Survivin Recombinant Rabbit Monoclonal Antibody [SP07-06]
cat.: HA750076
Product Type: Recombinant Rabbit monoclonal IgG, primary antibodies
Species reactivity: Human, Mouse, Rat
Applications: WB, IF-Cell, IF-Tissue, IHC-P, FC
Clonality: Monoclonal
Clone number: SP07-06
Form: Liquid
Storage condition: Store at +4℃ after thawing. Aliquot store at -20℃ or -80℃. Avoid repeated freeze / thaw cycles.
Storage buffer: 1*PBS (pH7.4).
Concentration: 1ug/ul
Purification: Protein A affinity purified.
Molecular weight: Predicted band size: 16 kDa
Isotype: IgG
Immunogen: Synthetic peptide within N-terminal human Survivin.
Positive control: Jurkat cell lysate, HeLa cell lysate, 293T cell lysate, RAW264.7 cell lysate, NIH/3T3 cell lysate, C6 cell lysate, PC-12 cell lysate, RAW264.7, HeLa treated with 100ng/mL Nocodazole for 18 hours cell lysate, NIH/3T3 treated with 100ng/mL Nocodazole for 18 hours cell lysate, C6, human tonsil tissue, human lymph node tissue.
Subcellular location: Cytoplasm, Nucleus, Chromosome, Midbody.
Recommended Dilutions:
  WB
  IF-Cell
  IF-Tissue
  IHC-P
  FC

1:1,000
1:100
1:50-1:200
1:200-1:500
1:1,000
Uniprot #: SwissProt: O15392 Human | O70201 Mouse | Q9JHY7 Rat
Alternative names: API4 Apoptosis inhibitor 4 Apoptosis inhibitor survivin Apoptosis inhibitor4 Baculoviral IAP repeat containing 5 Baculoviral IAP repeat containing protein 5 Baculoviral IAP repeat-containing protein 5 BIRC 5 BIRC5 BIRC5_HUMAN EPR 1 IAP4 Survivin variant 3 alpha SVV TIAP
Images
HA750076_1.jpg Fig1: Western blot analysis of Survivin on different lysates with Rabbit anti-Survivin antibody (HA750076) at 1/1,000 dilution.

Lane 1: Jurkat cell lysate
Lane 2: HeLa cell lysate
Lane 3: 293T cell lysate
Lane 4: RAW264.7 cell lysate
Lane 5: NIH/3T3 cell lysate
Lane 6: C6 cell lysate
Lane 7: PC-12 cell lysate

Lysates/proteins at 20 µg/Lane.

Predicted band size: 16 kDa
Observed band size: 16 kDa

Exposure time: 2 minutes; ECL: K1801;

4-20% SDS-PAGE gel.

Proteins were transferred to a PVDF membrane and blocked with 5% NFDM/TBST for 1 hour at room temperature. The primary antibody (HA750076) at 1/1,000 dilution was used in 5% NFDM/TBST at 4℃ overnight. Goat Anti-Rabbit IgG - HRP Secondary Antibody (HA1001) at 1/50,000 dilution was used for 1 hour at room temperature.
HA750076_2.jpg Fig2: Immunocytochemistry analysis of RAW264.7 cells labeling Survivin with Rabbit anti-Survivin antibody (HA750076) at 1/100 dilution.

Cells were fixed in 4% paraformaldehyde for 15 minutes at room temperature, permeabilized with 0.1% Triton X-100 in PBS for 15 minutes at room temperature, then blocked with 1% BSA in 10% negative goat serum for 1 hour at room temperature. Cells were then incubated with Rabbit anti-Survivin antibody (HA750076) at 1/100 dilution in 1% BSA in PBST overnight at 4 ℃. Goat Anti-Rabbit IgG H&L (iFluor™ 488, HA1121) was used as the secondary antibody at 1/1,000 dilution. PBS instead of the primary antibody was used as the secondary antibody only control. Nuclear DNA was labelled in blue with DAPI.

Beta tubulin (HA601187, red) was stained at 1/100 dilution overnight at +4℃. Goat Anti-Mouse IgG H&L (iFluor™ 594, HA1126) was used as the secondary antibody at 1/1,000 dilution.
HA750076_3.jpg Fig3: Western blot analysis of Survivin on different lysates with Rabbit anti-Survivin antibody (HA750076) at 1/1,000 dilution.

Lane 1: HeLa cell lysate
Lane 2: HeLa treated with 100ng/mL Nocodazole for 18 hours cell lysate
Lane 3: NIH/3T3 cell lysate
Lane 4: NIH/3T3 treated with 100ng/mL Nocodazole for 18 hours cell lysate

Lysates/proteins at 20 µg/Lane.

