Smad2 Recombinant Rabbit Monoclonal Antibody [SP06-05]
cat.: HA750073
Product Type: Recombinant Rabbit monoclonal IgG, primary antibodies
Species reactivity: Human, Mouse, Rat
Applications: WB, IF-Cell, IHC-P, IP, FC
Clonality: Monoclonal
Clone number: SP06-05
Form: Liquid
Storage condition: Store at +4℃ after thawing. Aliquot store at -20℃ or -80℃. Avoid repeated freeze / thaw cycles.
Storage buffer: 1*PBS (pH7.4).
Concentration: 1ug/ul
Purification: Protein A affinity purified.
Molecular weight: Predicted band size: 52 kDa
Isotype: IgG
Immunogen: Synthetic peptide within human Smad2 aa 220-270.
Positive control: HeLa cell lysate, HT-29 cell lysate, Jurkat cell lysate, HL-60 cell lysate, C2C12 cell lysate, mouse lung tissue lysate, mouse placenta tissue lysate, human cerebellum tissue, mouse cerebellum tissue, rat cerebellum tissue, HepG2, NIH/3T3.
Subcellular location: Cytoplasm, Nucleus.
Recommended Dilutions:
  WB
  IF-Cell
  IHC-P
  FC
  IP

1:1,000-1:5,000
1:100
1:200-1:1,000
1:1,000
Use at an assay dependent concentration.
Uniprot #: SwissProt: Q15796 Human | Q62432 Mouse | O70436 Rat
Alternative names: Drosophila, homolog of, MADR2 hMAD-2 HsMAD2 JV18 JV18-1 JV181 MAD MAD homolog 2 MAD Related Protein 2 Mad-related protein 2 MADH2 MADR2 MGC22139 MGC34440 Mother against DPP homolog 2 Mothers against decapentaplegic homolog 2 Mothers against decapentaplegic, Drosophila, homolog of, 2 Mothers against DPP homolog 2 OTTHUMP00000163489 Sma and Mad related protein 2 Sma- and Mad-related protein 2 MAD SMAD 2 SMAD family member 2 SMAD, mothers against DPP homolog 2 SMAD2 SMAD2_HUMAN
Images
HA750073_1.jpg Fig1: Western blot analysis of Smad2 on different lysates with Rabbit anti-Smad2 antibody (HA750073) at 1/5,000 dilution.

Lane 1: HeLa cell lysate
Lane 2: HT-29 cell lysate
Lane 3: Jurkat cell lysate
Lane 4: HL-60 cell lysate

Lysates/proteins at 15 µg/Lane.

Predicted band size: 52 kDa
Observed band size: 58 kDa

Exposure time: 1 minute 20 seconds;

4-20% SDS-PAGE gel.

Proteins were transferred to a PVDF membrane and blocked with 5% NFDM/TBST for 1 hour at room temperature. The primary antibody (HA750073) at 1/5,000 dilution was used in 5% NFDM/TBST at room temperature for 2 hours. Goat Anti-Rabbit IgG - HRP Secondary Antibody (HA1001) at 1:50,000 dilution was used for 1 hour at room temperature.
HA750073_2.jpg Fig2: Western blot analysis of Smad2 on different lysates with Rabbit anti-Smad2 antibody (HA750073) at 1/1,000 dilution.

Lane 1: Jurkat cell lysate (15 µg/Lane)
Lane 2: C2C12 cell lysate (15 µg/Lane)
Lane 3: Mouse lung tissue lysate (30 µg/Lane)
Lane 4: Mouse placenta tissue lysate (30 µg/Lane)

Predicted band size: 52 kDa
Observed band size: 58 kDa

Exposure time: 1 minute 21 seconds;

4-20% SDS-PAGE gel.

Proteins were transferred to a PVDF membrane and blocked with 5% NFDM/TBST for 1 hour at room temperature. The primary antibody (HA750073) at 1/1,000 dilution was used in 5% NFDM/TBST at 4℃ overnight. Goat Anti-Rabbit IgG - HRP Secondary Antibody (HA1001) at 1/50,000 dilution was used for 1 hour at room temperature.
HA750073_3.jpg Fig3: Western blot analysis of Smad2 with anti-Smad2 antibody (HA750073) at 1:500 dilution.
Lane 1: Wild-type HaCaT whole cell lysate (15 µg).
Lane 2: Smad2 knockout HaCaT whole cell lysate (15 µg).

HA750073 was shown to specifically react with Smad2 in wild-type HaCaT cells. NO band was observed when Smad2 knockout sample was tested. Wild-type and Smad2 knockout samples were subjected to SDS-PAGE. Proteins were transferred to a PVDF membrane and blocked with 5% NFDM in TBST for 1 hour at room temperature. The primary antibody (HA750073, 1:500) was used in 5% BSA at room temperature for 2 hours. Goat anti-Rabbit IgG-HRP antibody at 1:10,000 dilution was used for 1 hour at room temperature.
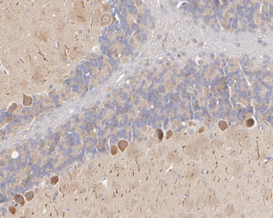
HA750073_4.jpg Fig4: Immunohistochemical analysis of paraffin-embedded human cerebellum tissue with Rabbit anti-Smad2 antibody (HA750073) at 1/200 dilution.

