Phospho-p53 (S392) Recombinant Rabbit Monoclonal Antibody [SI17-04]
cat.: HA750097
Product Type: Recombinant Rabbit monoclonal IgG, primary antibodies
Species reactivity: Human, Mouse, Rat
Applications: WB, IHC-P, IP
Clonality: Monoclonal
Clone number: SI17-04
Form: Liquid
Storage condition: Store at +4℃ after thawing. Aliquot store at -20℃ or -80℃. Avoid repeated freeze / thaw cycles.
Storage buffer: 1*PBS (pH7.4).
Concentration: 1ug/ul
Purification: Protein A affinity purified.
Molecular weight: Predicted band size: 53 kDa
Isotype: IgG
Immunogen: Synthetic phospho-peptide corresponding to residues surrounding Ser392 of Human p53 aa 344-393 / 393.
Positive control: 293 cell lysate, F9 cell lysate, A431 cell lysate, human stomach carcinoma tissue, mouse prostate tissue, A549 cells.
Subcellular location: Cytoplasm, Nucleus, Endoplasmic reticulum, Mitochondrion matrix.
Recommended Dilutions:
  WB
  IHC-P
  IP

1:1,000-1:5,000
1:50-1:200
Use at an assay dependent concentration.
Uniprot #: SwissProt: P04637 Human | P02340 Mouse | P10361 Rat
Alternative names: Antigen NY-CO-13 BCC7 Cellular tumor antigen p53 FLJ92943 LFS1 Mutant tumor protein 53 p53 p53 tumor suppressor P53_HUMAN Phosphoprotein p53 Tp53 Transformation related protein 53 TRP53 Tumor protein 53 Tumor protein p53 Tumor suppressor p53
Images
HA750097_1.jpg Fig1: Western blot analysis of Phospho-p53 (S392) on different cell lysates with Rabbit anti-Phospho-p53 (S392) antibody (HA750097) at 1:1,000 dilution.

Lane 1: 293 cell lysate
Lane 2: F9 cell lysate
Lane 3: A431 cell lysate

Lysates/proteins at 10 µg/Lane.

Predicted band size: 53 kDa
Observed band size: 53 kDa

Exposure time: 30 Seconds;

10% SDS-PAGE gel.

Proteins were transferred to a PVDF membrane and blocked with 5% BSA for 1 hour at room temperature. The primary antibody (ET1606-24) at 1:1,000 dilution was used in PBS at room temperature for 2 hours. Goat Anti-Rabbit IgG - HRP Secondary Antibody (HA1001) at 1:300,000 dilution was used for 1 hour at room temperature.
HA750097_2.jpg Fig2: Western blot analysis of Phospho-p53(S392) on 293 cell lysates.

Lane 1: 293 cells, whole cell lysate, 10ug/lane
Lane 2: 293 cells treated with 2.8ug/ul lambda-PP for 30 minutes, whole cell lysates, 10ug/lane

All lanes :
Anti-Phospho-p53(S392) antibody (HA750097) at 1:500 dilution. Anti-GAPDH antibody (ET1601-4) at 1:10,000 dilution. Goat Anti-Rabbit IgG H&L (HRP) (HA1001) at 1/200,000 dilution.

Predicted band size: 53 kDa
Observed band size: 53 kDa

Blocking and diluting buffer: 5% BSA.

Exposure time: 10 seconds
HA750097_3.jpg Fig3: Western blot analysis of Phospho-p53(S392) on A549 cell lysates.

Lane 1: A549 cells, whole cell lysate, 10ug/lane
Lane 2/3: A549 cells treated with 250nM Doxorubicin overnight, whole cell lysates, 10ug/lane
Lane 4: A549 cells treated with 250nM Doxorubicin overnight, then treated with 2.8ug/ul lambda-PP for 30 minutes, whole cell lysates, 10ug/lane

All lanes :
Anti-Phospho-p53(S392) antibody (HA750097) at 1:500 dilution. Anti-GAPDH antibody (ET1601-4) at 1:10,000 dilution. Goat Anti-Rabbit IgG H&L (HRP) (HA1001) at 1/200,000 dilution.

