Hsp90 alpha Recombinant Rabbit Monoclonal Antibody [SY14-06]
cat.: HA750091
Product Type: Recombinant Rabbit monoclonal IgG, primary antibodies
Species reactivity: Human, Mouse, Rat, Monkey
Applications: WB, IF-Cell, IF-Tissue, IHC-P
Clonality: Monoclonal
Clone number: SY14-06
Form: Liquid
Storage condition: Store at +4℃ after thawing. Aliquot store at -20℃ or -80℃. Avoid repeated freeze / thaw cycles.
Storage buffer: 1*PBS (pH7.4).
Concentration: 1ug/ul
Purification: Protein A affinity purified.
Molecular weight: Predicted band size: 85 kDa
Isotype: IgG
Immunogen: Synthetic peptide within Human Hsp90 alpha aa 51-100 / 732.
Positive control: HeLa cell lysate, A549 cell lysate, COS-1 cell lysate, NIH/3T3 cell lysate, PC-12 cell lysate, mouse testis tissue lysate, rat testis tissue lysate, PC-12, human tonsil tissue, human colon carcinoma tissue, human breast tissue, mouse testis tissue, mouse kidney tissue.
Subcellular location: Nucleus,Cytoplasm, Melanosome, Cell membrane,Mitochondrion.
Recommended Dilutions:
  WB
  IF-Cell
  IF-Tissue
  IHC-P

1:1,000-1:5,000
1:100-1:200
1:50-1:200
1:50-1:200
Uniprot #: SwissProt: P07900 Human | P07901 Mouse | P82995 Rat
Alternative names: EL52 epididymis luminal secretory protein 52 Heat shock 86 kDa heat shock 90kD protein 1, alpha Heat shock 90kD protein 1, alpha like 4 heat shock 90kD protein, alpha-like 4 Heat shock 90kDa protein 1 alpha Heat shock protein 90kDa alpha (cytosolic) class A member 1 Heat shock protein HSP 90-alpha HS90A_HUMAN HSP 86 HSP86 Hsp89 HSP89A Hsp90 HSP90A HSP90AA1 HSP90ALPHA HSP90N HSPC1 HSPCA HSPCAL1 HSPCAL4 HSPN LAP 2 LAP2 lipopolysaccharide-associated protein 2 LPS-associated protein 2 Renal carcinoma antigen NY-REN-38
Images
HA750091_1.jpg Fig1: Western blot analysis of Hsp90 alpha on different lysates with Rabbit anti-Hsp90 alpha antibody (HA750091) at 1/1,000 dilution.

Lane 1: HeLa cell lysate (15 µg/Lane)
Lane 2: A549 cell lysate (15 µg/Lane)
Lane 3: COS-1 cell lysate (15 µg/Lane)
Lane 4: NIH/3T3 cell lysate (15 µg/Lane)
Lane 5: PC-12 cell lysate (15 µg/Lane)
Lane 6: Mouse testis tissue lysate (20 µg/Lane)
Lane 7: Rat testis tissue lysate (20 µg/Lane)

Predicted band size: 85 kDa
Observed band size: 90 kDa

Exposure time: 20 seconds; ECL: K1801;

4-20% SDS-PAGE gel.

Proteins were transferred to a PVDF membrane and blocked with 5% NFDM/TBST for 1 hour at room temperature. The primary antibody (HA750091) at 1/1,000 dilution was used in 5% NFDM/TBST at 4℃ overnight. Goat Anti-Rabbit IgG - HRP Secondary Antibody (HA1001) at 1/50,000 dilution was used for 1 hour at room temperature.
HA750091_2.jpg Fig2: Immunocytochemistry analysis of PC-12 cells labeling Hsp90 alpha with Rabbit anti-Hsp90 alpha antibody (HA750091) at 1/100 dilution.

Cells were fixed in 4% paraformaldehyde for 20 minutes at room temperature, permeabilized with 0.1% Triton X-100 in PBS for 5 minutes at room temperature, then blocked with 1% BSA in 10% negative goat serum for 1 hour at room temperature. Cells were then incubated with Rabbit anti-Hsp90 alpha antibody (HA750091) at 1/100 dilution in 1% BSA in PBST overnight at 4 ℃. Goat Anti-Rabbit IgG H&L (iFluor™ 488, HA1121) was used as the secondary antibody at 1/1,000 dilution. PBS instead of the primary antibody was used as the secondary antibody only control. Nuclear DNA was labelled in blue with DAPI.

