Beta III Tubulin Recombinant Rabbit Monoclonal Antibody [SP06-00]
cat.: HA750071
Product Type: Recombinant Rabbit monoclonal IgG, primary antibodies
Species reactivity: Human, Mouse, Rat
Applications: WB, IHC-P, IP, FC, IHC-Fr, IF-Cell
Clonality: Monoclonal
Clone number: SP06-00
Form: Liquid
Storage condition: Store at +4℃ after thawing. Aliquot store at -20℃ or -80℃. Avoid repeated freeze / thaw cycles.
Storage buffer: 1*PBS (pH7.4).
Concentration: 1ug/ul
Purification: Protein A affinity purified.
Molecular weight: Predicted band size: 50 kDa
Isotype: IgG
Immunogen: Synthetic peptide within Human Tubulin beta-III aa 392-441 / 450.
Positive control: SH-SY5Y cell lysate, HeLa cell lysate, Neuro-2a cell lysate, NIH/3T3 cell lysate, PC-12 cell lysate, C6 cell lysate, mouse brain tissue lysate, rat brain tissue lysate, SH-SY5Y, Neuro-2a, PC-12, mouse hippocampus (DG) tissue, mouse hippocampus (CA1) tissue, mouse brain tissue.
Subcellular location: Cytoplasm.
Recommended Dilutions:
  WB
  IHC-P
  FC
  IP
  IHC-Fr
  IF-Cell

1:20,000
1:50-1:200
1:100
1-2μg/sample
1:100
1:100-1:200
Uniprot #: SwissProt: Q13509 Human | Q9ERD7 Mouse | Q4QRB4 Rat
Alternative names: beta 3 tubulin beta 4 beta-4 CDCBM CDCBM1 CFEOM3 CFEOM3A FEOM3 M(beta)3 M(beta)6 MC1R Neuron specific beta III Tubulin Neuron-specific class III beta-tubulin QccE-11995 QccE-15186 TBB3_HUMAN Tubb 3 TUBB3 TUBB4 Tubulin beta 3 Tubulin beta 3 chain Tubulin beta 4 Tubulin beta III Tubulin beta-3 chain Tubulin beta-4 chain Tubulin beta-III tuj 1 tuj1
Images
HA750071_1.jpg Fig1: Western blot analysis of Beta III Tubulin on different lysates with Rabbit anti-Beta III Tubulin antibody (HA750071) at 1/20,000 dilution.

Lane 1: SH-SY5Y cell lysate (15 µg/Lane)
Lane 2: HeLa cell lysate (15 µg/Lane)
Lane 3: Neuro-2a cell lysate (15 µg/Lane)
Lane 4: NIH/3T3 cell lysate (15 µg/Lane)
Lane 5: PC-12 cell lysate (15 µg/Lane)
Lane 6: C6 cell lysate (15 µg/Lane)
Lane 7: Mouse brain tissue lysate (20 µg/Lane)
Lane 8: Rat brain tissue lysate (20 µg/Lane)

Predicted band size: 50 kDa
Observed band size: 50 kDa

Exposure time: 3 minutes 54 seconds;

4-20% SDS-PAGE gel.

Proteins were transferred to a PVDF membrane and blocked with 5% NFDM/TBST for 1 hour at room temperature. The primary antibody (HA750071) at 1/20,000 dilution was used in 5% NFDM/TBST at room temperature for 2 hours. Goat Anti-Rabbit IgG - HRP Secondary Antibody (HA1001) at 1:50,000 dilution was used for 1 hour at room temperature.
HA750071_2.jpg Fig2: Immunocytochemistry analysis of SH-SY5Y cells labeling Beta III Tubulin with Rabbit anti-Beta III Tubulin antibody (HA750071) at 1/100 dilution.

Cells were fixed in 4% paraformaldehyde for 20 minutes at room temperature, permeabilized with 0.1% Triton X-100 in PBS for 5 minutes at room temperature, then blocked with 1% BSA in 10% negative goat serum for 1 hour at room temperature. Cells were then incubated with Rabbit anti-Beta III Tubulin antibody (HA750071) at 1/100 dilution in 1% BSA in PBST overnight at 4 ℃. Goat Anti-Rabbit IgG H&L (iFluor™ 488, HA1121) was used as the secondary antibody at 1/1,000 dilution. PBS instead of the primary antibody was used as the secondary antibody only control. Nuclear DNA was labelled in blue with DAPI.

