Phospho-Smad5 (S463 + S465) Recombinant Rabbit Monoclonal Antibody [SY09-03]
cat.: HA750089
Product Type: Recombinant Rabbit monoclonal IgG, primary antibodies
Species reactivity: Human, Mouse, Rat
Applications: WB, IF-Cell, IHC-P
Clonality: Monoclonal
Clone number: SY09-03
Form: Liquid
Storage condition: Store at +4℃ after thawing. Aliquot store at -20℃ or -80℃. Avoid repeated freeze / thaw cycles.
Storage buffer: 1*PBS (pH7.4).
Concentration: 1ug/ul
Purification: Protein A affinity purified.
Molecular weight: Predicted band size: 52 kDa
Isotype: IgG
Immunogen: Synthetic phospho-peptide corresponding to residues surrounding Ser463 and 465 of Human Smad5. The immunogen may cross with p-smad1/9.
Positive control: HeLa treated with 20 ng/mL TGFβ1 for 15 minutes whole cell lysate, Rat brain tissue lysate, mouse brain tissue lysate, HeLa cells treated with 20ng/mL TGFβ1 for 15 minutes, SKOV-3, HepG2, human tonsil tissue, human breast carcinoma tissue, human liver tissue, mouse brain tissue.
Subcellular location: Cytoplasm, Nucleus.
Recommended Dilutions:
  WB
  IF-Cell
  IHC-P

1:1,000-1:2,000
1:50-1:200
1:50-1:200
Uniprot #: SwissProt: Q99717 Human | P97454 Mouse | Q9R1V3 Rat
Alternative names: DKFZp781C1895 DKFZp781O1323 Dwfc hSmad5 JV5 1 JV5-1 MAD homolog 5 MAD, mothers against decapentaplegic homolog 5 MADH 5 MADH5 Mothers against decapentaplegic homolog 5 mothers against decapentaplegic, drosophila, homolog of, 5 Mothers against DPP homolog 5 MusMLP SMA and MAD related protein 5 SMAD 5 SMAD family member 5 SMAD, mothers against DPP homolog 5 Smad5 SMAD5_HUMAN
Images
HA750089_1.jpg Fig1: Western blot analysis of Phospho-Smad5 (S463 + S465) on different lysates with Rabbit anti-Phospho-Smad5 (S463 + S465) antibody (HA750089) at 1/1,000 dilution.

Lane 1: HeLa whole cell lysate
Lane 2: HeLa treated with 20 ng/mL TGFβ1 for 15 minutes whole cell lysate

Lysates/proteins at 20 µg/Lane.

Predicted band size: 52 kDa
Observed band size: 52 kDa

Exposure time: 2 minutes;

4-20% SDS-PAGE gel.

Proteins were transferred to a PVDF membrane and blocked with 5% NFDM/TBST for 1 hour at room temperature. The primary antibody (HA750089) at 1/1,000 dilution was used in 5% NFDM/TBST at room temperature for 2 hours. Goat Anti-Rabbit IgG - HRP Secondary Antibody (HA1001) at 1:100,000 dilution was used for 1 hour at room temperature.
HA750089_2.jpg Fig2: Western blot analysis of Phospho-Smad5 (S463 + S465) on different lysates with Rabbit anti-Phospho-Smad5 (S463 + S465) antibody (HA750089) at 1/500 dilution.

Lane 1: Rat brain tissue lysate
Lane 2: Mouse brain tissue lysate

Lysates/proteins at 20 µg/Lane.

Predicted band size: 52 kDa
Observed band size: 52 kDa

Exposure time: 2 minutes;

8% SDS-PAGE gel.

Proteins were transferred to a PVDF membrane and blocked with 5% NFDM/TBST for 1 hour at room temperature. The primary antibody (HA750089) at 1/500 dilution was used in 5% NFDM/TBST at room temperature for 2 hours. Goat Anti-Rabbit IgG - HRP Secondary Antibody (HA1001) at 1:300,000 dilution was used for 1 hour at room temperature.
HA750089_3.jpg Fig3: Immunocytochemistry analysis of HeLa cells treated with 20ng/mL TGFβ1 for 15 minutes labeling Phospho-Smad5 (S463 + S465) with Rabbit anti-Phospho-Smad5 (S463 + S465) antibody (HA750089) at 1/50 dilution.

