ATM Recombinant Rabbit Monoclonal Antibody [SI70-01]
cat.: HA750096
Product Type: Recombinant Rabbit monoclonal IgG, primary antibodies
Species reactivity: Human, Rat
Applications: WB, IF-Cell, IF-Tissue, IHC-P
Clonality: Monoclonal
Clone number: SI70-01
Form: Liquid
Storage condition: Store at +4℃ after thawing. Aliquot store at -20℃ or -80℃. Avoid repeated freeze / thaw cycles.
Storage buffer: 1*PBS (pH7.4).
Concentration: 1ug/ul
Purification: Protein A affinity purified.
Molecular weight: Predicted band size: 351 kDa
Isotype: IgG
Immunogen: Synthetic peptide within Human ATM aa 1,951-2,000 / 3,056.
Positive control: HeLa cell lysate, A549 cell lysate, NCCIT cell lysate, HEK-293 cell lysate, CRC cell lysate, HeLa, human testis tissue, human tonsil tissue, rat colon tissue, human pancreas tissue.
Subcellular location: Nucleus,Cytoplasm, cytoskeleton, microtubule organizing center, centrosome By Similarity.
Recommended Dilutions:
  WB
  IF-Cell
  IF-Tissue
  IHC-P

1:1,000-1:5,000
1:50-1:200
1:50-1:200
1:50-1:1,000
Uniprot #: SwissProt: Q13315 Human
Entrez Gene: 300711 Rat
Alternative names: A-T mutated A-T mutated homolog AT mutated AT1 ATA Ataxia telangiectasia mutated Ataxia telangiectasia mutated gene Ataxia telangiectasia mutated homolog (human) Ataxia telangiectasia mutated homolog ATC ATD ATDC ATE ATM ATM serine/threonine kinase ATM_HUMAN DKFZp781A0353 MGC74674 OTTHUMP00000232981 Serine protein kinase ATM Serine-protein kinase ATM Serine/threonine-protein kinase ATM Tefu TEL1 TEL1, telomere maintenance 1, homolog TELO1 Telomere fusion protein
Images
HA750096_1.jpg Fig1: Western blot analysis of ATM on different lysates with Rabbit anti-ATM antibody (HA750096) at 1/5,000 dilution.

Lane 1: HeLa cell lysate
Lane 2: A549 cell lysate
Lane 3: NCCIT cell lysate
Lane 4: HEK-293 cell lysate

Lysates/proteins at 15 µg/Lane.

Predicted band size: 351 kDa
Observed band size: 351 kDa

Exposure time: 24 seconds; ECL: K1801;

3-8% SDS-PAGE gel.

Proteins were transferred to a PVDF membrane and blocked with 5% NFDM/TBST for 1 hour at room temperature. The primary antibody (HA750096) at 1/5,000 dilution was used in 5% NFDM/TBST at 4℃ overnight. Goat Anti-Rabbit IgG - HRP Secondary Antibody (HA1001) at 1/50,000 dilution was used for 1 hour at room temperature.
HA750096_2.jpg Fig2: Western blot analysis of ATM on different lysates with Rabbit anti-ATM antibody (HA750096) at 1/1,000 dilution.

Lane 1: A549 cell lysate
Lane 2: CRC cell lysate

Lysates/proteins at 20 µg/Lane.

Predicted band size: 351 kDa
Observed band size: 351 kDa

Exposure time: 25 seconds; ECL: K1801;

3-8% SDS-PAGE gel.

Proteins were transferred to a PVDF membrane and blocked with 5% NFDM/TBST for 1 hour at room temperature. The primary antibody (HA750096) at 1/1,000 dilution was used in 5% NFDM/TBST at 4℃ overnight. Goat Anti-Rabbit IgG - HRP Secondary Antibody (HA1001) at 1/50,000 dilution was used for 1 hour at room temperature.
HA750096_3.jpg Fig3: Western blot analysis of ATM on different lysates with Rabbit anti-ATM antibody (HA750096) at 1/2,000 dilution.

