VEGF Receptor 1 Recombinant Rabbit Monoclonal Antibody [SY09-09]
cat.: HA750081
Product Type: Recombinant Rabbit monoclonal IgG, primary antibodies
Species reactivity: Human, Mouse, Rat
Applications: WB, IF-Cell, IF-Tissue, IHC-P, IP, FC
Clonality: Monoclonal
Clone number: SY09-09
Form: Liquid
Storage condition: Store at +4℃ after thawing. Aliquot store at -20℃ or -80℃. Avoid repeated freeze / thaw cycles.
Storage buffer: 1*PBS (pH7.4).
Concentration: 1ug/ul
Purification: Protein A affinity purified.
Molecular weight: Predicted band size: 151 kDa
Isotype: IgG
Immunogen: Synthetic peptide within Human VEGF Receptor 1 aa 1-50 / 1,338.
Positive control: MCF7 cell lysate, human brain tissue lysate, mouse brain tissue lysate, rat brain tissue lysate, N2A, RH-35, SHG-44, mouse placenta tissue, mouse brain tissue, A431.
Subcellular location: Cell membrane, Endosome, Secreted, Cytoplasm.
Recommended Dilutions:
  WB
  IF-Cell
  IF-Tissue
  IHC-P
  FC
  IP

1:5,000
1:50-1:100
1:50-1:100
1:50-1:200
1:50-1:100
Use at an assay dependent concentration.
Uniprot #: SwissProt: P17948 Human | P35969 Mouse | P53767 Rat
Alternative names: EC 2.7.10.1 FLT 1 FLT Flt-1 FLT1 Fms like tyrosine kinase 1 Fms related tyrosine kinase 1 Fms related tyrosine kinase 1 (vascular endothelial growth factor/vascular permeability factor receptor) Fms related tyrosine kinase 1 vascular endothelial growth factor/vascular permeability factor receptor Fms-like tyrosine kinase 1 FRT Soluble VEGF receptor 1 14 Soluble VEGFR1 variant 2 Soluble VEGFR1 variant 21 Tyrosine protein kinase FRT Tyrosine protein kinase receptor FLT Tyrosine-protein kinase FRT Tyrosine-protein kinase receptor FLT Vascular endothelial growth factor receptor 1 Vascular endothelial growth factor vascular permeability factor receptor Vascular permeability factor receptor 1 Vascular permeability factor receptor VEGFR 1 VEGFR-1 VEGFR1 VGFR1_HUMAN
Images
HA750081_1.jpg Fig1: Western blot analysis of VEGF Receptor 1 on different lysates with Rabbit anti-VEGF Receptor 1 antibody (HA750081) at 1/5,000 dilution.

Lane 1: MCF7 cell lysate (20 µg/Lane)
Lane 2: Human brain tissue lysate (20 µg/Lane)
Lane 3: Mouse brain tissue lysate (20 µg/Lane)
Lane 4: Rat brain tissue lysate (20 µg/Lane)

Predicted band size: 151 kDa
Observed band size: 151 kDa

Exposure time: 24 seconds;

4-20% SDS-PAGE gel.

Proteins were transferred to a PVDF membrane and blocked with 5% NFDM/TBST for 1 hour at room temperature. The primary antibody (HA750081) at 1/5,000 dilution was used in 5% NFDM/TBST at 4℃ overnight. Goat Anti-Rabbit IgG - HRP Secondary Antibody (HA1001) at 1:50,000 dilution was used for 1 hour at room temperature.
HA750081_2.jpg Fig2: Western blot analysis of VEGF Receptor 1 on different lysates with Rabbit anti-VEGF Receptor 1 antibody (HA750081) at 1/1,000 dilution.

Lane 1: MCF7-si NT cell lysate (10 µg/Lane)
Lane 2: MCF7-si VEGF Receptor 1 cell lysate (10 µg/Lane)

Predicted band size: 151 kDa
Observed band size: 151 kDa

Exposure time: 25 seconds;

4-20% SDS-PAGE gel.

ET1605-11 was shown to specifically react with VEGF Receptor 1 in Hela-si NT cells. Weakened band was observed when Hela-si VEGF Receptor 1 sample was tested. Hela-si NT and Hela-si VEGF Receptor 1 samples were subjected to SDS-PAGE. Proteins were transferred to a PVDF membrane and blocked with 5% NFDM in TBST for 1 hour at room temperature. The primary antibody (ET1605-11, 1/1,000) and Loading control antibody (Rabbit anti-GAPDH, ET1601-4, 1/10,000) were used in 5% BSA at room temperature for 2 hours. Goat Anti-rabbit IgG-HRP Secondary Antibody (HA1001) at 1:100,000 dilution was used for 1 hour at room temperature.
HA750081_3.jpg Fig3: VEGF Receptor 1 was immunoprecipitated in 0.2mg MCF7 cell lysate with HA750081 at 2 µg/10 µl beads. Western blot was performed from the immunoprecipitate using HA750081 at 1/5,000 dilution. Anti-Rabbit IgG for IP Nano-secondary antibody (NBI01H) at 1/5,000 dilution was used for 1 hour at room temperature.

