Smad4 Recombinant Rabbit Monoclonal Antibody [SP05-05]
cat.: HA750070
Product Type: Recombinant Rabbit monoclonal IgG, primary antibodies
Species reactivity: Human, Mouse, Rat
Applications: WB, IF-Cell, IF-Tissue, IHC-P, FC
Clonality: Monoclonal
Clone number: SP05-05
Form: Liquid
Storage condition: Store at +4℃ after thawing. Aliquot store at -20℃ or -80℃. Avoid repeated freeze / thaw cycles.
Storage buffer: 1*PBS (pH7.4).
Concentration: 1ug/ul
Purification: Protein A affinity purified.
Molecular weight: Predicted band size: 60 kDa
Isotype: IgG
Immunogen: Synthetic peptide within C-terminal human Smad4.
Positive control: HeLa cell lysate, HCT 116 cell lysate, C6 cell lysate, Neuro-2a cell lysates, HeLa, Neuro-2a, PC-12, human colon tissue, human lung tissue, mouse lung tissue, rat lung tissue.
Subcellular location: Cytoplasm, Nucleus.
Recommended Dilutions:
  WB
  IF-Cell
  IF-Tissue
  IHC-P
  FC

1:1,000-1:5,000
1:100
1:50-1:200
1:200
1:1,000
Uniprot #: SwissProt: Q13485 Human | P97471 Mouse | O70437 Rat
Alternative names: (Small) Mothers Against Decapentaplegic Deleted in Pancreatic Carcinoma 4 Deleted in Pancreatic Carcinoma Deleted in pancreatic carcinoma locus 4 Deletion target in pancreatic carcinoma 4 DPC 4 DPC4 hSMAD4 JIP MAD homolog 4 MAD mothers against decapentaplegic Drosophila homolog 4 MAD mothers against decapentaplegic homolog 4 MADH 4 MADH4 Med Medea Mothers against decapentaplegic homolog 4 Mothers against decapentaplegic, Drosophila, homolog of, 4 Mothers against DPP homolog 4 MYHRS OTTHUMP00000163548 SMA- and MAD-related protein 4 SMAD 4 SMAD family member 4 SMAD mothers against DPP homolog 4 SMAD4 SMAD4_HUMAN
Images
HA750070_1.jpg Fig1: Western blot analysis of Smad4 on different lysates with Rabbit anti-Smad4 antibody (HA750070) at 1/5,000 dilution.

Lane 1: HeLa cell lysate
Lane 2: HCT 116 cell lysate
Lane 3: C6 cell lysate

Lysates/proteins at 15 µg/Lane.

Predicted band size: 60 kDa
Observed band size: 70 kDa

Exposure time: 3 minutes;

4-20% SDS-PAGE gel.

Proteins were transferred to a PVDF membrane and blocked with 5% NFDM/TBST for 1 hour at room temperature. The primary antibody (HA750070) at 1/5,000 dilution was used in 5% NFDM/TBST at 4℃ overnight. Goat Anti-Rabbit IgG - HRP Secondary Antibody (HA1001) at 1/50,000 dilution was used for 1 hour at room temperature.
HA750070_2.jpg Fig2: Western blot analysis of Smad4 on Neuro-2a cell lysates with Rabbit anti-Smad4 antibody (HA750070) at 1/1,000 dilution.

Lysates/proteins at 20 µg/Lane.

Predicted band size: 60 kDa
Observed band size: 70 kDa

Exposure time: 3 minutes; ECL: K1801;

4-20% SDS-PAGE gel.

Proteins were transferred to a PVDF membrane and blocked with 5% NFDM/TBST for 1 hour at room temperature. The primary antibody (HA750070) at 1/1,000 dilution was used in 5% NFDM/TBST at 4℃ overnight. Goat Anti-Rabbit IgG - HRP Secondary Antibody (HA1001) at 1/50,000 dilution was used for 1 hour at room temperature.
HA750070_3.jpg Fig3: All lanes: Western blot analysis of Smad4 with anti-Smad4 antibody (HA750070) at 1:1,000 dilution.
Lane 1: Wild-type HaCaT whole cell lysate (15 µg).
Lane 2: Smad4 knockout HaCaT whole cell lysate (15 µg).

