PDGFR beta Recombinant Rabbit Monoclonal Antibody [SY10-08]
cat.: HA750082
Product Type: Recombinant Rabbit monoclonal IgG, primary antibodies
Species reactivity: Human, Mouse, Rat
Applications: WB, IHC-P, IP, FC, IF-Tissue, IF-Cell, IHC-Fr
Clonality: Monoclonal
Clone number: SY10-08
Form: Liquid
Storage condition: Store at +4℃ after thawing. Aliquot store at -20℃ or -80℃. Avoid repeated freeze / thaw cycles.
Storage buffer: 1*PBS (pH7.4).
Concentration: 1ug/ul
Purification: Protein A affinity purified.
Molecular weight: Predicted band size: 124 kDa
Isotype: IgG
Immunogen: Recombinant protein within Human PDGFR beta aa 961-1,106 / 1,106.
Positive control: SH-SY5Y cell lysate, C6 cell lysate, Mouse brain tissue lysate, Rat brain tissue lysate, SH-SY5Y, human spleen tissue, mouse brain tissue, mouse spleen tissue, rat spleen tissue.
Subcellular location: Cell membrane, Cytoplasmic vesicle, Lysosome lumen.
Recommended Dilutions:
  WB
  IHC-P
  FC
  IF-Tissue
  IF-Cell
  IHC-Fr

1:500-1:2,000
1:50-1:200
1:1,000
1:200
1:100
1:200
Uniprot #: SwissProt: P05622 Mouse | P09619 Human | Q05030 Rat
Alternative names: Beta platelet derived growth factor receptor Beta-type platelet-derived growth factor receptor CD 140B CD140 antigen-like family member B CD140b CD140b antigen IBGC4 IMF1 JTK12 OTTHUMP00000160528 PDGF R beta PDGF-R-beta PDGFR 1 PDGFR PDGFR beta PDGFR1 PDGFRB PGFRB_HUMAN Platelet derived growth factor receptor 1 Platelet derived growth factor receptor beta Platelet derived growth factor receptor beta polypeptide
Images
HA750082_1.jpg Fig1: Immunofluorescence analysis of frozen mouse brain tissue with Rabbit anti-PDGFR beta antibody (HA750082) at 1/200 dilution.

The section was not undergone antigen retrieval. The tissues were blocked in 10% negative goat serum for 1 hour at room temperature, washed with PBS, and then probed with the primary antibody (HA750082, green) at 1/200 dilution overnight at 4 ℃, washed with PBS. Goat Anti-Rabbit IgG H&L (iFluor™ 488, HA1121) was used as the secondary antibody at 1/1,000 dilution. Nuclei were counterstained with DAPI (blue).
HA750082_2.jpg Fig2: Immunofluorescence analysis of frozen mouse spleen tissue with Rabbit anti-PDGFR beta antibody (HA750082) at 1/200 dilution.

The section was not undergone antigen retrieval. The tissues were blocked in 10% negative goat serum for 1 hour at room temperature, washed with PBS, and then probed with the primary antibody (HA750082, green) at 1/200 dilution overnight at 4 ℃, washed with PBS. Goat Anti-Rabbit IgG H&L (iFluor™ 488, HA1121) was used as the secondary antibody at 1/1,000 dilution. Nuclei were counterstained with DAPI (blue).
HA750082_3.jpg Fig3: Western blot analysis of PDGFR beta on different lysates with Rabbit anti-PDGFR beta antibody (HA750082) at 1/1,000 dilution.

Lane 1: SH-SY5Y cell lysate (20 µg/Lane)
Lane 2: C6 cell lysate (20 µg/Lane)
Lane 3: Mouse brain tissue lysate (40 µg/Lane)
Lane 4: Rat brain tissue lysate (40 µg/Lane)

Predicted band size: 124 kDa
Observed band size: 190 kDa

Exposure time: 6 seconds; ECL: K1801;

4-20% SDS-PAGE gel.

Proteins were transferred to a PVDF membrane and blocked with 5% NFDM/TBST for 1 hour at room temperature. The primary antibody (HA750082) at 1/1,000 dilution was used in 5% NFDM/TBST at 4℃ overnight. Goat Anti-Rabbit IgG - HRP Secondary Antibody (HA1001) at 1/50,000 dilution was used for 1 hour at room temperature.
HA750082_4.jpg Fig4: Immunocytochemistry analysis of SH-SY5Y cells labeling PDGFR beta with Rabbit anti-PDGFR beta antibody (HA750082) at 1/100 dilution.

Cells were fixed in 4% paraformaldehyde for 20 minutes at room temperature, permeabilized with 0.1% Triton X-100 in PBS for 5 minutes at room temperature, then blocked with 1% BSA in 10% negative goat serum for 1 hour at room temperature. Cells were then incubated with Rabbit anti-PDGFR beta antibody (HA750082) at 1/100 dilution in 1% BSA in PBST overnight at 4 ℃. Goat Anti-Rabbit IgG H&L (iFluor™ 488, HA1121) was used as the secondary antibody at 1/1,000 dilution. PBS instead of the primary antibody was used as the secondary antibody only control. Nuclear DNA was labelled in blue with DAPI.

