STAT1 alpha Recombinant Rabbit Monoclonal Antibody [SJ01-89]
cat.: HA750102
Product Type: Recombinant Rabbit monoclonal IgG, primary antibodies
Species reactivity: Human, Mouse
Applications: WB, IP, FC, IHC-P, IF-Cell, IF-Tissue
Clonality: Monoclonal
Clone number: SJ01-89
Form: Liquid
Storage condition: Store at +4℃ after thawing. Aliquot store at -20℃ or -80℃. Avoid repeated freeze / thaw cycles.
Storage buffer: 1*PBS (pH7.4).
Concentration: 1ug/ul
Purification: Protein A affinity purified.
Molecular weight: Predicted band size: 87 kDa
Isotype: IgG
Immunogen: Synthetic peptide within human STAT1 aa 710-750.
Positive control: Jurkat cell lysate, A431 cell lysate, HeLa cell lysate, A549 cell lysate, SK-Br-3 cell lysate, SK-MEL-28 cell lysate, HT-29 cell lysate, RAW264.7 cell lysate, C2C12 cell lysate, human kidney tissue, human colon tissue, human ovary cancer tissue, human spleen tissue, mouse colon tissue, HeLa, RAW264.7.
Subcellular location: Cytoplasm, Nucleus.
Recommended Dilutions:
  WB
  FC
  IP
  IHC-P
  IF-Cell
  IF-Tissue

1:1,000-1:5,000
1:100
Use at an assay dependent concentration.
1:500-1:5,000
1:100
1:50-1:400
Uniprot #: SwissProt: P42224 Human | P42225 Mouse
Alternative names: Signal transducer and activator of transcription 1 91kD CANDF7 DKFZp686B04100 IMD31A IMD31B IMD31C ISGF 3 ISGF-3 OTTHUMP00000163552 OTTHUMP00000165046 OTTHUMP00000165047 OTTHUMP00000205845 Signal transducer and activator of transcription 1 91kDa Signal transducer and activator of transcription 1 Signal transducer and activator of transcription 1, 91kD Signal transducer and activator of transcription 1-alpha/beta STAT 1 Stat1 STAT1_HUMAN STAT91 Transcription factor ISGF 3 components p91 p84 Transcription factor ISGF-3 components p91/p84
Images
HA750102_1.jpg Fig1: Western blot analysis of STAT1 alpha on different lysates with Rabbit anti-STAT1 alpha antibody (HA750102) at 1/1,000 dilution.

Lane 1: Jurkat cell lysate
Lane 2: A431 cell lysate
Lane 3: HeLa cell lysate
Lane 4: A549 cell lysate
Lane 5: SK-Br-3 cell lysate
Lane 6: SK-MEL-28 cell lysate
Lane 7: HT-29 cell lysate
Lane 8: RAW264.7 cell lysate
Lane 9: C2C12 cell lysate

Lysates/proteins at 15 µg/Lane.

Predicted band size: 87 kDa
Observed band size: 87 kDa

Exposure time: 14 seconds; ECL: K1801;
4-20% SDS-PAGE gel.

Proteins were transferred to a PVDF membrane and blocked with 5% NFDM/TBST for 1 hour at room temperature. The primary antibody (HA750102) at 1/1,000 dilution was used in 5% NFDM/TBST at 4℃ overnight. Goat Anti-Rabbit IgG - HRP Secondary Antibody (HA1001) at 1/50,000 dilution was used for 1 hour at room temperature.
HA750102_2.jpg Fig2: Western blot analysis of STAT1 alpha on different lysates with Rabbit anti-STAT1 alpha antibody (HA750102) at 1/5,000 dilution.

Lane 1: HAP1-parental cell lysate, 10 µg/Lane
Lane 2: HAP1-STAT1 alpha KD cell lysate, 10 µg/Lane

Predicted band size: 87 kDa
Observed band size: 87 kDa

Exposure time: 60 seconds; ECL: K1801;
4-20% SDS-PAGE gel.

Proteins were transferred to a PVDF membrane and blocked with 5% NFDM/TBST for 1 hour at room temperature. The primary antibody (HA750102) at 1/5,000 dilution was used in K1803 at 4℃ overnight. Goat Anti-Rabbit IgG - HRP Secondary Antibody (HA1001) at 1/50,000 dilution was used for 1 hour at room temperature.
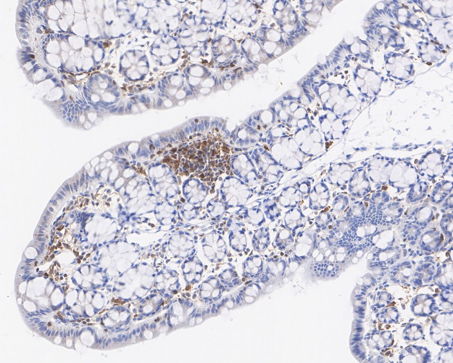
HA750102_3.jpg Fig3: Immunohistochemical analysis of paraffin-embedded human kidney tissue with Rabbit anti-STAT1 alpha antibody (HA750102) at 1/5,000 dilution.

