PCNA Recombinant Rabbit Monoclonal Antibody [SY12-07]
cat.: HA750084
Product Type: Recombinant Rabbit monoclonal IgG, primary antibodies
Species reactivity: Human, Mouse, Rat
Applications: WB, IF-Cell, IF-Tissue, IHC-P, IP, FC
Clonality: Monoclonal
Clone number: SY12-07
Form: Liquid
Storage condition: Store at +4℃ after thawing. Aliquot store at -20℃ or -80℃. Avoid repeated freeze / thaw cycles.
Storage buffer: 1*PBS (pH7.4).
Concentration: 1ug/ul
Purification: Protein A affinity purified.
Molecular weight: Predicted band size: 29 kDa
Isotype: IgG
Immunogen: Synthetic peptide within Human PCNA aa 88-137 / 261.
Positive control: HEK-293 cell lysate, HeLa cell lysate, MCF7 cell lysate, NIH/3T3 cell lysate, C2C12 cell lysate, PC-12 cell lysate, Mouse skin tissue lysate, Mouse spleen tissue lysate, human colon tissue, rat small intestine tissue, human colon cancer tissue, human tonsil tissue, human spleen tissue, rat spleen tissue, HeLa, NIH/3T3, L6.
Subcellular location: Nucleus.
Recommended Dilutions:
  WB
  IF-Cell
  IF-Tissue
  IHC-P
  FC
  IP

1:5,000-1:20,000
1:1,000-1:2,000
1:200-1:500
1:1,000-1:10,000
1:200
Use at an assay dependent concentration.
Uniprot #: SwissProt: P12004 Human | P17918 Mouse | P04961 Rat
Alternative names: ATLD2 cb16 Cyclin DNA polymerase delta auxiliary protein etID36690.10 fa28e03 fb36g03 HGCN8729 MGC8367 Mutagen-sensitive 209 protein OTTHUMP00000030189 OTTHUMP00000030190 PCNA Pcna/cyclin PCNA_HUMAN PCNAR Polymerase delta accessory protein Proliferating cell nuclear antigen wu:fa28e03 wu:fb36g03
Images
HA750084_1.jpg Fig1: Western blot analysis of PCNA on different lysates with Rabbit anti-PCNA antibody (HA750084) at 1/5,000 dilution.

Lane 1: HEK-293 cell lysate
Lane 2: HeLa cell lysate
Lane 3: MCF7 cell lysate
Lane 4: NIH/3T3 cell lysate
Lane 5: C2C12 cell lysate
Lane 6: PC-12 cell lysate

Lysates/proteins at 15 µg/Lane.

Predicted band size: 29 kDa
Observed band size: 34 kDa

Exposure time: 24 seconds;

4-20% SDS-PAGE gel.

Proteins were transferred to a PVDF membrane and blocked with 5% NFDM/TBST for 1 hour at room temperature. The primary antibody (HA750084) at 1/5,000 dilution was used in 5% NFDM/TBST at 4℃ overnight. Goat Anti-Rabbit IgG - HRP Secondary Antibody (HA1001) at 1/100,000 dilution was used for 1 hour at room temperature.
HA750084_2.jpg Fig2: Western blot analysis of PCNA on different lysates with Rabbit anti-PCNA antibody (HA750084) at 1/1,000 dilution.

Lane 1: Mouse skin tissue lysate
Lane 2: Mouse spleen tissue lysate

Lysates/proteins at 40 µg/Lane.

Predicted band size: 29 kDa
Observed band size: 34 kDa

Exposure time: 10 seconds; ECL: K1801;

4-20% SDS-PAGE gel.

Proteins were transferred to a PVDF membrane and blocked with 5% NFDM/TBST for 1 hour at room temperature. The primary antibody (HA750084) at 1/1,000 dilution was used in 5% NFDM/TBST at 4℃ overnight. Goat Anti-Rabbit IgG - HRP Secondary Antibody (HA1001) at 1/50,000 dilution was used for 1 hour at room temperature.
HA750084_3.jpg Fig3: Western blot analysis of PCNA with anti-PCNA antibody (HA750084) at 1/5,000 dilution.
Lane 1: Wild-type Hela whole cell lysate (10 µg).
Lane 2: PCNA knockdown Hela whole cell lysate (10 µg).

