Desmin Recombinant Rabbit Monoclonal Antibody [SI18-00]
cat.: HA750100
Product Type: Recombinant Rabbit monoclonal IgG, primary antibodies
Species reactivity: Human, Mouse, Rat, Zebrafish, Chicken
Applications: WB, IF-Cell, IF-Tissue, IHC-P, FC
Clonality: Monoclonal
Clone number: SI18-00
Form: Liquid
Storage condition: Store at +4℃ after thawing. Aliquot store at -20℃ or -80℃. Avoid repeated freeze / thaw cycles.
Storage buffer: 1*PBS (pH7.4).
Concentration: 1ug/ul
Purification: Protein A affinity purified.
Molecular weight: Predicted band size: 54 kDa
Isotype: IgG
Immunogen: Synthetic peptide within Human Desmin aa 421-470 / 470.
Positive control: C2C12 cell lysate, mouse heart tissue lysate, rat heart tissue lysate, rat skeletal muscle tissue lysates, C2C12, human endometrium tissue, mouse bladder tissue, mouse colon tissue.
Subcellular location: Cytoplasm, Cell membrane.
Recommended Dilutions:
  WB
  IF-Cell
  IF-Tissue
  IHC-P
  FC

1:10,000-1:20,000
1:500
1:200-1:500
1:1,000
1:1,000
Uniprot #: SwissProt: P17661 Human | P31001 Mouse | P48675 Rat
Alternative names: CMD1I CSM1 CSM2 DES DESM_HUMAN Desmin FLJ12025 FLJ39719 FLJ41013 FLJ41793 Intermediate filament protein OTTHUMP00000064865
Images
HA750100_1.jpg Fig1: Western blot analysis of Desmin on different lysates with Rabbit anti-Desmin antibody (HA750100) at 1/20,000 dilution.

Lane 1: C2C12 cell lysate
Lane 2: Mouse heart tissue lysate
Lane 3: Rat heart tissue lysate

Lysates/proteins at 15 µg/Lane.

Predicted band size: 54 kDa
Observed band size: 55 kDa

Exposure time: 17 seconds; ECL: K1801;
4-20% SDS-PAGE gel.

Proteins were transferred to a PVDF membrane and blocked with 5% NFDM/TBST for 1 hour at room temperature. The primary antibody (HA750100) at 1/20,000 dilution was used in 5% NFDM/TBST at 4℃ overnight. Goat Anti-Rabbit IgG - HRP Secondary Antibody (HA1001) at 1:50,000 dilution was used for 1 hour at room temperature.
HA750100_2.jpg Fig2: Immunocytochemistry analysis of C2C12 cells labeling Desmin with Rabbit anti-Desmin antibody (HA750100) at 1/500 dilution.

Cells were fixed in 4% paraformaldehyde for 15 minutes at room temperature, permeabilized with 0.1% Triton X-100 in PBS for 15 minutes at room temperature, then blocked with 1% BSA in 10% negative goat serum for 1 hour at room temperature. Cells were then incubated with Rabbit anti-Desmin antibody (HA750100) at 1/500 dilution in 1% BSA in PBST overnight at 4 ℃. Goat Anti-Rabbit IgG H&L (iFluor™ 488, HA1121) was used as the secondary antibody at 1/1,000 dilution. PBS instead of the primary antibody was used as the secondary antibody only control. Nuclear DNA was labelled in blue with DAPI.

Beta tubulin (HA601187, red) was stained at 1/100 dilution overnight at +4℃. Goat Anti-Mouse IgG H&L (iFluor™ 594, HA1126) was used as the secondary antibody at 1/1,000 dilution.
HA750100_3.jpg Fig3: Immunohistochemical analysis of paraffin-embedded human endometrium tissue with Rabbit anti-Desmin antibody (HA750100) at 1/1,000 dilution.

The section was pre-treated using heat mediated antigen retrieval with Tris-EDTA buffer (pH 9.0) for 20 minutes. The tissues were blocked in 1% BSA for 20 minutes at room temperature, washed with ddH2O and PBS, and then probed with the primary antibody (HA750100) at 1/1,000 dilution for 1 hour at room temperature. The detection was performed using an HRP conjugated compact polymer system. DAB was used as the chromogen. Tissues were counterstained with hematoxylin and mounted with DPX.
HA750100_4.jpg Fig4: Immunohistochemical analysis of paraffin-embedded mouse bladder tissue with Rabbit anti-Desmin antibody (HA750100) at 1/1,000 dilution.