The section was pre-treated using heat mediated antigen retrieval with sodium citrate buffer (pH 6.0) (high pressure) for 2 minutes. The tissues were blocked in 1% BSA for 20 minutes at room temperature, washed with ddH2O and PBS, and then probed with the primary antibody (HA750102) at 1/5,000 dilution for 1 hour at room temperature. The detection was performed using an HRP conjugated compact polymer system. DAB was used as the chromogen. Tissues were counterstained with hematoxylin and mounted with DPX.
HA750102_4.jpg Fig4: Immunohistochemical analysis of paraffin-embedded human colon tissue with Rabbit anti-STAT1 alpha antibody (HA750102) at 1/500 dilution.

The section was pre-treated using heat mediated antigen retrieval with sodium citrate buffer (pH 6.0) (high pressure) for 2 minutes. The tissues were blocked in 1% BSA for 20 minutes at room temperature, washed with ddH2O and PBS, and then probed with the primary antibody (HA750102) at 1/500 dilution for 1 hour at room temperature. The detection was performed using an HRP conjugated compact polymer system. DAB was used as the chromogen. Tissues were counterstained with hematoxylin and mounted with DPX.
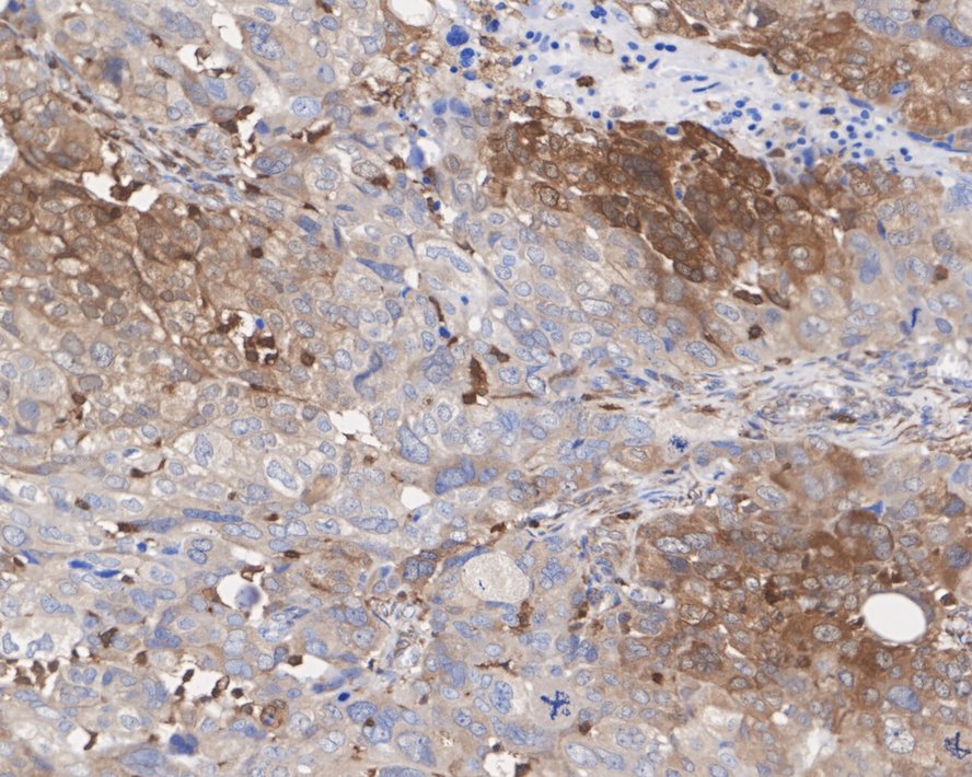
HA750102_5.jpg Fig5: Immunohistochemical analysis of paraffin-embedded human ovary cancer tissue with Rabbit anti-STAT1 alpha antibody (HA750102) at 1/500 dilution.

