MLH1 Recombinant Rabbit Monoclonal Antibody [SP08-04]
cat.: HA750077
Product Type: Recombinant Rabbit monoclonal IgG, primary antibodies
Species reactivity: Human, Mouse, Rat
Applications: WB, IF-Cell, IF-Tissue, IHC-P
Clonality: Monoclonal
Clone number: SP08-04
Form: Liquid
Storage condition: Store at +4℃ after thawing. Aliquot store at -20℃ or -80℃. Avoid repeated freeze / thaw cycles.
Storage buffer: 1*PBS (pH7.4).
Concentration: 1ug/ul
Purification: Protein A affinity purified.
Molecular weight: Predicted band size: 85 kDa
Isotype: IgG
Immunogen: Synthetic peptide within Human MLH1 aa 707-756 / 756.
Positive control: B16F10 cell lysate, HeLa cell lysate, A549 cell lysate, MCF7 cell lysate, HepG2 cell lysate, HepG2, rat large intestine tissue, human tonsil tissue, mouse testis tissue, Hela.
Subcellular location: Nucleus.
Recommended Dilutions:
  WB
  IF-Cell
  IHC-P
  IF-Tissue

1:5,000
1:50-1:200
1:50-1:200
1:50-1:200
Uniprot #: SwissProt: P40692 Human | Q9JK91 Mouse | P97679 Rat
Alternative names: COCA 2 COCA2 DNA mismatch repair protein Mlh1 FCC 2 FCC2 hMLH 1 hMLH1 HNPCC 2 HNPCC HNPCC2 MGC5172 MLH 1 MLH1 MLH1_HUMAN MutL homolog 1 (E. coli) MutL homolog 1 MutL homolog 1 colon cancer nonpolyposis type 2 MutL homolog 1, colon cancer, nonpolyposis type 2 (E. coli) MutL protein homolog 1 MutL, E. coli, homolog of, 1
Images
HA750077_1.jpg Fig1: All lanes: Western blot analysis of MLH1 with anti-MLH1 antibody [SP08-04] (HA750077) at 1:1,000 dilution.

Lane 1: Wild-type B16F10 whole cell lysate.
Lane 2: MLH1 knockout B16F10 whole cell lysate.

ET1604-41 was shown to specifically react with MLH1 in wild-type B16F10 cells. No band was observed when MLH1 knockout samples were tested. Wild-type and MLH1 knockout samples were subjected to SDS-PAGE. Proteins were transferred to a PVDF membrane and blocked with 5% NFDM in TBST for 1 hour at room temperature. The primary Anti-MLH1 antibody (ET1604-41, 1/1,000) and Anti-Vinculin antibody (ET1705-94, 1/5,000) were used in 5% BSA at room temperature for 2 hours. Goat Anti-Rabbit IgG H&L (HRP) Secondary Antibody (HA1001) at 1:200,000 dilution was used for 1 hour at room temperature.

Cell lysate was provided by Ubigene Biosciences (Ubigene Biosciences Co., Ltd., Guangzhou, China).
HA750077_2.jpg Fig2: Western blot analysis of MLH1 on different lysates with Rabbit anti-MLH1 antibody (HA750077) at 1/5,000 dilution.

Lane 1: HeLa cell lysate
Lane 2: HCT 116 cell lysate (negative)
Lane 3: A549 cell lysate
Lane 4: MCF7 cell lysate
Lane 5: HepG2 cell lysate

Lysates/proteins at 20 µg/Lane.

Predicted band size: 85 kDa
Observed band size: 85 kDa

Exposure time: 3 minutes;

4-20% SDS-PAGE gel.