Predicted band size: 29 kDa
Observed band size: 35 kDa

Proteins were transferred to a PVDF membrane and blocked with 5% NFDM in TBST for 1 hour at room temperature. The primary antibody (ET1605-38, 1/5,000) was used in 5% BSA at room temperature for 2 hours. Goat Anti-Rabbit IgG-HRP Secondary Antibody (HA1001) at 1/50,000 dilution was used for 1 hour at room temperature.
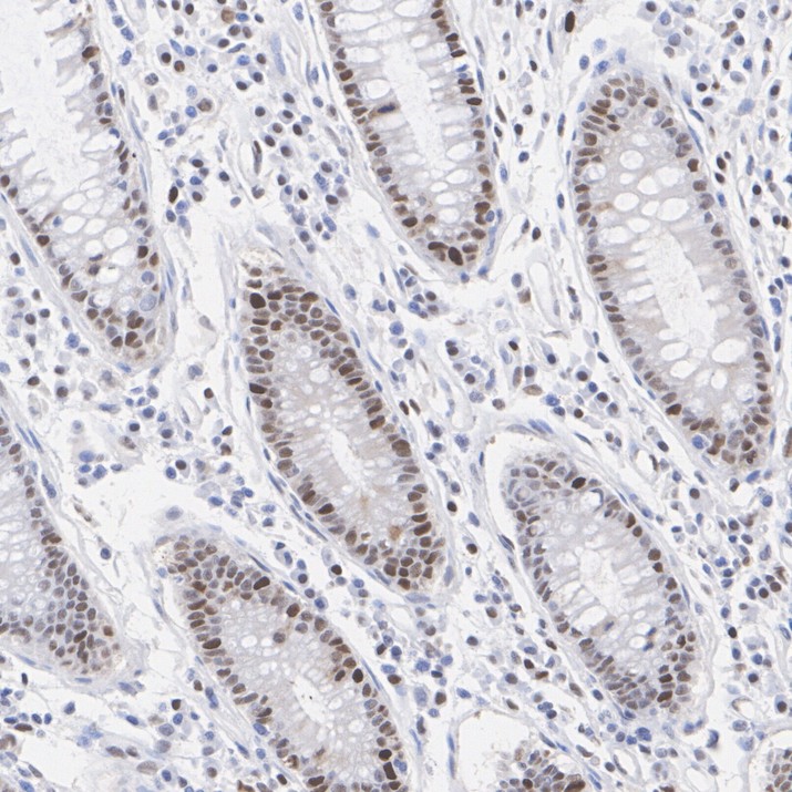
HA750084_4.jpg Fig4: Immunohistochemical analysis of paraffin-embedded human colon tissue with Rabbit anti-PCNA antibody (HA750084) at 1/10,000 dilution.

The section was pre-treated using heat mediated antigen retrieval with sodium citrate buffer (pH 6.0) (high pressure) for 2 minutes. The tissues were blocked in 1% BSA for 20 minutes at room temperature, washed with ddH2O and PBS, and then probed with the primary antibody (HA750084) at 1/10,000 dilution for 1 hour at room temperature. The detection was performed using an HRP conjugated compact polymer system. DAB was used as the chromogen. Tissues were counterstained with hematoxylin and mounted with DPX.
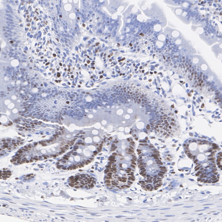
HA750084_5.jpg Fig5: Immunohistochemical analysis of paraffin-embedded rat small intestine tissue with Rabbit anti-PCNA antibody (HA750084) at 1/10,000 dilution.