The section was pre-treated using heat mediated antigen retrieval with sodium citrate buffer (pH 6.0) (high pressure) for 2 minutes. The tissues were blocked in 1% BSA for 20 minutes at room temperature, washed with ddH2O and PBS, and then probed with the primary antibody (HA750102) at 1/500 dilution for 1 hour at room temperature. The detection was performed using an HRP conjugated compact polymer system. DAB was used as the chromogen. Tissues were counterstained with hematoxylin and mounted with DPX.
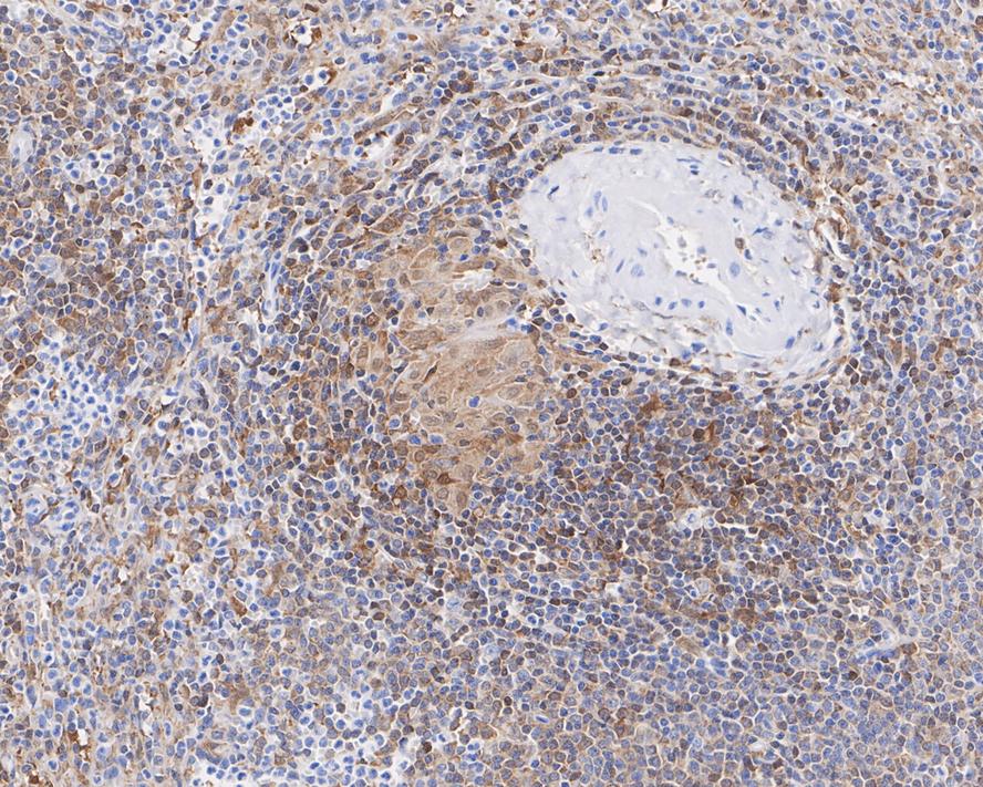
HA750102_6.jpg Fig6: Immunohistochemical analysis of paraffin-embedded human spleen tissue with Rabbit anti-STAT1 alpha antibody (HA750102) at 1/2,000 dilution.

The section was pre-treated using heat mediated antigen retrieval with sodium citrate buffer (pH 6.0) (high pressure) for 2 minutes. The tissues were blocked in 1% BSA for 20 minutes at room temperature, washed with ddH2O and PBS, and then probed with the primary antibody (HA750102) at 1/2,000 dilution for 1 hour at room temperature. The detection was performed using an HRP conjugated compact polymer system. DAB was used as the chromogen. Tissues were counterstained with hematoxylin and mounted with DPX.
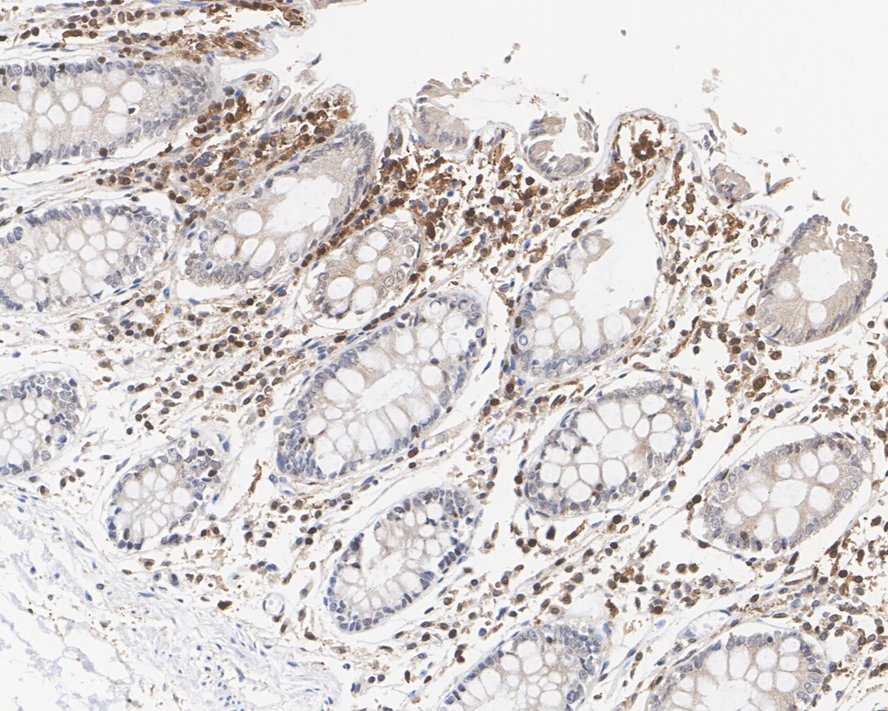
HA750102_7.jpg Fig7: Immunohistochemical analysis of paraffin-embedded mouse colon tissue with Rabbit anti-STAT1 alpha antibody (HA750102) at 1/2,000 dilution.