Beta tubulin (M1305-2, red) was stained at 1/100 dilution overnight at +4℃. Goat Anti-Mouse IgG H&L (iFluor™ 594, HA1126) was used as the secondary antibody at 1/1,000 dilution.
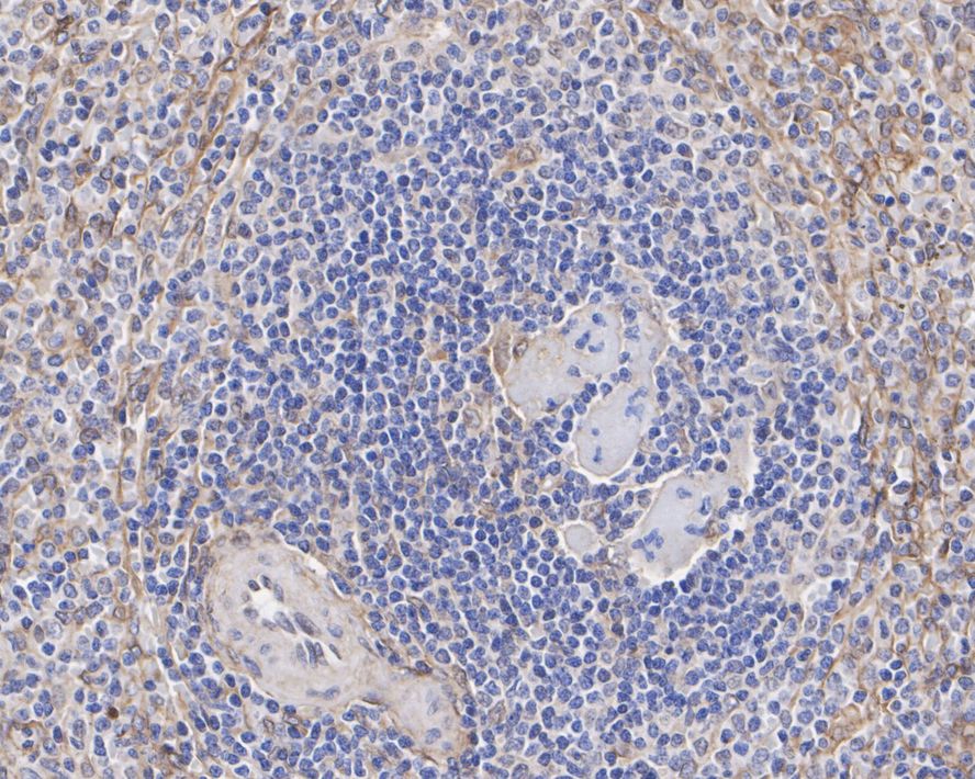
HA750082_5.jpg Fig5: Immunohistochemical analysis of paraffin-embedded human spleen tissue with Rabbit anti-PDGFR beta antibody (HA750082) at 1/1,000 dilution.

The section was pre-treated using heat mediated antigen retrieval with Tris-EDTA buffer (pH 9.0) for 20 minutes. The tissues were blocked in 1% BSA for 20 minutes at room temperature, washed with ddH2O and PBS, and then probed with the primary antibody (HA750082) at 1/1,000 dilution for 1 hour at room temperature. The detection was performed using an HRP conjugated compact polymer system. DAB was used as the chromogen. Tissues were counterstained with hematoxylin and mounted with DPX.
HA750082_6.jpg Fig6: Immunohistochemical analysis of paraffin-embedded mouse brain tissue with Rabbit anti-PDGFR beta antibody (HA750082) at 1/1,000 dilution.