ET1604-12 was shown to specifically react with Smad4 in wild-type HaCaT cells. NO band was observed when Smad4 knockout sample was tested. Wild-type and Smad4 knockout samples were subjected to SDS-PAGE. Proteins were transferred to a PVDF membrane and blocked with 5% NFDM in TBST for 1 hour at room temperature. The primary antibody (ET1604-12, 1:1,000) was used in 5% BSA at room temperature for 2 hours. Goat Anti-Rabbit IgG-HRP Secondary Antibody at 1:10,000 dilution was used for 1 hour at room temperature.
HA750070_4.jpg Fig4: Immunocytochemistry analysis of HeLa cells labeling Smad4 with Rabbit anti-Smad4 antibody (HA750070) at 1/100 dilution.

Cells were fixed in 4% paraformaldehyde for 20 minutes at room temperature, permeabilized with 0.1% Triton X-100 in PBS for 5 minutes at room temperature, then blocked with 1% BSA in 10% negative goat serum for 1 hour at room temperature. Cells were then incubated with Rabbit anti-Smad4 antibody (HA750070) at 1/100 dilution in 1% BSA in PBST overnight at 4 ℃. Goat Anti-Rabbit IgG H&L (iFluor™ 488, HA1121) was used as the secondary antibody at 1/1,000 dilution. PBS instead of the primary antibody was used as the secondary antibody only control. Nuclear DNA was labelled in blue with DAPI. Beta tubulin (M1305-2, red) was stained at 1/100 dilution overnight at +4℃. Goat Anti-Mouse IgG H&L (iFluor™ 594, HA1126) was used as the secondary antibody at 1/1,000 dilution.
HA750070_5.jpg Fig5: Immunocytochemistry analysis of Neuro-2a cells labeling Smad4 with Rabbit anti-Smad4 antibody (HA750070) at 1/100 dilution.

Cells were fixed in 4% paraformaldehyde for 20 minutes at room temperature, permeabilized with 0.1% Triton X-100 in PBS for 5 minutes at room temperature, then blocked with 1% BSA in 10% negative goat serum for 1 hour at room temperature. Cells were then incubated with Rabbit anti-Smad4 antibody (HA750070) at 1/100 dilution in 1% BSA in PBST overnight at 4 ℃. Goat Anti-Rabbit IgG H&L (iFluor™ 488, HA1121) was used as the secondary antibody at 1/1,000 dilution. PBS instead of the primary antibody was used as the secondary antibody only control. Nuclear DNA was labelled in blue with DAPI. Beta tubulin (M1305-2, red) was stained at 1/100 dilution overnight at +4℃. Goat Anti-Mouse IgG H&L (iFluor™ 594, HA1126) was used as the secondary antibody at 1/1,000 dilution.
HA750070_6.jpg Fig6: Immunocytochemistry analysis of PC-12 cells labeling Smad4 with Rabbit anti-Smad4 antibody (HA750070) at 1/100 dilution.

Cells were fixed in 4% paraformaldehyde for 20 minutes at room temperature, permeabilized with 0.1% Triton X-100 in PBS for 5 minutes at room temperature, then blocked with 1% BSA in 10% negative goat serum for 1 hour at room temperature. Cells were then incubated with Rabbit anti-Smad4 antibody (HA750070) at 1/100 dilution in 1% BSA in PBST overnight at 4 ℃. Goat Anti-Rabbit IgG H&L (iFluor™ 488, HA1121) was used as the secondary antibody at 1/1,000 dilution. PBS instead of the primary antibody was used as the secondary antibody only control. Nuclear DNA was labelled in blue with DAPI. Beta tubulin (M1305-2, red) was stained at 1/100 dilution overnight at +4℃. Goat Anti-Mouse IgG H&L (iFluor™ 594, HA1126) was used as the secondary antibody at 1/1,000 dilution.
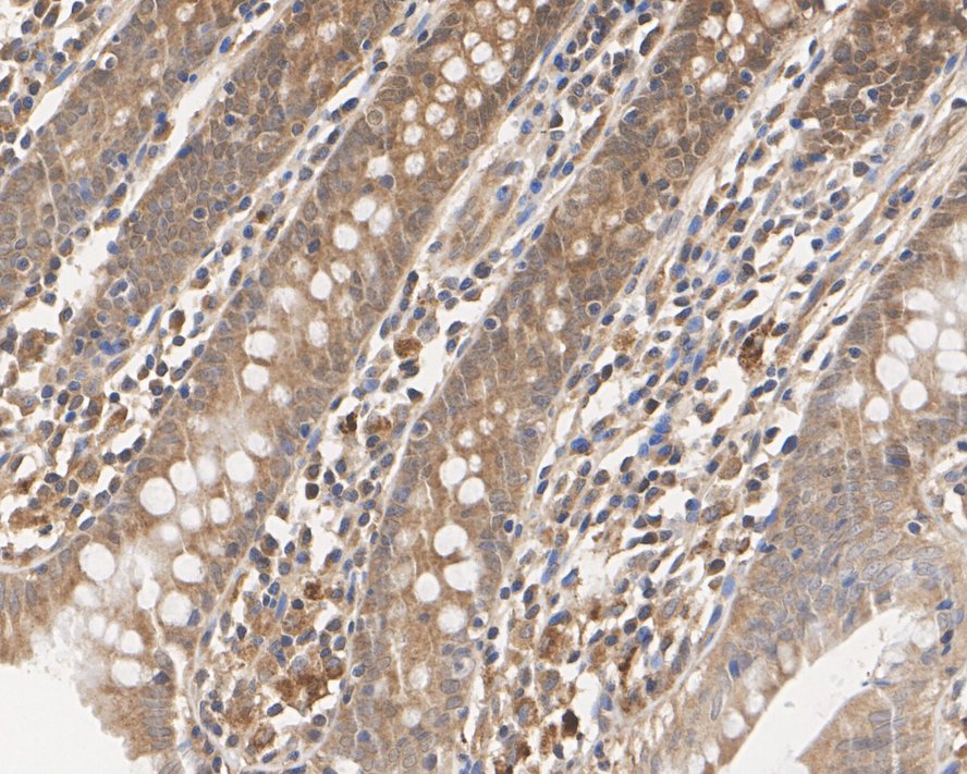
HA750070_7.jpg Fig7: Immunohistochemical analysis of paraffin-embedded human colon tissue with Rabbit anti-Smad4 antibody (HA750070) at 1/200 dilution.