Cells were fixed in 4% paraformaldehyde for 20 minutes at room temperature, permeabilized with 0.1% Triton X-100 in PBS for 5 minutes at room temperature, then blocked with 1% BSA in 10% negative goat serum for 1 hour at room temperature. Cells were then incubated with Rabbit anti-Phospho-Smad5 (S463 + S465) antibody (HA750089) at 1/50 dilution in 1% BSA in PBST overnight at 4 ℃. Goat Anti-Rabbit IgG H&L (iFluor™ 488, HA1121) was used as the secondary antibody at 1/1,000 dilution. PBS instead of the primary antibody was used as the secondary antibody only control. Nuclear DNA was labelled in blue with DAPI.
HA750089_4.jpg Fig4: ICC staining of Phospho-Smad5 (S463 + S465) in SKOV-3 cells (green). Formalin fixed cells were permeabilized with 0.1% Triton X-100 in TBS for 10 minutes at room temperature and blocked with 1% Blocker BSA for 15 minutes at room temperature. Cells were probed with the primary antibody (HA750089, 1/50) for 1 hour at room temperature, washed with PBS. Alexa Fluor®488 Goat anti-Rabbit IgG was used as the secondary antibody at 1/1,000 dilution. The nuclear counter stain is DAPI (blue).
HA750089_5.jpg Fig5: ICC staining of Phospho-Smad5 (S463 + S465) in HepG2 cells (green). Formalin fixed cells were permeabilized with 0.1% Triton X-100 in TBS for 10 minutes at room temperature and blocked with 1% Blocker BSA for 15 minutes at room temperature. Cells were probed with the primary antibody (HA750089, 1/50) for 1 hour at room temperature, washed with PBS. Alexa Fluor®488 Goat anti-Rabbit IgG was used as the secondary antibody at 1/1,000 dilution. The nuclear counter stain is DAPI (blue).
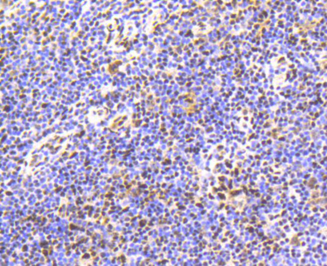
HA750089_6.jpg Fig6: Immunohistochemical analysis of paraffin-embedded human tonsil tissue using anti-Phospho-Smad5 (S463 + S465) antibody. The section was pre-treated using heat mediated antigen retrieval with Tris-EDTA buffer (pH 8.0-8.4) for 20 minutes.The tissues were blocked in 5% BSA for 30 minutes at room temperature, washed with ddH2O and PBS, and then probed with the primary antibody (HA750089, 1/50) for 30 minutes at room temperature. The detection was performed using an HRP conjugated compact polymer system. DAB was used as the chromogen. Tissues were counterstained with hematoxylin and mounted with DPX.
HA750089_7.jpg Fig7: Immunohistochemical analysis of paraffin-embedded human breast carcinoma tissue using anti-Phospho-Smad5 (S463 + S465) antibody. The section was pre-treated using heat mediated antigen retrieval with Tris-EDTA buffer (pH 8.0-8.4) for 20 minutes.The tissues were blocked in 5% BSA for 30 minutes at room temperature, washed with ddH2O and PBS, and then probed with the primary antibody (HA750089, 1/50) for 30 minutes at room temperature. The detection was performed using an HRP conjugated compact polymer system. DAB was used as the chromogen. Tissues were counterstained with hematoxylin and mounted with DPX.
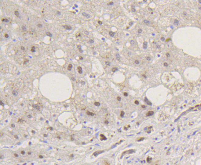
HA750089_8.jpg Fig8: Immunohistochemical analysis of paraffin-embedded human liver tissue using anti-Phospho-Smad5 (S463 + S465) antibody. The section was pre-treated using heat mediated antigen retrieval with Tris-EDTA buffer (pH 8.0-8.4) for 20 minutes.The tissues were blocked in 5% BSA for 30 minutes at room temperature, washed with ddH2O and PBS, and then probed with the primary antibody (HA750089, 1/50) for 30 minutes at room temperature. The detection was performed using an HRP conjugated compact polymer system. DAB was used as the chromogen. Tissues were counterstained with hematoxylin and mounted with DPX.
HA750089_9.jpg Fig9: Immunohistochemical analysis of paraffin-embedded mouse brain tissue using anti-Phospho-Smad5 (S463 + S465) antibody. The section was pre-treated using heat mediated antigen retrieval with Tris-EDTA buffer (pH 8.0-8.4) for 20 minutes.The tissues were blocked in 5% BSA for 30 minutes at room temperature, washed with ddH2O and PBS, and then probed with the primary antibody (HA750089, 1/50) for 30 minutes at room temperature. The detection was performed using an HRP conjugated compact polymer system. DAB was used as the chromogen. Tissues were counterstained with hematoxylin and mounted with DPX.
HA750089_10.jpg Fig10: Immunohistochemical analysis of paraffin-embedded rat brain tissue with Rabbit anti-Phospho-Smad5 (S463 + S465) antibody (HA750089) at 1/5,000 dilution.

The section was pre-treated using heat mediated antigen retrieval with sodium citrate buffer (pH 6.0) (high pressure) for 2 minutes. The tissues were blocked in 1% BSA for 20 minutes at room temperature, washed with ddH2O and PBS, and then probed with the primary antibody (HA750089) at 1/5,000 dilution for 1 hour at room temperature. The detection was performed using an HRP conjugated compact polymer system. DAB was used as the chromogen. Tissues were counterstained with hematoxylin and mounted with DPX.
HA750089_11.jpg Fig11: Flow cytometric analysis of HeLa+TGFβ1(20ng/mL 15min)(+) cells labeling Phospho-Smad5 (S463 + S465).

Cells were fixed and permeabilized. Then stained with the primary antibody (HA750089, 1μg/mL) (red) compared with Rabbit IgG Isotype Control (green). After incubation of the primary antibody at +4℃ for an hour, the cells were stained with a iFluor™ 488 conjugate-Goat anti-Rabbit IgG Secondary antibody (HA1121) at 1/1,000 dilution for 30 minutes at +4℃. Unlabelled sample was used as a control (cells without incubation with primary antibody; black).
Note: All products are “FOR RESEARCH USE ONLY AND ARE NOT INTENDED FOR DIAGNOSTIC OR THERAPEUTIC USE”.