Predicted band size: 53 kDa
Observed band size: 53 kDa

Blocking and diluting buffer: 5% BSA.

Exposure time: 5 minutes
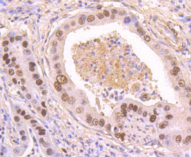
HA750097_4.jpg Fig4: Immunohistochemical analysis of paraffin-embedded human stomach carcinoma tissue using anti-Phospho-p53 (S392) antibody. The section was pre-treated using heat mediated antigen retrieval with Tris-EDTA buffer (pH 8.0-8.4) for 20 minutes.The tissues were blocked in 5% BSA for 30 minutes at room temperature, washed with ddH2O and PBS, and then probed with the primary antibody (HA750097, 1/50) for 30 minutes at room temperature. The detection was performed using an HRP conjugated compact polymer system. DAB was used as the chromogen. Tissues were counterstained with hematoxylin and mounted with DPX.
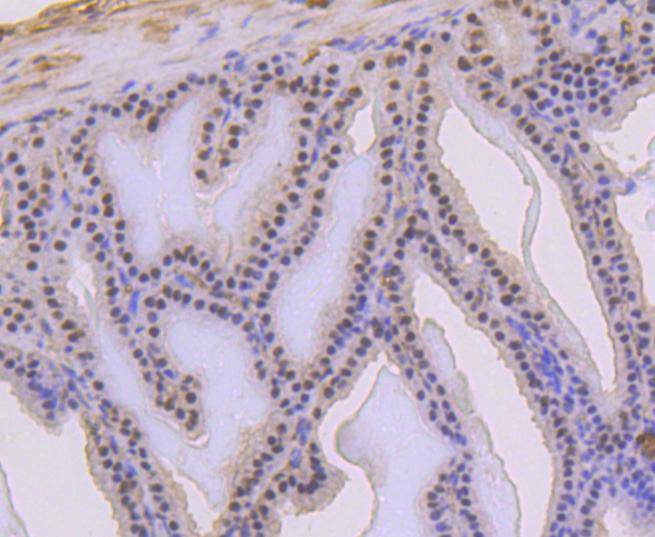
HA750097_5.jpg Fig5: Immunohistochemical analysis of paraffin-embedded mouse prostate tissue using anti-Phospho-p53 (S392) antibody. The section was pre-treated using heat mediated antigen retrieval with Tris-EDTA buffer (pH 8.0-8.4) for 20 minutes.The tissues were blocked in 5% BSA for 30 minutes at room temperature, washed with ddH2O and PBS, and then probed with the primary antibody (HA750097, 1/50) for 30 minutes at room temperature. The detection was performed using an HRP conjugated compact polymer system. DAB was used as the chromogen. Tissues were counterstained with hematoxylin and mounted with DPX.
HA750097_6.jpg Fig6: Immunohistochemical analysis of paraffin-embedded Human gastric adenocarcinoma tissue untreaed and treated with λ-PPase with Rabbit anti-Phospho-p53 (S392) antibody (HA750097) at 1/200 dilution.

The section was pre-treated using heat mediated antigen retrieval with sodium citrate buffer (pH 6.0) (high pressure) for 2 minutes. The tissues were blocked in 1% BSA for 20 minutes at room temperature, washed with ddH2O and PBS, and then probed with the primary antibody (ET1606-24) at 1/200 dilution for 1 hour at room temperature. The detection was performed using an HRP conjugated compact polymer system. DAB was used as the chromogen. Tissues were counterstained with hematoxylin and mounted with DPX.
Note: All products are “FOR RESEARCH USE ONLY AND ARE NOT INTENDED FOR DIAGNOSTIC OR THERAPEUTIC USE”.