Calponin Recombinant Rabbit Monoclonal Antibody [SI67-01]
cat.: HA750094
Product Type: Recombinant Rabbit monoclonal IgG, primary antibodies
Species reactivity: Human, Mouse, Rat
Applications: WB, IF-Cell, IF-Tissue, IHC-P
Clonality: Monoclonal
Clone number: SI67-01
Form: Liquid
Storage condition: Store at +4℃ after thawing. Aliquot store at -20℃ or -80℃. Avoid repeated freeze / thaw cycles.
Storage buffer: 1*PBS (pH7.4).
Concentration: 1ug/ul
Purification: Protein A affinity purified.
Molecular weight: Predicted band size: 33 kDa
Isotype: IgG
Immunogen: Synthetic peptide within Human Calponin aa 248-297 / 297.
Positive control: Mouse stomach tissue lysate, Rat stomach tissue lysate, Hela cell lysate, NIH/3T3 cell lysate, mouse colon tissue, mouse stomach tissue, rat colon tissue, rat stomach tissue.
Subcellular location: Cytoskeleton,focal adhesion.
Recommended Dilutions:
  WB
  IF-Cell
  IF-Tissue
  IHC-P

1:500-1:2,000
1:50-1:200
1:50-1:200
1:5,000-1:100,000
Uniprot #: SwissProt: P51911 Human | Q08091 Mouse | Q08290 Rat
Alternative names: Basic calponin Calponin 1 Calponin 1 basic smooth muscle Calponin H1 Calponin H1 smooth muscle Calponin-1 Calponin1 Calponins basic CNN 1 Cnn1 CNN1_HUMAN Epididymis secretory protein Li 14 HEL S 14 Sm Calp SMCC smooth muscle
Images
HA750094_1.jpg Fig1: Western blot analysis of Calponin on different lysates with Rabbit anti-Calponin antibody (HA750094) at 1/1,000 dilution.

Lane 1: Mouse stomach tissue lysate
Lane 2: Rat stomach tissue lysate

Lysates/proteins at 40 µg/Lane.

Predicted band size: 33 kDa
Observed band size: 35 kDa

Exposure time: 3 seconds; ECL: K1801;

4-20% SDS-PAGE gel.

Proteins were transferred to a PVDF membrane and blocked with 5% NFDM/TBST for 1 hour at room temperature. The primary antibody (HA750094) at 1/1,000 dilution was used in 5% NFDM/TBST at 4℃ overnight. Goat Anti-Rabbit IgG - HRP Secondary Antibody (HA1001) at 1/50,000 dilution was used for 1 hour at room temperature.
HA750094_2.jpg Fig2: Western blot analysis of Calponin on different lysates. Proteins were transferred to a PVDF membrane and blocked with 5% BSA in PBS for 1 hour at room temperature. The primary antibody (HA750094, 1/500) was used in 5% BSA at room temperature for 2 hours. Goat Anti-Rabbit IgG - HRP Secondary Antibody (HA1001) at 1:5,000 dilution was used for 1 hour at room temperature.
Positive control:
Lane 1: Hela cell lysate
Lane 2: NIH/3T3 cell lysate
HA750094_3.jpg Fig3: ICC staining of Calponin in HepG2 cells (green). Formalin fixed cells were permeabilized with 0.1% Triton X-100 in TBS for 10 minutes at room temperature and blocked with 1% Blocker BSA for 15 minutes at room temperature. Cells were probed with the primary antibody (HA750094, 1/50) for 1 hour at room temperature, washed with PBS. Alexa Fluor®488 Goat anti-Rabbit IgG was used as the secondary antibody at 1/1,000 dilution. The nuclear counter stain is DAPI (blue).
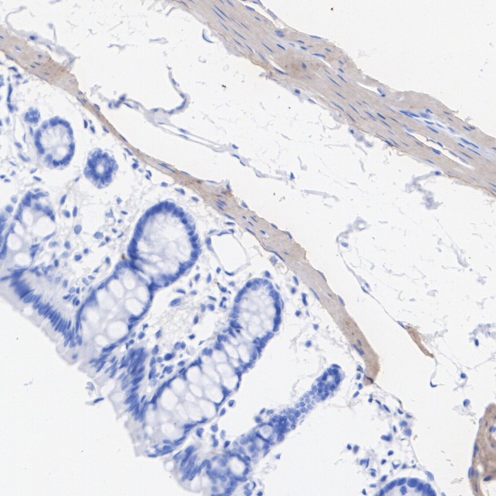
HA750094_4.jpg Fig4: Immunohistochemical analysis of paraffin-embedded mouse colon tissue with Rabbit anti-Calponin antibody (HA750094) at 1/5,000 dilution.