Beta tubulin (M1305-2, red) was stained at 1/100 dilution overnight at +4℃. Goat Anti-Mouse IgG H&L (iFluor™ 594, HA1126) was used as the secondary antibody at 1/1,000 dilution.
HA750071_3.jpg Fig3: Immunocytochemistry analysis of Neuro-2a cells labeling Beta III Tubulin with Rabbit anti-Beta III Tubulin antibody (HA750071) at 1/200 dilution.

Cells were fixed in 4% paraformaldehyde for 20 minutes at room temperature, permeabilized with 0.1% Triton X-100 in PBS for 5 minutes at room temperature, then blocked with 1% BSA in 10% negative goat serum for 1 hour at room temperature. Cells were then incubated with Rabbit anti-Beta III Tubulin antibody (HA750071) at 1/200 dilution in 1% BSA in PBST overnight at 4 ℃. Goat Anti-Rabbit IgG H&L (iFluor™ 488, HA1121) was used as the secondary antibody at 1/1,000 dilution. PBS instead of the primary antibody was used as the secondary antibody only control. Nuclear DNA was labelled in blue with DAPI.
HA750071_4.jpg Fig4: Immunocytochemistry analysis of PC-12 cells labeling Beta III Tubulin with Rabbit anti-Beta III Tubulin antibody (HA750071) at 1/100 dilution.

Cells were fixed in 4% paraformaldehyde for 20 minutes at room temperature, permeabilized with 0.1% Triton X-100 in PBS for 5 minutes at room temperature, then blocked with 1% BSA in 10% negative goat serum for 1 hour at room temperature. Cells were then incubated with Rabbit anti-Beta III Tubulin antibody (HA750071) at 1/100 dilution in 1% BSA in PBST overnight at 4 ℃. Goat Anti-Rabbit IgG H&L (iFluor™ 488, HA1121) was used as the secondary antibody at 1/1,000 dilution. PBS instead of the primary antibody was used as the secondary antibody only control. Nuclear DNA was labelled in blue with DAPI.

Beta tubulin (M1305-2, red) was stained at 1/100 dilution overnight at +4℃. Goat Anti-Mouse IgG H&L (iFluor™ 594, HA1126) was used as the secondary antibody at 1/1,000 dilution.
HA750071_5.jpg Fig5: Immunofluorescence analysis of frozen mouse hippocampus (DG) tissue labeling Beta III Tubulin with Rabbit anti-Beta III Tubulin antibody (HA750071).

The tissues were blocked in 3% BSA for 30 minutes at room temperature, washed with PBS, and then probed with the primary antibody (HA750071, green) at 1/100 dilution overnight at 4℃, washed with PBS. Goat Anti-Rabbit IgG H&L (Alexa Fluor® 488) was used as the secondary antibody at 1/200 dilution. Nuclei were counterstained with DAPI (blue). Image acquisition was performed with KFBIO KF-FL-400 Scanner.
HA750071_6.jpg Fig6: Immunofluorescence analysis of frozen mouse hippocampus (CA1) tissue labeling Beta III Tubulin with Rabbit anti-Beta III Tubulin antibody (HA750071).

