HDAC1 Recombinant Rabbit Monoclonal Antibody [SY12-04]
cat.: HA750083
Product Type: Recombinant Rabbit monoclonal IgG, primary antibodies
Species reactivity: Human, Mouse, Rat
Applications: WB, IHC-P, IF-Cell, IP, IF-Tissue
Clonality: Monoclonal
Clone number: SY12-04
Form: Liquid
Storage condition: Store at +4℃ after thawing. Aliquot store at -20℃ or -80℃. Avoid repeated freeze / thaw cycles.
Storage buffer: 1*PBS (pH7.4).
Concentration: 1ug/ul
Purification: Protein A affinity purified.
Molecular weight: Predicted band size: 55 kDa
Isotype: IgG
Immunogen: Synthetic peptide within human HDAC1 aa 420-460.
Positive control: HeLa cell lysate, HEK-293 cell lysate, MCF7 cell lysate, Jurkat cell lysate, L929 cell lysate, C6 cell lysate, HeLa, NIH/3T3, C6, human colon tissue, human pancreas tissue, mouse colon tissue, mouse pancreas tissue, mouse lymph nodes tissue, rat liver tissue, rat pancreas tissue.
Subcellular location: Nucleus.
Recommended Dilutions:
  WB
  IHC-P
  IF-Cell
  IP
  IF-Tissue

1:5,000
1:50-1:1,000
1:100-1:500
1-2μg/sample
1:50-1:200
Uniprot #: SwissProt: Q13547 Human | O09106 Mouse | Q4QQW4 Rat
Alternative names: DKFZp686H12203 GON 10 HD1 HDAC 1 HDAC1 HDAC1_HUMAN Histone deacetylase 1 Reduced potassium dependency yeast homolog like 1 RPD3 RPD3L1
Images
HA750083_1.jpg Fig1: Western blot analysis of HDAC1 on different lysates with Rabbit anti-HDAC1 antibody (HA750083) at 1/5,000 dilution and competitor's antibody at 1/1,000 dilution.

Lane 1: HeLa cell lysate
Lane 2: HEK-293 cell lysate
Lane 3: MCF7 cell lysate
Lane 4: Jurkat cell lysate
Lane 5: L-929 cell lysate
Lane 6: C6 cell lysate

Lysates/proteins at 15 µg/Lane.

Predicted band size: 55 kDa
Observed band size: 65 kDa

Exposure time: 30 seconds; ECL: K1801;

4-20% SDS-PAGE gel.

Proteins were transferred to a PVDF membrane and blocked with 5% NFDM/TBST for 1 hour at room temperature. The primary antibody (HA750083) at 1/5,000 dilution and competitor's antibody at 1/1,000 dilution were used in 5% BSA at 4℃ overnight. Goat Anti-Rabbit IgG - HRP Secondary Antibody (HA1001) at 1/50,000 dilution was used for 1 hour at room temperature.
HA750083_2.jpg Fig2: Immunocytochemistry analysis of HeLa cells labeling HDAC1 with Rabbit anti-HDAC1 antibody (HA750083) at 1/500 dilution and competitor's antibody at 1/200 dilution.

Cells were fixed in 4% paraformaldehyde for 20 minutes at room temperature, permeabilized with 0.1% Triton X-100 in PBS for 5 minutes at room temperature, then blocked with 1% BSA in 10% negative goat serum for 1 hour at room temperature. Cells were then incubated with Rabbit anti-HDAC1 antibody (HA750083) at 1/500 dilution and competitor's antibody at 1/200 dilution in 1% BSA in PBST overnight at 4 ℃. Goat Anti-Rabbit IgG H&L (iFluor™ 488, HA1121) was used as the secondary antibody at 1/1,000 dilution. PBS instead of the primary antibody was used as the secondary antibody only control. Nuclear DNA was labelled in blue with DAPI.

Beta tubulin (M1305-2, red) was stained at 1/100 dilution overnight at +4℃. Goat Anti-Mouse IgG H&L (iFluor™ 594, HA1126) was used as the secondary antibody at 1/1,000 dilution.
HA750083_3.jpg Fig3: Immunocytochemistry analysis of NIH/3T3 cells labeling HDAC1 with Rabbit anti-HDAC1 antibody (HA750083) at 1/250 dilution and competitor's antibody at 1/200 dilution.

