MCL1 Recombinant Rabbit Monoclonal Antibody [SI16-04]
cat.: HA750093
Product Type: Recombinant Rabbit monoclonal IgG, primary antibodies
Species reactivity: Human, Mouse, Rat
Applications: WB, IF-Tissue, IHC-P, IP
Clonality: Monoclonal
Clone number: SI16-04
Form: Liquid
Storage condition: Store at +4℃ after thawing. Aliquot store at -20℃ or -80℃. Avoid repeated freeze / thaw cycles.
Storage buffer: 1*PBS (pH7.4).
Concentration: 1ug/ul
Purification: Protein A affinity purified.
Molecular weight: Predicted band size: 37 kDa
Isotype: IgG
Immunogen: Synthetic peptide within Human MCL1 aa 101-150 / 350.
Positive control: Raji cell lysate, Ramos cell lysate, MCF7 cell lysate, SK-OV-3 cell lysate, mouse heart tissue lysates, Hela, HepG2, BT-20, human breast tissue, human kidney tissue, human pancreas tissue, mouse kidney tissue, Jurkat.
Subcellular location: Membrane, Cytoplasm, Mitochondrion, Nucleus.
Recommended Dilutions:
  WB
  IF-Tissue
  IHC-P
  IP

1:500-1:1,000
1:50-1:200
1:50-1:200
Use at an assay dependent concentration.
Uniprot #: SwissProt: Q07820 Human | P97287 Mouse | Q9Z1P3 Rat
Alternative names: Bcl 2 related protein EAT/mcl1 Bcl-2-like protein 3 Bcl-2-related protein EAT/mcl1 BCL2 related Bcl2-L-3 BCL2L3 EAT Induced myeloid leukemia cell differentiation protein Mcl 1 Induced myeloid leukemia cell differentiation protein Mcl-1 MCL 1 MCL1 MCL1-ES mcl1/EAT MCL1_HUMAN MCL1L MCL1S MGC104264 MGC1839 Myeloid Cell Leukemia 1 Myeloid cell leukemia ES Myeloid cell leukemia sequence 1 Myeloid cell leukemia sequence 1 BCL2 related Myeloid cell leukemia sequence 1 isoform 1 OTTHUMP00000032794 OTTHUMP00000032795 TM
Images
HA750093_1.jpg Fig1: Western blot analysis of MCL1 on different lysates with Rabbit anti-MCL1 antibody (HA750093) at 1/1,000 dilution.

Lane 1: MCF7-si NT cell lysate
Lane 2: MCF7-si MCL1 cell lysate

Lysates/proteins at 10 µg/Lane.

Predicted band size: 37 kDa
Observed band size: 40 kDa

Exposure time: 2 minutes 15 seconds;

4-20% SDS-PAGE gel.

Proteins were transferred to a PVDF membrane and blocked with 5% NFDM/TBST for 1 hour at room temperature. The primary antibody (HA750093) at 1/1,000 dilution was used in 5% NFDM/TBST at 4℃ overnight. Goat Anti-Rabbit IgG - HRP Secondary Antibody (HA1001) at 1/100,000 dilution was used for 1 hour at room temperature.
HA750093_2.jpg Fig2: Western blot analysis of MCL1 on different lysates with Rabbit anti-MCL1 antibody (HA750093) at 1/2,000 dilution.

Lane 1: Raji cell lysate
Lane 2: Ramos cell lysate
Lane 3: MCF7 cell lysate
Lane 4: SK-OV-3 cell lysate

Lysates/proteins at 15 µg/Lane.

Predicted band size: 37 kDa
Observed band size: 40 kDa

Exposure time: 5 minutes 10 seconds;

4-20% SDS-PAGE gel.

Proteins were transferred to a PVDF membrane and blocked with 5% NFDM/TBST for 1 hour at room temperature. The primary antibody (HA750093) at 1/2,000 dilution was used in 5% NFDM/TBST at 4℃ overnight. Goat Anti-Rabbit IgG - HRP Secondary Antibody (HA1001) at 1/50,000 dilution was used for 1 hour at room temperature.
HA750093_3.jpg Fig3: Western blot analysis of MCL1 on mouse heart tissue lysates with Rabbit anti-MCL1 antibody (HA750093) at 1/500 dilution.

Lysates/proteins at 20 µg/Lane.

Predicted band size: 37 kDa
Observed band size: 42 kDa

Exposure time: 2 minutes;
10% SDS-PAGE gel.