The section was pre-treated using heat mediated antigen retrieval with sodium citrate buffer (pH 6.0) (high pressure) for 2 minutes. The tissues were blocked in 1% BSA for 20 minutes at room temperature, washed with ddH2O and PBS, and then probed with the primary antibody (HA750084) at 1/10,000 dilution for 1 hour at room temperature. The detection was performed using an HRP conjugated compact polymer system. DAB was used as the chromogen. Tissues were counterstained with hematoxylin and mounted with DPX.
HA750084_6.jpg Fig6: Immunohistochemical analysis of paraffin-embedded human colon cancer tissue with Rabbit anti-PCNA antibody (HA750084) at 1/2,000 dilution.

The section was pre-treated using heat mediated antigen retrieval with sodium citrate buffer (pH 6.0) (high pressure) for 2 minutes. The tissues were blocked in 1% BSA for 20 minutes at room temperature, washed with ddH2O and PBS, and then probed with the primary antibody (HA750084) at 1/2,000 dilution for 1 hour at room temperature. The detection was performed using an HRP conjugated compact polymer system. DAB was used as the chromogen. Tissues were counterstained with hematoxylin and mounted with DPX.
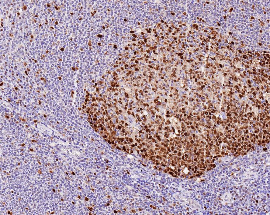
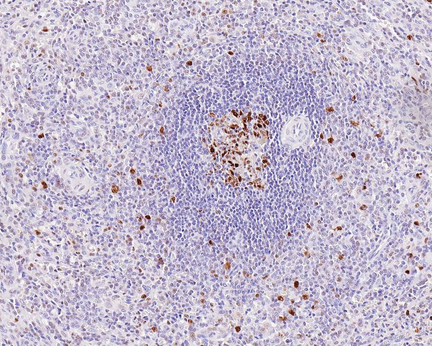
HA750084_7.jpg Fig7: Immunohistochemical analysis of paraffin-embedded human tonsil tissue with Rabbit anti-PCNA antibody (HA750084) at 1/2,000 dilution.

The section was pre-treated using heat mediated antigen retrieval with sodium citrate buffer (pH 6.0) (high pressure) for 2 minutes. The tissues were blocked in 1% BSA for 20 minutes at room temperature, washed with ddH2O and PBS, and then probed with the primary antibody (HA750084) at 1/2,000 dilution for 1 hour at room temperature. The detection was performed using an HRP conjugated compact polymer system. DAB was used as the chromogen. Tissues were counterstained with hematoxylin and mounted with DPX.
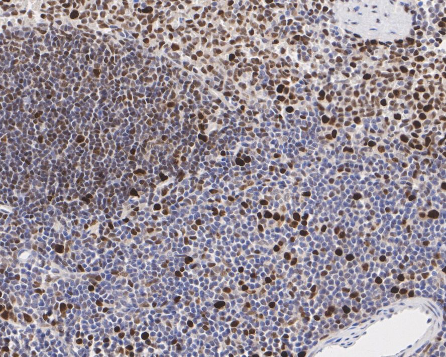
HA750084_8.jpg Fig8: Immunohistochemical analysis of paraffin-embedded human spleen tissue with Rabbit anti-PCNA antibody (HA750084) at 1/2,000 dilution.

The section was pre-treated using heat mediated antigen retrieval with sodium citrate buffer (pH 6.0) (high pressure) for 2 minutes. The tissues were blocked in 1% BSA for 20 minutes at room temperature, washed with ddH2O and PBS, and then probed with the primary antibody (HA750084) at 1/2,000 dilution for 1 hour at room temperature. The detection was performed using an HRP conjugated compact polymer system. DAB was used as the chromogen. Tissues were counterstained with hematoxylin and mounted with DPX.
HA750084_9.jpg Fig9: Immunohistochemical analysis of paraffin-embedded rat spleen tissue with Rabbit anti-PCNA antibody (HA750084) at 1/1,000 dilution.

The section was pre-treated using heat mediated antigen retrieval with sodium citrate buffer (pH 6.0) (high pressure) for 2 minutes. The tissues were blocked in 1% BSA for 20 minutes at room temperature, washed with ddH2O and PBS, and then probed with the primary antibody (HA750084) at 1/1,000 dilution for 1 hour at room temperature. The detection was performed using an HRP conjugated compact polymer system. DAB was used as the chromogen. Tissues were counterstained with hematoxylin and mounted with DPX.
HA750084_10.jpg Fig10: Immunocytochemistry analysis of HeLa cells labeling PCNA with Rabbit anti-PCNA antibody (HA750084) at 1/2,000 dilution.