The section was pre-treated using heat mediated antigen retrieval with Tris-EDTA buffer (pH 9.0) for 20 minutes. The tissues were blocked in 1% BSA for 20 minutes at room temperature, washed with ddH2O and PBS, and then probed with the primary antibody (HA750094) at 1/5,000 dilution for 1 hour at room temperature. The detection was performed using an HRP conjugated compact polymer system. DAB was used as the chromogen. Tissues were counterstained with hematoxylin and mounted with DPX.
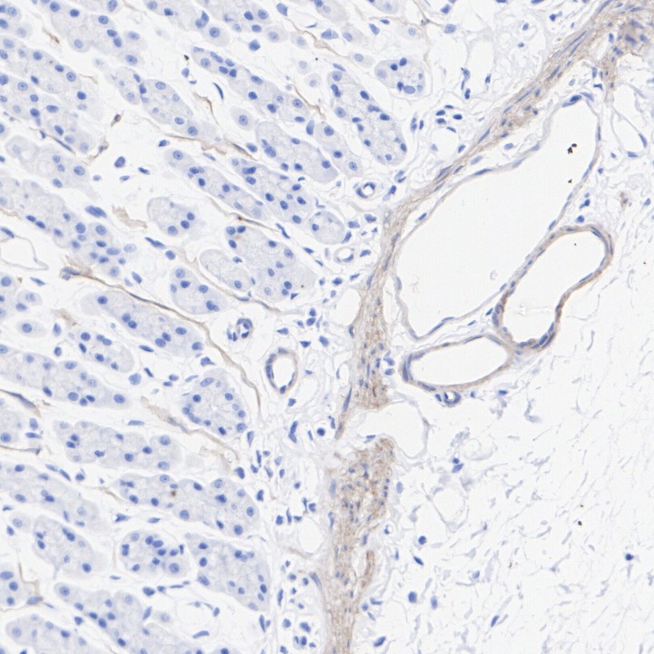
HA750094_5.jpg Fig5: Immunohistochemical analysis of paraffin-embedded mouse stomach tissue with Rabbit anti-Calponin antibody (HA750094) at 1/100,000 dilution.

The section was pre-treated using heat mediated antigen retrieval with Tris-EDTA buffer (pH 9.0) for 20 minutes. The tissues were blocked in 1% BSA for 20 minutes at room temperature, washed with ddH2O and PBS, and then probed with the primary antibody (HA750094) at 1/100,000 dilution for 1 hour at room temperature. The detection was performed using an HRP conjugated compact polymer system. DAB was used as the chromogen. Tissues were counterstained with hematoxylin and mounted with DPX.
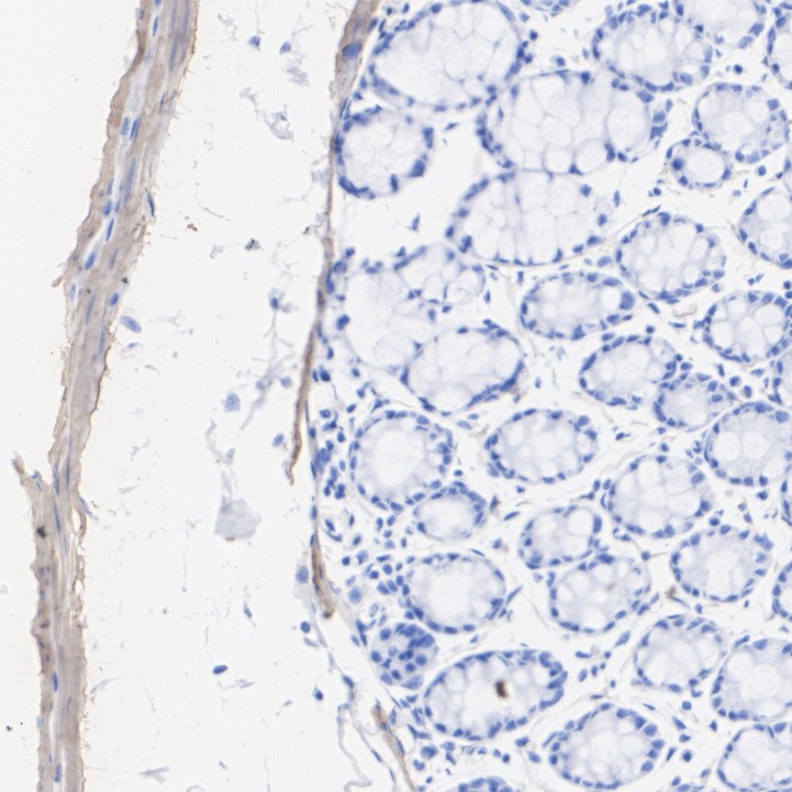
HA750094_6.jpg Fig6: Immunohistochemical analysis of paraffin-embedded rat colon tissue with Rabbit anti-Calponin antibody (HA750094) at 1/5,000 dilution.

The section was pre-treated using heat mediated antigen retrieval with Tris-EDTA buffer (pH 9.0) for 20 minutes. The tissues were blocked in 1% BSA for 20 minutes at room temperature, washed with ddH2O and PBS, and then probed with the primary antibody (HA750094) at 1/5,000 dilution for 1 hour at room temperature. The detection was performed using an HRP conjugated compact polymer system. DAB was used as the chromogen. Tissues were counterstained with hematoxylin and mounted with DPX.
HA750094_7.jpg Fig7: Immunohistochemical analysis of paraffin-embedded rat stomach tissue with Rabbit anti-Calponin antibody (HA750094) at 1/5,000 dilution.

The section was pre-treated using heat mediated antigen retrieval with Tris-EDTA buffer (pH 9.0) for 20 minutes. The tissues were blocked in 1% BSA for 20 minutes at room temperature, washed with ddH2O and PBS, and then probed with the primary antibody (HA750094) at 1/5,000 dilution for 1 hour at room temperature. The detection was performed using an HRP conjugated compact polymer system. DAB was used as the chromogen. Tissues were counterstained with hematoxylin and mounted with DPX.
Note: All products are “FOR RESEARCH USE ONLY AND ARE NOT INTENDED FOR DIAGNOSTIC OR THERAPEUTIC USE”.