Proteins were transferred to a PVDF membrane and blocked with 5% NFDM/TBST for 1 hour at room temperature. The primary antibody (HA750093) at 1/500 dilution was used in 5% NFDM/TBST at room temperature for 2 hours. Goat Anti-Rabbit IgG - HRP Secondary Antibody (HA1001) at 1:300,000 dilution was used for 1 hour at room temperature.
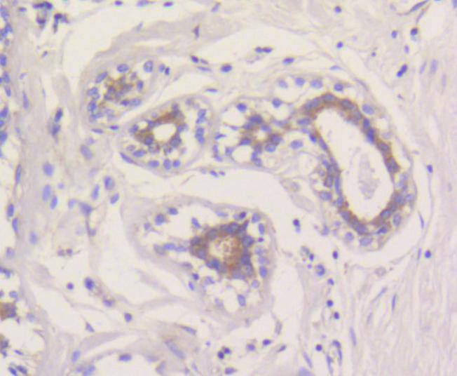
HA750093_4.jpg Fig4: Immunohistochemical analysis of paraffin-embedded human breast tissue using anti-MCL1 antibody. The section was pre-treated using heat mediated antigen retrieval with Tris-EDTA buffer (pH 8.0-8.4) for 20 minutes.The tissues were blocked in 5% BSA for 30 minutes at room temperature, washed with ddH2O and PBS, and then probed with the primary antibody (HA750093, 1/50) for 30 minutes at room temperature. The detection was performed using an HRP conjugated compact polymer system. DAB was used as the chromogen. Tissues were counterstained with hematoxylin and mounted with DPX.
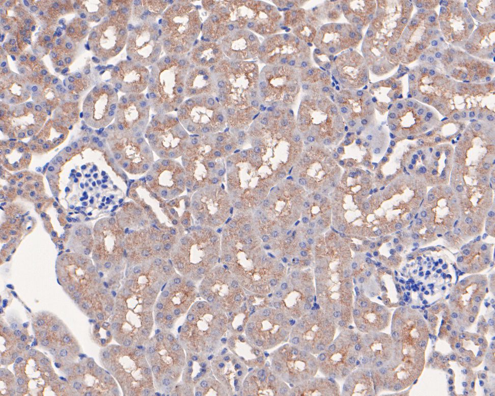
HA750093_5.jpg Fig5: Immunohistochemical analysis of paraffin-embedded human kidney tissue using anti-MCL1 antibody. The section was pre-treated using heat mediated antigen retrieval with Tris-EDTA buffer (pH 8.0-8.4) for 20 minutes.The tissues were blocked in 5% BSA for 30 minutes at room temperature, washed with ddH2O and PBS, and then probed with the primary antibody (HA750093, 1/50) for 30 minutes at room temperature. The detection was performed using an HRP conjugated compact polymer system. DAB was used as the chromogen. Tissues were counterstained with hematoxylin and mounted with DPX.
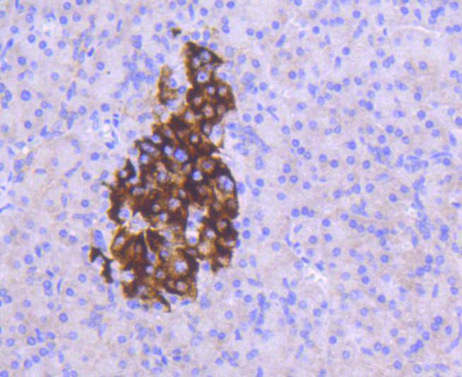
HA750093_6.jpg Fig6: Immunohistochemical analysis of paraffin-embedded human pancreas tissue using anti-MCL1 antibody. The section was pre-treated using heat mediated antigen retrieval with Tris-EDTA buffer (pH 8.0-8.4) for 20 minutes.The tissues were blocked in 5% BSA for 30 minutes at room temperature, washed with ddH2O and PBS, and then probed with the primary antibody (HA750093, 1/50) for 30 minutes at room temperature. The detection was performed using an HRP conjugated compact polymer system. DAB was used as the chromogen. Tissues were counterstained with hematoxylin and mounted with DPX.
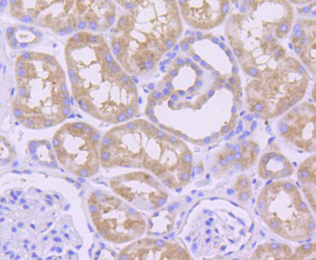
HA750093_7.jpg Fig7: Immunohistochemical analysis of paraffin-embedded mouse kidney tissue using anti-MCL1 antibody. The section was pre-treated using heat mediated antigen retrieval with Tris-EDTA buffer (pH 8.0-8.4) for 20 minutes.The tissues were blocked in 5% BSA for 30 minutes at room temperature, washed with ddH2O and PBS, and then probed with the primary antibody (HA750093, 1/50) for 30 minutes at room temperature. The detection was performed using an HRP conjugated compact polymer system. DAB was used as the chromogen. Tissues were counterstained with hematoxylin and mounted with DPX.
Note: All products are “FOR RESEARCH USE ONLY AND ARE NOT INTENDED FOR DIAGNOSTIC OR THERAPEUTIC USE”.