Cells were fixed in 4% paraformaldehyde for 20 minutes at room temperature, permeabilized with 0.1% Triton X-100 in PBS for 5 minutes at room temperature, then blocked with 1% BSA in 10% negative goat serum for 1 hour at room temperature. Cells were then incubated with Rabbit anti-PCNA antibody (HA750084) at 1/2,000 dilution in 1% BSA in PBST overnight at 4 ℃. Goat Anti-Rabbit IgG H&L (iFluor™ 488, HA1121) was used as the secondary antibody at 1/1,000 dilution. PBS instead of the primary antibody was used as the secondary antibody only control. Nuclear DNA was labelled in blue with DAPI.

Beta tubulin (M1305-2, red) was stained at 1/100 dilution overnight at +4℃. Goat Anti-Mouse IgG H&L (iFluor™ 594, HA1126) was used as the secondary antibody at 1/1,000 dilution.
HA750084_11.jpg Fig11: Immunocytochemistry analysis of NIH/3T3 cells labeling PCNA with Rabbit anti-PCNA antibody (HA750084) at 1/1,000 dilution.

Cells were fixed in 4% paraformaldehyde for 15 minutes at room temperature, permeabilized with 0.1% Triton X-100 in PBS for 15 minutes at room temperature, then blocked with 1% BSA in 10% negative goat serum for 1 hour at room temperature. Cells were then incubated with Rabbit anti-PCNA antibody (HA750084) at 1/1,000 dilution in 1% BSA in PBST overnight at 4 ℃. Goat Anti-Rabbit IgG H&L (iFluor™ 488, HA1121) was used as the secondary antibody at 1/1,000 dilution. PBS instead of the primary antibody was used as the secondary antibody only control. Nuclear DNA was labelled in blue with DAPI.

Beta tubulin (HA601187, red) was stained at 1/100 dilution overnight at +4℃. Goat Anti-Mouse IgG H&L (iFluor™ 594, HA1126) was used as the secondary antibody at 1/1,000 dilution.
HA750084_12.jpg Fig12: Immunocytochemistry analysis of L6 cells labeling PCNA with Rabbit anti-PCNA antibody (HA750084) at 1/1,000 dilution.

Cells were fixed in 4% paraformaldehyde for 15 minutes at room temperature, permeabilized with 0.1% Triton X-100 in PBS for 15 minutes at room temperature, then blocked with 1% BSA in 10% negative goat serum for 1 hour at room temperature. Cells were then incubated with Rabbit anti-PCNA antibody (HA750084) at 1/1,000 dilution in 1% BSA in PBST overnight at 4 ℃. Goat Anti-Rabbit IgG H&L (iFluor™ 488, HA1121) was used as the secondary antibody at 1/1,000 dilution. PBS instead of the primary antibody was used as the secondary antibody only control. Nuclear DNA was labelled in blue with DAPI.

Beta tubulin (HA601187, red) was stained at 1/100 dilution overnight at +4℃. Goat Anti-Mouse IgG H&L (iFluor™ 594, HA1126) was used as the secondary antibody at 1/1,000 dilution.
HA750084_13.jpg Fig13: Flow cytometric analysis of HeLa cells labeling PCNA.

Cells were fixed and permeabilized. Then stained with the primary antibody (HA750084, 1μg/mL) (red) compared with Rabbit IgG Isotype Control (green). After incubation of the primary antibody at +4℃ for an hour, the cells were stained with a iFluor™ 488 conjugate-Goat anti-Rabbit IgG Secondary antibody (HA1121) at 1/1,000 dilution for 30 minutes at +4℃. Unlabelled sample was used as a control (cells without incubation with primary antibody; black).
Note: All products are “FOR RESEARCH USE ONLY AND ARE NOT INTENDED FOR DIAGNOSTIC OR THERAPEUTIC USE”.