The section was pre-treated using heat mediated antigen retrieval with sodium citrate buffer (pH 6.0) (high pressure) for 2 minutes. The tissues were blocked in 1% BSA for 20 minutes at room temperature, washed with ddH2O and PBS, and then probed with the primary antibody (HA750070) at 1/200 dilution for 1 hour at room temperature. The detection was performed using an HRP conjugated compact polymer system. DAB was used as the chromogen. Tissues were counterstained with hematoxylin and mounted with DPX.
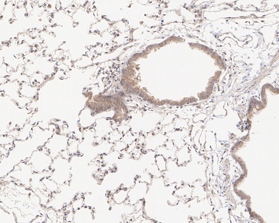
HA750070_8.jpg Fig8: Immunohistochemical analysis of paraffin-embedded human lung tissue with Rabbit anti-Smad4 antibody (HA750070) at 1/200 dilution.

The section was pre-treated using heat mediated antigen retrieval with sodium citrate buffer (pH 6.0) (high pressure) for 2 minutes. The tissues were blocked in 1% BSA for 20 minutes at room temperature, washed with ddH2O and PBS, and then probed with the primary antibody (HA750070) at 1/200 dilution for 1 hour at room temperature. The detection was performed using an HRP conjugated compact polymer system. DAB was used as the chromogen. Tissues were counterstained with hematoxylin and mounted with DPX.
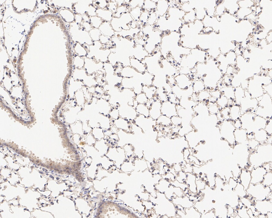
HA750070_9.jpg Fig9: Immunohistochemical analysis of paraffin-embedded mouse lung tissue with Rabbit anti-Smad4 antibody (HA750070) at 1/200 dilution.

The section was pre-treated using heat mediated antigen retrieval with sodium citrate buffer (pH 6.0) (high pressure) for 2 minutes. The tissues were blocked in 1% BSA for 20 minutes at room temperature, washed with ddH2O and PBS, and then probed with the primary antibody (HA750070) at 1/200 dilution for 1 hour at room temperature. The detection was performed using an HRP conjugated compact polymer system. DAB was used as the chromogen. Tissues were counterstained with hematoxylin and mounted with DPX.
HA750070_10.jpg Fig10: Immunohistochemical analysis of paraffin-embedded rat lung tissue with Rabbit anti-Smad4 antibody (HA750070) at 1/200 dilution.

