Lamin B1 Recombinant Rabbit Monoclonal Antibody [SI17-07]
cat.: HA750098
Product Type: Recombinant Rabbit monoclonal IgG, primary antibodies
Species reactivity: Human, Mouse, Rat
Applications: WB, IF-Tissue, IHC-P, CUT&Tag-seq
Clonality: Monoclonal
Clone number: SI17-07
Form: Liquid
Storage condition: Store at +4℃ after thawing. Aliquot store at -20℃ or -80℃. Avoid repeated freeze / thaw cycles.
Storage buffer: 1*PBS (pH7.4).
Concentration: 1ug/ul
Purification: Protein A affinity purified.
Molecular weight: Predicted band size: 66 kDa
Isotype: IgG
Immunogen: Synthetic peptide within Human Lamin B1 aa 511-560 / 586.
Positive control: HeLa cell lysate, HEK-293 cell lysate, THP-1 cell lysate, SH-SY5Y cell lysate, C2C12 cell lysate, NIH/3T3 cell lysate, C6 cell lysate, PC-12 cell lysate, human liver tissue, human breast carcinoma tissue, human colon carcinoma tissue, human lymph nodes tissue, mouse large intestine tissue, rat liver tissue.
Subcellular location: Nucleus inner membrane.
Recommended Dilutions:
  WB
  IF-Tissue
  IHC-P

1:50,000
1:500-1:1,000
1:500-1:1,000
Uniprot #: SwissProt: P20700 Human | P14733 Mouse | P70615 Rat
Alternative names: ADLD lamin B1 Lamin-B1 LMN LMN2 LMNB Lmnb1 LMNB1_HUMAN MGC111419 OTTHUMP00000159218
Images
HA750098_1.jpg Fig1: Western blot analysis of Lamin B1 on different lysates with Rabbit anti-Lamin B1 antibody (HA750098) at 1/50,000 dilution.

Lane 1: HeLa cell lysate
Lane 2: HEK-293 cell lysate
Lane 3: THP-1 cell lysate
Lane 4: SH-SY5Y cell lysate
Lane 5: C2C12 cell lysate
Lane 6: NIH/3T3 cell lysate
Lane 7: C6 cell lysate
Lane 8: PC-12 cell lysate

Lysates/proteins at 15 µg/Lane.

Predicted band size: 66 kDa
Observed band size: 66 kDa

Exposure time: 21 seconds; ECL: K1801;

4-20% SDS-PAGE gel.

Proteins were transferred to a PVDF membrane and blocked with 5% NFDM/TBST for 1 hour at room temperature. The primary antibody (HA750098) at 1/50,000 dilution was used in 5% NFDM/TBST at 4℃ overnight. Goat Anti-Rabbit IgG - HRP Secondary Antibody (HA1001) at 1/50,000 dilution was used for 1 hour at room temperature.
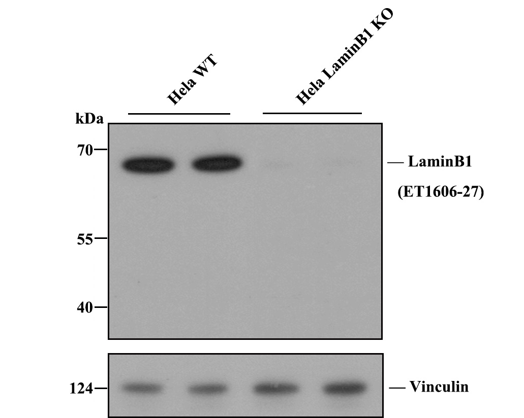
HA750098_2.jpg Fig2: All lanes: Western blot analysis of Lamin B1 with anti-Lamin B1 antibody [SI17-06] (HA750098) at 1:1,000 dilution.
Lane 1/2: Wild-type Hela whole cell lysate (20 µg).
Lane 3/4: Lamin B1 knockout Hela whole cell lysate (20 µg).

