NGF Recombinant Rabbit Monoclonal Antibody [SI79-01]
cat.: HA750099
Product Type: Recombinant Rabbit monoclonal IgG, primary antibodies
Species reactivity: Human, Mouse, Rat, Zebrafish
Applications: WB, IF-Cell, IF-Tissue, IHC-P, IHC-Fr
Clonality: Monoclonal
Clone number: SI79-01
Form: Liquid
Storage condition: Store at +4℃ after thawing. Aliquot store at -20℃ or -80℃. Avoid repeated freeze / thaw cycles.
Storage buffer: 1*PBS (pH7.4).
Concentration: 1ug/ul
Purification: Protein A affinity purified.
Molecular weight: Predicted band size: 27 kDa
Isotype: IgG
Immunogen: Synthetic peptide within Human NGF aa 192-241 / 241.
Positive control: HL-60 cell lysate, HeLa cell lysate, MDA-MB-231 cell lysate, human liver tissue lysate, mouse liver tissue lysate, rat liver tissue lysate, mouse skeletal muscle tissue lysate, rat skeletal muscle tissue lysate, NIH/3T3, mouse liver tissue, mouse brain tissue, mouse thymus tissue, rat brain tissue.
Subcellular location: Secreted.
Recommended Dilutions:
  WB
  IF-Cell
  IF-Tissue
  IHC-P
  IHC-Fr

1:2,000
1:50-1:200
1:50-1:200
1:50-1:100
1:100
Uniprot #: SwissProt: P01138 Human | P01139 Mouse | P25427 Rat
Alternative names: Beta nerve growth factor Beta NGF Beta-nerve growth factor Beta-NGF HSAN5 MGC161426 MGC161428 Nerve growth factor (beta polypeptide) Nerve growth factor Nerve growth factor beta Nerve growth factor beta polypeptide Nerve growth factor beta subunit NGF NGF_HUMAN NGFB NID67
Images
HA750099_1.jpg Fig1: Western blot analysis of NGF on different lysates with Rabbit anti-NGF antibody (HA750099) at 1/2,000 dilution.

Lane 1: HL-60 cell lysate
Lane 2: HeLa cell lysate
Lane 3: MDA-MB-231 cell lysate
Lane 4: Human liver tissue lysate
Lane 5: Mouse liver tissue lysate
Lane 6: Rat liver tissue lysate
Lane 7: Mouse skeletal muscle tissue lysate
Lane 8: Rat skeletal muscle tissue lysate

Lysates/proteins at 20 µg/Lane.

Predicted band size: 27 kDa
Observed band size: 35 kDa

Exposure time: 3 minutes;

4-20% SDS-PAGE gel.

Proteins were transferred to a PVDF membrane and blocked with 5% NFDM/TBST for 1 hour at room temperature. The primary antibody (HA750099) at 1/2,000 dilution was used in 5% NFDM/TBST at 4℃ overnight. Goat Anti-Rabbit IgG - HRP Secondary Antibody (HA1001) at 1:50,000 dilution was used for 1 hour at room temperature.
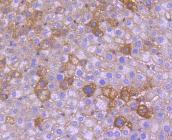
HA750099_2.jpg Fig2: Immunohistochemical analysis of paraffin-embedded mouse liver tissue using anti-NGF antibody. The section was pre-treated using heat mediated antigen retrieval with Tris-EDTA buffer (pH 8.0-8.4) for 20 minutes.The tissues were blocked in 5% BSA for 30 minutes at room temperature, washed with ddH2O and PBS, and then probed with the primary antibody (HA750099, 1/50) for 30 minutes at room temperature. The detection was performed using an HRP conjugated compact polymer system. DAB was used as the chromogen. Tissues were counterstained with hematoxylin and mounted with DPX.
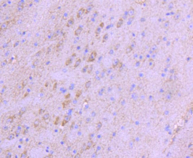
HA750099_3.jpg Fig3: Immunohistochemical analysis of paraffin-embedded mouse brain tissue using anti-NGF antibody. The section was pre-treated using heat mediated antigen retrieval with Tris-EDTA buffer (pH 8.0-8.4) for 20 minutes.The tissues were blocked in 5% BSA for 30 minutes at room temperature, washed with ddH2O and PBS, and then probed with the primary antibody (HA750099, 1/50) for 30 minutes at room temperature. The detection was performed using an HRP conjugated compact polymer system. DAB was used as the chromogen. Tissues were counterstained with hematoxylin and mounted with DPX.
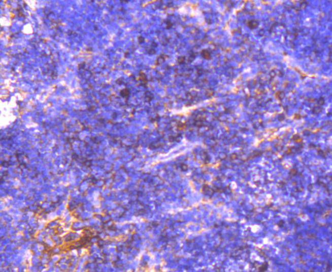
HA750099_4.jpg Fig4: Immunohistochemical analysis of paraffin-embedded mouse thymus tissue using anti-NGF antibody. The section was pre-treated using heat mediated antigen retrieval with Tris-EDTA buffer (pH 8.0-8.4) for 20 minutes.The tissues were blocked in 5% BSA for 30 minutes at room temperature, washed with ddH2O and PBS, and then probed with the primary antibody (HA750099, 1/50) for 30 minutes at room temperature. The detection was performed using an HRP conjugated compact polymer system. DAB was used as the chromogen. Tissues were counterstained with hematoxylin and mounted with DPX.
HA750099_5.jpg Fig5: Immunohistochemical analysis of paraffin-embedded rat brain tissue with Rabbit anti-NGF antibody (HA750099) at 1/100 dilution.