The section was pre-treated using heat mediated antigen retrieval with sodium citrate buffer (pH 6.0) (high pressure) for 2 minutes. The tissues were blocked in 1% BSA for 20 minutes at room temperature, washed with ddH2O and PBS, and then probed with the primary antibody (HA750070) at 1/200 dilution for 1 hour at room temperature. The detection was performed using an HRP conjugated compact polymer system. DAB was used as the chromogen. Tissues were counterstained with hematoxylin and mounted with DPX.
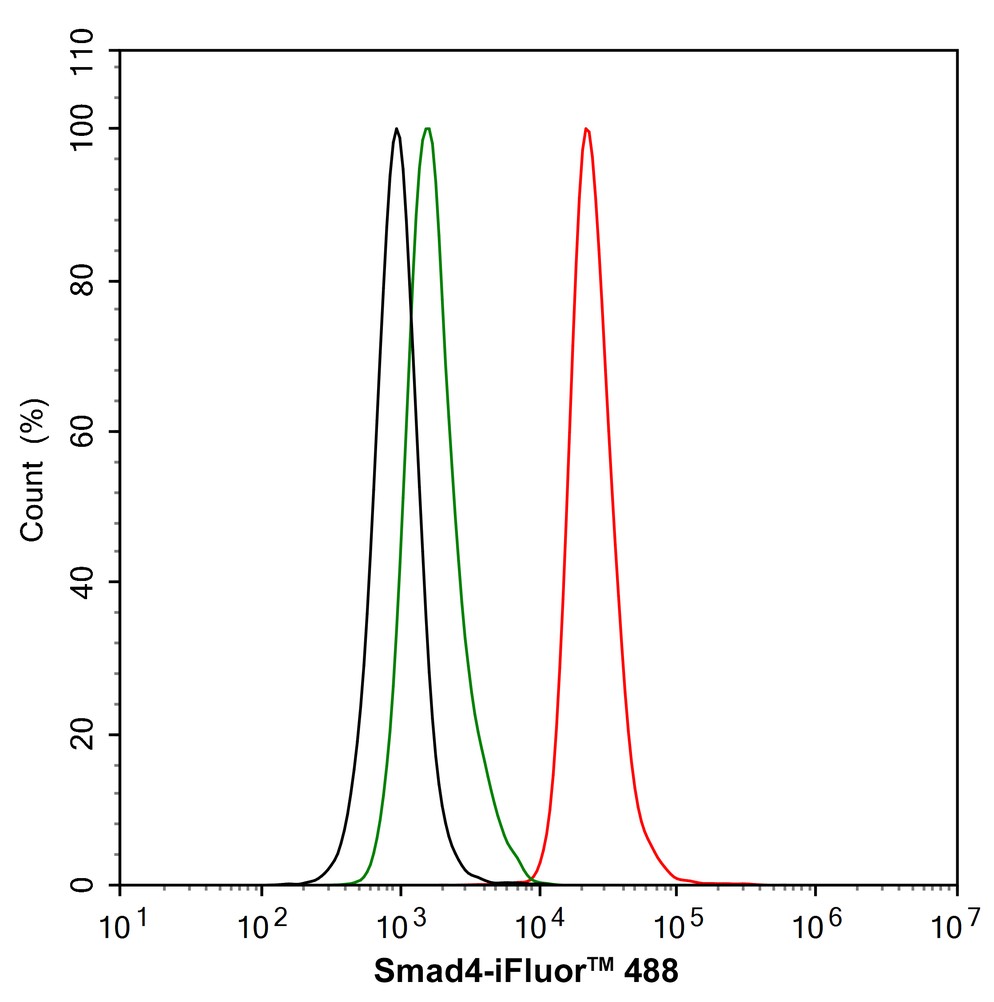
HA750070_11.jpg Fig11: Flow cytometric analysis of HeLa cells labeling Smad4.

Cells were fixed and permeabilized. Then stained with the primary antibody (HA750070, 1/1,000) (red) compared with Rabbit IgG Isotype Control (green). After incubation of the primary antibody at +4℃ for an hour, the cells were stained with a iFluor™ 488 conjugate-Goat anti-Rabbit IgG Secondary antibody (HA1121) at 1/1,000 dilution for 30 minutes at +4℃. Unlabelled sample was used as a control (cells without incubation with primary antibody; black).
HA750070_12.jpg Fig12: Flow cytometric analysis of Neuro-2a cells labeling Smad4.