ET1606-27 was shown to specifically react with Lamin B1 in wild-type Hela cells. No band was observed when Lamin B1 knockout samples were tested. Wild-type and Lamin B1 knockout samples were subjected to SDS-PAGE. Proteins were transferred to a PVDF membrane and blocked with 5% NFDM in TBST for 1 hour at room temperature. The primary antibody (ET1606-27, 1/1,000) and Loading control antibody(Rabbit anti-Vinculin, ET1705-94, 1/5,000) was used in 5% BSA at room temperature for 2 hours. Goat Anti-Rabbit IgG-HRP Secondary Antibody (HA1001) at 1:200,000 dilution was used for 1 hour at room temperature.
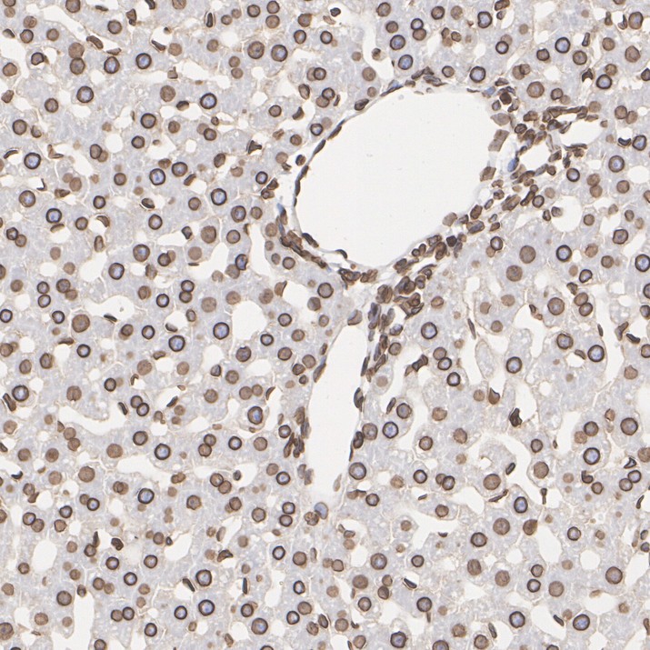
HA750098_3.jpg Fig3: Immunohistochemical analysis of paraffin-embedded human liver tissue with Rabbit anti-Lamin B1 antibody (HA750098) at 1/1,000 dilution.

The section was pre-treated using heat mediated antigen retrieval with Tris-EDTA buffer (pH 9.0) for 20 minutes. The tissues were blocked in 1% BSA for 20 minutes at room temperature, washed with ddH2O and PBS, and then probed with the primary antibody (HA750098) at 1/1,000 dilution for 1 hour at room temperature. The detection was performed using an HRP conjugated compact polymer system. DAB was used as the chromogen. Tissues were counterstained with hematoxylin and mounted with DPX.
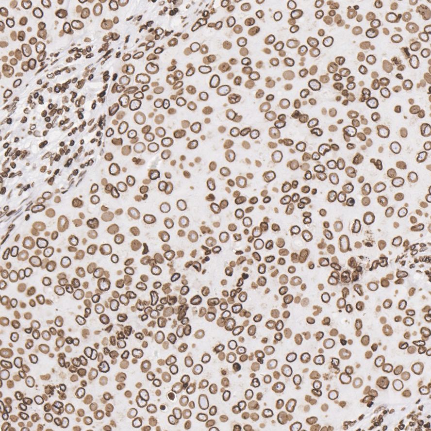
HA750098_4.jpg Fig4: Immunohistochemical analysis of paraffin-embedded human breast carcinoma tissue with Rabbit anti-Lamin B1 antibody (HA750098) at 1/1,000 dilution.

The section was pre-treated using heat mediated antigen retrieval with Tris-EDTA buffer (pH 9.0) for 20 minutes. The tissues were blocked in 1% BSA for 20 minutes at room temperature, washed with ddH2O and PBS, and then probed with the primary antibody (HA750098) at 1/1,000 dilution for 1 hour at room temperature. The detection was performed using an HRP conjugated compact polymer system. DAB was used as the chromogen. Tissues were counterstained with hematoxylin and mounted with DPX.
HA750098_5.jpg Fig5: Immunohistochemical analysis of paraffin-embedded human colon carcinoma tissue with Rabbit anti-Lamin B1 antibody (HA750098) at 1/500 dilution.

The section was pre-treated using heat mediated antigen retrieval with sodium citrate buffer (pH 6.0) (high pressure) for 2 minutes. The tissues were blocked in 1% BSA for 20 minutes at room temperature, washed with ddH2O and PBS, and then probed with the primary antibody (HA750098) at 1/500 dilution for 1 hour at room temperature. The detection was performed using an HRP conjugated compact polymer system. DAB was used as the chromogen. Tissues were counterstained with hematoxylin and mounted with DPX.
HA750098_6.jpg Fig6: Immunohistochemical analysis of paraffin-embedded human lymph nodes tissue with Rabbit anti-Lamin B1 antibody (HA750098) at 1/500 dilution.

