PD1 Recombinant Rabbit Monoclonal Antibody [SJ01-91]
cat.: HA750103
Product Type: Recombinant Rabbit monoclonal IgG, primary antibodies
Species reactivity: Human
Applications: WB, IHC-P
Clonality: Monoclonal
Clone number: SJ01-91
Form: Liquid
Storage condition: Store at +4℃ after thawing. Aliquot store at -20℃ or -80℃. Avoid repeated freeze / thaw cycles.
Storage buffer: 1*PBS (pH7.4).
Concentration: 1ug/ul
Purification: Protein A affinity purified.
Molecular weight: 32 kDa
Isotype: IgG
Immunogen: Synthetic peptide within Human PD1 aa 1-50 / 288.
Positive control: over-expressed PD1(whole extracellular domain) on 293T cell lysates, human lymph nodes tissue.
Subcellular location: Membrane.
Recommended Dilutions:
  WB
  IHC-P

1:500-1:1,000
1:50-1:200
Uniprot #: SwissProt: Q15116 Human
Alternative names: CD279 CD279 antigen hPD 1 hPD l hPD-1 hSLE1 PD 1 PD-1 PD1 PDCD 1 PDCD1 PDCD1_HUMAN Programmed cell death 1 Programmed cell death 1 protein Programmed cell death protein 1 Protein PD 1 Protein PD-1 SLEB2 Systemic lupus erythematosus susceptibility 2
Images
HA750103_1.jpg Fig1: Western blot analysis of over-expressed PD1(whole extracellular domain) on 293T cell lysates. Proteins were transferred to a PVDF membrane and blocked with 5% BSA in PBS for 1 hour at room temperature. The primary antibody (HA750103, 1/500) was used in 5% BSA at room temperature for 2 hours. Goat Anti-Rabbit IgG - HRP Secondary Antibody (HA1001) at 1:5,000 dilution was used for 1 hour at room temperature.
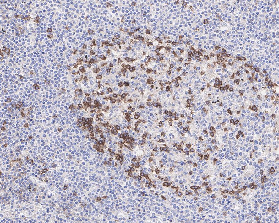
HA750103_2.jpg Fig2: Immunohistochemical analysis of paraffin-embedded human lymph nodes tissue with Rabbit anti-PD1 antibody (HA750103) at 1/50 dilution.

The section was pre-treated using heat mediated antigen retrieval with Tris-EDTA buffer (pH 9.0) for 20 minutes. The tissues were blocked in 1% BSA for 20 minutes at room temperature, washed with ddH2O and PBS, and then probed with the primary antibody (HA750103) at 1/50 dilution for 1 hour at room temperature. The detection was performed using an HRP conjugated compact polymer system. DAB was used as the chromogen. Tissues were counterstained with hematoxylin and mounted with DPX.
Note: All products are “FOR RESEARCH USE ONLY AND ARE NOT INTENDED FOR DIAGNOSTIC OR THERAPEUTIC USE”.