Proteins were transferred to a PVDF membrane and blocked with 5% NFDM/TBST for 1 hour at room temperature. The primary antibody (HA750077) at 1/5,000 dilution was used in 5% NFDM/TBST at 4℃ overnight. Goat Anti-Rabbit IgG - HRP Secondary Antibody (HA1001) at 1:100,000 dilution was used for 1 hour at room temperature.
HA750077_3.jpg Fig3: ICC staining of MLH1 in HepG2 cells (green). Formalin fixed cells were permeabilized with 0.1% Triton X-100 in TBS for 10 minutes at room temperature and blocked with 1% Blocker BSA for 15 minutes at room temperature. Cells were probed with the primary antibody (HA750077, 1/50) for 1 hour at room temperature, washed with PBS. Alexa Fluor®488 Goat anti-Rabbit IgG was used as the secondary antibody at 1/1,000 dilution. The nuclear counter stain is DAPI (blue).
HA750077_4.jpg Fig4: Immunohistochemical analysis of paraffin-embedded rat large intestine tissue using anti-MLH1 antibody. The section was pre-treated using heat mediated antigen retrieval with Tris-EDTA buffer (pH 8.0-8.4) for 20 minutes.The tissues were blocked in 5% BSA for 30 minutes at room temperature, washed with ddH2O and PBS, and then probed with the primary antibody (HA750077, 1/200) for 30 minutes at room temperature. The detection was performed using an HRP conjugated compact polymer system. DAB was used as the chromogen. Tissues were counterstained with hematoxylin and mounted with DPX.
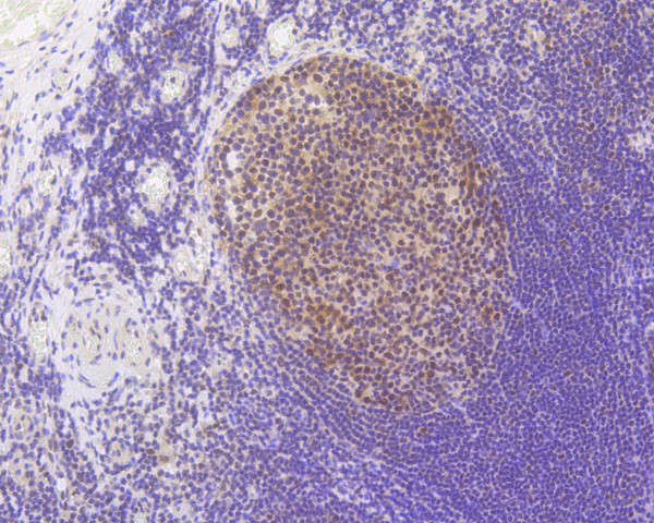
HA750077_5.jpg Fig5: Immunohistochemical analysis of paraffin-embedded human tonsil tissue using anti-MLH1 antibody. The section was pre-treated using heat mediated antigen retrieval with Tris-EDTA buffer (pH 8.0-8.4) for 20 minutes.The tissues were blocked in 5% BSA for 30 minutes at room temperature, washed with ddH2O and PBS, and then probed with the primary antibody (HA750077, 1/200) for 30 minutes at room temperature. The detection was performed using an HRP conjugated compact polymer system. DAB was used as the chromogen. Tissues were counterstained with hematoxylin and mounted with DPX.
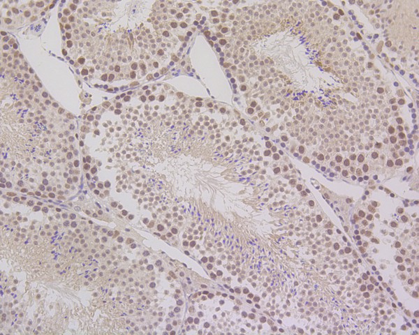
HA750077_6.jpg Fig6: Immunohistochemical analysis of paraffin-embedded mouse testis tissue using anti-MLH1 antibody. The section was pre-treated using heat mediated antigen retrieval with Tris-EDTA buffer (pH 8.0-8.4) for 20 minutes.The tissues were blocked in 5% BSA for 30 minutes at room temperature, washed with ddH2O and PBS, and then probed with the primary antibody (HA750077, 1/200) for 30 minutes at room temperature. The detection was performed using an HRP conjugated compact polymer system. DAB was used as the chromogen. Tissues were counterstained with hematoxylin and mounted with DPX.
HA750077_7.jpg Fig7: Flow cytometric analysis of MLH1 was done on Hela cells. The cells were fixed, permeabilized and stained with the primary antibody (HA750077, 1/50) (red). After incubation of the primary antibody at room temperature for an hour, the cells were stained with a Alexa Fluor 488-conjugated Goat anti-Rabbit IgG Secondary antibody at 1/1000 dilution for 30 minutes.Unlabelled sample was used as a control (cells without incubation with primary antibody; black).
Note: All products are “FOR RESEARCH USE ONLY AND ARE NOT INTENDED FOR DIAGNOSTIC OR THERAPEUTIC USE”.