Cells were fixed in 4% paraformaldehyde for 20 minutes at room temperature, permeabilized with 0.1% Triton X-100 in PBS for 5 minutes at room temperature, then blocked with 1% BSA in 10% negative goat serum for 1 hour at room temperature. Cells were then incubated with Rabbit anti-HDAC1 antibody (HA750083) at 1/250 dilution and competitor's antibody at 1/200 dilution in 1% BSA in PBST overnight at 4 ℃. Goat Anti-Rabbit IgG H&L (iFluor™ 488, HA1121) was used as the secondary antibody at 1/1,000 dilution. PBS instead of the primary antibody was used as the secondary antibody only control. Nuclear DNA was labelled in blue with DAPI.

Beta tubulin (M1305-2, red) was stained at 1/100 dilution overnight at +4℃. Goat Anti-Mouse IgG H&L (iFluor™ 594, HA1126) was used as the secondary antibody at 1/1,000 dilution.
HA750083_4.jpg Fig4: Immunocytochemistry analysis of C6 cells labeling HDAC1 with Rabbit anti-HDAC1 antibody (HA750083) at 1/100 dilution.

Cells were fixed in 4% paraformaldehyde for 20 minutes at room temperature, permeabilized with 0.1% Triton X-100 in PBS for 5 minutes at room temperature, then blocked with 1% BSA in 10% negative goat serum for 1 hour at room temperature. Cells were then incubated with Rabbit anti-HDAC1 antibody (HA750083) at 1/100 dilution in 1% BSA in PBST overnight at 4 ℃. Goat Anti-Rabbit IgG H&L (iFluor™ 488, HA1121) was used as the secondary antibody at 1/1,000 dilution. PBS instead of the primary antibody was used as the secondary antibody only control. Nuclear DNA was labelled in blue with DAPI.

Beta tubulin (M1305-2, red) was stained at 1/100 dilution overnight at +4℃. Goat Anti-Mouse IgG H&L (iFluor™ 594, HA1126) was used as the secondary antibody at 1/1,000 dilution.
HA750083_5.jpg Fig5: All lanes: Western blot analysis of HDAC1 with anti-HDAC1 antibody [SY12-04] (HA750083) at 1:1,000 dilution.
Lane 1: Wild-type HepG2 whole cell lysate (20 µg).
Lane 2: HDAC1 knockout HepG2 whole cell lysate (20 µg).

Predicted band size: 55 kDa
Observed band size: 65 kDa

HA750083 was shown to specifically react with HDAC1 in wild-type HepG2 cells. No band was observed when HDAC1 knockout samples were tested. Wild-type and HDAC1 knockout samples were subjected to SDS-PAGE. Proteins were transferred to a PVDF membrane and blocked with 5% NFDM in TBST for 1 hour at room temperature. The primary Anti-HDAC1 antibody (HA750083, 1/1,000) and Anti-HSP90 antibody (ET1605-56, 1/10,000) were used in 5% BSA at room temperature for 2 hours. Goat Anti-Rabbit IgG H&L (HRP) Secondary Antibody (HA1001) at 1:200,000 dilution was used for 1 hour at room temperature.
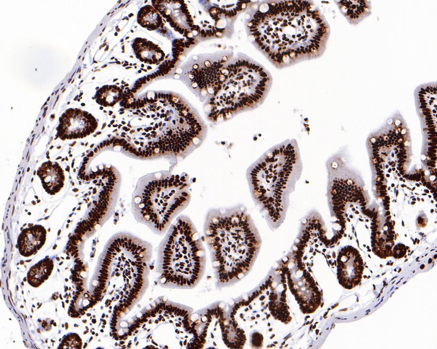
HA750083_6.jpg Fig6: Immunohistochemical analysis of paraffin-embedded human colon tissue using anti-HDAC1 antibody. The section was pre-treated using heat mediated antigen retrieval with sodium citrate buffer (pH 6.0) (high pressure) for 2 minutes. The tissues were blocked in 5% BSA for 30 minutes at room temperature, washed with ddH2O and PBS, and then probed with the primary antibody (HA750083, 1/200) for 30 minutes at room temperature. The detection was performed using an HRP conjugated compact polymer system. DAB was used as the chromogen. Tissues were counterstained with hematoxylin and mounted with DPX.
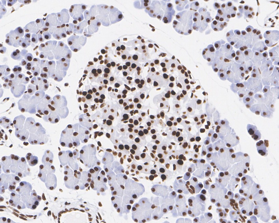
HA750083_7.jpg Fig7: Immunohistochemical analysis of paraffin-embedded human pancreas tissue with Rabbit anti-HDAC1 antibody (HA750083) at 1/200 dilution.