The section was pre-treated using heat mediated antigen retrieval with sodium citrate buffer (pH 6.0) (high pressure) for 2 minutes. The tissues were blocked in 1% BSA for 20 minutes at room temperature, washed with ddH2O and PBS, and then probed with the primary antibody (HA750102) at 1/2,000 dilution for 1 hour at room temperature. The detection was performed using an HRP conjugated compact polymer system. DAB was used as the chromogen. Tissues were counterstained with hematoxylin and mounted with DPX.
HA750102_8.jpg Fig8: Immunocytochemistry analysis of RAW264.7 cells labeling STAT1 alpha with Rabbit anti-STAT1 alpha antibody (HA750102) at 1/100 dilution.

Cells were fixed in 4% paraformaldehyde for 20 minutes at room temperature, permeabilized with 0.1% Triton X-100 in PBS for 5 minutes at room temperature, then blocked with 1% BSA in 10% negative goat serum for 1 hour at room temperature. Cells were then incubated with Rabbit anti-STAT1 alpha antibody (HA750102) at 1/100 dilution in 1% BSA in PBST overnight at 4 ℃. Goat Anti-Rabbit IgG H&L (iFluor™ 488, HA1121) was used as the secondary antibody at 1/1,000 dilution. PBS instead of the primary antibody was used as the secondary antibody only control. Nuclear DNA was labelled in blue with DAPI.

Beta tubulin (M1305-2, red) was stained at 1/100 dilution overnight at +4℃. Goat Anti-Mouse IgG H&L (iFluor™ 594, HA1126) was used as the secondary antibody at 1/1,000 dilution.
HA750102_9.jpg Fig9: Flow cytometric analysis of RAW264.7 cells labeling STAT1 alpha.

Cells were fixed and permeabilized. Then stained with the primary antibody (HA750102, 1/100) (red) compared with Rabbit IgG Isotype Control (green). After incubation of the primary antibody at +4℃ for an hour, the cells were stained with a iFluor™ 488 conjugate-Goat anti-Rabbit IgG Secondary antibody (HA1121) at 1/1,000 dilution for 30 minutes at +4℃. Unlabelled sample was used as a control (cells without incubation with primary antibody; black).
HA750102_10.jpg Fig10: Immunocytochemistry analysis of HeLa cells labeling STAT1 alpha with Rabbit anti-STAT1 alpha antibody (HA750102) at 1/100 dilution.

Cells were fixed in 4% paraformaldehyde for 20 minutes at room temperature, permeabilized with 0.1% Triton X-100 in PBS for 5 minutes at room temperature, then blocked with 1% BSA in 10% negative goat serum for 1 hour at room temperature. Cells were then incubated with Rabbit anti-STAT1 alpha antibody (HA750102) at 1/100 dilution in 1% BSA in PBST overnight at 4 ℃. Goat Anti-Rabbit IgG H&L (iFluor™ 488, HA1121) was used as the secondary antibody at 1/1,000 dilution. PBS instead of the primary antibody was used as the secondary antibody only control. Nuclear DNA was labelled in blue with DAPI.

Beta tubulin (M1305-2, red) was stained at 1/100 dilution overnight at +4℃. Goat Anti-Mouse IgG H&L (iFluor™ 594, HA1126) was used as the secondary antibody at 1/1,000 dilution.
HA750102_11.jpg Fig11: Flow cytometric analysis of STAT1 alpha was done on MCF-7 cells. The cells were fixed, permeabilized and stained with the primary antibody (HA750102, 1/50) (red). After incubation of the primary antibody at room temperature for an hour, the cells were stained with a Alexa Fluor 488-conjugated Goat anti-Rabbit IgG Secondary antibody at 1/1,000 dilution for 30 minutes.Unlabelled sample was used as a control (cells without incubation with primary antibody; black).
Note: All products are “FOR RESEARCH USE ONLY AND ARE NOT INTENDED FOR DIAGNOSTIC OR THERAPEUTIC USE”.