Beta tubulin (M1305-2, red) was stained at 1/100 dilution overnight at +4℃. Goat Anti-Mouse IgG H&L (iFluor™ 594, HA1126) was used as the secondary antibody at 1/1,000 dilution.
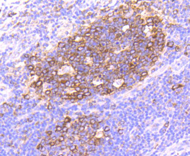
HA750091_3.jpg Fig3: Immunohistochemical analysis of paraffin-embedded human tonsil tissue using anti-Hsp90 alpha antibody. The section was pre-treated using heat mediated antigen retrieval with Tris-EDTA buffer (pH 8.0-8.4) for 20 minutes.The tissues were blocked in 5% BSA for 30 minutes at room temperature, washed with ddH2O and PBS, and then probed with the primary antibody (HA750091, 1/50) for 30 minutes at room temperature. The detection was performed using an HRP conjugated compact polymer system. DAB was used as the chromogen. Tissues were counterstained with hematoxylin and mounted with DPX.
HA750091_4.jpg Fig4: Immunohistochemical analysis of paraffin-embedded human colon carcinoma tissue using anti-Hsp90 alpha antibody. The section was pre-treated using heat mediated antigen retrieval with Tris-EDTA buffer (pH 8.0-8.4) for 20 minutes.The tissues were blocked in 5% BSA for 30 minutes at room temperature, washed with ddH2O and PBS, and then probed with the primary antibody (HA750091, 1/50) for 30 minutes at room temperature. The detection was performed using an HRP conjugated compact polymer system. DAB was used as the chromogen. Tissues were counterstained with hematoxylin and mounted with DPX.
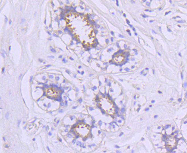
HA750091_5.jpg Fig5: Immunohistochemical analysis of paraffin-embedded human breast tissue using anti-Hsp90 alpha antibody. The section was pre-treated using heat mediated antigen retrieval with Tris-EDTA buffer (pH 8.0-8.4) for 20 minutes.The tissues were blocked in 5% BSA for 30 minutes at room temperature, washed with ddH2O and PBS, and then probed with the primary antibody (HA750091, 1/50) for 30 minutes at room temperature. The detection was performed using an HRP conjugated compact polymer system. DAB was used as the chromogen. Tissues were counterstained with hematoxylin and mounted with DPX.
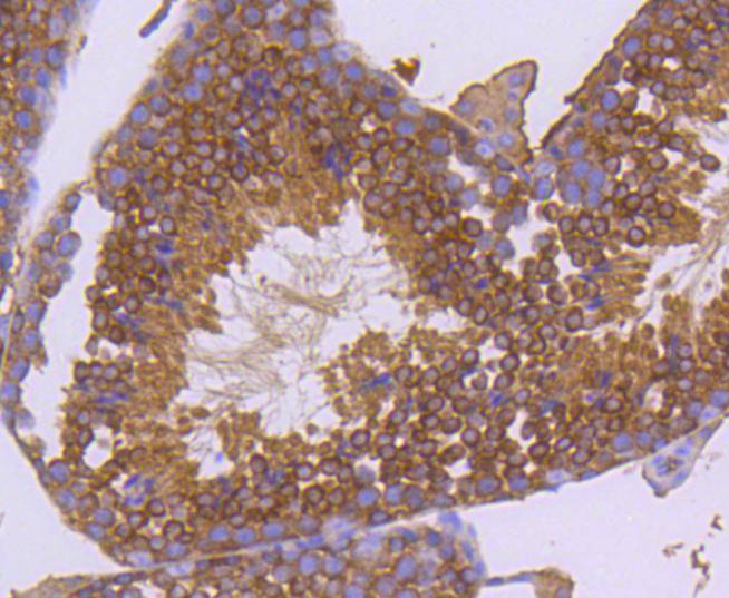
HA750091_6.jpg Fig6: Immunohistochemical analysis of paraffin-embedded mouse testis tissue using anti-Hsp90 alpha antibody. The section was pre-treated using heat mediated antigen retrieval with Tris-EDTA buffer (pH 8.0-8.4) for 20 minutes.The tissues were blocked in 5% BSA for 30 minutes at room temperature, washed with ddH2O and PBS, and then probed with the primary antibody (HA750091, 1/50) for 30 minutes at room temperature. The detection was performed using an HRP conjugated compact polymer system. DAB was used as the chromogen. Tissues were counterstained with hematoxylin and mounted with DPX.
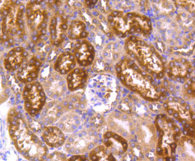
HA750091_7.jpg Fig7: Immunohistochemical analysis of paraffin-embedded mouse kidney tissue using anti-Hsp90 alpha antibody. The section was pre-treated using heat mediated antigen retrieval with Tris-EDTA buffer (pH 8.0-8.4) for 20 minutes.The tissues were blocked in 5% BSA for 30 minutes at room temperature, washed with ddH2O and PBS, and then probed with the primary antibody (HA750091, 1/50) for 30 minutes at room temperature. The detection was performed using an HRP conjugated compact polymer system. DAB was used as the chromogen. Tissues were counterstained with hematoxylin and mounted with DPX.
Note: All products are “FOR RESEARCH USE ONLY AND ARE NOT INTENDED FOR DIAGNOSTIC OR THERAPEUTIC USE”.