The section was pre-treated using heat mediated antigen retrieval with sodium citrate buffer (pH 6.0) (high pressure) for 2 minutes. The tissues were blocked in 1% BSA for 20 minutes at room temperature, washed with ddH2O and PBS, and then probed with the primary antibody (HA750098) at 1/500 dilution for 1 hour at room temperature. The detection was performed using an HRP conjugated compact polymer system. DAB was used as the chromogen. Tissues were counterstained with hematoxylin and mounted with DPX.
HA750098_7.jpg Fig7: Immunohistochemical analysis of paraffin-embedded mouse large intestine tissue with Rabbit anti-Lamin B1 antibody (HA750098) at 1/500 dilution.

The section was pre-treated using heat mediated antigen retrieval with sodium citrate buffer (pH 6.0) (high pressure) for 2 minutes. The tissues were blocked in 1% BSA for 20 minutes at room temperature, washed with ddH2O and PBS, and then probed with the primary antibody (HA750098) at 1/500 dilution for 1 hour at room temperature. The detection was performed using an HRP conjugated compact polymer system. DAB was used as the chromogen. Tissues were counterstained with hematoxylin and mounted with DPX.
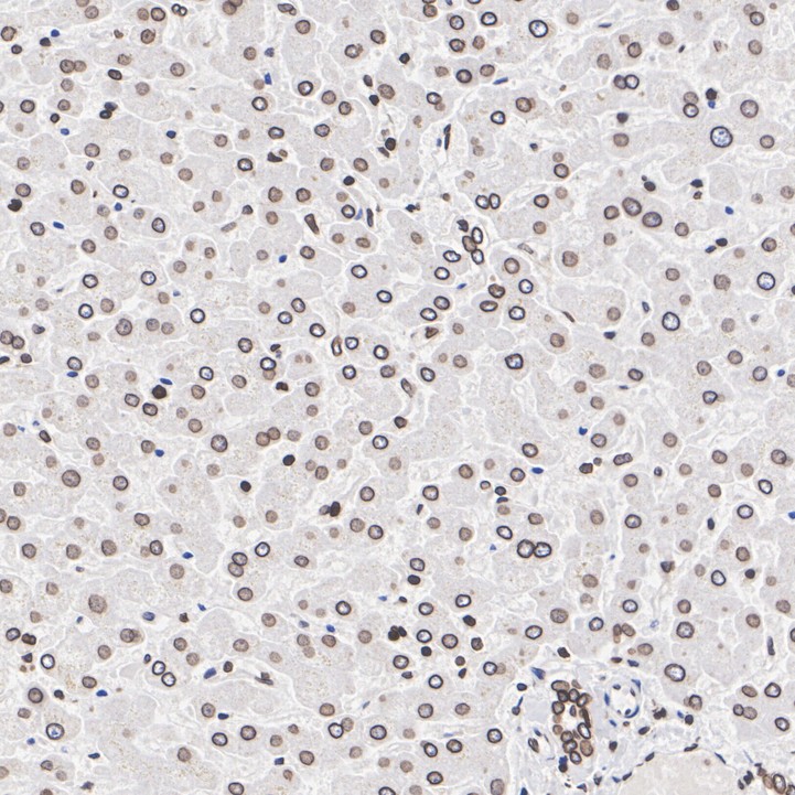
HA750098_8.jpg Fig8: Immunohistochemical analysis of paraffin-embedded rat liver tissue with Rabbit anti-Lamin B1 antibody (HA750098) at 1/1,000 dilution.

The section was pre-treated using heat mediated antigen retrieval with Tris-EDTA buffer (pH 9.0) for 20 minutes. The tissues were blocked in 1% BSA for 20 minutes at room temperature, washed with ddH2O and PBS, and then probed with the primary antibody (HA750098) at 1/1,000 dilution for 1 hour at room temperature. The detection was performed using an HRP conjugated compact polymer system. DAB was used as the chromogen. Tissues were counterstained with hematoxylin and mounted with DPX.
HA750098_9.jpg Fig9: Application: IF-Tissue

Species: Human

Site: breast carcinoma

Sample: Paraffin-embedded section

Antibody concentration: 1/1,000
Note: All products are “FOR RESEARCH USE ONLY AND ARE NOT INTENDED FOR DIAGNOSTIC OR THERAPEUTIC USE”.