The section was pre-treated using heat mediated antigen retrieval with Tris-EDTA buffer (pH 9.0) for 20 minutes. The tissues were blocked in 1% BSA for 20 minutes at room temperature, washed with ddH2O and PBS, and then probed with the primary antibody (HA750082) at 1/1,000 dilution for 1 hour at room temperature. The detection was performed using an HRP conjugated compact polymer system. DAB was used as the chromogen. Tissues were counterstained with hematoxylin and mounted with DPX.
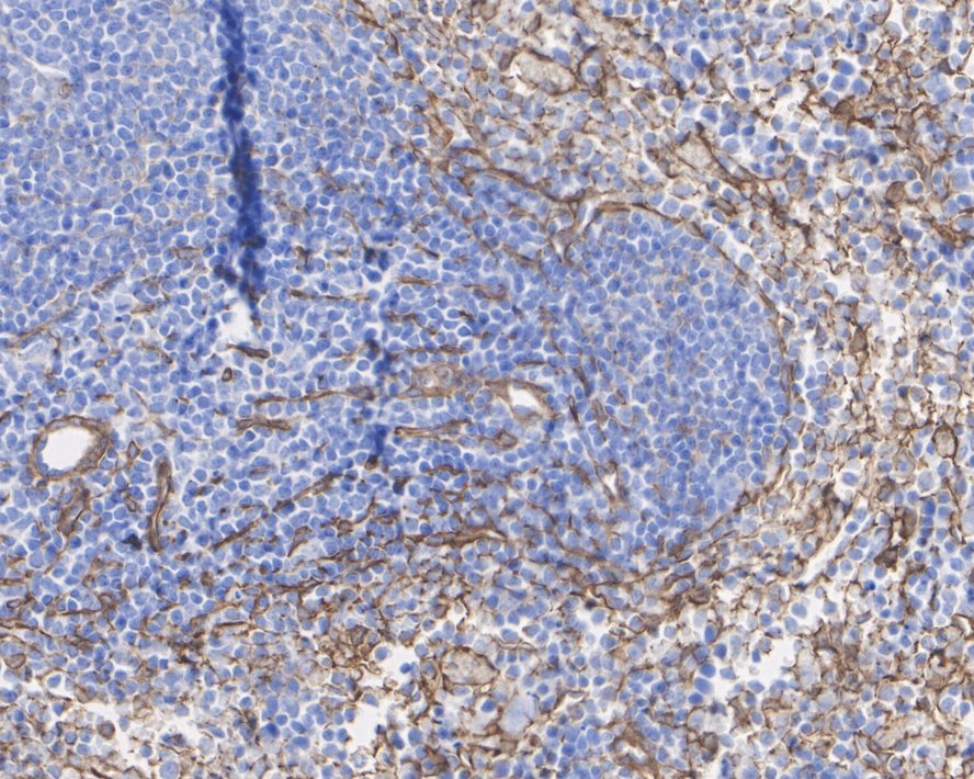
HA750082_7.jpg Fig7: Immunohistochemical analysis of paraffin-embedded mouse spleen tissue with Rabbit anti-PDGFR beta antibody (HA750082) at 1/1,000 dilution.

The section was pre-treated using heat mediated antigen retrieval with Tris-EDTA buffer (pH 9.0) for 20 minutes. The tissues were blocked in 1% BSA for 20 minutes at room temperature, washed with ddH2O and PBS, and then probed with the primary antibody (HA750082) at 1/1,000 dilution for 1 hour at room temperature. The detection was performed using an HRP conjugated compact polymer system. DAB was used as the chromogen. Tissues were counterstained with hematoxylin and mounted with DPX.
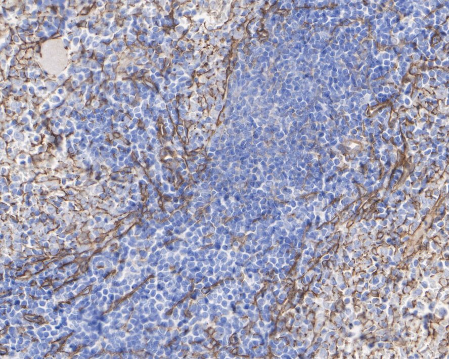
HA750082_8.jpg Fig8: Immunohistochemical analysis of paraffin-embedded rat spleen tissue with Rabbit anti-PDGFR beta antibody (HA750082) at 1/1,000 dilution.

The section was pre-treated using heat mediated antigen retrieval with Tris-EDTA buffer (pH 9.0) for 20 minutes. The tissues were blocked in 1% BSA for 20 minutes at room temperature, washed with ddH2O and PBS, and then probed with the primary antibody (HA750082) at 1/1,000 dilution for 1 hour at room temperature. The detection was performed using an HRP conjugated compact polymer system. DAB was used as the chromogen. Tissues were counterstained with hematoxylin and mounted with DPX.
HA750082_9.jpg Fig9: Flow cytometric analysis of SH-SY5Y cells labeling PDGFR beta.

Cells were fixed and permeabilized. Then stained with the primary antibody (HA750082, 1μg/mL) (red) compared with Rabbit IgG Isotype Control (green). After incubation of the primary antibody at +4℃ for an hour, the cells were stained with a iFluor™ 488 conjugate-Goat anti-Rabbit IgG Secondary antibody (HA1121) at 1/1,000 dilution for 30 minutes at +4℃. Unlabelled sample was used as a control (cells without incubation with primary antibody; black).
HA750082_10.jpg Fig10: Application: Immunofluorescence (IF-tissue)

Species: Mouse
Tissue: Spleen
Sample: Paraffin-embedded section

Antigen retrieval: Heat-mediated, Tris-EDTA buffer (pH 9.0), 20 minutes at 95℃.

Wash buffer: 1× TBST
Blocking: 10% normal goat serum + 1% Triton X-100 + 0.3 M Glycine in TBST, 30 minutes at room temperature.
Primary antibody: HA750082, 1/200, overnight at 4℃.
Secondary antibody: Goat Anti-Rabbit IgG (iFluor™ 488, HA1121), 1.5 hours at room temperature.
Note: All products are “FOR RESEARCH USE ONLY AND ARE NOT INTENDED FOR DIAGNOSTIC OR THERAPEUTIC USE”.