The tissues were blocked in 3% BSA for 30 minutes at room temperature, washed with PBS, and then probed with the primary antibody (HA750071, green) at 1/100 dilution overnight at 4℃, washed with PBS. Goat Anti-Rabbit IgG H&L (Alexa Fluor® 488) was used as the secondary antibody at 1/200 dilution. Nuclei were counterstained with DAPI (blue). Image acquisition was performed with KFBIO KF-FL-400 Scanner.
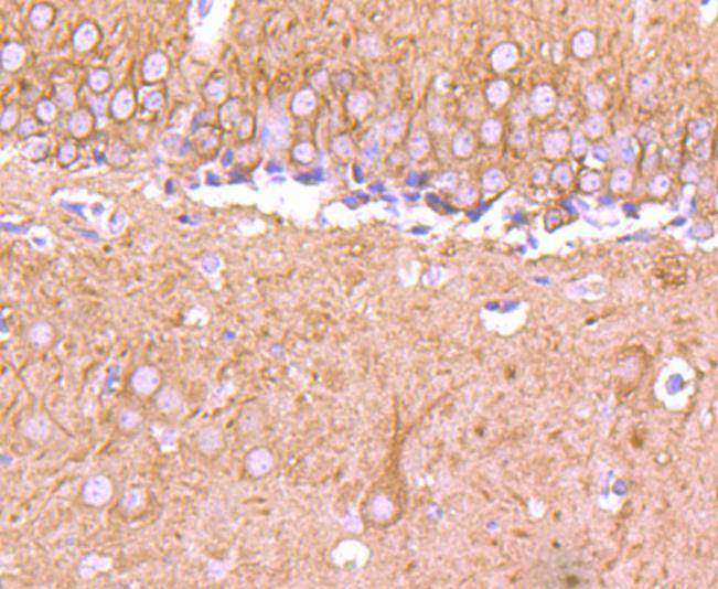
HA750071_7.jpg Fig7: Immunohistochemical analysis of paraffin-embedded mouse brain tissue using anti-Beta III Tubulin antibody.

The section was pre-treated using heat mediated antigen retrieval with Tris-EDTA buffer (pH 8.0-8.4) for 20 minutes.The tissues were blocked in 5% BSA for 30 minutes at room temperature, washed with ddH2O and PBS, and then probed with the primary antibody (HA750071, 1/50) for 30 minutes at room temperature. The detection was performed using an HRP conjugated compact polymer system. DAB was used as the chromogen. Tissues were counterstained with hematoxylin and mounted with DPX.
HA750071_8.jpg Fig8: Flow cytometric analysis of SH-SY5Y cells labeling Beta III Tubulin.

Cells were fixed and permeabilized. Then stained with the primary antibody (HA750071, 1/100) (red) compared with Rabbit IgG Isotype Control (green). After incubation of the primary antibody at +4℃ for an hour, the cells were stained with a iFluor™ 488 conjugate-Goat anti-Rabbit IgG Secondary antibody (HA1121) at 1/1,000 dilution for 30 minutes at +4℃. Unlabelled sample was used as a control (cells without incubation with primary antibody; black).
HA750071_9.jpg Fig9: Flow cytometric analysis of Neuro-2a cells labeling Beta III Tubulin.

Cells were fixed and permeabilized. Then stained with the primary antibody (HA750071, 1/100) (red) compared with Rabbit IgG Isotype Control (green). After incubation of the primary antibody at +4℃ for an hour, the cells were stained with a iFluor™ 488 conjugate-Goat anti-Rabbit IgG Secondary antibody (HA1121) at 1/1,000 dilution for 30 minutes at +4℃. Unlabelled sample was used as a control (cells without incubation with primary antibody; black).
HA750071_10.jpg Fig10: Flow cytometric analysis of PC-12 cells labeling Beta III Tubulin.

Cells were fixed and permeabilized. Then stained with the primary antibody (HA750071, 1/100) (red) compared with Rabbit IgG Isotype Control (green). After incubation of the primary antibody at +4℃ for an hour, the cells were stained with a iFluor™ 488 conjugate-Goat anti-Rabbit IgG Secondary antibody (HA1121) at 1/1,000 dilution for 30 minutes at +4℃. Unlabelled sample was used as a control (cells without incubation with primary antibody; black).
HA750071_11.jpg Fig11: Beta III Tubulin was immunoprecipitated from 0.2 mg SH-SY5Y cell lysate with HA750071 at 2 µg/10 µl beads. Western blot was performed from the immunoprecipitate using HA750071 at 1/10,000 dilution. Anti-Rabbit IgG for IP Nano-secondary antibody (NBI01H) at 1/5,000 dilution was used for 1 hour at room temperature.

Lane 1: SH-SY5Y cell lysate (input)
Lane 2: HA750071 IP in SH-SY5Y cell lysate
Lane 3: Rabbit IgG instead of HA750071 in SH-SY5Y cell lysate

Blocking/Dilution buffer: 5% NFDM/TBST
Exposure time: 2 seconds; ECL: K1801
Note: All products are “FOR RESEARCH USE ONLY AND ARE NOT INTENDED FOR DIAGNOSTIC OR THERAPEUTIC USE”.