The section was pre-treated using heat mediated antigen retrieval with Tris-EDTA buffer (pH 9.0) for 20 minutes. The tissues were blocked in 1% BSA for 20 minutes at room temperature, washed with ddH2O and PBS, and then probed with the primary antibody (HA750099) at 1/100 dilution for 1 hour at room temperature. The detection was performed using an HRP conjugated compact polymer system. DAB was used as the chromogen. Tissues were counterstained with hematoxylin and mounted with DPX.
HA750099_6.jpg Fig6: Immunofluorescence analysis of frozen mouse hippocampus tissue labeling NGF with Rabbit anti-NGF antibody (HA750099).

The tissues were blocked in 3% BSA for 30 minutes at room temperature, washed with PBS, and then probed with the primary antibody (ET1606-29, green) at 1/100 dilution overnight at 4℃, washed with PBS. Goat Anti-Rabbit IgG H&L (Alexa Fluor® 488) was used as the secondary antibody at 1/200 dilution. Nuclei were counterstained with DAPI (blue). Image acquisition was performed with KFBIO KF-FL-400 Scanner.
HA750099_7.jpg Fig7: Immunofluorescence analysis of frozen mouse cerebral cortex tissue labeling NGF with Rabbit anti-NGF antibody (HA750099).

The tissues were blocked in 3% BSA for 30 minutes at room temperature, washed with PBS, and then probed with the primary antibody (ET1606-29, green) at 1/100 dilution overnight at 4℃, washed with PBS. Goat Anti-Rabbit IgG H&L (Alexa Fluor® 488) was used as the secondary antibody at 1/200 dilution. Nuclei were counterstained with DAPI (blue). Image acquisition was performed with KFBIO KF-FL-400 Scanner.
HA750099_8.jpg Fig8: Immunocytochemistry analysis of HL-60 cells labeling NGF with Rabbit anti-NGF antibody (HA750099) at 1/100 dilution.

Cells were fixed in 4% paraformaldehyde for 20 minutes at room temperature, permeabilized with 0.1% Triton X-100 in PBS for 5 minutes at room temperature, then blocked with 1% BSA in 10% negative goat serum for 1 hour at room temperature. Cells were then incubated with Rabbit anti-NGF antibody (HA750099) at 1/100 dilution in 1% BSA in PBST overnight at 4 ℃. Goat Anti-Rabbit IgG H&L (iFluor™ 488, HA1121) was used as the secondary antibody at 1/1,000 dilution. PBS instead of the primary antibody was used as the secondary antibody only control. Nuclear DNA was labelled in blue with DAPI.

Beta tubulin (M1305-2, red) was stained at 1/100 dilution overnight at +4℃. Goat Anti-Mouse IgG H&L (iFluor™ 594, HA1126) was used as the secondary antibody at 1/1,000 dilution.
HA750099_9.jpg Fig9: Immunohistochemical analysis of paraffin-embedded human testis tissue with Rabbit anti-NGF antibody (HA750099) at 1/1,000 dilution.

The section was pre-treated using heat mediated antigen retrieval with Tris-EDTA buffer (pH 9.0) for 20 minutes. The tissues were blocked in 1% BSA for 20 minutes at room temperature, washed with ddH2O and PBS, and then probed with the primary antibody (HA750099) at 1/1,000 dilution for 1 hour at room temperature. The detection was performed using an HRP conjugated compact polymer system. DAB was used as the chromogen. Tissues were counterstained with hematoxylin and mounted with DPX.
Note: All products are “FOR RESEARCH USE ONLY AND ARE NOT INTENDED FOR DIAGNOSTIC OR THERAPEUTIC USE”.