The section was pre-treated using heat mediated antigen retrieval with sodium citrate buffer (pH 6.0) (high pressure) for 2 minutes. The tissues were blocked in 1% BSA for 20 minutes at room temperature, washed with ddH2O and PBS, and then probed with the primary antibody (HA750083) at 1/200 dilution for 1 hour at room temperature. The detection was performed using an HRP conjugated compact polymer system. DAB was used as the chromogen. Tissues were counterstained with hematoxylin and mounted with DPX.
HA750083_8.jpg Fig8: Immunohistochemical analysis of paraffin-embedded mouse colon tissue with Rabbit anti-HDAC1 antibody (HA750083) at 1/800 dilution.

The section was pre-treated using heat mediated antigen retrieval with sodium citrate buffer (pH 6.0) (high pressure) for 2 minutes. The tissues were blocked in 1% BSA for 20 minutes at room temperature, washed with ddH2O and PBS, and then probed with the primary antibody (HA750083) at 1/800 dilution for 1 hour at room temperature. The detection was performed using an HRP conjugated compact polymer system. DAB was used as the chromogen. Tissues were counterstained with hematoxylin and mounted with DPX.
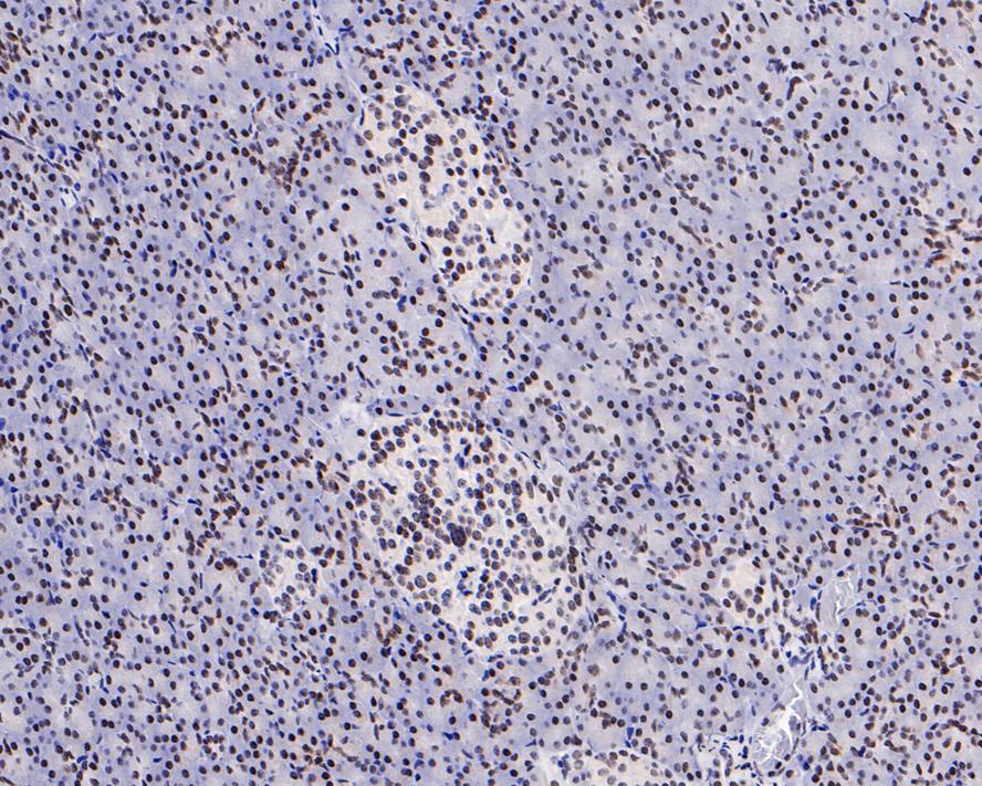
HA750083_9.jpg Fig9: Immunohistochemical analysis of paraffin-embedded mouse pancreas tissue with Rabbit anti-HDAC1 antibody (HA750083) at 1/200 dilution.