The section was pre-treated using heat mediated antigen retrieval with sodium citrate buffer (pH 6.0) (high pressure) for 2 minutes. The tissues were blocked in 1% BSA for 20 minutes at room temperature, washed with ddH2O and PBS, and then probed with the primary antibody (HA750073) at 1/200 dilution for 1 hour at room temperature. The detection was performed using an HRP conjugated compact polymer system. DAB was used as the chromogen. Tissues were counterstained with hematoxylin and mounted with DPX.
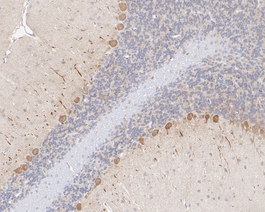
HA750073_5.jpg Fig5: Immunohistochemical analysis of paraffin-embedded mouse cerebellum tissue with Rabbit anti-Smad2 antibody (HA750073) at 1/1,000 dilution.

The section was pre-treated using heat mediated antigen retrieval with sodium citrate buffer (pH 6.0) (high pressure) for 2 minutes. The tissues were blocked in 1% BSA for 20 minutes at room temperature, washed with ddH2O and PBS, and then probed with the primary antibody (HA750073) at 1/1,000 dilution for 1 hour at room temperature. The detection was performed using an HRP conjugated compact polymer system. DAB was used as the chromogen. Tissues were counterstained with hematoxylin and mounted with DPX.
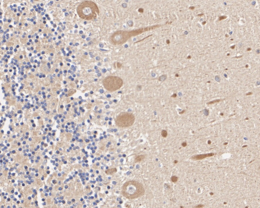
HA750073_6.jpg Fig6: Immunohistochemical analysis of paraffin-embedded rat cerebellum tissue with Rabbit anti-Smad2 antibody (HA750073) at 1/200 dilution.

The section was pre-treated using heat mediated antigen retrieval with sodium citrate buffer (pH 6.0) (high pressure) for 2 minutes. The tissues were blocked in 1% BSA for 20 minutes at room temperature, washed with ddH2O and PBS, and then probed with the primary antibody (HA750073) at 1/200 dilution for 1 hour at room temperature. The detection was performed using an HRP conjugated compact polymer system. DAB was used as the chromogen. Tissues were counterstained with hematoxylin and mounted with DPX.
HA750073_7.jpg Fig7: Immunocytochemistry analysis of HepG2 cells labeling Smad2 with Rabbit anti-Smad2 antibody (HA750073) at 1/100 dilution.

Cells were fixed in 4% paraformaldehyde for 20 minutes at room temperature, permeabilized with 0.1% Triton X-100 in PBS for 5 minutes at room temperature, then blocked with 1% BSA in 10% negative goat serum for 1 hour at room temperature. Cells were then incubated with Rabbit anti-Smad2 antibody (HA750073) at 1/100 dilution in 1% BSA in PBST overnight at 4 ℃. Goat Anti-Rabbit IgG H&L (iFluor™ 488, HA1121) was used as the secondary antibody at 1/1,000 dilution. PBS instead of the primary antibody was used as the secondary antibody only control. Nuclear DNA was labelled in blue with DAPI. Beta tubulin (M1305-2, red) was stained at 1/100 dilution overnight at +4℃. Goat Anti-Mouse IgG H&L (iFluor™ 594, HA1126) was used as the secondary antibody at 1/1,000 dilution.
HA750073_8.jpg Fig8: Immunocytochemistry analysis of NIH/3T3 cells labeling Smad2 with Rabbit anti-Smad2 antibody (HA750073) at 1/100 dilution.

Cells were fixed in 4% paraformaldehyde for 20 minutes at room temperature, permeabilized with 0.1% Triton X-100 in PBS for 5 minutes at room temperature, then blocked with 1% BSA in 10% negative goat serum for 1 hour at room temperature. Cells were then incubated with Rabbit anti-Smad2 antibody (HA750073) at 1/100 dilution in 1% BSA in PBST overnight at 4 ℃. Goat Anti-Rabbit IgG H&L (iFluor™ 488, HA1121) was used as the secondary antibody at 1/1,000 dilution. PBS instead of the primary antibody was used as the secondary antibody only control. Nuclear DNA was labelled in blue with DAPI. Beta tubulin (M1305-2, red) was stained at 1/100 dilution overnight at +4℃. Goat Anti-Mouse IgG H&L (iFluor™ 594, HA1126) was used as the secondary antibody at 1/1,000 dilution.
HA750073_9.jpg Fig9: Flow cytometric analysis of HepG2 cells labeling Smad2.

Cells were fixed and permeabilized. Then stained with the primary antibody (HA750073, 1/1,000) (red) compared with Rabbit IgG Isotype Control (green). After incubation of the primary antibody at +4℃ for an hour, the cells were stained with a iFluor™ 488 conjugate-Goat anti-Rabbit IgG Secondary antibody (HA1121) at 1/1,000 dilution for 30 minutes at +4℃. Unlabelled sample was used as a control (cells without incubation with primary antibody; black).
HA750073_10.jpg Fig10: Flow cytometric analysis of NIH/3T3 cells labeling Smad2.

Cells were fixed and permeabilized. Then stained with the primary antibody (HA750073, 1/1,000) (red) compared with Rabbit IgG Isotype Control (green). After incubation of the primary antibody at +4℃ for an hour, the cells were stained with a iFluor™ 488 conjugate-Goat anti-Rabbit IgG Secondary antibody (HA1121) at 1/1,000 dilution for 30 minutes at +4℃. Unlabelled sample was used as a control (cells without incubation with primary antibody; black).
Note: All products are “FOR RESEARCH USE ONLY AND ARE NOT INTENDED FOR DIAGNOSTIC OR THERAPEUTIC USE”.