Heme Oxygenase 1 (HO-1) Recombinant Rabbit Monoclonal Antibody [SP08-07]
cat.: HA750079
Product Type: Recombinant Rabbit monoclonal IgG, primary antibodies
Species reactivity: Human
Applications: WB, IHC-P, IP, FC, IF-Tissue
Clonality: Monoclonal
Clone number: SP08-07
Form: Liquid
Storage condition: Store at +4℃ after thawing. Aliquot store at -20℃ or -80℃. Avoid repeated freeze / thaw cycles.
Storage buffer: 1*PBS (pH7.4).
Concentration: 1ug/ul
Purification: Protein A affinity purified.
Molecular weight: Predicted band size: 33 kDa
Isotype: IgG
Immunogen: Synthetic peptide within Human HO-1 aa 227-276 / 288.
Positive control: Human spleen tissue, human liver tissue, Jurkat.
Subcellular location: Endoplasmic reticulum membrane.
Recommended Dilutions:
  WB
  IHC-P
  FC
  IP
  IF-Tissue

1:1,000
1:50-1:1,000
1:500-1:1,000
Use at an assay dependent concentration.
1:500
Uniprot #: SwissProt: P09601 Human
Alternative names: 32 kD bK286B10 D8Wsu38e heat shock protein 32 kD heat shock protein 32kD Heat shock protein Heme oxygenase (decycling) 1 Heme oxygenase 1 Hemox HMOX 1 Hmox Hmox1 HMOX1_HUMAN HO 1 HO HO-1 HO1 Hsp32
Images
HA750079_1.jpg Fig1: Flow cytometric analysis of Jurkat cells labeling Heme Oxygenase 1 (HO-1).

Cells were fixed and permeabilized. Then stained with the primary antibody (HA750079, 1ug/ml) (red) compared with Rabbit IgG Isotype Control (green). After incubation of the primary antibody at +4℃ for an hour, the cells were stained with a iFluor™ 488 conjugate-Goat anti-Rabbit IgG Secondary antibody (HA1121) at 1/1,000 dilution for 30 minutes at +4℃. Unlabelled sample was used as a control (cells without incubation with primary antibody; black).
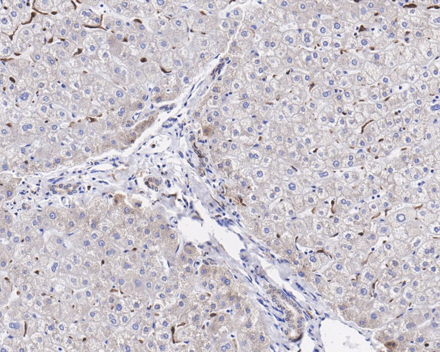
HA750079_2.jpg Fig2: Immunohistochemical analysis of paraffin-embedded human liver tissue with Rabbit anti-Heme Oxygenase 1 (HO-1) antibody (HA750079) at 1/1,000 dilution.

The section was pre-treated using heat mediated antigen retrieval with Tris-EDTA buffer (pH 9.0) for 20 minutes. The tissues were blocked in 1% BSA for 20 minutes at room temperature, washed with ddH2O and PBS, and then probed with the primary antibody (HA750079) at 1/1,000 dilution for 1 hour at room temperature. The detection was performed using an HRP conjugated compact polymer system. DAB was used as the chromogen. Tissues were counterstained with hematoxylin and mounted with DPX.
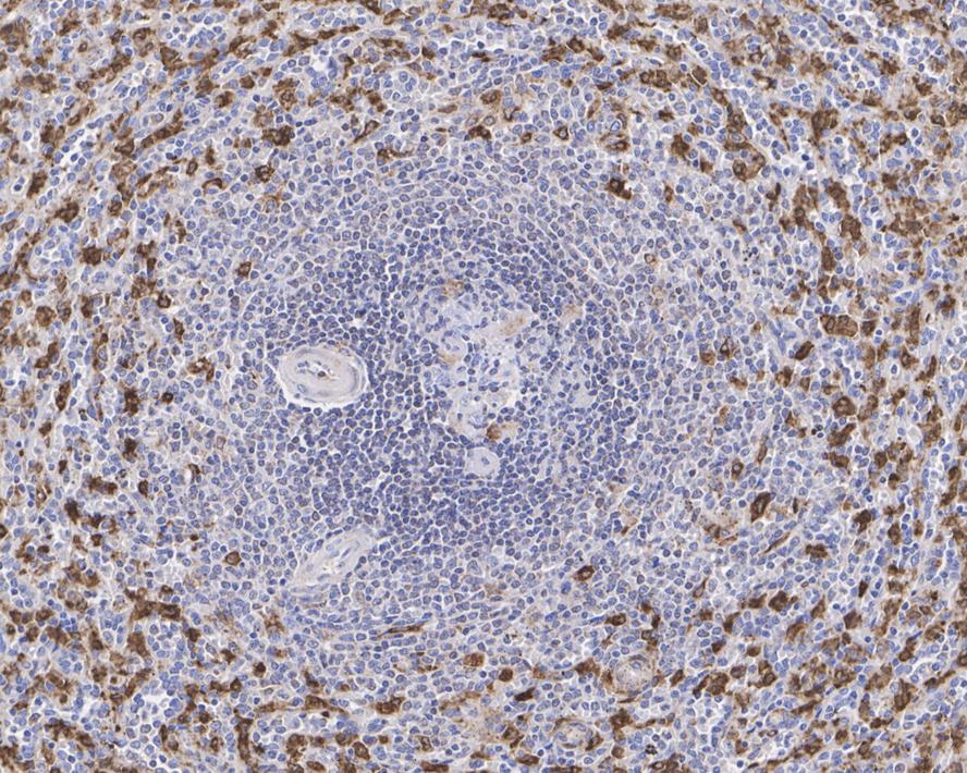
HA750079_3.jpg Fig3: Immunohistochemical analysis of paraffin-embedded human spleen tissue with Rabbit anti-Heme Oxygenase 1 (HO-1) antibody (HA750079) at 1/1,000 dilution.

The section was pre-treated using heat mediated antigen retrieval with Tris-EDTA buffer (pH 9.0) for 20 minutes. The tissues were blocked in 1% BSA for 20 minutes at room temperature, washed with ddH2O and PBS, and then probed with the primary antibody (HA750079) at 1/1,000 dilution for 1 hour at room temperature. The detection was performed using an HRP conjugated compact polymer system. DAB was used as the chromogen. Tissues were counterstained with hematoxylin and mounted with DPX.
HA750079_4.jpg Fig4: Application: IF-Tissue

Species: Human

Site: spleen

Sample: Paraffin-embedded section

Antibody concentration: 1/500
Note: All products are “FOR RESEARCH USE ONLY AND ARE NOT INTENDED FOR DIAGNOSTIC OR THERAPEUTIC USE”.