Cells were fixed and permeabilized. Then stained with the primary antibody (HA750070, 1/1,000) (red) compared with Rabbit IgG Isotype Control (green). After incubation of the primary antibody at +4℃ for an hour, the cells were stained with a iFluor™ 488 conjugate-Goat anti-Rabbit IgG Secondary antibody (HA1121) at 1/1,000 dilution for 30 minutes at +4℃. Unlabelled sample was used as a control (cells without incubation with primary antibody; black).
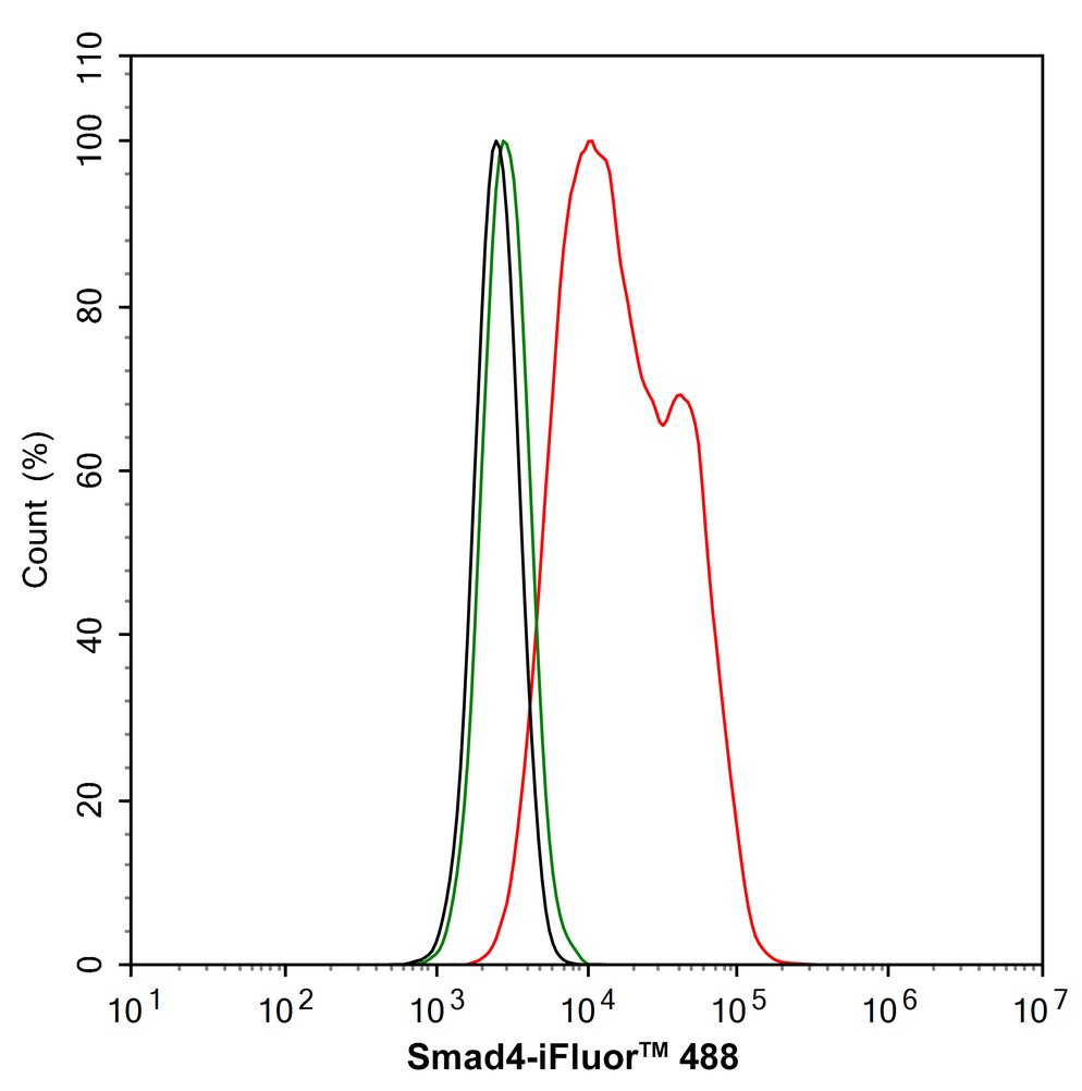
HA750070_13.jpg Fig13: Flow cytometric analysis of PC-12 cells labeling Smad4.

Cells were fixed and permeabilized. Then stained with the primary antibody (HA750070, 1/1,000) (red) compared with Rabbit IgG Isotype Control (green). After incubation of the primary antibody at +4℃ for an hour, the cells were stained with a iFluor™ 488 conjugate-Goat anti-Rabbit IgG Secondary antibody (HA1121) at 1/1,000 dilution for 30 minutes at +4℃. Unlabelled sample was used as a control (cells without incubation with primary antibody; black).
Note: All products are “FOR RESEARCH USE ONLY AND ARE NOT INTENDED FOR DIAGNOSTIC OR THERAPEUTIC USE”.