Lane 1: A549 WT cell lysate
Lane 2: A549 ATM KO cell lysate

Lysates/proteins at 15 µg/Lane.

Predicted band size: 351 kDa
Observed band size: 351 kDa

Exposure time: 1 minute 10 seconds;
ECL: Ori Supersensitive

4-20% SDS-PAGE gel.

ET1606-20 was shown to specifically react with ATM in A549 WT cells. No band was observed when A549 ATM KO sample was tested. A549 WT and A549 ATM KO samples were subjected to SDS-PAGE. Proteins were transferred to a PVDF membrane and blocked with 5% NFDM in TBST for 1 hour at room temperature. The primary antibody (ET1606-20, 1/2,000) and Loading control antibody (Rabbit anti-GAPDH, ET1601-4, 1/10,000) were used in 5% BSA at room temperature for 2 hours. Goat Anti-rabbit IgG-HRP Secondary Antibody (HA1001) at 1:50,000 dilution was used for 1 hour at room temperature.
HA750096_4.jpg Fig4: Immunocytochemistry analysis of HeLa cells labeling ATM with Rabbit anti-ATM antibody (HA750096) at 1/100 dilution.

Cells were fixed in 4% paraformaldehyde for 15 minutes at room temperature, permeabilized with 0.1% Triton X-100 in PBS for 15 minutes at room temperature, then blocked with 1% BSA in 10% negative goat serum for 1 hour at room temperature. Cells were then incubated with Rabbit anti-ATM antibody (HA750096) at 1/100 dilution in 1% BSA in PBST overnight at 4 ℃. Goat Anti-Rabbit IgG H&L (iFluor™ 488, HA1121) was used as the secondary antibody at 1/1,000 dilution. PBS instead of the primary antibody was used as the secondary antibody only control. Nuclear DNA was labelled in blue with DAPI.

Beta tubulin (HA601187, red) was stained at 1/100 dilution overnight at +4℃. Goat Anti-Mouse IgG H&L (iFluor™ 594, HA1126) was used as the secondary antibody at 1/1,000 dilution.
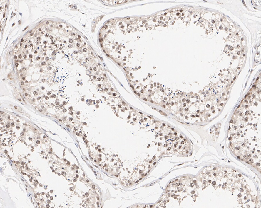
HA750096_5.jpg Fig5: Immunohistochemical analysis of paraffin-embedded human testis tissue with Rabbit anti-ATM antibody (HA750096) at 1/1,000 dilution.

The section was pre-treated using heat mediated antigen retrieval with sodium citrate buffer (pH 6.0) (high pressure) for 2 minutes. The tissues were blocked in 1% BSA for 20 minutes at room temperature, washed with ddH2O and PBS, and then probed with the primary antibody (HA750096) at 1/1,000 dilution for 1 hour at room temperature. The detection was performed using an HRP conjugated compact polymer system. DAB was used as the chromogen. Tissues were counterstained with hematoxylin and mounted with DPX.
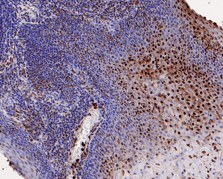
HA750096_6.jpg Fig6: Immunohistochemical analysis of paraffin-embedded human tonsil tissue with Rabbit anti-ATM antibody (HA750096) at 1/1,000 dilution.

