EGFR Recombinant Rabbit Monoclonal Antibody [SP00-86]
cat.: HA750078
Product Type: Recombinant Rabbit monoclonal IgG, primary antibodies
Species reactivity: Human, Mouse, Rat, Monkey
Applications: WB, IF-Cell, IP, FC
Clonality: Monoclonal
Clone number: SP00-86
Form: Liquid
Storage condition: Store at +4℃ after thawing. Aliquot store at -20℃ or -80℃. Avoid repeated freeze / thaw cycles.
Storage buffer: 1*PBS (pH7.4).
Concentration: 1ug/ul
Purification: Protein A affinity purified.
Molecular weight: Predicted band size: 134 kDa
Isotype: IgG
Immunogen: Synthetic peptide within human EGFR aa 1070-1110.
Positive control: HeLa cell lysate, A431 cell lysate, MDA-MB-468 cell lysate, A431, Mouse placenta tissue lysate, Mouse lung tissue lysate, Rat skin tissue lysate, Rat liver tissue lysate.
Subcellular location: Cell membrane, Endoplasmic reticulum membrane, Golgi apparatus membrane, Nucleus membrane, Endosome, Nucleus, Secreted.
Recommended Dilutions:
  WB
  IF-Cell
  FC
  IP

1:500-1:20,000
1:100-1:500
1:1,000
1-2μg/sample
Uniprot #: SwissProt: P00533 Human | Q01279 Mouse
Unigene: 37227 Rat
Alternative names: Avian erythroblastic leukemia viral (v erb b) oncogene homolog Cell growth inhibiting protein 40 Cell proliferation inducing protein 61 EGF R EGFR EGFR_HUMAN Epidermal growth factor receptor (avian erythroblastic leukemia viral (v erb b) oncogene homolog) Epidermal growth factor receptor (erythroblastic leukemia viral (v erb b) oncogene homolog avian) Epidermal growth factor receptor erb-b2 receptor tyrosine kinase 1 ERBB ERBB1 Errp HER1 mENA NISBD2 Oncogen ERBB PIG61 Proto-oncogene c-ErbB-1 Receptor tyrosine protein kinase ErbB 1 Receptor tyrosine-protein kinase ErbB-1 SA7 Species antigen 7 Urogastrone v-erb-b Avian erythroblastic leukemia viral oncogen homolog wa2 Wa5
Images
HA750078_1.jpg Fig1: Western blot analysis of EGFR on different lysates with Rabbit anti-EGFR antibody (HA750078) at 1/20,000 dilution and competitor's antibody at 1/2,000 dilution.

Lane 1: HeLa cell lysate
Lane 2: A431 cell lysate
Lane 3: MDA-MB-468 cell lysate
Lane 4: MCF7 cell lysate (low expression)

Lysates/proteins at 15 µg/Lane.

Predicted band size: 134 kDa
Observed band size: 175 kDa

Exposure time: 21 seconds; ECL: K1801;

4-20% SDS-PAGE gel.

Proteins were transferred to a PVDF membrane and blocked with 5% NFDM/TBST for 1 hour at room temperature. The primary antibody (HA750078) at 1/20,000 dilution and competitor's antibody at 1/2,000 dilution were used in 5% NFDM/TBST at 4℃ overnight. Goat Anti-Rabbit IgG - HRP Secondary Antibody (HA1001) at 1/50,000 dilution was used for 1 hour at room temperature.
HA750078_2.jpg Fig2: Immunocytochemistry analysis of A431 cells labeling EGFR with Rabbit anti-EGFR antibody (HA750078) at 1/500 dilution and competitor's antibody at 1/200 dilution.

Cells were fixed in 4% paraformaldehyde for 20 minutes at room temperature, permeabilized with 0.1% Triton X-100 in PBS for 5 minutes at room temperature, then blocked with 1% BSA in 10% negative goat serum for 1 hour at room temperature. Cells were then incubated with Rabbit anti-EGFR antibody (HA750078) at 1/500 dilution and competitor's antibody at 1/200 dilution in 1% BSA in PBST overnight at 4 ℃. Goat Anti-Rabbit IgG H&L (iFluor™ 488, HA1121) was used as the secondary antibody at 1/1,000 dilution. PBS instead of the primary antibody was used as the secondary antibody only control. Nuclear DNA was labelled in blue with DAPI.