The section was pre-treated using heat mediated antigen retrieval with Tris-EDTA buffer (pH 9.0) for 20 minutes. The tissues were blocked in 1% BSA for 20 minutes at room temperature, washed with ddH2O and PBS, and then probed with the primary antibody (HA750100) at 1/1,000 dilution for 1 hour at room temperature. The detection was performed using an HRP conjugated compact polymer system. DAB was used as the chromogen. Tissues were counterstained with hematoxylin and mounted with DPX.
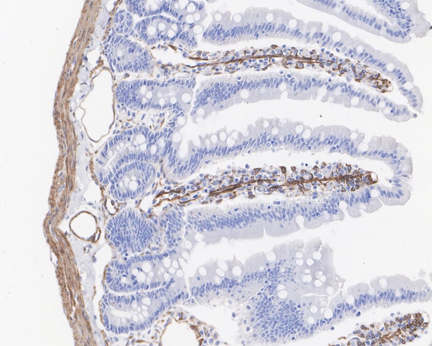
HA750100_5.jpg Fig5: Immunohistochemical analysis of paraffin-embedded mouse colon tissue with Rabbit anti-Desmin antibody (HA750100) at 1/1,000 dilution.

The section was pre-treated using heat mediated antigen retrieval with Tris-EDTA buffer (pH 9.0) for 20 minutes. The tissues were blocked in 1% BSA for 20 minutes at room temperature, washed with ddH2O and PBS, and then probed with the primary antibody (HA750100) at 1/1,000 dilution for 1 hour at room temperature. The detection was performed using an HRP conjugated compact polymer system. DAB was used as the chromogen. Tissues were counterstained with hematoxylin and mounted with DPX.
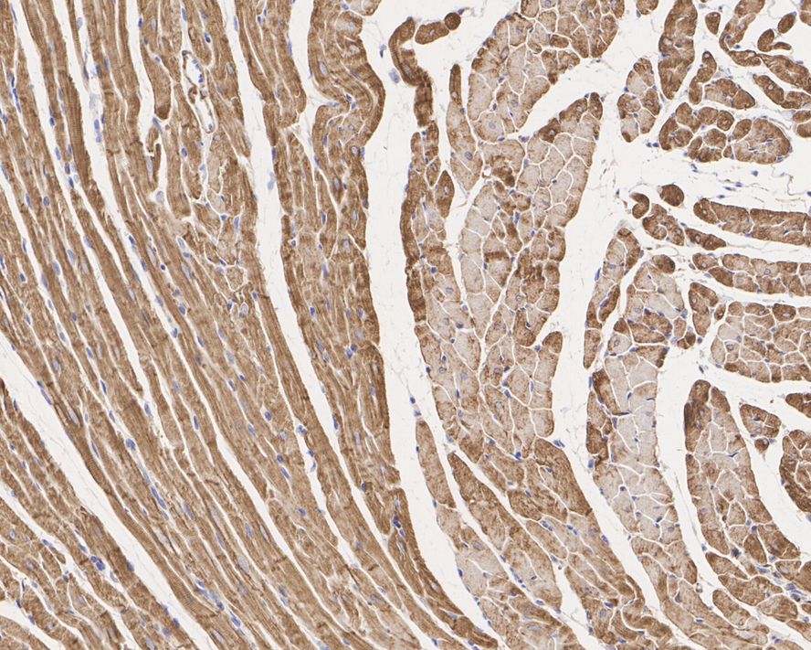
HA750100_6.jpg Fig6: Immunohistochemical analysis of paraffin-embedded rat heart tissue with Rabbit anti-Desmin antibody (HA750100) at 1/1,000 dilution.

The section was pre-treated using heat mediated antigen retrieval with Tris-EDTA buffer (pH 9.0) for 20 minutes. The tissues were blocked in 1% BSA for 20 minutes at room temperature, washed with ddH2O and PBS, and then probed with the primary antibody (HA750100) at 1/1,000 dilution for 1 hour at room temperature. The detection was performed using an HRP conjugated compact polymer system. DAB was used as the chromogen. Tissues were counterstained with hematoxylin and mounted with DPX.
HA750100_7.jpg Fig7: Flow cytometric analysis of C2C12 cells labeling Desmin.

Cells were fixed and permeabilized. Then stained with the primary antibody (HA750100, 1/1,000) (red) compared with Rabbit IgG Isotype Control (green). After incubation of the primary antibody at +4℃ for an hour, the cells were stained with a iFluor™ 488 conjugate-Goat anti-Rabbit IgG Secondary antibody (HA1121) at 1/1,000 dilution for 30 minutes at +4℃. Unlabelled sample was used as a control (cells without incubation with primary antibody; black).
HA750100_8.jpg Fig8: Application: IF-Tissue

Species: Mouse

Site: bladder

Sample: Paraffin-embedded section

Antibody concentration: 1/500
Note: All products are “FOR RESEARCH USE ONLY AND ARE NOT INTENDED FOR DIAGNOSTIC OR THERAPEUTIC USE”.