The section was pre-treated using heat mediated antigen retrieval with sodium citrate buffer (pH 6.0) (high pressure) for 2 minutes. The tissues were blocked in 1% BSA for 20 minutes at room temperature, washed with ddH2O and PBS, and then probed with the primary antibody (HA750083) at 1/200 dilution for 1 hour at room temperature. The detection was performed using an HRP conjugated compact polymer system. DAB was used as the chromogen. Tissues were counterstained with hematoxylin and mounted with DPX.
HA750083_10.jpg Fig10: Immunohistochemical analysis of paraffin-embedded mouse lymph nodes tissue with Rabbit anti-HDAC1 antibody (HA750083) at 1/800 dilution.

The section was pre-treated using heat mediated antigen retrieval with sodium citrate buffer (pH 6.0) (high pressure) for 2 minutes. The tissues were blocked in 1% BSA for 20 minutes at room temperature, washed with ddH2O and PBS, and then probed with the primary antibody (HA750083) at 1/800 dilution for 1 hour at room temperature. The detection was performed using an HRP conjugated compact polymer system. DAB was used as the chromogen. Tissues were counterstained with hematoxylin and mounted with DPX.
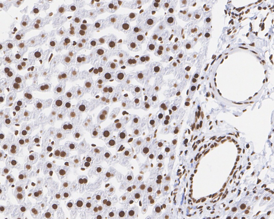
HA750083_11.jpg Fig11: Immunohistochemical analysis of paraffin-embedded rat liver tissue with Rabbit anti-HDAC1 antibody (HA750083) at 1/1,000 dilution.

The section was pre-treated using heat mediated antigen retrieval with sodium citrate buffer (pH 6.0) (high pressure) for 2 minutes. The tissues were blocked in 1% BSA for 20 minutes at room temperature, washed with ddH2O and PBS, and then probed with the primary antibody (HA750083) at 1/1,000 dilution for 1 hour at room temperature. The detection was performed using an HRP conjugated compact polymer system. DAB was used as the chromogen. Tissues were counterstained with hematoxylin and mounted with DPX.
HA750083_12.jpg Fig12: Immunohistochemical analysis of paraffin-embedded rat pancreas tissue with Rabbit anti-HDAC1 antibody (HA750083) at 1/1,000 dilution.

The section was pre-treated using heat mediated antigen retrieval with sodium citrate buffer (pH 6.0) (high pressure) for 2 minutes. The tissues were blocked in 1% BSA for 20 minutes at room temperature, washed with ddH2O and PBS, and then probed with the primary antibody (HA750083) at 1/1,000 dilution for 1 hour at room temperature. The detection was performed using an HRP conjugated compact polymer system. DAB was used as the chromogen. Tissues were counterstained with hematoxylin and mounted with DPX.
HA750083_13.jpg Fig13: HDAC1 was immunoprecipitated in 0.2mg HeLa cell lysate with HA750083 at 2 µg/10 µl beads. Western blot was performed from the immunoprecipitate using HA750083 at 1/5,000 dilution. Anti-Rabbit IgG for IP Nano-secondary antibody (NBI01H) at 1/5,000 dilution was used for 1 hour at room temperature.

Lane 1: HeLa cell lysate (input)
Lane 2: HA750083 IP in HeLa cell lysate
Lane 3: Rabbit IgG instead of HA750083 in HeLa cell lysate

Blocking/Dilution buffer: 5% NFDM/TBST
Exposure time: 43 seconds; ECL: K1802
Note: All products are “FOR RESEARCH USE ONLY AND ARE NOT INTENDED FOR DIAGNOSTIC OR THERAPEUTIC USE”.