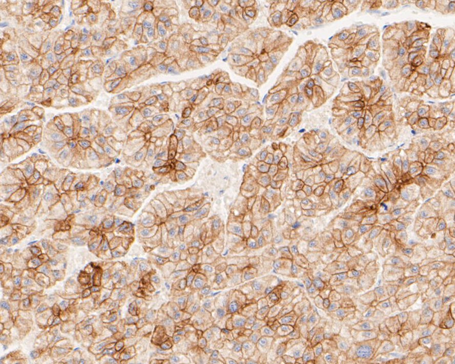
HA750069_12.jpg Fig12: Immunohistochemical analysis of paraffin-embedded human liver tissue with Rabbit anti-Cytokeratin 18 antibody (HA750069) at 1/200 dilution.

The section was pre-treated using heat mediated antigen retrieval with Tris-EDTA buffer (pH 9.0) for 20 minutes.The tissues were blocked in 5% BSA for 30 minutes at room temperature, washed with ddH2O and PBS, and then probed with the primary antibody (HA750069, 1/200) for 30 minutes at room temperature. The detection was performed using an HRP conjugated compact polymer system. DAB was used as the chromogen. Tissues were counterstained with hematoxylin and mounted with DPX.
HA750069_13.jpg Fig13: Immunocytochemistry analysis of HeLa cells labeling Cytokeratin 18 with Rabbit anti-Cytokeratin 18 antibody (HA750069) at 1/100 dilution.

Cells were fixed in 4% paraformaldehyde for 20 minutes at room temperature, permeabilized with 0.1% Triton X-100 in PBS for 5 minutes at room temperature, then blocked with 1% BSA in 10% negative goat serum for 1 hour at room temperature. Cells were then incubated with Rabbit anti-Cytokeratin 18 antibody (HA750069) at 1/100 dilution in 1% BSA in PBST overnight at 4 ℃. Goat Anti-Rabbit IgG H&L (iFluor™ 488, HA1121) was used as the secondary antibody at 1/1,000 dilution. PBS instead of the primary antibody was used as the secondary antibody only control. Nuclear DNA was labelled in blue with DAPI.

Beta tubulin (M1305-2, red) was stained at 1/100 dilution overnight at +4℃. Goat Anti-Mouse IgG H&L (iFluor™ 594, HA1126) was used as the secondary antibody at 1/1,000 dilution.
HA750069_14.jpg Fig14: Flow cytometric analysis of HeLa cells labeling Cytokeratin 18.

Cells were fixed and permeabilized. Then stained with the primary antibody (HA750069, 1μg/mL) (red) compared with Rabbit IgG Isotype Control (green). After incubation of the primary antibody at +4℃ for an hour, the cells were stained with a iFluor™ 488 conjugate-Goat anti-Rabbit IgG Secondary antibody (HA1121) at 1/1,000 dilution for 30 minutes at +4℃. Unlabelled sample was used as a control (cells without incubation with primary antibody; black).
HA750069_15.jpg Fig15: Application: IF-Tissue

Species: Human

Site: liver

Sample: Paraffin-embedded section

Antibody concentration: 1/200
Note: All products are “FOR RESEARCH USE ONLY AND ARE NOT INTENDED FOR DIAGNOSTIC OR THERAPEUTIC USE”.