Beta tubulin (M1305-2, red) was stained at 1/100 dilution overnight at +4℃. Goat Anti-Mouse IgG H&L (iFluor™ 594, HA1126) was used as the secondary antibody at 1/1,000 dilution.
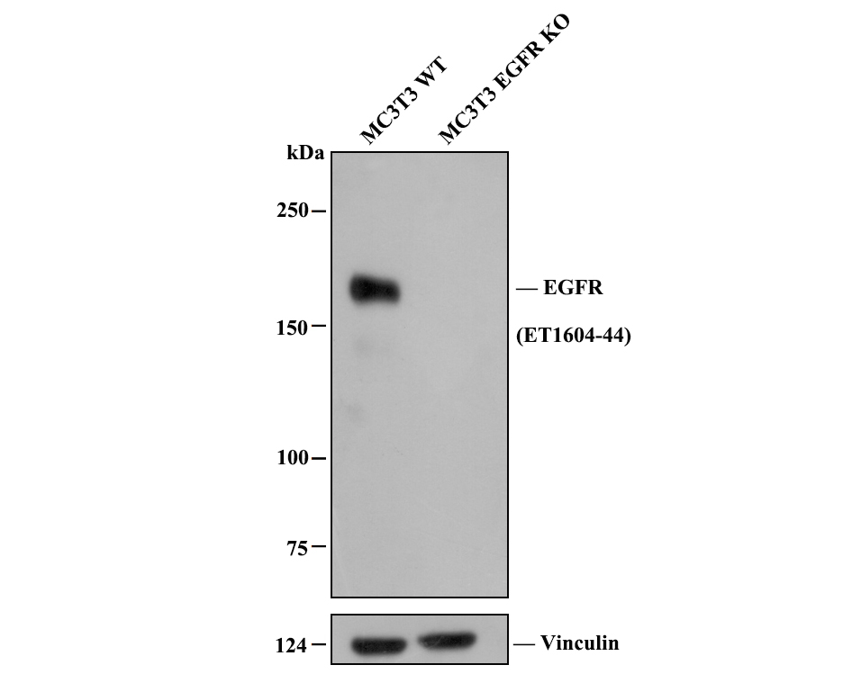
HA750078_3.jpg Fig3: All lanes: Western blot analysis of EGFR with anti-EGFR antibody [SP00-86] (HA750078) at 1:500 dilution.

Lane 1: Wild-type MC3T3 whole cell lysate.
Lane 2: EGFR knockout MC3T3 whole cell lysate.

Predicted band size: 134 kDa
Observed band size: 180 kDa

ET1604-44 was shown to specifically react with EGFR in wild-type MC3T3 cells. No band was observed when EGFR knockout samples were tested. Wild-type and EGFR knockout samples were subjected to SDS-PAGE. Proteins were transferred to a PVDF membrane and blocked with 5% NFDM in TBST for 1 hour at room temperature. The primary Anti-EGFR antibody (ET1604-44, 1/500) and Anti-Vinculin antibody (ET1705-94, 1/5,000) were used in 5% BSA at room temperature for 2 hours. Goat Anti-Rabbit IgG H&L (HRP) Secondary Antibody (HA1001) at 1:200,000 dilution was used for 1 hour at room temperature.

Cell lysate was provided by Ubigene Biosciences (Ubigene Biosciences Co., Ltd., Guangzhou, China).
HA750078_4.jpg Fig4: Western blot analysis of EGFR on different lysates with Rabbit anti-EGFR antibody (HA750078) at 1/5,000 dilution.

Lane 1: Mouse placenta tissue lysate
Lane 2: Mouse lung tissue lysate
Lane 3: Rat skin tissue lysate
Lane 4: Rat liver tissue lysate

Lysates/proteins at 30 µg/Lane.

Predicted band size: 134 kDa
Observed band size: 175 kDa

Exposure time: 20 seconds; ECL: K1801;

4-20% SDS-PAGE gel.

Proteins were transferred to a PVDF membrane and blocked with 5% NFDM/TBST for 1 hour at room temperature. The primary antibody (HA750078) at 1/5,000 dilution was used in primary antibody dilution (K1803) at 4℃ overnight. Goat Anti-Rabbit IgG - HRP Secondary Antibody (HA1001) at 1/50,000 dilution was used for 1 hour at room temperature.
HA750078_5.jpg Fig5: Flow cytometric analysis of A431 cells labeling EGFR.

Cells were fixed and permeabilized. Then stained with the primary antibody (HA750078, red) at 1/1,000 dilution and competitor's antibody (red) at 1/200 dilution, compared with Rabbit IgG Isotype Control (green). After incubation of the primary antibody at +4℃ for an hour, the cells were stained with a iFluor™ 488 conjugate-Goat anti-Rabbit IgG Secondary antibody (HA1121) at 1/1,000 dilution for 30 minutes at +4℃. Unlabelled sample was used as a control (cells without incubation with primary antibody; black).
HA750078_6.jpg Fig6: EGFR was immunoprecipitated from 0.2 mg HeLa cell lysate with HA750078 at 2 µg/10 µl beads. Western blot was performed from the immunoprecipitate using HA750078 at 1/1,000 dilution. HRP Conjugated Anti-Rabbit IgG for IP Nano-secondary antibody at 1/5,000 dilution was used for 1 hour at room temperature.

Lane 1: HeLa cell lysate (input)
Lane 2: HA750078 IP in HeLa cell lysate
Lane 3: Rabbit IgG instead of HA750078 in HeLa cell lysate

Blocking/Dilution buffer: primary antibody dilution (K1803)
Exposure time: 30 seconds; ECL: K1801
Note: All products are “FOR RESEARCH USE ONLY AND ARE NOT INTENDED FOR DIAGNOSTIC OR THERAPEUTIC USE”.