Predicted band size: 16 kDa
Observed band size: 16 kDa

Exposure time: Lane 1-2: 30 seconds; Lane 3-4: 1 minute 2 seconds; ECL: K1801;

4-20% SDS-PAGE gel.

Proteins were transferred to a PVDF membrane and blocked with 5% NFDM/TBST for 1 hour at room temperature. The primary antibody (HA750076) at 1/1,000 dilution was used in primary antibody dilution (K1803) at 4℃ overnight. Goat Anti-Rabbit IgG - HRP Secondary Antibody (HA1001) at 1/50,000 dilution was used for 1 hour at room temperature.
HA750076_4.jpg Fig4: Immunocytochemistry analysis of C6 cells labeling Survivin with Rabbit anti-Survivin antibody (HA750076) at 1/100 dilution.

Cells were fixed in 4% paraformaldehyde for 15 minutes at room temperature, permeabilized with 0.1% Triton X-100 in PBS for 15 minutes at room temperature, then blocked with 1% BSA in 10% negative goat serum for 1 hour at room temperature. Cells were then incubated with Rabbit anti-Survivin antibody (HA750076) at 1/100 dilution in 1% BSA in PBST overnight at 4 ℃. Goat Anti-Rabbit IgG H&L (iFluor™ 488, HA1121) was used as the secondary antibody at 1/1,000 dilution. PBS instead of the primary antibody was used as the secondary antibody only control. Nuclear DNA was labelled in blue with DAPI.

Beta tubulin (HA601187, red) was stained at 1/100 dilution overnight at +4℃. Goat Anti-Mouse IgG H&L (iFluor™ 594, HA1126) was used as the secondary antibody at 1/1,000 dilution.
HA750076_5.jpg Fig5: Immunohistochemical analysis of paraffin-embedded human tonsil tissue with Rabbit anti-Survivin antibody (HA750076) at 1/200 dilution.

The section was pre-treated using heat mediated antigen retrieval with sodium citrate buffer (pH 6.0) (high pressure) for 2 minutes. The tissues were blocked in 1% BSA for 20 minutes at room temperature, washed with ddH2O and PBS, and then probed with the primary antibody (HA750076) at 1/200 dilution for 1 hour at room temperature. The detection was performed using an HRP conjugated compact polymer system. DAB was used as the chromogen. Tissues were counterstained with hematoxylin and mounted with DPX.
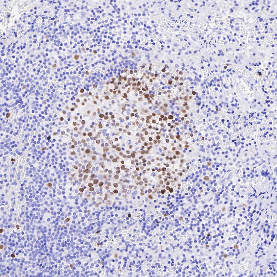
HA750076_6.jpg Fig6: Immunohistochemical analysis of paraffin-embedded human lymph node tissue using anti-Survivin antibody. The section was pre-treated using heat mediated antigen retrieval with sodium citrate buffer (pH 6.0) (high pressure) for 2 minutes. The tissues were blocked in 1% BSA for 30 minutes at room temperature, washed with ddH2O and PBS, and then probed with the primary antibody (HA750076, 1/400) for 30 minutes at room temperature. The detection was performed using an HRP conjugated compact polymer system. DAB was used as the chromogen. Tissues were counterstained with hematoxylin and mounted with DPX.
HA750076_7.jpg Fig7: Flow cytometric analysis of RAW264.7 cells labeling Survivin.

Cells were fixed and permeabilized. Then stained with the primary antibody (HA750076, 1/1,000) (red) compared with Rabbit IgG Isotype Control (green). After incubation of the primary antibody at +4℃ for an hour, the cells were stained with a iFluor™ 488 conjugate-Goat anti-Rabbit IgG Secondary antibody (HA1121) at 1/1,000 dilution for 30 minutes at +4℃. Unlabelled sample was used as a control (cells without incubation with primary antibody; black).
HA750076_8.jpg Fig8: Flow cytometric analysis of C6 cells labeling Survivin.

Cells were fixed and permeabilized. Then stained with the primary antibody (HA750076, 1/1,000) (red) compared with Rabbit IgG Isotype Control (green). After incubation of the primary antibody at +4℃ for an hour, the cells were stained with a iFluor™ 488 conjugate-Goat anti-Rabbit IgG Secondary antibody (HA1121) at 1/1,000 dilution for 30 minutes at +4℃. Unlabelled sample was used as a control (cells without incubation with primary antibody; black).
Note: All products are “FOR RESEARCH USE ONLY AND ARE NOT INTENDED FOR DIAGNOSTIC OR THERAPEUTIC USE”.