The section was pre-treated using heat mediated antigen retrieval with sodium citrate buffer (pH 6.0) (high pressure) for 2 minutes. The tissues were blocked in 1% BSA for 20 minutes at room temperature, washed with ddH2O and PBS, and then probed with the primary antibody (HA750096) at 1/1,000 dilution for 1 hour at room temperature. The detection was performed using an HRP conjugated compact polymer system. DAB was used as the chromogen. Tissues were counterstained with hematoxylin and mounted with DPX.
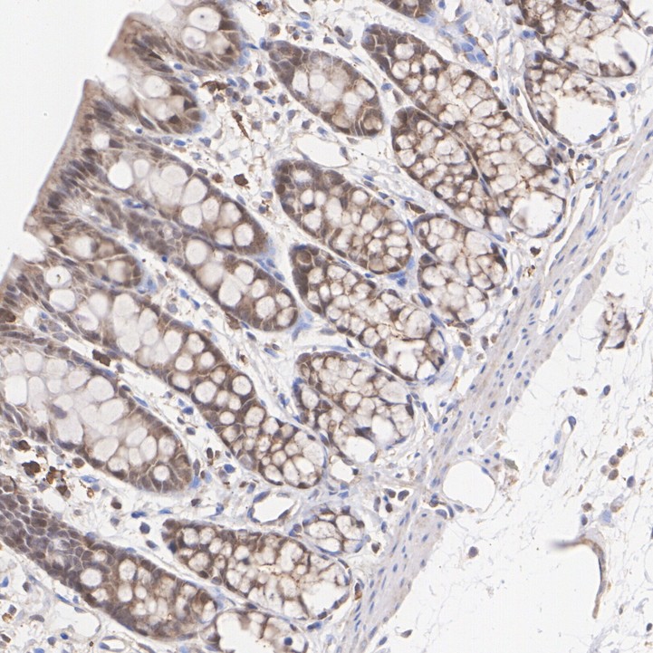
HA750096_7.jpg Fig7: Immunohistochemical analysis of paraffin-embedded rat colon tissue with Rabbit anti-ATM antibody (HA750096) at 1/200 dilution.

The section was pre-treated using heat mediated antigen retrieval with sodium citrate buffer (pH 6.0) (high pressure) for 2 minutes. The tissues were blocked in 1% BSA for 20 minutes at room temperature, washed with ddH2O and PBS, and then probed with the primary antibody (HA750096) at 1/200 dilution for 1 hour at room temperature. The detection was performed using an HRP conjugated compact polymer system. DAB was used as the chromogen. Tissues were counterstained with hematoxylin and mounted with DPX.
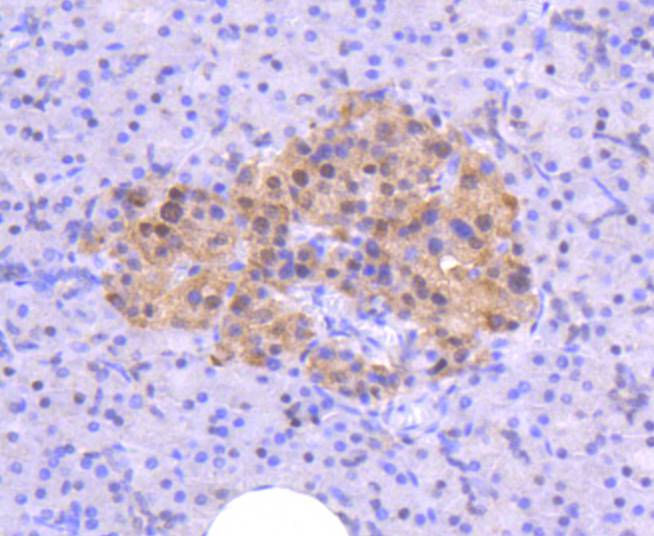
HA750096_8.jpg Fig8: Immunohistochemical analysis of paraffin-embedded human pancreas tissue using anti-ATM antibody. The section was pre-treated using heat mediated antigen retrieval with Tris-EDTA buffer (pH 8.0-8.4) for 20 minutes.The tissues were blocked in 5% BSA for 30 minutes at room temperature, washed with ddH2O and PBS, and then probed with the primary antibody (HA750096, 1/50) for 30 minutes at room temperature. The detection was performed using an HRP conjugated compact polymer system. DAB was used as the chromogen. Tissues were counterstained with hematoxylin and mounted with DPX.
Note: All products are “FOR RESEARCH USE ONLY AND ARE NOT INTENDED FOR DIAGNOSTIC OR THERAPEUTIC USE”.