Lane 1: MCF7 cell lysate (input)
Lane 2: Rabbit IgG instead of HA750081 in MCF7 cell lysate
Lane 3: HA750081 IP in MCF7 cell lysate

Blocking/Dilution buffer: 5% NFDM/TBST
Exposure time: 24 seconds
HA750081_4.jpg Fig4: ICC staining of VEGF Receptor 1 in N2A cells (green). Formalin fixed cells were permeabilized with 0.1% Triton X-100 in TBS for 10 minutes at room temperature and blocked with 10% negative goat serum for 15 minutes at room temperature. Cells were probed with the primary antibody (HA750081, 1/50) for 1 hour at room temperature, washed with PBS. Alexa Fluor®488 conjugate-Goat anti-Rabbit IgG was used as the secondary antibody at 1/1,000 dilution. The nuclear counter stain is DAPI (blue).
HA750081_5.jpg Fig5: ICC staining of VEGF Receptor 1 in RH-35 cells (green). Formalin fixed cells were permeabilized with 0.1% Triton X-100 in TBS for 10 minutes at room temperature and blocked with 10% negative goat serum for 15 minutes at room temperature. Cells were probed with the primary antibody (HA750081, 1/50) for 1 hour at room temperature, washed with PBS. Alexa Fluor®488 conjugate-Goat anti-Rabbit IgG was used as the secondary antibody at 1/1,000 dilution. The nuclear counter stain is DAPI (blue).
HA750081_6.jpg Fig6: ICC staining of VEGF Receptor 1 in SHG-44 cells (green). Formalin fixed cells were permeabilized with 0.1% Triton X-100 in TBS for 10 minutes at room temperature and blocked with 10% negative goat serum for 15 minutes at room temperature. Cells were probed with the primary antibody (HA750081, 1/50) for 1 hour at room temperature, washed with PBS. Alexa Fluor®488 conjugate-Goat anti-Rabbit IgG was used as the secondary antibody at 1/1,000 dilution. The nuclear counter stain is DAPI (blue).
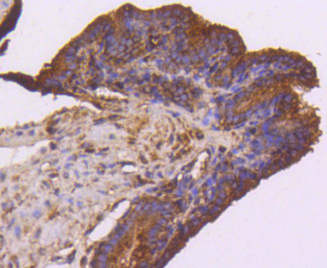
HA750081_7.jpg Fig7: Immunohistochemical analysis of paraffin-embedded mouse placenta tissue using anti-VEGF Receptor 1 antibody. The section was pre-treated using heat mediated antigen retrieval with Tris-EDTA buffer (pH 9.0) for 20 minutes.The tissues were blocked in 5% BSA for 30 minutes at room temperature, washed with ddH2O and PBS, and then probed with the primary antibody (HA750081, 1/50) for 30 minutes at room temperature. The detection was performed using an HRP conjugated compact polymer system. DAB was used as the chromogen. Tissues were counterstained with hematoxylin and mounted with DPX.
HA750081_8.jpg Fig8: Immunohistochemical analysis of paraffin-embedded mouse brain tissue using anti-VEGF Receptor 1 antibody. The section was pre-treated using heat mediated antigen retrieval with Tris-EDTA buffer (pH 9.0) for 20 minutes.The tissues were blocked in 5% BSA for 30 minutes at room temperature, washed with ddH2O and PBS, and then probed with the primary antibody (HA750081, 1/50) for 30 minutes at room temperature. The detection was performed using an HRP conjugated compact polymer system. DAB was used as the chromogen. Tissues were counterstained with hematoxylin and mounted with DPX.
HA750081_9.jpg Fig9: Flow cytometric analysis of VEGF Receptor 1 was done on A431 cells. The cells were fixed, permeabilized and stained with the primary antibody (HA750081, 1/50) (red). After incubation of the primary antibody at room temperature for an hour, the cells were stained with a Alexa Fluor®488 conjugate-Goat anti-Rabbit IgG Secondary antibody at 1/1,000 dilution for 30 minutes.Unlabelled sample was used as a control (cells without incubation with primary antibody; black).
Note: All products are “FOR RESEARCH USE ONLY AND ARE NOT INTENDED FOR DIAGNOSTIC OR THERAPEUTIC USE”.